Popular Dental Treatments in Turkey and Is It Worth It
HomeMyra BlogPopular Dental Treatments in Turkey and Is It Worth It
Loading...
Dt. Erdem Çetin
Born in Stuttgart, Germany in 1979, Dr. Dt. Erdem Çetin began his education in Kırşehir and completed his schooling there, from primary school through to high school. He then successfully completed his university education at the Faculty of Dentistry at 19 Mayıs University in Samsun.
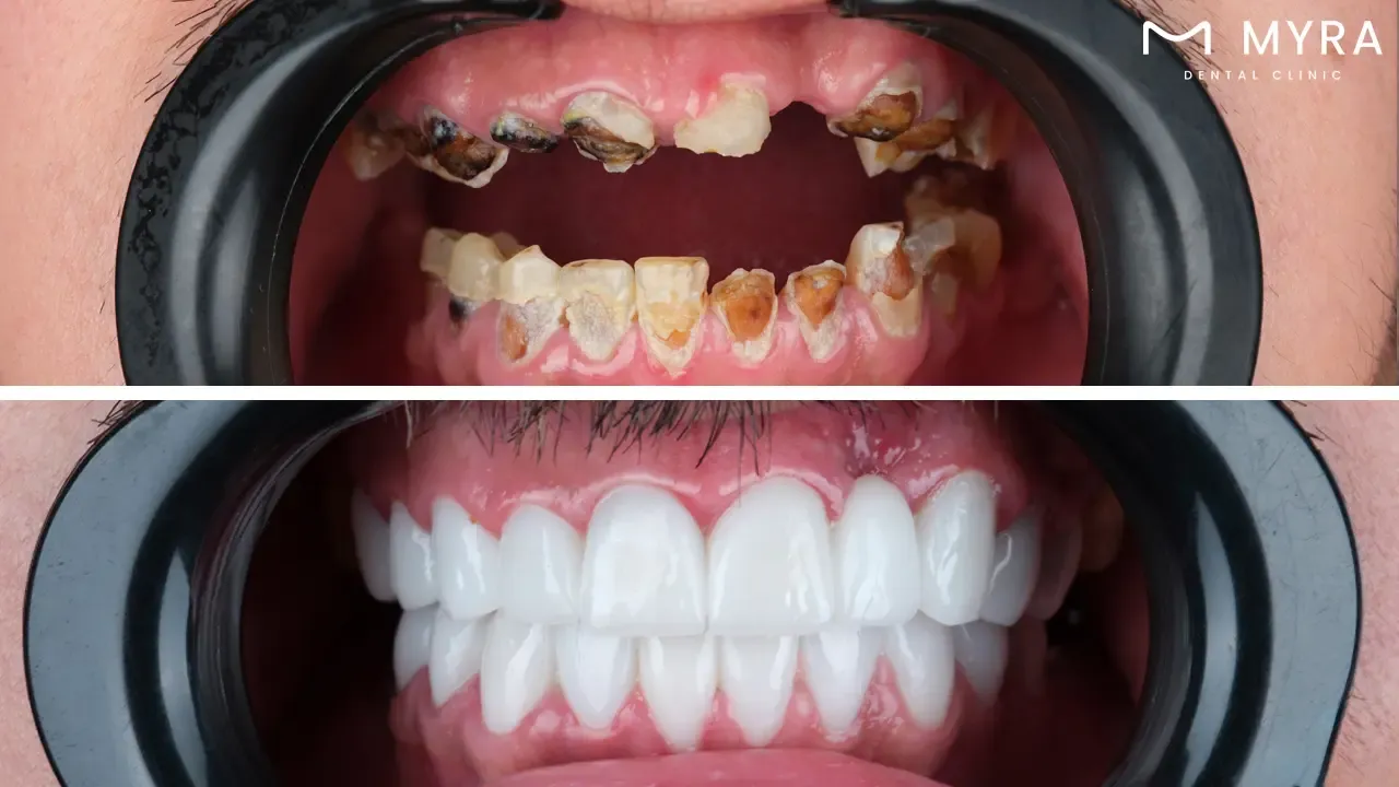
Turkey Teeth has evolved as a global hotspot for dental tourism, enticing people from all over the world in quest of comprehensive and affordable dental care. Eight separate dental procedures in Turkey have gained great appeal within the growing field of dental treatments, lauded for their ability to address a wide range of oral health issues while renewing smiles. The Turkey Teeth procedures include necessary dental repairs like implants and root canal therapy to transformative aesthetic upgrades like veneers and smile makeovers.
Dental implants are biocompatible prosthetic tooth roots made of titanium. They are surgically implanted into the jawbone to create a solid basis for replacement teeth, providing a long-term solution for missing teeth.
Veneers are thin, custom-made shells composed of porcelain or composite resin. They are bonded to the front surface of teeth to improve their appearance by concealing flaws such as stains, chipping, or gaps.
Root canal therapy is a treatment that removes diseased or damaged pulp from the interior area of a tooth. Teeth are thoroughly cleaned, disinfected, and sealed to save them from extraction and to relieve discomfort caused by dental infections.
Gum contouring is a cosmetic procedure that sculpts and refines the gumline to improve the overall appearance of teeth. The procedure is used to repair abnormalities such as gummy grins and uneven gumlines.
Smile makeovers are comprehensive treatment regimens that integrate several dental operations to achieve a harmonious and aesthetically pleasing smile. The plans are completely customised to each individual's personal needs and aesthetic goals.
Dental crowns are protective coverings that are placed over weakened or broken teeth to restore both their strength and appearance. Dental bridges are prosthetic devices that anchor to nearby natural teeth to replace missing teeth.
Full mouth rehabilitation, often known as full mouth reconstruction or smile restoration, is a comprehensive therapy technique. Full mouth rehabilitation fully tackles many dental disorders, aiming to restore function and aesthetics to the entire mouth.
Teeth Whitening in Turkey: Teeth whitening, commonly known as teeth bleaching, is a cosmetic dental technique that lightens the colour of teeth while removing stains or discolouration.
Dental Implants in Turkey: Dental implants are titanium-based prosthetic tooth roots that are surgically implanted into the jawbone to provide a strong basis for replacement teeth.
Veneers in Turkey: Veneers are thin, custom-made shells that are glued to the front surface of teeth to improve their appearance by concealing flaws. They are often constructed of porcelain or composite resin.
Root Canal Treatment in Turkey: The removal of infected or damaged pulp from the inner area of a tooth, followed by cleaning, disinfection, and sealing, is known as root canal treatment.
Gum Contouring in Turkey: Gum contouring is a cosmetic treatment that sculpts and reshapes the gumline to improve the appearance of teeth, generally addressing issues such as gummy grins and uneven gumlines.
Smile Makeovers in Turkey: Smile makeovers are complete treatment regimens that integrate numerous dental procedures to create a harmonious and aesthetically beautiful smile that is tailored to the needs and aspirations of the client.
Dental Crowns and Bridges in Turkey: Dental crowns are protective caps that are placed over weakened or damaged teeth to restore their strength and beauty, whereas dental bridges are prosthetic devices that are anchored to nearby natural teeth to replace missing teeth.
Full Mouth Rehabilitation in Turkey: Full mouth rehabilitation, known as full mouth reconstruction or smile restoration, is a complete therapeutic method that aims to restore function and aesthetics to the entire mouth.
What is a dental treatment in Turkey?
A dental treatment is a medical procedure or intervention performed by a dental healthcare expert to address a variety of oral health and dental disorders. The treatments include a wide range of procedures, preventive and corrective, with the primary purpose of maintaining or improving a person's teeth, gums, and oral cavity health, function, and attractiveness.
Dental treatments in Turkey include routine check-ups, cleanings, and preventive measures such as fluoride applications to prevent dental disorders. Restorative procedures such as cavity fillings, root canal treatments, tooth extractions, and the insertion of dental crowns or bridges to repair or replace damaged, or missing teeth are further included. Dental treatments in Turkey involve cosmetic procedures such as tooth whitening, veneers, and orthodontic treatments to improve the appearance of one's smile.
1. Teeth whitening in Turkey
Teeth whitening is a cosmetic dental operation used to improve the appearance of a person's smile by lightening the colour of natural teeth and concealing stains and discolouration. The non-invasive therapy has grown in popularity due to its ability to offer a brighter and more appealing smile without requiring surgical operations.
Teeth whitening operations in the United Kingdom cost between £200 and £400. The method used, the location of the dental institution, and the particular treatment demands all have an impact on the final cost.
Teeth whitening has various benefits, including improved appearance. The technique results in a much brighter grin, which boosts a person's self-confidence and self-esteem dramatically. Teeth whitening is non-invasive, producing no discomfort, and results quickly. Take-home kits produce visible whitening in a matter of days, but in-office procedures frequently result in rapid benefits. Teeth whitening is an excellent technique for many people to renew their smiles and increase their overall sense of well-being.
Teeth whitening has several restrictions despite the advantages it offers. The results are not permanent, and teeth gradually return to their original hue over time. The requires touch-up treatments regularly to maintain the ideal level of whiteness. Individuals suffer brief tooth sensitivity or gum inflammation after treatment, but it usually goes away on its own. Maintaining the results requires lifestyle changes, such as reducing the use of foods and beverages that discolour teeth.
The length of a teeth whitening treatment varies depending on the procedure used. Teeth whitening takes one to two hours for in-office whitening sessions. Take-home kits require the use of whitening products over several days to weeks, depending on the exact product and the degree of whitening required.
The proportion of travellers seeking teeth whitening therapy differs according to the popularity of dental tourism destinations. Countries such as the United Kingdom frequently draw a large number of tourists seeking teeth whitening in Turkey as part of their overall dental treatment while on vacation.
2. Dental Implants in Turkey
Dental implants in Turkey are a cutting-edge solution for replacing missing teeth in the realm of dentistry. Dental implants are precision-engineered prostheses made of biocompatible materials, most often titanium. They operate as prosthetic tooth roots, providing a strong and solid basis for connecting replacement teeth, such as crowns, bridges, or dentures, after being surgically implanted into the jawbone. The end product is a very realistic and effective tooth replacement that closely resembles the appearance and function of genuine teeth.
A single dental implant treatment in the UK normally costs between £1,500 and £2,500.In Turkey, however, single dental implant prices are significantly more affordable, ranging from £400 to £850, making it a more budget-friendly option for those seeking quality dental care. The final cost is based on a variety of factors. These include the amount of implants necessary, the precise type of restoration required, any extra treatments such as bone grafting, and the dental facility's geographical location. Complex instances or treatments in high-cost urban areas fall towards the top end of the spectrum, whilst simpler cases in more affordable locales fall towards the lower end. In conclusion, dental implant prices in Turkey are more affordable, offering a cost-effective solution without compromising on quality.
Dental implants have numerous appealing benefits. Dental implants mimic the appearance and functionality of natural teeth, improving not just the appearance along with the ability to speak, chew, and smile confidently. Their longevity is impressive, with the potential to last a lifetime if properly cared for. Dental implants help to preserve jawbone health by encouraging bone growth and alleviating the problem of bone loss after tooth loss. The surrounding natural teeth are unaltered, preserving overall oral health. One's quality of life and dental health improve.
Dental implants come with certain considerations, despite the many advantages they provide. The biggest disadvantage for many people is the expense, which is significant, especially when several implants are necessary or other operations such as bone grafting are required. Oral surgery is used in the treatment process, which requires recovery time and carries surgical risks. The schedule for dental implants is often several months long, encompassing implant placement, a healing phase, and the connection of the final restoration. Not everyone is a good candidate for getting dental implant because of reasons such as low bone density or certain medical disorders. Regular oral hygiene and routine dental check-ups are essential to their long-term success while dental implants are low-maintenance.
The dental implant in Turkey is divided into stages, each with its own timeline. There is a healing period during which the implant integrates with the jawbone following implant insertion. The permanent restoration, such as a crown, bridge, or denture, is then attached. The thorough process lasts several months to a year or more depending on individual characteristics and treatment complexity.
The number of visitors seeking dental implant treatment varies according to the dental tourism destination. Countries known for dental tourism, such as Hungary and Turkey, frequently draw a large number of tourists looking for high-quality yet affordable dental implant procedures.
3. Veneers in Turkey
Veneers are thin, customised shells made of porcelain or composite resin. The shells are intended to be bonded to the front surface of teeth which improves their appearance by concealing defects and increasing overall attractiveness. Veneers are used to treat dental concerns such as discolouration, staining, chipping, misalignment, and gaps between teeth. Individuals get a brighter, more symmetrical, and natural-looking smile by glueing the shells to their teeth.
The cost of veneers varies considerably due to several influencing factors. A single veneer ranges from £500 to £1,100 in UK. The actual cost depends on several variables, including the choice of veneer material, the number of veneers required for treatment, the complexity of the dental case, the geographical location of the dental practice, and the reputation of the dentist. The cost is higher for a complete set of dental veneers.However, dental veneers in Turkey are more affordable and of high quality, making it a great option for those seeking budget-friendly and reliable cosmetic dental treatments.
Veneers have several benefits, the majority of which revolve around aesthetic enhancements. They are quite effective at improving the appearance of teeth by addressing concerns such as discolouration, staining, chipping, misalignment, and gaps. Veneers, particularly those made of porcelain, closely resemble the natural appearance of teeth in terms of colour, translucency, and texture, producing an incredibly lifelike outcome. The technique is comparatively minimally invasive and slightly reduces the amount of tooth enamel compared to certain other dental restorations. Veneers provide speedy results, delivering an immediate transformation for people looking for quick smile makeovers. In Turkey, porcelain veneers are highly stain-resistant, allowing people to maintain a dazzling smile for an extended period of time.
Veneers come with certain considerations, despite the many advantages they provide. Cost is an important consideration because veneers are pricey, especially when several veneers are needed or when people choose porcelain veneers. However, veneers in Turkey are more affordable compared to other countries, providing high-quality treatment at a lower cost. The removal of a tiny layer of enamel from the teeth during the veneer preparation process makes the operation irreversible. Maintaining veneers is not indestructible and is susceptible to harm by behaviours such as teeth grinding or biting hard things. Veneers have a limited lifespan and need to be replaced after a few years due to causes such as wear and tear. Remember that veneers are a cosmetic solution and are not appropriate for treating dental conditions that need more thorough treatment.
Veneers are normally treated over a series of sessions. Veneers start with initial consultations, dental impressions, and tooth preparation, which need one or two sessions. Unique veneer creation by a dental laboratory takes several weeks. Veneer installation and bonding are completed in a single appointment per arch. The entire procedure takes between two and four weeks from the initial consultation to the finished product, allowing people to enjoy a new smile in a short amount of time. In Turkey, this efficient process is available at highly competitive prices, making it an attractive option for dental tourism.
The proportion of travellers seeking veneer treatment varies, especially in dental tourism countries. Countries known for dental tourism, such as Turkey and Thailand, frequently draw a large number of travellers looking for high-quality yet affordable veneer operations as part of their dental care while on vacation.
4. Root canal treatment in Turkey
Root canal treatment is a dental surgery used to save a tooth that has been infected root or has considerable decay. The root canal treatment in Turkey involves the removal of the infected or injured pulp, which is the deepest section of the tooth. The root canal system is then carefully cleaned, disinfected, and sealed to avoid further infection. A dental crown is placed on the treated tooth to restore function and appearance.
The cost of a root canal treatment ranges from £1,250 to £1,650, while a molar incurs charges ranging from £1,450 to £1,650 or even more in the UK. The cost of root canal treatment in Turkey is starts £50 subject to variables including the tooth's location, the complexity of the dental issue, the level of expertise of the dental professional, and the geographical location of the dental clinic.
A root canal allows for the preservation of a natural tooth that otherwise has to be extracted, preserving the integrity of the original dental structure. Root canal treatment gives great pain relief, easing the acute toothache and agony associated with dental infections, and improving the patient's quality of life. Teeth that have been treated continue to operate normally, allowing for regular biting and chewing without obstruction, helping the preservation of dental functions. The surgery is followed by the insertion of a dental crown, which restores not just the strength of the tooth but its aesthetics, resulting in a smoother and aesthetical smile. The Dental Root Canal treatment efficiently prevents infection from spreading to other oral or body sites, protecting general health by eliminating the infection at its source.
Root canal treatment does have certain disadvantages to take into account despite its many advantages. Root canal treatment in Turkey requires numerous consultations, including follow-up visits for the implantation of a dental crown, extending the treatment procedure over several weeks. The lengthy schedule is not appropriate for people who need acute dental care. There is a risk of complications occurring during or after root canal therapy, which needs additional treatment in situations, increasing the entire cost and time commitment. Patients suffer brief soreness or sensitivity after the treatment, but these sensations fade as the tooth heals and recovers. A root canal tooth grows more brittle over time, increasing the chance of fracture. Regular oral care and maintenance help decrease the risk and maintain the long-term success of the treated tooth.
A single-root canal surgery is completed in one to two appointments, each lasting 30 minutes to an hour. The process takes many weeks, though, if additional surgeries such as the implantation of a crown are required. The complete approach ensures that the tooth is entirely healed functionally and aesthetically.
The number of travellers seeking root canal treatment in Turkey differs notably in dental tourism countries. Root canal therapy is not commonly requested as a primary dental tourism operation. Certain travellers require urgent dental care while overseas and choose to undergo treatment in their destination country.
5. Gum contouring in Turkey
Gum contouring in Turkey is a cosmetic dental operation that improves the appearance of the gum line that surrounds the teeth. Gum contouring is known as gum reshaping or tissue sculpting. It treats situations in which the gums appear uneven, overly prominent, or conceal a portion of the teeth, making them appear shorter than desired. Gum contouring involves carefully removing or reshaping extra gum tissue to create a more harmonic and aesthetically acceptable gum line, hence improving the overall appearance of the smile. A lot of people are not familiar with gum contouring which is why they frequently ask “What is Gum Contouring?”
The cost of gum contouring in Turkey fluctuates depending on several factors, including the complexity of the procedure, the number of teeth involved, and the geographic location of the dental practice. Gum contouring costs between £150 and £250 per tooth or gum region. A dentist must be consulted to acquire an accurate cost estimate tailored to individual needs.
Gum contouring is used to improve the appearance of the smile, and has several noticeable benefits. Gum contouring improves the appearance of the smile by creating a more harmonic and balanced gum line. The transition results in teeth that appear longer and more proportional, adding to a more appealing overall appearance. Patients commonly express enhanced self-confidence and self-esteem after gum contouring, as they become more satisfied with the appearance of their smile. Gum contouring improves oral health by removing pockets where dangerous bacteria collect, hence lowering the risk of gum disease. The surgery produces quick results, with the modification of the grin noticeable immediately after completion.
The process of the Gum contouring in Turkey process is rather costly, especially when numerous teeth need to be treated or considerable gum remodelling is required. Patients must expect brief soreness or sensitivity in the treated area right after the treatment, though the symptom goes away quickly. There is a slight risk of infection or complications, however, it is negligible when performed by a trained dental specialist. Gum tissue removal during surgery is irreversible, so patients and dentists must have detailed discussions about treatment goals and expectations. Not all cases are appropriate for gum contouring because the quantity of tissue that is capable of being safely removed depends on an individual's specific gum and tooth anatomy.
Gum contouring is normally accomplished in a single consultation that lasts between one and two hours. Patients usually resume their normal activities within a day or two of the surgery. Gum contouring is not sought after as a stand-alone dental tourism procedure, travellers looking for extensive dental aesthetic improvements find the service offered in dental tourism locations that provide a variety of cosmetic dentistry procedures.
6. Smile makeovers in Turkey
Smile makeovers in Turkey are a thorough and tailored approach to cosmetic dentistry. A smile makeover transformative procedure is intended to improve the overall appearance of a person's smile. It includes a variety of dental operations and treatments to address a variety of conditions, such as discoloured, misaligned, or damaged teeth. Smile makeovers are customized to each patient's specific needs and goals, and include teeth whitening, veneers, dental crowns, orthodontics, and other procedures to create a harmonious and visually pleasing smile.
A full smile makeover costs from £55 to £3,000 or more in Turkey. The cost is decided by the case's complexity and the procedures required to attain the desired results. Patients must seek a thorough cost estimate from their dentist based on their specific needs and aspirations.
Smile makeovers are an all-inclusive method of developing a beautiful, harmonious smile. Smile makeovers provide several benefits, beginning with the ability to provide a comprehensive change. A smile makeover combines operations such as tooth whitening, veneers, dental crowns, and orthodontics to create a gorgeous smile design. Smile makeovers are different because each treatment plan is made to fit the goals and interests of the person getting it. Enhanced smile leads to increased self-confidence and self-esteem. Smile makeovers' adaptability helps for the repair of a wide range of abnormalities, from discolouration to misalignment and gaps, providing comprehensive solutions. Many procedures used in smile makeovers provide long-term benefits, ensuring the smile's ongoing beauty.
Smile makeovers are costly especially when many surgeries are involved. A smile makeover requires a large time investment, which lasts several weeks or months depending on the complexity of the situation. Smile makeover procedures, such as orthodontic treatment or tooth preparation for veneers, cause temporary discomfort or sensitivity. Enamel removal for veneers is permanent and requires careful consideration before proceeding. Preserving the outcomes of a smile makeover needs ongoing oral care and hygiene habits to ensure the enhanced smile's long-term beauty and health.
The length of a smile makeover depends on the complexity of the case and the procedures involved. The smile makeover procedure takes anywhere from 30 minutes to an hour. Smile makeovers include various treatments that must be done across several appointments. Achieving the required results requires a series of appointments spread out over several weeks or even months, with each step carefully done to obtain the desired aesthetic consequences. Patients must discuss the timeframe with their dentist to acquire a comprehensive knowledge of the expected duration of their individual smile makeover journey.
The number of visitors seeking smile makeovers as a dental tourism operation is lower than for individual treatments such as teeth whitening or dental implants. Individuals seeking full aesthetic enhancements often choose smile makeovers in Turkey, which include numerous sessions and treatments. Many dental tourism destinations provide extensive cosmetic dentistry services to meet the needs of international clientele seeking transformative smile modifications.
7. Dental crowns and bridges in Turkey
İn Turkish dentistry, crowns and bridges are basic restorative dentistry treatments used to repair or replace damaged or missing teeth, with a focus on restoring functionality and improving aesthetics.
Dental crowns are custom-fitted covers that are precisely created to encase damaged or compromised teeth. Dental crowns efficiently restore a tooth's strength, shape, and look by doing so. Crowns are used when a tooth has decay, a fracture, or has undergone a root canal operation.
Dental bridges are prosthetic devices that replace one or more missing teeth within the dental arch. Dental bridges are made up of prosthetic teeth known as pontics that are securely attached to nearby healthy teeth or dental implants known as attachments. Dental bridges are a great method for restoring a whole smile and maintaining good dental alignment.
The price of fixed crowns and bridges ranges from £250 to £800 in Turkey. Remember that it is a broad price range, and the particular cost for an individual's treatment depends on their unique needs and the pricing structure of the dentist. Individuals must speak with a dental practitioner to acquire an exact cost estimate tailored to their specific condition.
Dental crowns and bridges have numerous advantages. Dental crowns and bridges effectively restore the functionality of injured or missing teeth, helping patients to effectively chew and talk. Dental crowns and bridge appearance are tailored to match the colour and shape of actual teeth, guaranteeing that the finished smile appears completely natural. These restorations are noted for their endurance, especially when made of high-quality materials such as porcelain or zirconia, and last a decade or more with good maintenance. Dental bridges keep nearby teeth from slipping out of position due to the gap created by lost teeth, therefore contributing to the patient's overall oral health. Dental crowns and bridges ultimately provide functional and aesthetic improvements, which considerably increase a patient's self-confidence.
Dental crowns and bridges have several considerations despite their various benefits. Dental crowns and bridges are expensive especially if multiple procedures are needed. The preparation process for dental crowns in Turkey requires the removal of a portion of the native tooth structure, which is irreversible. Patients must commit to regular oral cleanliness and care to ensure the long-term success of dental crownand bridges. The restorations are vulnerable to harm, particularly when they are subjected to extreme force or being bit by harsh things.
Dental crown placement takes between 2 and 3 hours. Dental bridges take 1 to 2 hours to install. Certain time limits differ based on the complexity of the case and the exact procedures involved, but they provide a rough approximation of how long certain dental treatments are expected to take. Patients need to discuss the projected duration with their dentist in Turkey throughout the treatment planning phase so that they have a clear knowledge of the time commitment involved.
8. Full mouth rehabilitation in Turkey
Full mouth rehabilitation is a comprehensive and highly individualized dental treatment plan in Turkey. Full mouth rehabilitation is known as full mouth reconstruction or full mouth restoration. Its major goal is to completely restore an individual's oral cavity's function, attractiveness, and overall health. The all-encompassing approach includes a variety of restorative, aesthetic, and even surgical dental operations that are thoroughly performed to address a wide range of dental disorders and concerns.
A full mouth rehabilitation with four dental implants and a full bridge of 12 teeth usually costs around £18,060 in UK. The total price includes the dental implant costs of £7,800 and the full bridge restoration costs of £10,260. However, the same treatment, known as All-on-4 in Turkey, is approximately 60% more affordable in Turkey, offering significant savings without compromising quality. Individuals must contact their dentist to analyze their specific dental requirements and goals to receive an accurate and individualized cost breakdown.
Full mouth rehabilitation with dental implants and a full bridge provides several important benefits. Full mouth rehabilitation offers a holistic solution for people who have dental disorders, addressing functional and aesthetic concerns in a single treatment plan. The use of dental implants provides a sturdy and stable basis for the complete bridge, improving chewing and speaking skills. The entire bridge of 12 teeth provides a natural-looking smile makeover, which results in increased self-confidence and a better overall quality of life. Patients enjoy the benefits of dental implants and well-crafted bridges for many years with proper care, making it a beneficial long-term investment in their oral health and well-being.
There are downsides to consider while whole mouth rehabilitation with dental implants and a full bridge has many advantages. Financial commitment is a barrier for other people in UK and USA. The treatment time is rather long, spanning several months to get the desired results. The surgical part of dental implant insertion requires planning, and there are patients who have temporary discomfort or healing time. The permanent nature of some operations, such as tooth extraction for implants, needs careful preparation and consultation with the dentist before proceeding.
The extensive process takes several weeks to up to six months or more. Full mouth rehabilitation requires numerous appointments, each dedicated to a specific treatment, rigorous planning, and the healing and integration period required for dental implants. The lengthy timeline is due to the requirement for optimal healing, the procedure's step-by-step structure, and the tailored character of whole-mouth rehabilitation. Patients must talk with their dentist in Turkey to determine a realistic timescale adapted to their unique case and treatment plan while keeping in mind that getting the desired outcomes takes several months.
The proportion of visitors actively seeking full mouth rehabilitation as part of their dental tourism experience depends on the capabilities of the site and the availability of complete dental services. Full mouth rehabilitation is a desirable choice for people with serious dental problems, but because it is so individualized and comprehensive, fewer visitors choose to receive it. Individual procedures that meet their immediate needs and aims are chosen by dental travellers.
What is a dental work in Turkey?
Dental treatment in Turkey is a wide range of medical operations and interventions carried out by skilled dental professionals to diagnose, prevent, manage, or correct various oral health diseases and conditions in. The services include preventive measures such as regular check-ups and cleanings, restorative procedures such as fillings and crowns to repair damaged teeth, orthodontic interventions for teeth alignment, surgical treatments such as extractions and dental implants, cosmetic enhancements such as teeth whitening and veneers to improve aesthetics, and comprehensive rehabilitation plans to address complex oral health challenges. The basic goals of dental works in Turkey are to preserve good oral health, relieve pain and suffering, restore functionality, improve aesthetics, and avoid future dental problems. Dental care fosters general well-being because it ensures the health and proper function of the teeth, gums, and mouth.
What is the most popular dental treatment that foreigners avail in Turkey?
Dental implants and veneers are among the most popular treatments for "Getting Turkey teeth" among patients coming from the UK and the US. Turkey has become a leading destination for dental tourism due to its high-quality, affordable dental care. Dental implants, which replace missing teeth with a durable, long-lasting solution, are available at a fraction of the cost compared to the UK and US, making them an attractive option for many. Veneers, which are used to improve the appearance of discolored, misaligned, or chipped teeth, are also highly sought after. With advanced technology and skilled professionals, Turkey offers these treatments at significantly lower prices, attracting international patients looking for top-notch results without the hefty price tag.
How much does dental treatment cost in Turkey?
Dental treatment in Turkey costs between £55 and £850. The comprehensive collection includes a wide range of dental procedures that appeal to a variety of dental needs and tastes. Patients are capable of finding a suitable alternative within the price range for everything from routine check-ups and cleanings to more intricate and advanced treatments such as dental crowns, bridges, or implants.
Various factors contribute to the wide range of dental treatment expenses. The location of the dental clinic affects the pricing. Clinics in larger cities or prominent tourist sites charge more than clinics in smaller towns or rural areas. The cost is influenced by the reputation and expertise of the dentist doing the surgery. Highly skilled and well-known dentists charge a premium for their services.
Materials used in dental operations have an impact on the overall cost. The type of dental crown material selected, for example, porcelain, metal, or a mix causes price changes. The cost of dental treatments in Turkey is affected by the quality of dental implants and the brand of materials utilized.
Contact dental clinics directly to receive the most precise and up-to-date pricing for your individual dental needs. Dental specialists provide precise cost estimates based on an individual's specific needs, taking into account aspects such as the procedure's intricacy, the materials involved, and any extra services or treatments required. The customised approach ensures that individual receives reliable information that is tailored to their dental health and financial needs.
Is it more affordable to have dental treatment in Turkey compared to Costa Rica?
Yes, Dental treatment is more affordable in Turkey than in Costa Rica. Turkey has been a popular dental tourism destination due to its affordable prices, high-quality dental services, and modern facilities. The reduced cost of living and overhead expenses in Turkey help to make dental treatments more affordable. The country has a well-established dental tourism infrastructure, making it easier for international patients to obtain affordable dental care without sacrificing quality.
Study and select a reputable dental clinic or practitioner to receive safe and high-quality care. The final cost is influenced by factors such as the exact dental operation, the clinic's location, and the dentist's experience. The cost-effectiveness of dental treatment varies from case to case, so it is best to get tailored quotations and include all associated costs, such as travel and lodging, before making a decision.
What is the advantage of getting dental treatment in Turkey?
Dental Professionals with Experience and Fluency in English: Turkey has a trained and experienced pool of dental experts, many of whom are proficient in English. This linguistic advantage guarantees that patients and dentists communicate well, removing language obstacles and facilitating a pleasant dental visit.
Cost of quality dental care in Turkey: The cost-effectiveness of treatments is one of the fundamental draws of dental tourism in Turkey. Dental procedures are frequently greatly less expensive in Turkey than in many Western countries, allowing patients to receive high-quality care without breaking the bank.
Dental Care of the Best Quality: Turkey is renowned for maintaining good standards in dental care despite offering affordable costs. Many dental facilities in the country comply with international quality standards and use cutting-edge equipment and techniques to ensure that patients receive the best dental care available.
Dental Treatment Packages in Turkey That Include Everything: Dental tourism in Turkey provides all-inclusive treatment packages that include dental procedures, lodging, and transportation. The packages make it easier for patients to get complete dental care by simplifying the logistics of dental travel.
Dental Clinics that are modern and sanitary: Dental clinics in Turkey frequently have contemporary and sanitary facilities. The clinics prioritise patient safety and comfort, following strict cleanliness measures to keep dental treatments clean and sterile.
Is there any disadvantage of getting dental treatment in Turkey?
Yes, there are disadvantages to getting dental treatment in Turkey. Keep in mind that there are situations where people encounter dentists who lack the appropriate qualifications or who perform procedures they are not authorised to do. Turkey is home to many highly experienced and qualified dentists, but note that the case differs in every country. Conducting thorough research and exercising due investigation before selecting a dental expert. Patients must seek clinics that have a reputation for hiring qualified and experienced dentists, and they must not be afraid to inquire about their dentist's qualifications and experience.
Dental practises and treatment approaches evolve in tandem with advances in dentistry. Turkish dentists who do not prioritise ongoing education and career advancement come across certain patients. Stay current on the latest developments to know Costa Rica vs Turkey Dental Treatment: Prices, Pros and Cons. Patients are urged to inquire about a dentist's dedication to continuing education alongside the most up-to-date procedures and technologies used in their practise.
Dental finance solutions in Turkey are not as widespread or as adaptable as in other nations. Patients must be prepared to pay for their dental treatment upfront or look into alternate payment options. It requires cautious budgeting, especially for major or pricey dental procedures.
Dental visitors visiting Turkey must be aware of the necessary travel papers. A valid passport or identity card, which is a basic need for foreign travel, is usually included. Patients must verify they have the required documents to enter and exit the country, even if they are not seeking dental care.