Costa Rica vs. Turkey Dental Treatment: Prices, Pros, Cons
HomeMyra BlogCosta Rica vs. Turkey Dental Treatment: Prices, Pros, Cons
Loading...
Dt. Erdem Çetin
Born in Stuttgart, Germany in 1979, Dr. Dt. Erdem Çetin began his education in Kırşehir and completed his schooling there, from primary school through to high school. He then successfully completed his university education at the Faculty of Dentistry at 19 Mayıs University in Samsun.
Costa Rica and Turkey have established themselves as two of the most popular locations in the world for dental tourism due to the availability of a wide variety of treatments at affordable prices. The ever-increasing cost of dental care in North America and Europe has led a significant number of patients to seek treatment elsewhere in the world. Dental tourism is on the rise, and both Costa Rica and Turkey are ideal destinations because they provide beautiful scenery and interesting cultural experiences in addition to high-quality dental care.
Dental treatment includes a wide variety of operations performed to improve or restore a patient's oral health and smile. These operations range from relatively simple dental checkups, cleanings, and fillings to significantly more involved root canal therapy, orthodontics, and dental implant placement. Correcting dental abnormalities, preventing or treating oral illnesses, and improving general dental health and cosmetics are the basic goals of dental orthodontics.
Numerous people travel to Costa Rica because of the low cost of living and the high quality of dental care available there. The phrase "Costa Rica dentistry prices" has become synonymous with affordability as a result of the country's widespread practice of providing dental care at prices that are typically only a fraction of those charged in the United States or Europe. For instance, "Costa Rica dental implants," which are a popular remedy for missing teeth, are obtained at a much lower cost when compared to the prices in many Western countries. A trip to a "dentist in Costa Rica" for routine procedures such as crowns, bridges, or veneers is often significantly more affordable than a trip to a dentist in the United States. On the other hand, Turkey, with its cutting-edge clinics and highly qualified dentists, offers treatments at prices that are comparatively affordable. It's especially true when one considers the excellent level of care and cutting-edge technologies that are utilised in Turkey's clinics.
Dental tourists are going to benefit from visiting Costa Rica and Turkey for a number of different reasons. The country of Costa Rica benefits greatly from its close proximity to North America. The accessibility of the country, as well as the attractions it offers to eco-tourists and those interested in the country's diverse ecosystems, attract a lot of visitors. The increased popularity of the search term "dentist in Costa Rica" shows that more and more people are hearing about the excellent dental treatment available in the country as a whole. Patients are guaranteed to receive the highest attainable level of care due to the implementation of cutting-edge methods and components, particularly the "Costa Rica dental implants" procedure. Cities like Istanbul and Antalya in Turkey, which are ideally placed between Europe and Asia, claim to have dental facilities that are on par with the best in the world. The juxtaposition of contemporary culture and deep historical roots creates a one-of-a-kind experience. Patients receive superior care as a result of the nation's dedication to the most cutting-edge dental technology and dentists who have received training in other countries.
Think about the potential downsides when considering having dental treatment in Turkey and Costa Rica. There are additional expenditures associated with travel, housing, and unanticipated issues in the case of Costa Rica. These costs arise despite the fact that "Costa Rica dentistry prices" are low. Do research and select a trustworthy "dentist in Costa Rica" in order to avoid receiving care that is not up to quality. The inability to communicate effectively is still another drawback. It is difficult for some overseas patients to receive treatment in Turkey due to the language barrier, although the quality of dental care is generally high. Any post-treatment difficulties demand a return journey, which adds both expense and hardship to the total situation.
An initial consultation is often the first step in the dental treatment method, regardless of whether it is being carried out in Costa Rica or Turkey. The dentist evaluates the requirements of the patient and makes recommendations for the most suitable therapy during the consultation. A good number of the country's dental clinics provide all-inclusive packages that cover not only the dental treatment itself but as well as the arrangements for travel and lodging, given the popularity of "Costa Rica dentistry prices." A post-operative appointment, whether for "Costa Rica dental implants" or elsewhere, is standard practice to check the patient's progress and handle any remaining issues. It is common practice in Turkey for medical facilities to provide patients from other countries with the assistance of interpreters to ensure that they are understood and that they feel comfortable during their treatment. Patients in both countries have come to anticipate meticulous sterilisation procedures, the utilisation of cutting-edge technology, and strict adherence to international dental care standards. It is because both countries are committed to providing exceptional dental care.
Dental Treatment
Turkey
Costa Rica
Dental Implants
£400 - £850 per implant
£663 - £1,326 per implant
Dental Crowns
£140 - £720 per crown
£221 - £663 per crown
Dental Bridges
£420 - £2,160 per bridge
£663 - £1,989 per bridge
Teeth Whitening
£350 per session
£265 - £530 per session
Root Canal
£60 per tooth
£195 - £586 per tooth
Dental Veneers
£140 - £300 per veneer
£195 - £489 per veneer
Inlays/Onlays
£215 - £265 per tooth
£293 - £978 per tooth
What is dental treatment?
Dental treatment is an all-encompassing word that refers to a wide variety of operations and interventions that are performed with the goal of conserving, enhancing, and restoring an individual's oral health. The foundational aspects of preventive care include regular checkups, dental cleanings, and instructions on oral hygiene. Diagnostic services, such as X-rays and examinations, are performed for the prompt identification of problems such as gum disease, tooth decay, and oral cancer. Dental treatment acts as the primary line of protection towards oral diseases.
The term "dental treatment" encompasses a vast range of specialist procedures, each of which is aimed to address a particular issue that goes beyond these fundamental services. These include oral surgery such as dental fillings of crowns, and bridges to repair teeth that have been damaged or decayed. Endodontic procedures such as root canals for the treatment of infested or weakened dental pulp. Periodontal procedures for gum diseases. Orthodontic interventions such as braces and aligners to straighten the positioning of the teeth and bite. Prosthetic methods such as dental implants and dentures for replacing missing teeth. Lastly, even cosmetic dental treatments such as teeth whitening, veneers, and bonding to improve the appearance of teeth
Getting dental care typically requires going under the knife for extractions of teeth and surgeries on the gums. All of these treatments have the same underlying objective, which is to assure optimal oral health, functionality, and aesthetics while simultaneously preventing or curing diseases and ailments that affect the mouth and the patient's overall health.
What are the different dental treatments?
The different dental treatments are listed below.
Teeth Whitening: The term "teeth whitening" refers to a cosmetic process that lightens the colour of a person's teeth. High-concentration bleaching agents used in the dentist's office and at-home bleaching kits with lower concentrations are used for the procedure. It works by removing stains and discolouration from teeth, which results in a smile that is brighter and whiter.
Dental Implants: Dental implants are artificial tooth roots that are placed into the jawbone during oral surgery. These implants serve as anchors for prosthetic teeth such as crowns, bridges, and dentures.
Wisdom Tooth Extraction: Extraction of wisdom teeth refers to a surgical treatment that removes one or more third molars (often referred to as "wisdom teeth") that have become impacted and are the source of either pain or concerns with alignment.
Gum Disease Treatments: Treatments for Gum Disease include non-surgical procedures like scaling and root planing, as well as surgical treatments such as flap surgery or bone and tissue transplants. These procedures are used to treat infections of the gums, which is caused by gum disease.
Root Canal Therapy: The term "root canal therapy" refers to a procedure that treats the infected or injured inner pulp of a tooth. The infected pulp needs to be removed, the inner chamber needs to be cleaned and disinfected, and then the chamber needs to be sealed.
Dental Crowns and Bridges: Dental crowns and bridges are restorative procedures in which a crown "caps" or covers a broken tooth or implant, and a bridge anchors between two healthy teeth or implants to replace one or more missing teeth.
Orthodontic Treatments: Orthodontic Treatments are procedures that are targeted at straightening teeth and jaws that are not aligned properly. They consist of metal, ceramic, or lingual braces, aligners made of clear plastic, retainers, and other orthodontic products.
Oral Surgeries: Oral Surgeries are any surgical treatments that are related to the mouth. Examples of oral surgeries include extractions of teeth, implant placements, corrective jaw operations, and the treatment of oral malignancies or cysts.
Veneers and Laminates: Oral Surgeries are any surgical treatments that are related to the mouth. Examples of oral surgeries include extractions of teeth, implant placements, corrective jaw operations, and the treatment of oral malignancies or cysts.
Fillings and Restorations: Restorations and fillings are materials used to repair teeth that have been broken or decaying. Materials vary from amalgam and composite resin to gold and ceramics, depending on the severity of the decay or damage.
1. Teeth whitening
Teeth whitening is a cosmetic dentistry operation that removes stains and discolouration from the teeth, as well as lightens the colour of the teeth themselves. It is one of the most common dental cosmetic treatments because it dramatically enhances the smile.
The method involves the application of a bleaching agent, most frequently carbide peroxide or hydrogen peroxide, to break stains into smaller pieces, making them less concentrated and resulting in brighter teeth. The bleaching agent is applied to the teeth in order to make them whiter.
Teeth whitening is conducted either at a dental office by a trained expert or at home under the supervision of a dental hygienist depending on the potency of the bleaching chemical. Not all tooth discolouration responds well to the technique of teeth whitening, thus it is necessary to check with a dental specialist before performing the procedure. Whitening is not a one-time process; rather, it is something that needs to be done on a regular basis in order to keep the teeth looking their brightest.
The cost of dental care is much lower in Turkey and Costa Rica compared to more industrialised countries, which has made both countries a favourite destination for dental tourism due to the substantially reduced cost of dental treatment.
Prices are typically stated in the nation's national currency, which in the case of Turkey is the Turkish Lira (TRY), and in the case of Costa Rica is the Costa Rican Colón (CRC). For instance, the cost of teeth whitening treatments in a professional setting is around £350. The cost of the identical surgery in Costa Rica ranges anywhere from £265.24 to £530.48.
It is essential to keep in mind that the prices listed here are only estimates, and that actual costs vary greatly depending on the particular dental clinic, the level of experience of the dentists working there, and the intricacy of the necessary treatment. It is important to factor in any additional costs, such as those associated with travel, lodging, and potential subsequent procedures.
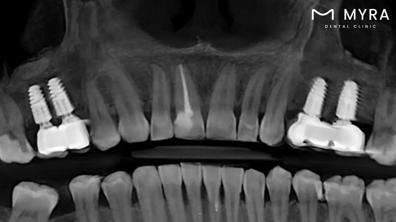
2. Dental implants
Dental implants are artificial tooth roots that are inserted into the jawbone via a surgical procedure. They are used to replace one or more lost teeth. These implants, which are mostly made of titanium, a material that is biocompatible, and are put into the jawbone in such a way as to duplicate the root structure of a tooth, are generally biocompatible.
Osseointegration is the process by which the bone grows around the implant and integrates with it; it happens over the course of time and keeps the implant firmly in place. The top of the implant is fitted with an abutment after the fusion has taken place, which makes it achievable to restore the missing tooth with a dental crown, bridge, or denture. The end result is a tooth replacement that appears and functions just like a natural tooth.
Dental implants are becoming increasingly popular as a result of their long-term durability and stability as well as their nearly natural feel and function. They not only provide a replacement that is aesthetically beautiful, but they help in protecting the bone structure, which frequently deteriorates when a tooth is lost. Bone health, oral cleanliness, and overall health all have an effect on the success and longevity of dental implants, so it's important to get a professional opinion before making the decision to get implants.
Dental implants are one of the most expensive treatments that are performed in the dentist's office; nevertheless, the fact that they last a lifetime and provide both practical and aesthetic benefits frequently make the investment worthwhile. These treatments are available in Turkey and Costa Rica, two countries that have become popular destinations for dental tourists, at prices that are significantly more affordable than in many Western countries.
Expect to pay anywhere from £400 as Osstem implant to £850 as Straumann implant for each implant in Turkey. The price of a dental implant varies depending on the brand, the material, and the experience level of the dental surgeon; but, in general, anticipate paying the required amount.
The cost of a single dental treatment implant ranges from 450,000 (£663.10) to 900,000 (£1326.20) CRC in Costa Rica. These expenses are comparable to other countries' prices.
These figures take into account both the cost of the implant itself as well as the cost of the surgical procedure required to place it. There is a chance that additional fees are going to be incurred for the crown, the abutment, and any necessary preparatory operations, such as bone grafts or sinus lifts. It's important to talk to dental clinics in these countries personally to get accurate and up-to-date pricing information, since prices change based on the economy, inflation, and other factors.
3. Wisdom tooth extraction
Wisdom tooth extraction is a popular dental procedure used to get rid of the third molars, or "wisdom teeth," in the back of the mouth. Wisdom teeth are those third molars that normally erupt in the late stages of adolescence or the early stages of adulthood. These teeth are problematic if they are crooked, impacted, or only partially erupted. These difficulties include discomfort, infections, and damage to the teeth that are adjacent to the affected tooth, in addition to other concerns that affect oral health.
It is common for an impacted wisdom tooth, which is a tooth that does not have enough space to grow, to cause cysts, damage the teeth that are close to it, or lead to decay and infection. It is standard procedure for dental experts to advise patients to have their wisdom teeth extracted in order to avoid or treat the associated issues.
The operation, in most cases, is performed under either local anaesthesia, sedation, or general anaesthesia, depending on the degree of difficulty of the situation and the level of comfort the patient requires. Patients are likely to feel some temporary soreness, swelling, or bleeding, all of which are expected to go away within a few days at the most after having their teeth extracted.
The price of having a wisdom tooth removed varies widely based on a number of aspects, including the degree of difficulty involved in the treatment, the level of experience possessed by the oral surgeon performing the procedure, and the location of the patient's home country.
The removal of a single wisdom tooth runs around £100 in terms of expense in Turkey. The estimate is subject to alter in the event that surgical intervention is required for impacted teeth or if general anaesthesia is required, both of which result in an increase in cost.
The cost of removing a single wisdom tooth in Costa Rica ranges anywhere from 90,000 (£132.62) to 200,000 (£294.71) CRC, depending on its location. Surgical complexity and the requirement for post-extraction medications, such as antibiotics in Turkey, drive up the cost of extraction.
It is very important to keep in mind that these are only estimates, and the actual expenses vary greatly depending on the specifics of the situation. These anticipated costs do not take into account any further expenditures that are necessary, such as X-rays or other diagnostic tests, as well as post-operative care. Dental clinics in these nations are the best people to ask about up-to-date and accurate pricing because of the many factors at play, such as the economy and the likelihood of inflation.
4. Gum disease treatments
Gum disease, known as periodontal disease, is an infection of the gums that eventually harm the bone that surrounds and supports the teeth. Gum disease is sometimes referred to as periodontitis. It is primarily caused by germs that develop as a result of plaque buildup, and if it is not treated promptly, it leads to the loss of teeth as well as other serious health concerns.
There are two primary phases of gum disease; gingivitis, which just affects the gums, and periodontitis, which affects the bone behind the gums. Gum inflammation, bleeding, foul breath, tooth movement, and redness and swelling are all symptoms of periodontitis.
Different courses of treatment are recommended for patients with gum disease of varying degrees of severity. Gingivitis is cured by maintaining a strong oral hygiene practise at home in addition to going to the dentist for regular professional cleanings. Periodontitis is treated with scaling and root planing, which is a type of deep cleaning, as well as with drugs and, in more severe cases, surgical procedures such as flap operations or bone and tissue transplants for more advanced periodontitis.
The amount spent to treat gum disease ranges significantly depending on the severity of the problem, the treatments that must be performed, and the country in which the patient resides for treatment.
The cost of a session of scaling and root planing in Turkey, which is one of the first and most frequently performed treatments for periodontitis, range anywhere from £14.79 to £44.37 each quadrant of the mouth. Scaling and root planing is one of the initial and most common therapies for periodontitis. Prices for more complex operations, such as periodontal surgery, cost anywhere from £73.95 to £207.06, depending on the degree of difficulty involved.
The cost of a scaling and root planing session in Costa Rica, ranges from 50,000 (£73.68) to 150,000 (£221.03) CRC per quadrant. On the other hand, surgical interventions cost anywhere from 200,000 (£294.71) to 600,000 (£884.13) CRC depending on the specific treatment that needs to be performed and how complicated it is.
These are just estimates; the actual cost is going to depend on the specifics of each patient's situation, as well as the reputation of the dental clinic, the level of experience possessed by the periodontist, and a host of other considerations. It is vital to make direct contact with dental clinics in these nations in order to obtain accurate and up-to-date pricing information. It is because costs are influenced by a wide variety of economic situations.
5. Root canal therapy
Root canal therapy, more colloquially known simply as "root canal," is a dental surgery meant to cure an infection or damage that has occurred within the pulp (the interior soft tissue) of a tooth. Pulp inflammation and infection, brought on by factors including severe decay, frequent dental operations, defective crowns, or trauma, are extremely painful and even result in an abscess. It causes severe discomfort, swelling, loss of bone around the leading edge of the root, and ultimately tooth loss if it isn't treated.
The infected pulp is removed during the root canal therapy process, followed by washing and sanitising the space within the tooth, and finally filling and sealing the area. The tooth must either have a crown placed over it or a filling placed in it so that it regains its strength and usefulness after the surgery is over. Getting a root canal treatment today is often as comfortable and as painless as getting a routine filling, particularly when conducted by trained specialists using modern procedures and anaesthesia.
The price of having a root canal treatment performed varies greatly depending on the position of the affected tooth (anterior or posterior), the degree of difficulty associated with the procedure, and the nation in which the treatment is carried out.
Root canal therapy is obtained for a wide range of prices across Turkey. Root canal treatment for a single tooth typically costs between £60 to £135.99. The cost is typically determined by the intricacy of the tooth, with the cost of treating molars normally being higher because of the many roots that they contain.
Costs for root canal therapy are comparable to those in neighbouring countries, such as in Costa Rica. The cost of a single tooth ranges anywhere from around 100,000 (£147.36) to 300,000 (£442.07) CRC. Molars typically have a higher price tag because of the increased complexity involved in the process of treating numerous canals.
These are just some rough estimates; the actual expenses are going to depend on the particular clinic, the level of experience the dentist has, and the degree of difficulty of the case. The root canal operation itself is typically included in the rates listed above, but there are going to be additional costs incurred for any post-treatment restorations such as crowns. It is recommended that direct consultation with dental clinics in the countries in question be sought out in order to obtain accurate and up-to-date pricing information.
6. Dental crowns and bridges
Crowns and bridges are types of dental prosthetics that serve the dual objective of restoring functioning and enhancing the looks of teeth that have been damaged or lost. A dental crown is a construction that resembles a cap and is designed to fit over the entire visible portion of a tooth, enclosing it in this manner.
Crowns are often used to replace teeth that have been damaged, severely decaying, or weakened owing to the use of large fillings or root canal therapy. These teeth typically require a custom-made crown that matches the size, shape, and colour of natural teeth.
The replacement of one or more lost teeth is accomplished with the use of a dental bridge. A typical bridge requires the creation of a crown for each of the teeth that are adjacent to the gap left by the missing tooth, as well as a pontic, or fake tooth, to fill the space created by the bridge. Dental bridges not only fill the space created by missing teeth, but they prevent the teeth that surround the gap from shifting, which helps to preserve the structure of the dental arch. The crowns and bridges are crafted out of a variety of materials, including porcelain, ceramic, metal, or a combination of these, based on the practical requirements and aesthetic preferences of the patient.
The cost of dental crowns and bridges fluctuate greatly depending on a number of factors, including the type of material used, the level of experience of the dental practitioner doing the surgery, and the nation in which the procedure is carried out.
The price of dental crowns in Turkey, range anywhere from £140 to £300 per crown, depending on the material. The price of a bridge is often determined by the cost per crown that is included in the procedure in addition to the cost of the pontics. A cost is calculated after calculating the number of lost teeth and the number of supporting teeth.
The cost of dental crowns in Costa Rica, range anywhere from 150,000 (£221.03) to 450,000 (£663.10) CRC, depending on the material used and the level of difficulty. The price is determined by the cost per dental crown as well as the cost of the pontics; as a result, the cost of a bridge with three units range anywhere from 450 000 (£663.10) to 1 350 000 (£1989.29) CRC.
It is essential to keep in mind that the rates shown here are approximations, and that the actual costs are going to vary from patient to patient and from clinic to clinic based on a variety of criteria including reputation and location. These estimates do not take into account any additional expenses that are incurred in the course of treatment, such as preliminary consultations, X-rays, or provisional crowns. It is highly recommended to speak with dental clinics in Turkey and Costa Rica on a one-on-one basis in order to obtain the most precise and up-to-date price information.
7. Orthodontic treatments
Orthodontic treatments focus mostly on realigning teeth and jaws that are not in the correct position in order to improve oral function and attractiveness. The actually comprises a wide range of devices and procedures that is performed on patients of any age, although many people connect orthodontics with the use of conventional metal braces during the adolescent years.
These procedures operate by gently shifting teeth into their ideal locations by applying moderate forces that are regulated by a practitioner. The level of difficulty of the situation, the individual's preferences, and the patient's budget are the primary factors that typically guide the selection of orthodontic treatment.
Clear aligners such as Invisalign are one option among many others, including typical metal braces, ceramic braces, lingual braces (which are inserted on the inner side of the teeth), and traditional metal braces. Orthodontists are able to fix overbites, underbites, crossbites, and open bites along with straightening teeth and eliminating gaps. The right orthodontic treatment is able to improve a patient's oral health by lowering their risk of tooth decay, gum disease, and tooth wear. It has the potential to improve the patient's ability to speak clearly and chew food effectively.
The cost of orthodontic treatment varies greatly depending on the method that is selected, the length of time that treatment is to be administered, and any extra operations or equipment that is required.
The total cost of treatment with traditional metal braces in turkey, range anywhere from £88.74 to £295.80, and the process takes anywhere from one to two years. Ceramic braces are a bit more expensive, ranging anywhere from £147.90 to £354.96. It's because ceramic braces are more aesthetically pleasing. Prices for clear aligner procedures such as Invisalign often range from £443.70 to £739.50 or more for the whole treatment course because of the customization and material involved.
The price of traditional metal braces in Costa Rica, range anywhere from 1,200,000 (£1768.26) to 3,500,000 (£5157.43) CRC. The cost of a thorough treatment with ceramic braces ranges from 1,500,000 (£2210.33) to 4,500,000 (£6630.98) CRC, while the cost of a treatment with transparent aligners such as Invisalign range anywhere from 3,000,000 (£4420.65) to 6,000,000 (£8841.30) CRC.
It is vital to keep in mind that these are only rough estimates, and that the actual expenses vary greatly depending on the specific requirements, the experience level of the orthodontist, and the physical location of the clinic. Fees typically include the entirety of therapy, including follow-up visits and adjustments. It is recommended that direct consultation be sought out with orthodontic clinics located in both nations in order to obtain the most accurate and recent figures necessary.
8. Oral surgeries
Oral surgeries refers to a wide range of surgical treatments that are performed on the teeth, mouth, face, and jaws. Dentoalveolar surgery, which focuses on the teeth and the structures that support them, and maxillofacial surgery, which concentrates on the jaws and face, are the two primary classifications that are used to these procedures.
The removal of teeth (including the removal of wisdom teeth), the implantation of dental implants, and the treatment of dental abscesses are all examples of common dentoalveolar procedures. The field of maxillofacial surgery, on the other hand, include treatments such as corrective jaw surgery, treatment of face damage, removal of a cyst or tumour, and surgeries that deal with congenital or developmental facial defects.
These surgical treatments are performed for a wide variety of causes, ranging from those that are considered to be medical necessity, such as the removal of impacted teeth or the treatment of face infections, to the ones that are considered to be elective procedures, such as the enhancement of facial aesthetics or the alignment of the jaw. Oral and maxillofacial surgeons have significant training to deal with the complexity of the face, which is why their services are so essential.
There is a wide range of variability in the cost of oral operations due to factors such as the particular technique that is being performed, the level of experience and training of the surgeon, the equipment and standards of the facility, and the nation in which the surgery is being performed.
The price of a basic tooth extraction in Turkey, ranges anywhere from £50. The price of extracting an impacted wisdom tooth ranges from £100 per tooth. Prices for more sophisticated operations, such as jaw surgeries or cyst removals, vary greatly, and are anywhere from £100 to £739.50, depending on the complexity of the procedure.
The cost of a simple tooth extraction in Costa Rica, is anywhere from 30,000 (£44.21) to 100,000 (£147.36) CRC. The removal of an impacted wisdom tooth runs between 150,000 (£221.03) and 350,000 (£515.74) CRC in terms of cost per tooth. Surgical procedures that are difficult to do, such as corrective jaw surgeries or removal of tumours, cost anywhere from 1,000,000 (£1473.55) to 5,000,000 (£7367.75) CRC or even more, depending on the difficulty of the procedure.
These numbers are only approximations, and individual instances vary significantly depending on the specific requirements as well as other aspects such as the reputation of the clinic or its geographical location. There are additional expenses incurred for post-operative care, drugs, or devices that are required. Patients considering oral surgery in Turkey or Costa Rica are required to directly consult with oral surgery centres in those countries.
9. Veneers and laminates
Veneers and laminates are both types of thin shells that are used to cover the front surface of teeth in order to alter how they look. These shells are produced to order and are bonded to the teeth to alter their appearance in terms of colour, shape, size, or length. Porcelain or resin composite materials are used to manufacture these items.
The term "veneer" is commonly used to refer to a thin layer of restorative material that is placed over the surface of a tooth. It is done to improve the tooth's appearance or to prevent the surface of the tooth from being damaged. Composite and dental porcelain are the two primary forms of material that are utilised in the fabrication of veneers.
The terms "laminates" and "porcelain veneers" are frequently used interchangeably. Dental laminates, which are produced from porcelain, have a great resistance to staining and closely mirror the light-reflecting features of natural teeth. They are extremely stain resistant. Porcelain veneers have a longer lifespan and are less likely to become discoloured over time compared to veneers made from resin. On the other hand, they are more brittle than their composite counterparts and call for a greater amount of the tooth structure to be removed. Composite veneers are less expensive than porcelain veneers and put in a single appointment. However, composite veneers don't last as long as porcelain veneers and do not provide the same aesthetic.
Pricing for veneers and laminates change based on the type of material that is used, the quality of the dental laboratory, the experience of the dentist, and the country in which the procedure is performed.
The cost of porcelain laminates or veneers range anywhere from £265 per tooth in Turkey. The consultation, tooth preparation, and application of the veneer are all included in the price of the service. Composite veneers cost anywhere from £14.79 to £44.37 per tooth and are placed more quickly and at a lower cost than traditional veneers.
There is a price range in Costa Rica that ranges from 200,000 (£294.71) to 500,000 (£736.78) CRC per tooth for porcelain veneers or laminates. Prices for composite dental veneers per tooth cost anywhere from 100,000 (£147.36) to 250,000 (£368.39) CRC.
These are only some broad pricing ranges; the actual cost is going to differ depending on the individual's requirements, the reputation of the clinic, and any extra operations that are necessary. It is usually suggested to consult directly with dental clinics in Turkey and Costa Rica for the purpose of obtaining thorough information regarding price and treatment alternatives.
10. Fillings and restorations
Dental fillings and restorations are treatments that are used to restore teeth that have been compromised as a result of decay or damage. These procedures are performed by a dentist.
The most frequent procedure used to cure cavities, which are holes that grow in the teeth as a result of tooth decay, are fillings. They initially "fill" the area on the tooth that was previously occupied by the decayed material, and then they are going to remove the section of the tooth that has decayed when a dentist finds a cavity in a patient's tooth. Porcelain, amalgam (silver), gold, composite resins, and tooth-coloured resins are some of the materials that are used to make fillings.
The term "restorations," on the other hand, is commonly used to refer to a wider variety of treatments that restores the structure and function of a tooth. Fillings are part of the category known as Restoration, which encompasses other dental procedures such as bridges, crowns, inlays, and onlays. For example, an inlay is similar to a filling in that it is pre-made and cemented into place, however an onlay covers a bigger amount of the tooth and covers more of the tooth's surface. The primary goal is to repair the tooth's integrity as well as its function, while simultaneously working towards the goal of achieving a natural appearance.
The cost of fillings and restorations vary greatly depending on the type of material that is used, the duration of the process, the level of experience possessed by the dentist, and the nation in which the patient receives treatment.
Fillings made of amalgam, sometimes known as silver, are among the most reasonably priced options in Turkey, with prices ranging from £42.96 to £68.87 per tooth. Composite fillings, which are tooth-coloured, cost anywhere from £60 per tooth. The cost of more sophisticated restorations such as inlays and onlays range anywhere from £220, depending on the type of material used and the level of difficulty.
The cost of an amalgam filling in a tooth in Costa Rica ranges anywhere from 20,000 (£29.47) to 60,000 (£88.41) CRC. Fillings made of composite material have a CRC range of 40,000 (£58.94) to 120,000 (£176.83) per tooth. The complexity of the design and the type of material utilised for the inlays and onlays determine the price range, which range anywhere from 150,000 (£221.03) to 500,000 (£736.78) CRC.
These are only rough estimates, and the total price ends up being significantly different depending on the particular requirements, the reputation of the dental clinic, and the geographical location of the practise. Prospective patients looking for the most accurate and up-to-date pricing information must make direct contact with dental clinics in Turkey and Costa Rica.
How much does dental treatments cost in Costa Rica?
Dental care in Costa Rica is much more affordable than in the United States, Canada, and many European countries. Costa Rica has been a popular destination for people seeking dental care because of its low prices. Foreign patients are attracted to the country because of its commitment to maintaining high standards in dental care and its implementation of cutting-edge technologies.
Dental appointments in Costa Rica range anywhere from free to approximately 50,000 (£73.68) CRC, the country's currency. The cost of routine operations such as having the teeth cleaned range anywhere from 30,000 (£44.21) to 60,000 (£88.41) CRC. People who need restorative procedures typically receive composite fillings ranging in size from 40,000 (£58.94) to 120,000 (£176.83) CRC per tooth. Tooth extractions range anywhere from 30,000 (£44.21) to 150,000 (£221.03) CRC in price depending on the level of difficulty involved in the process. Root canals, which are essential to the process of preserving problematic teeth, typically cost between 150,000 (£221.03) and 350,000 (£515.74) CRC, with the exact amount depending on the tooth that is being treated.
The cost of dental crowns range anywhere from 200,000 (£294.71) to 500,000 (£736.78) CRC depending on the material (for example, porcelain or zirconia) that is utilised. Costs for a dental bridge that consists of three units range from 600,000 (£884.13) to 1,550,000 (£2284.00) CRC. The implant post alone cost anywhere from 500,000 (£736.78) to 900,000 (£1326.20) CRC, but the crown is an additional cost that ranges anywhere from 200,000 (£294.71) to 500,000 (£736.78) CRC.
Dental implants are a revolutionary alternative for tooth replacement, but the implant post alone costs anywhere from 500,000 (£736.78) to 900,000 (£1326.20) CRC. Costs associated with cosmetic treatments, in particular veneers, range anywhere from 200,000 (£294.71) to 500,000 (£736.78) CRC per veneer.
The cost of a full set of dentures that includes both top and bottom portions can normally range anywhere from 400,000 (£589.42) to 1,200,000 (£1768.26) CRC for a person who is looking for full dentures. Patients are likely to be spending anywhere from 1,200,000 (£1768.26) to 3,500,000 (£5157.43) CRC for the entirety of their orthodontic treatment, which includes the purchase of braces.
It is important to keep in mind that these are just estimates. Prices are likely to change over time as a result of a variety of variables, including advances in medical technology, general price increases, and variations in the services provided by different clinics. It is nevertheless wise for prospective patients to request direct prices from clinics and compare them with testimonials and reviews in order to obtain a full evaluation of both the cost and the quality of the services provided.
What are the pros of getting dental treatments in Costa Rica?
There are pros of getting dental treatments in Costa Rica. There are a number of compelling advantages that bring patients from all over the world to Costa Rica for dental treatments, particularly dental implants.
The most prominent advantage is unquestionably the low cost-effectiveness. Dental care in Costa Rica is a lot more affordable than in places like the United States or Canada, and it's of comparable or even higher quality. Dental implants, for example, are frequently obtained in Costa Rica at a price that is a fraction of what it is the cost in many western nations. The cheaper price does not mean that the product is of poorer quality; rather, it is a reflection of the lower costs of living, reasonably priced education for dentists, and attractive market prices in the country.
The quality of dental care in Costa Rica is exceptionally high compared to other countries. A significant number of dentists and oral surgeons in Costa Rica have received their education from illustrious schools in the United States or Europe. The dental facilities in Costa Rica are frequently up to date with worldwide standards of dental care and are outfitted with the most cutting-edge dental technology available. The success and happiness rates of patients who have had procedures done at that facility are clear indicators of the dedication to quality that is present there.
Particularly noteworthy is the individualised attention that each patient receives. Patients in Costa Rica frequently say that the dental care they receive is more individualised, attentive, and holistic as a result of the smaller scale of many dental clinics in the country when compared to the major dental businesses seen in other nations.
Having the option to go abroad for dental care is a major perk as well. Costa Rica is a beautiful tropical paradise that is well-known for its abundant wildlife, beautiful beaches, and eco-tourism opportunities. Many patients schedule their dental appointments during their vacations, during which they take in the country's breathtaking scenery, and as a result, they reap the benefits of both medical care and relaxation.
Another advantage is that treatments are typically quite quick and convenient. Implant dentistry, like other dental treatments, take several months and multiple office visits to complete. Clinics in Costa Rica that are used to treating patients from other countries frequently provide simplified services in which patients expect their care to be completed quickly without compromising quality.
The dental care offered in Costa Rica is of a high standard and comes at an affordable price. Additionally, patients receive individualised attention and have the opportunity to visit one of the countries with the highest level of biological diversity on the planet. Its image as a premier destination for dental tourism has been enhanced as a direct result of these benefits.
What are the cons of getting dental treatments in Costa Rica?
There are cons of getting dental treatments in Costa Rica. The country's negatives give prospective patients something to think about before making a final decision although Costa Rica offers a wide variety of benefits for dental procedures.
The geographical separation and the high costs of transportation is one of the most major drawbacks. Patients going from North America, Europe, or other far-flung regions are likely to discover that Costa Rica is not as geographically accessible as some of the other options available to them. The fees associated with travel, including airfare, hotels, and other travel-related costs, quickly adds up while the dental procedure itself is quite inexpensive. Long-haul flights, especially following invasive procedures, provide a unique set of challenges when it comes to post-operative rehabilitation.
Another cause for concern is the likelihood of problems during subsequent follow-up. Addressing these concerns is made more difficult when the dental expert is located in another country if there are post-treatment issues or if a patient is unhappy with the outcome of a procedure. It is a hassle and expensive to travel back for any necessary repairs or corrections. The country's geographical location makes it difficult to schedule timely follow-up visits with them.
There is a wide range of quality in the services provided, despite the fact that many of the dental professionals in Costa Rica have extensive training and comply with international standards. There are some clinics that fall short of the anticipated standards of medical service as is the case everywhere else. It is essential for prospective patients to do extensive research, confirm credentials, and read reviews or testimonies.
Language difficulties on occasion provide difficult situations. There are still instances of miscommunication or misconceptions that have a negative impact on the treatment or patient experience despite the fact that many professionals working in the dental tourism industry in Costa Rica are fluent in English.
It is crucial for patients to assess the benefits against the potential negatives, while the dental tourism business in Costa Rica has earned a solid reputation in recent years. It is absolutely necessary to conduct exhaustive research, make detailed plans, and articulate one's objectives in order to guarantee that travelling to Costa Rica for dental treatments is going to be profitable and satisfying.
How does the dental process go in Costa Rica?
The dental process in Costa Rica is simplified and patient-focused, which is very beneficial for dental tourists that visit the country. However, similar to other types of medical operations, the particulars change depending on the kind of treatment being administered and the guidelines followed by the clinic.
Virtual consultations are typically the first step taken by clinics once a patient expresses interest. It requires the patient to provide the Costa Rican dentist with access to their dental records, x-rays, or any other pertinent papers, most commonly through the use of email or a secure online portal. The dentist is going to perform an initial examination, make suggestions regarding treatment options, and provide a cost estimate that is preliminary based on the information gathered.
The appointment is set up after the patient has made up their mind to move forward. Many dental clinics in Costa Rica have staff members or partnerships specifically dedicated to assisting international patients with the travel logistics associated with receiving dental care in the country. The assistance ranges from recommending different airline options to organising airport pickups and accommodations.
The patient normally takes part in a face-to-face consultation with the doctor upon arrival in Costa Rica. It provides the patient and the dentist with the chance to have a detailed conversation about the treatment plan, during which they address any concerns, as well as make any required revisions. Some medical facilities are outfitted with cutting-edge diagnostic equipment, such as 3D imaging, which is helpful in the careful planning of therapy.
The therapeutic step comes after that. It takes anywhere from a single day to numerous sessions that are spaced out over a number of days or even weeks depending on the intricacy of the operation. For instance, teeth whitening and cleaning are both accomplished in a single appointment, while more involved procedures, such as full-mouth restorations or numerous dental implants, require multiple visits.
A great number of medical facilities place a strong emphasis on post-operative care to ensure the patient's ease of recovery and comfort throughout the procedure. It consists of things like scheduling follow-up appointments, giving comprehensive instructions for aftercare, and even coordinating recuperative amenities.
The rapidly expanding dental tourism sector in Costa Rica is evidence that the country's dental system is working effectively. Many dental patients in the country are tourists from other countries, and the fact that many of them come back or recommend the practice to others demonstrates their level of contentment with both the procedure and the results. A number of dental clinics in Costa Rica have been awarded international accreditations, which is evidence of their dedication to providing the highest level of treatment and adhering to demanding medical regulations.
The dentistry process in Costa Rica has been developed to be comprehensive, patient-centred, and efficient. It enables the country to provide high-quality dental care while making the most of the patient's time spent in the country.
How much does dental treatment cost in Turkey?
It is difficult to provide an "exact" cost because prices differ depending on the location of the clinic, the amount of expertise the dentist has, the particular treatment, and any other services or materials that are required. However, some dental treatments for example the dental implants range from £400 to £850 per implant. Veneers are around £265 per tooth. Teeth whitening sessions are around £350. Root canal treatments range from £60 to £180 per tooth.
The lower cost of living in Turkey, in conjunction with the highly competitive nature of the country's dental business, is the cause of these cheaper prices. A dental implant, which costs upwards of a few thousand dollars in the United States, is obtained in Turkey for a fraction of the price of what it cost in the United States. Veneers and teeth whitening are only two examples of aesthetic procedures that have dropped significantly in price.
The rapidly expanding dental tourism market in Turkey is evidence that Turkey's dental care is both high-quality and affordable. Istanbul and other cities around the Mediterranean coast, such as Antalya, have become major destinations for patients from other countries who are searching for high-quality medical care at more reasonable costs for dental treatments in Turkey. Many dentists in Turkey received their education in Europe or the United States, thus they are conversant in the most recent dental practices and technologies. The clinics frequently make large investments in cutting-edge apparatus in an effort to meet or even exceed the criteria established by international organisations.
Clinics in Turkey are subjected to routine inspections and certification processes on the part of the Turkish Ministry of Health as well as a number of dental associations to guarantee that they adhere to high levels of cleanliness and care. A benchmark of quality is guaranteed by the tight control, which, when paired with Turkey's affordable rates, makes it an attractive option for dental procedures.
Patients are always encouraged to perform extensive research, obtain reviews and testimonies, and confirm that the selected clinic complies to international standards. Turkey offers great economic benefits; nevertheless, patients are always advised to ensure that the selected facility adheres to international standards. It provides financial savings and a high level of care and treatment for patients.
What are the pros of getting dental treatments in Turkey?
There are pros of getting dental treatments in Turkey. Dental care in Turkey, and specifically dental implants, have gained in popularity as a result of the country's affordable prices and high quality of service.
The main advantage that is readily apparent is its low cost-effectiveness. Dental care in Turkey, including dental implants, are far lower than those in various countries in Western Europe. It is not a reflection of degraded quality but rather the outcome of lower living costs, support from the government, and increased competition within the dentistry market. An implant, which costs several thousand dollars in countries such as the United States or the United Kingdom, is obtained in Turkey at a price that is far lower.
Another important advantage is the exceptional level of dental care that is provided. Many of Turkey's dental professionals have had extensive education, most of the time in either Europe or the United States of America. These dentists are up to date on the most recent methods, procedures, and technological advancements in their field. Clinics, particularly those that cater to patients from other countries, are outfitted with cutting-edge facilities in order to guarantee that patients receive the greatest standard of care. The active participation of the Turkish Ministry of Health in the process of regulating and inspecting these clinics contributes further to the consolidation of the quality of the services provided.
The effectiveness and the pace at which dental procedures are carried out in Turkey stand out as particularly notable. Many medical facilities provide accelerated treatment options in response to the demands of international patients, who are frequently operating under time constraints. For example, the process often is expedited, which ensures patients get the greatest care within a condensed time frame. It is in contrast to other countries, such as Turkey, where dental implants require many sessions stretched out over the course of several months.
Turkey provides visitors with a richer cultural and tourism experience than other countries. Patients have the opportunity to explore a country that is rich in history and features a cultural fusion of Asian and European traditions in addition to receiving dental treatment there. The dentistry trip served as a holiday filled with cultural experiences, ranging from the ancient sites of Istanbul to the lovely beaches of Antalya.
The whole experience is improved at several dental clinics in Turkey thanks to the individualised care provided and the emphasis placed on the patient. Clinics typically offer all-inclusive care packages that include dental procedure and assistance with travel and housing, translators, and post-surgery medical attention. It is done in recognition of the concerns that overseas patients have about receiving medical treatment abroad.
The price of dental implants and other treatments in Turkey is only one factor contributing to the country's growing popularity as a medical tourism destination. Its position as a leader in the industry of global dental tourism is cemented by the combination of high-quality professional care, cutting-edge technologies, individualised customer service, and the appeal of a diverse cultural experience.
What are the cons of getting dental treatments in Turkey?
There are cons of getting dental treatments in Turkey. Potential patients gain some context for making an informed decision about dental treatments in the country by reading the downsides.
A key concern, similar to that of any project involving medical tourism, is the distance and the associated travel logistics. Patients coming from Europe find the voyage to Turkey to be manageable, however those coming from North America, Australia, or other more remote places face a challenging and time-consuming journey. The expenditures of travel quickly pile up when including the things like airfare, lodging, and other associated logistics. Long-distance flights are not ideal for recovery, especially after some dental treatments that contribute to discomfort or edema.
Many Turkish dental facilities comply with international standards, however there is a danger of variation in the quality of service provided. There are some businesses that place a greater emphasis on profits than on patient care as is the case in all areas that are extremely popular with tourists. It is essential for patients to do extensive research, read reviews, confirm the credentials of the staff, and even ask for recommendations before choosing a clinic. It is attainable to reach results or complications that are less than desirable if making decisions based entirely on the costs involved.
Complicating factors after treatment are difficult to manage. It is not always attainable for them to return to the Turkish dentist for adjustments or follow-up appointments if a patient develops problems after returning to their home country after receiving dental treatment in Turkey. The requirement to make a return trip is not only time-consuming but is costly, especially considering the fact that many respectable clinics offer warranties or corrective operations.
Another problem arises when communicating with someone because of a language barrier. Many specialists in Turkey's dental tourism business are able to communicate in English, although there are still cases of misunderstanding. It does not lead to procedural errors but does result in a subpar experience for the patient or confusion about post-procedure care.
There have been periods of political instability and security fears in Turkey over the years. It is always recommended that tourists from other countries keep themselves apprised of the most recent developments in the situation and take the usual measures when travelling, while the majority of major cities and tourist sites, including dental tourism hubs, continue to provide a safe and friendly environment for visitors from other countries.
Patients seeking dental care in Turkey expect great benefits; nevertheless, as with any medical operation performed outside of their home country, it is essential for them to consider the potential drawbacks first. A positive experience is ensured and the majority of hazards is mitigated via thorough study, appropriate planning, and the setting of clear expectations.
What is the dental process in Turkey?
The procedure for dental care in Turkey has been developed and streamlined specifically to meet the requirements of patients travelling from other countries. It is clear from the very first consultation all the way through the post-treatment care that is provided.
The first step in the process of initial consultation and planning involves the patient making contact with a clinic or a medical tourism facilitator in Turkey, most frequently through the use of email or the telephone. Patients are strongly encouraged to disclose any relevant medical information, including dental records, x-rays, and other relevant medical data. An initial diagnostic, treatment plan, and cost estimate are going to be provided by the dental professionals.
Arrival and in-person consultation indicates that if a patient has decided to proceed with treatment, upon their arrival in Turkey, they are usually received at the airport and transported to their lodging. It is an example of the full-service approach that many clinics choose to take. The following phase is an in-person consultation with the dentist, during which the practitioner completes a comprehensive examination, verifies the preliminary diagnosis, and completes the treatment plan. Patients are going to have the chance to ask questions, have a better understanding of the surgery, and discuss what they anticipate from it.
The treatment phase begins with a post-initial consultation and is followed by the actual treatment. Many of them use cutting-edge equipment and claim to have state-of-the-art facilities given that many of Turkey's dental clinics cater to patients from other countries. Patients receive care that frequently meets or even exceeds the criteria established by international organisations whether it is a dental implant, a cosmetic operation, or oral surgery. Treatments are frequently accelerated without lowering the bar in terms of quality due to the logistical challenges faced by international patients. For instance, certain dental clinics in Turkey provide options that dramatically cut down on the amount of time needed, but in other countries getting dental implants can take several months.
Recuperation and aftereffects of the procedure is a recovery stage that includes care, depending on the type of care. Many times, clinics offer advice on post-procedure care, including food suggestions, as well as any drugs that are required. Follow-up checks are something that a lot of businesses do to make sure that everything is mending as it must.
Away and on a permanent basis patients are given the all-clear to return to their normal lives once it has been determined that their treatment and recovery have been successful. Nevertheless, it does not mark the end of the partnership. Many medical facilities provide patients with long-term follow-up services, during which they voice any concerns they have, compare x-rays, or seek advice on how to best perform long-term maintenance. The provision of prolonged care, which is frequently carried out through the use of teleconsultations, demonstrates a dedication to the health of the patient.
The rapidly developing dental tourism sector in Turkey provides compelling evidence of the efficacy and professionalism of the dental process available in that country. Positive experiences have been highlighted in a great number of patient testimonies, reviews, and case studies. Clinics in Turkey are held to a high quality of practice, which has been further bolstered thanks to the efforts of the Turkish Ministry of Health in partnership with a variety of dental organisations. It has further contributed to the credibility of the dental industry in the country. On the other hand, prospective patients are advised to follow the standard practice of conducting extensive research before selecting a dental clinic in order to maximise their chances of having a pleasant and successful experience.
What causes dental treatment costs to differ in Costa Rica and Turkey?
The costs of dental treatment in Costa Rica and Turkey, two popular destinations for dental tourism, are influenced by a number of factors that contribute to the price variations found between these countries and countries with higher expenses of dental care. The dental care prices in Costa Rica and Turkey are substantially lower than those in Turkey, but the factors that influence these expenses are country-specific, despite the fact that there are certain similarities between the two countries.
Costa Rica and Turkey have an overall cost of living that is far less than that of many Western nations. All of these factors combine to make dental care more affordable: lower salaries, lower clinic operating costs, and cheaper materials. The costs that these dental clinics are able to give are strongly influenced by the economic environment in which they operate.
The earnings of dentists in Costa Rica and Turkey are significantly lower than those in the United States and the United Kingdom, despite the fact that these dentists have received similar training and education. The decrease in the expenses associated with labour is a key contributor to the overall decrease in the prices of dental operations.
Costa Rica and Turkey have recognized the potential of dental tourism as a major revenue stream for their respective economies. For instance, the government of Turkey gives support to medical institutes in the country by providing financial incentives and ensuring that the facilities adhere to international standards. These kinds of conveniences help medical facilities run more efficiently, which in turn results in lower prices for patients. A focus on building the nation as a major destination for medical tourism has seen similar government participation in Costa Rica, which ensures quality while maintaining competitive costs.
The increase in dental tourism has caused fierce competition between medical facilities for the business of foreign patients. Medical centres are always improving their services, equipment, and pricing to provide patients with the greatest possible value because of the intense rivalry between them.
Countries' approaches to dental education are more cost-effective than the comprehensive and frequently pricey training offered in Western nations, despite maintaining the same high standards of quality and proficiency. Dentists in Turkey and Costa Rica, in contrast to their counterparts in the United States, do not typically have to take out large college debts. Turkish and Costa Rican dentists are able to charge lower fees for their services, as a result.
There is not one set price for dental equipment and materials. The price of dental supplies is lower in these countries because they either source their resources locally or participate in regional agreements.
The fact that these countries are becoming increasingly well-known among dental tourists is evidence of the issues that have been discussed above. The influence of these factors on the cost of dental treatment is supported by the fact that the number of patients coming from other countries is growing, that patients' past experiences have been described as positive in testimonials, and that competition among clinics is prospering. It's important for patients to understand that even if they find clinics with lower prices, they need not sacrifice quality in order to save money.
Can you compare Costa Rican and Turkish dental facilities and technology?
Yes, both Costa Rica and Turkey have made significant investments in dental facilities and technology to meet the ever-increasing demand from patients located in other countries. Having said that, there are a few key differences to take into consideration.
Modern medical facilities in both countries are on par with or even exceed their counterparts in more industrialised countries. These establishments were fashioned with the requirements of overseas customers in mind during the design process. Not only are they up to date, but they have been developed with the convenience and ease of use of the patients in mind. Many high-end medical facilities in both countries provide patients with spa-like treatments and comforts to make their time there more pleasant.
Modern dental treatment relies heavily on dental technology, an area in which both countries have made significant advancements. Costa Rican and Turkish clinics feature state-of-the-art technology, such as computer-aided design and manufacturing (CAD/CAM) systems, 3D imaging equipment, and the most recent advancements in implant technology and laser treatment options. The necessity to compete on a worldwide platform and deliver care that is of world-class quality is the impetus behind the desire to implement the most recent technical solutions.
Costa Rica and Turkey acknowledge the importance of ongoing education and training for professionals. A significant number of dental professionals in both Costa Rica and Turkey have received training both domestically and in prestigious institutions located in other countries. They are highly skilled in the application of the most recent dental technologies and procedures.
A significant number of the best dental practices in both nations are actively pursuing international accreditations as a means of further demonstrating their dedication to providing exceptional treatment. Clinics that wish to maintain membership in such organisations are expected to meet certain criteria, most notably with regards to the equipment they use and the services they provide.
The responses from patients located in other countries are one of the most direct pieces of evidence. Many people talk about how surprised they were to see how technologically advanced the clinics were and how much technology was available to them.
Accreditation is made available to clinics all around the world by organisations such as the Joint Commission International (JCI) and others, who adhere to stringent requirements. Accreditations as such are prominently displayed at a significant number of clinics in both Costa Rica and Turkey.
Costa Rica and Turkey countries have demonstrated, via the continual rise of dental tourism to their respective destinations, that they are capable of meeting and exceeding international standards.
There are some minor differences that are attributed to individual clinics or regions within the countries as a whole, while the dental facilities and technologies offered in Costa Rica and Turkey are on par with those offered in other nations across the world. Costa Rica and Turkey countries' dedication to providing high-quality care at reasonable prices is what ensures the continued growth of the dental tourism industry in both of their countries.
Is there a downside to choosing Costa Rica or Turkey for dental care?
Yes, there are downsides when choosing Costa Rica and Turkey for dental work care. The requirement to travel to other countries is the most significant drawback. Not only does it result in additional expenses (flights, accommodations, and meals, etc.), but it creates an opportunity for difficulties for people who are not accustomed to travelling or who have health conditions that make it difficult to travel.
The care that is provided after therapy is the second concern. It is problematic to attempt to address complications that have arisen after coming home. However, many dental clinics in these nations do offer warranties or guarantees on their treatment, which necessitate a repeat trip in order to get benefits.
Many dental care providers in both countries speak English and are used to working with overseas patients, but there is always the chance of misunderstanding or misinterpretation due to language or cultural differences.
Regulations, standards, and licensing requirements for dentists in this country are different from those in the dentist's home country. There is significant variation in the quality of care provided, despite the fact that many clinics match or even surpass international standards. It is absolutely necessary to carry out extensive research and to make certain that the clinic that has been picked has a good reputation.
Certain dental procedures call for a series of appointments spaced out over a period of weeks or even months. It necessitates either a number of separate trips or extended stays, neither of which are attainable or desired for everyone.
There are stories of people who had problems, either with the treatment itself, with difficulties after the treatment, or with the logistics of their trip. However, many patients have had great experiences.
Getting dental care overseas is difficult due to increased travel restrictions caused by global events (such as the COVID-19 epidemic) that make international travel more difficult.
There are numerous resources that offer perspectives on the experiences of persons who sought dental care in a foreign country. It is not unusual to come across problems that are related to the aspects that have been described above in spite of the fact that the vast majority of these reviews are good.
It is vital to be aware of the potential drawbacks, despite the fact that the benefits of obtaining dental care in Costa Rica or Turkey, such as cost savings and high-quality care, are obvious. However, it is essential to be aware of the potential drawbacks. Many of these problems are mitigated by conducting thorough study, articulating realistic expectations, and making enough preparations for the trip.
What tips can you give dental patients when choosing between Costa Rica and Turkey?
Some tips to consider for dental patients when choosing between Turkey and Costa Rica includes: conduct extensive research, perform a cost analysis, speak with a dentist in the area, determine whether or not there are language barriers, plan for travel and recovery, investigate available warranty options, become familiar with the destination, and take into account traditional attractions.
Patients, irrespective of their location, are obligated to spend some time conducting research on potential dental clinics. Look for clinics that have received positive ratings, particularly from people living in other countries. Verify if the organisation possesses the appropriate accreditations from recognized international authorities such as Joint Commission International (JCI).
There is a difference in the exact amount, although both countries offer cheaper options. Obtain specific pricing information from clinics located in both countries, and take into account all costs associated with the procedure, including travel, lodging, and any potential subsequent visits.
Consult with the dentist in the home country before travelling for treatment. They offer their insights into the treatment plan that has been proposed and call attention to any unique concerns.
Check to see if the chosen clinic has staff members who are proficient in the language. Language problems cause misunderstandings, which then lead to complications during medical operations.
Think about how the time spent in travelling affects the recovery, especially if having a major operation. Patients who are located in the Americas are going to find it more convenient to have treatment in Costa Rica, whilst patients who are located in Europe likely find Turkey to be a more convenient option.
Certain medical facilities are going to guarantee the results of their work, which is helpful in the extremely unlikely case that difficulties arise. Be sure to examine the terms and conditions associated with these warranties at all times.
It is helpful to become familiar with the local language, as well as the culture and traditions of the area, in order to make the most of one's stay. It is critical for one's peace of mind to have a working knowledge of the emergency response and healthcare systems.
Costa Rica and Turkey are well-known for the natural beauty of their landscapes as well as the cultural attractions they offer. Combine going to the dentist with other errands or some fun activities. However, before making any plans, it is important to check with the dentist to see if there are any precautions needed to take after the treatment.
Many people who visit the United States for dental work write about their experiences online. These reports frequently emphasise the significance of conducting adequate research, making adequate preparations, and maintaining open communication with the selected clinic.
These platforms frequently offer prospective medical tourists guidelines and recommendations for best practices, highlighting the need of conducting in-depth research, being aware of prices, and being prepared for what to anticipate from the medical tourism experience.
Studies conducted by academic institutions and reports compiled by private companies on medical tourism usually emphasise the difficulties encountered by patients. These difficulties highlight the significance of the advice that was previously provided.
Patients need to be meticulous in their approach to making a decision, but both Costa Rica and Turkey provide exceptional chances for dental care. Taking the time to do research, being aware of the expenditures involved, and getting oneself ready for the trip are all things that help assure a nice experience and good dental outcomes.
Are certain dental procedures cheaper in Costa Rica than Turkey, and vice versa?
Yes, there are certain dental procedures cheaper in Costa Rica than Turkey, and vice versa.
The actual rate varies from time to time. Neither of these countries does despite the fact that many Western countries have higher labour expenses. Turkey has a lower cost of living, which sometimes translates into cheaper labour and, as a result, more economical dental procedures when compared to Costa Rica.
The costs associated with operating a dental clinic, such as rent, utilities, and the upkeep of the equipment, differ significantly between the two countries. There are instances when Turkey, which has a more extensive metropolitan infrastructure and a larger population, offers economies of scale that Costa Rica is unable to.
The price of imported dental supplies as well as their availability have an effect on the total cost of the surgery. Trade agreements, import duties, and other logistical considerations give one country a competitive edge in the market.
Costa Rica and Turkey have thriving tourism industries, but they both appeal to audiences that are slightly distinct from one another. Tourism from North America is strong in Costa Rica because of its closeness, whereas Europeans love Turkey. Prices of dental procedures are affected by the costs associated with providing services to various population subgroups.
Some hospitals or regions within these nations have developed an expertise in a particular treatment, which has led to cost advantages driven by their level of knowledge. For instance, due to the high number of dental implant treatments that they perform, a clinic or region that specialises in dental implants provide more affordable costs.
The cost of living index for Turkey is typically lower than that of Costa Rica in studies and databases that make such comparisons.
Reports compiled by medical tourism firms or platforms typically include a comprehensive breakdown of the expenses associated with treatment in various popular destinations. These evaluations sometimes reveal that certain procedures in Costa Rica or Turkey offer cost advantages over their counterparts in other countries.
Anecdotal evidence of the differences in price for certain operations is gleaned from reviews and testimonials written by people who have received treatment in both countries.
There are differences in the treatment prices between the two, but both Costa Rica and Turkey offer dental services at a fraction of the cost compared to the majority of Western countries. Patients who are interested in getting dental work done must undertake an in-depth comparative analysis for their particular procedure in order to identify which country provides the best value for the money.