Dental Root Canal: Definition, Necessity, Procedure And Treatment
HomeMyra BlogDental Root Canal: Definition, Necessity, Procedure And Treatment
Loading...
Dt. Erdem Çetin
Born in Stuttgart, Germany in 1979, Dr. Dt. Erdem Çetin began his education in Kırşehir and completed his schooling there, from primary school through to high school. He then successfully completed his university education at the Faculty of Dentistry at 19 Mayıs University in Samsun.
A dental root canal, commonly called endodontic treatment, is a procedure carried out by dentists to cure and save a severely decaying or infected tooth. The pulp, or soft tissue inside the tooth, along with the nerve, must be removed, and the interior of the tooth must be sealed and cleaned. "Root canal" refers to the natural cavity that exists inside the tooth's root.
The dental root canal procedure normally starts with the dentist giving the patient local anaesthesia to ensure comfort. The dentist makes a tiny access hole in the tooth after numbing the area to reach the affected pulp chamber and root canals. The pulp and nerve, and any bacteria or debris present, are meticulously removed using special equipment. The dentist next sterilises and cleans the inside of the tooth to stop the infection from spreading.
The purpose of a dental root canal is to remove infection, relieve discomfort, and retain the original tooth. The infection spreads to neighbouring tissues and causes an abscess, which results in tooth loss if not treated. The root canal operation helps to restore the tooth's functionality and relieve pain by removing the infected pulp and sealing the tooth.
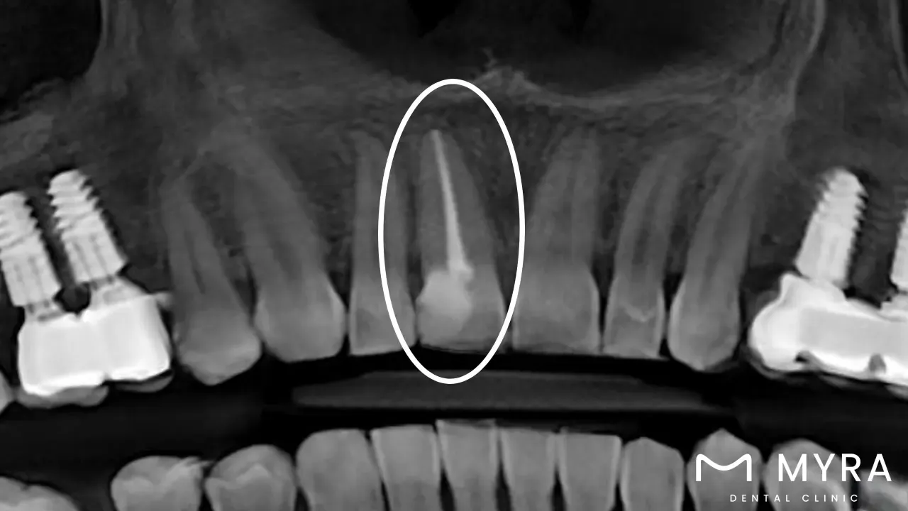
A dental root canal is usually advised when a tooth has significant decay, a damaged or fractured structure, or a big filling that has caused extensive damage to the tooth's pulp. The surgery is required if the tooth has been traumatised owing to an injury. Dentists examine and take X-rays of the tooth to evaluate its health and determine whether a root canal is the best course of action.
A dental root canal has many advantages. A dental root canal is essential for general dental health to keep the natural tooth because it facilitates effective chewing and maintains the correct alignment with adjoining teeth. It removes the infection's pain and suffering, which enhances the patient's quality of life. A dental crown or filling is frequently applied to the repaired tooth after the root canal procedure is finished to offer strength and protection.
What Is Dental Root Canal?
A dental root canal, sometimes referred to as endodontic treatment, is extracting the diseased or injured pulp from inside a tooth and sealing the root canal space. "Root canal" refers to the natural cavity in the tooth's root that houses the dental pulp, which is made up of nerves, blood vessels, and connective tissue. The dental pulp is crucial for tooth growth. It is no longer necessary for the tooth to survive after the tooth has fully developed.
Deep decay, cracks, trauma, or recurrent dental operations contribute to the tooth pulp being infected or inflamed, which results in excruciating pain and sensitivity. A root canal is performed to treat an infection, lessen pain, and prevent extraction of the damaged tooth. The dentist stops the infection from spreading and maintains the tooth's structure by removing the infected pulp and closing the root canal.
The dentist initially injects local anaesthesia to numb the area and guarantee the patient's comfort before beginning the root canal operation. The pulp chamber and root canals were accessed by making a tiny access hole in the tooth. The infected or damaged pulp is removed from the canals by carefully cleaning and shaping them using specialised dental devices, including files and irrigating solutions. The canals are cleaned to get rid of bacteria and dirt. The access hole is filled with a temporary or permanent filling, and the canals are sealed with a biocompatible substance, such as gutta-percha.
A dental crown is used to protect the root-treated tooth further after treatment, if it has sustained significant damage or is otherwise compromised. A dental crown aids in regaining the tooth's durability, aesthetic appeal, and usability. A tooth that has had a root canal persists for many years with adequate care, including consistent oral hygiene routines and frequent dental checkups, allowing for effective chewing and keeping ideal alignment with neighbouring teeth.
How Does Dental Root Canal Work?
Dental root canal treatment works by removing the infected or damaged dental pulp from inside a tooth and sealing the root canal space to prevent reinfection. The dental pulp becomes infected or inflamed, resulting in excruciating pain and sensitivity when a tooth has deep decay, fissures, trauma, or recurrent dental operations.
The root canal operation starts with the provision of local anaesthesia to ensure the patient's comfort. The dentist makes a small access hole in the tooth after the area has been made numb, so they access the pulp chamber and root canals. The canals are meticulously cleaned and shaped using specialised dental equipment known as files, which remove any bacteria or debris. The remaining bacteria are removed, and the canals are cleaned to stop the spread of infection.
A root canal is required if the dental pulp becomes infected or irritated. Infections result from extensive decay, trauma, shattered or fractured teeth, deep cavities, or numerous dental operations that have damaged the tooth's pulp. Persistent toothaches, sensitivity to hot and cold temperatures, swelling, soreness, and abscess formation are signs that a root canal is necessary. A dentist establishes whether a root canal is required through examination and diagnostic procedures, such as X-rays.
What Is The Purpose Of Dental Root Canal?
The purpose of dental root canal treatment is to save a badly damaged or infected tooth and ease pain caused by an inflamed or infected dental pulp. Deep decay, cracks, injuries, or repeated dental procedures cause the dental pulp, including nerves, blood vessels, and connective tissue, to become sick or inflamed. It makes the tooth extremely sensitive and painful. Infections spread to neighbouring tissues if left untreated, necessitating tooth extraction or loss. The goals of a root canal are to get rid of the infection, keep the natural tooth, and get the tooth back to where it is used.
Root canal treatment aids in maintaining the stability and alignment of the teeth that are next to each other, avoiding potential problems with the bite and jaw alignment. Preserving the natural tooth prevents the need for more involved and expensive dental replacement solutions and contributes to maintaining the appearance of the smile.
When Does Dental Root Canal Is Applied?
A dental root canal is applied when a tooth has a significant infection or damage to its dental pulp. Dentists suggest a root canal in several circumstances. One typical instance is when a tooth has extensive decay that has spread to the inner layers and caused the dental pulp to become infected or inflamed. The infection spreads within the tooth and to the surrounding tissues if the infection is not treated. A root canal is advised to remove the affected pulp and stop the infection from spreading.
What Are The Symptoms That Tells You Need a Root Canal?
Listed below are the symptoms that indicate the need for a root canal.
Persistent Toothache: A severe or persistent toothache, especially when clenching or applying pressure to the tooth, is an indication of infection or inflammation in the dental pulp.
Temperature Sensitivity: Increased sensitivity to hot or cold temperatures, even after the stimuli have been removed, is a sign of pulp injury or infection.
Gum Swelling and Tenderness: Infection is indicated by swelling and tenderness in the gums close to the impacted tooth. The gums become swollen and red or develop a little bulge, known as an abscess.
Discolouration of the Tooth: A tooth that notably darkens or changes colour in comparison to the neighbouring teeth indicates the presence of an underlying condition, such as pulp infection or pulp tissue death.
Chronic Sensitivity to Sweets: Consuming sugary foods or beverages for an extended period of time causes chronic sensitivity or pain, which is an indication of pulp damage or infection
Gums Develop Painful Pimples: The development of painful pimples, often referred to as gum boils or abscesses, on the gums close to the impacted tooth, signifies an infection that necessitates root canal therapy.
Loose Tooth: A tooth that seems loose or unstable, unconnected to an injury or natural tooth movement, is a symptom of advanced infection and bone loss. A root canal is required to save the tooth in such circumstances.
Existence of Cracks or Fractures: Teeth with obvious cracks or fractures act as a site of entry for germs, causing an infection and necessitating root canal therapy.
What Is The Dental Root Canal Treatment?
Dental root canal treatment is a technique performed by dentists to save a badly infected or damaged tooth. The purpose of dental root canal treatment is to remove the soft tissue inside the tooth, known as the dental pulp, which is infected or inflammatory. Damaged teeth must be cleaned, sanitised, and seal the root canals to stop the spread of infection.
A root canal treatment usually consists of multiple steps. The dentist first gives the patient local anaesthesia to ensure their comfort throughout the process. The pulp chamber and root canals are accessible through a tiny access hole that has been made in the afflicted tooth. The injured or infected pulp inside the tooth is carefully removed using files. The dentist cleans and shapes the root canals to guarantee efficient disinfection and removal of any lingering debris or bacteria.
The canals are disinfected using irrigating solutions after they have been completely cleansed to get rid of the bacteria and avoid reinfection. The canals are cleaned and sealed with a biocompatible material, usually gutta-percha, a rubber-like substance. The purpose of the filling is to completely seal the canals and keep bacteria out. The patient initially has a temporary filling placed in the access hole by the dentist. The filling is replaced with either a permanent filling or a dental crown to restore the tooth's strength and shield it from any future harm.
What Are The Benefits Of Dental Root Canal?
Listed below are the benefits of dental root canals.
Relief from discomfort: The reduction of dental discomfort is one of the main advantages of a root canal. Root canal treatment is frequently used to treat teeth with severe dental pulp inflammation or infection, which are quite painful. A root canal successfully gets rid of the pain-causing source by removing the diseased pulp and taking care of the underlying problem.
Preservation of Natural Tooth: Root canal therapy enables the retention of the natural tooth, which is very advantageous for both oral health and general health. Maintaining the natural tooth's structure promotes appropriate chewing, clear speech, and the alignment of nearby teeth. Saving the natural tooth prevents the need for more involved dental operations, including dental implants or bridges and aids in maintaining the structure of the jawbone.
Effective Chewing and Speaking: A root canal makes it achievable to chew food well and speak clearly by preserving the natural tooth. Restoring the afflicted tooth's functionality enables patients to comfortably bite and chew their food, improving nutrition and digestion. Restoration keeps speech clear because pronunciation is impacted by teeth that are missing or impaired.
Improved Aesthetics: A dental crown is frequently placed on the repaired tooth as part of root canal therapy. A dental crown gives the tooth more durability and security and improves its beauty. The dental crown is constructed specifically to match the original teeth's colour and shape, giving the smile more confidence and improving the aesthetics.
Preventing the Spread of Infection: Infected dental pulp results in the development of abscesses or infections that damage the nearby tissues and even other regions of the body. A root canal treatment minimises the risk of additional issues by removing the infected pulp and sealing the root canals, which stops the spread of infection.
Cost-Effective Alternative: Having a root canal is a more affordable alternative than having a tooth extracted, which is followed by options for tooth replacement, such as dental implants or bridges. A root canal prevents the need for additional treatments and related costs by keeping the native tooth.
What Are The Downsides Of Dental Root Canal?
Listed below are the downsides of dental root canals.
Temporary Pain: Individuals who have had a root canal temporarily feel sensitive or suffer mild pain near the tooth that has been treated. Temporary pain normally goes away in a few days and is usually treatable with over-the-counter pain relievers. It's crucial to report any persistent or severe soreness to the dentist.
Potential Incomplete Removal: Removing all infected or inflamed tissue from the root canals is difficult in rare instances. Future reinfection or persistent infection results from potential incomplete removal. The proficiency and knowledge of the dentist doing the treatment are crucial to the procedure's success.
Risk of Breakage or Damage: The tooth becomes weakened as infected or damaged tissue is removed, and the canals are sealed during the root canal process. The treated tooth is more prone to fractures or other types of harm when compared to healthy teeth. The risk is reduced by adding a dental crown on the treated tooth to increase its strength and security.
Potential Reinfection: There is a minor risk that the infection reappears in the future even though the treated root canals are sealed. A relapse of illness occurs if bacteria get within the sealed channels. Regular dental check-ups and proper oral hygiene practices are essential for monitoring the health of the treated tooth and reducing the risk of reinfection.
Additional dental treatments: A tooth that has undergone a root canal procedure needs additional dental procedures, such as the implantation of a dental crown or restoration, to regain its sturdiness, usability, and appearance. The additional procedures result in longer treatment times and higher expenses.
Discolouration of the tooth: A tooth that has had a root canal looks different from the nearby teeth due to discolouration. The removal of the dental pulp and modifications to the tooth's structure cause discolouration of the tooth. It is necessary to whiten teeth or undergo other cosmetic dentistry operations to improve the appearance of the stained tooth.
How Common Is The Root Canal Therapy?
Root canal therapy is a common dental surgery performed worldwide, with millions of procedures performed each year. There are several causes for its predominance. Saving a badly damaged or infected tooth is frequently accomplished by root canal therapy. Modern dental techniques and technologies are available to dentists, enabling precise diagnosis and efficient treatment of problems requiring root canal therapy. A root canal keeps the native tooth intact, retaining the chewing function, dental alignment, and general oral health.
Root canal treatment has a high rate of success. The procedure is carried out by qualified dental specialists to get rid of the infection, reduce pain, and restore the tooth's functionality. The precision and efficacy of root canal therapy have improved because of the use of cutting-edge equipment, including dental operating microscopes and rotary devices, producing positive results.
An affordable alternative to tooth extraction is root canal therapy, which is followed by dental implants or bridges as choices for tooth replacement. A root canal prevents the need for subsequent dental treatments and their related costs by keeping the native tooth. It makes it a desirable option for people looking for a long-term fix while considering their budget.
The frequent use of root canal therapy is a result of the growing emphasis on maintaining oral health and conserving natural teeth. Patients and dental professionals agree that keeping natural teeth in all situations is important because it maintains face harmony, supports teeth that are nearby and improves oral health in general.
The extensive use of root canal therapy is influenced by routine dental examinations and early dental issue detection through examinations and X-rays. Dentists propose root canal therapy and carry it out to stop subsequent complications and the requirement for more invasive operations by spotting issues in the earliest stages.
What Are The Necessary Preparations For Root Canal Treatment?
Listed below are the necessary preparations for root canal treatment.
Dental Examination: The dentist performs a thorough dental exam, which includes X-rays, to determine the health of the problematic tooth and its surrounding tissues. The evaluation determines the amount of infection or damage and allows the dentist to design the root canal operation accordingly.
Local Anaesthesia: The dentist uses a local anaesthetic to numb the area around the damaged tooth before beginning the root canal procedure. The patient is kept at ease and pain-free throughout the process due to local anaesthesia.
Patient Medical History: The dentist examines the patient's medical background to find any underlying illnesses or prescription drugs that affect the root canal procedure. It is critical to reveal any pertinent information, such as allergies or pre-existing medical issues, to ensure a safe and effective surgery.
Antibiotics: The dentist recommends taking antibiotics before getting a root canal, especially if there are symptoms of a serious infection or there is a danger that the infection spreads to other parts of the body. Antibiotics aid in infection control and increase the opportunity for a favourable treatment outcome to occur.
Preoperative Instructions: The dentist gives the patient detailed preoperative instructions, which include recommendations for what to eat and drink prior to the treatment, how to take any required medications, and how to maintain good dental hygiene habits. A clean and suitable treatment environment is ensured by adhering to such guidelines.
Comfort Measures: The dentist suggests calming tactics or the use of dental anaesthesia to patients who have dental anxiety or phobia to make them feel more at ease throughout the root canal procedure.
Treatment Planning: The dentist creates a treatment plan specific to each patient's needs based on the examination and assessment. Dental root canal treatments are described in detail in treatment planning, along with several visits necessary, any extra operations, and the implantation of a dental crown or filling once the root canal is finished.
How Long Does The Root Canal Treatment Procedure Take?
A root canal treatment is normally completed in one to two visits to the dentist, each lasting 60 to 90 minutes. The duration of time depends on several variables, such as the intricacy of the case, the location of the damaged tooth, and the specifics of each patient.
The dentist performs a thorough examination, including X-rays, at the initial visit to evaluate the impacted tooth's state and ascertain the infection's severity or damage. The dentist gives the patient local anaesthetic to numb the area and ensure their comfort throughout the process. The infected or damaged pulp next be removed, and the root canals are cleaned after the dentist makes an access hole in the tooth.
The dentist injects medication into the root canals after they have been cleaned, shaped, and disinfected to hasten the healing process. A temporary filling covers the access hole until the subsequent appointment. The initial appointment duration ranges from 60 to 90 minutes, depending on the complexity of the tooth and the treatment necessary.
The temporary filling is taken out, the infection is fully treated, and the root canal procedure is finished at the subsequent appointment. The filling helps in sealing the access hole with a permanent filling and filling the root canals with a biocompatible substance, including gutta-percha. A dental crown is placed on the treated tooth for additional protection and strength. The second visit usually lasts 30 to 60 minutes, which is typically shorter than the first visit and depends on the particular needs of the case.
How Can Root Canal Affect Dental Inlays And Onlays?
Root canal treatment affects dental inlays and onlays by fracturing the restoration procedure. The inlay/onlay needs to be replaced if the tooth needs a root canal after the inlay/onlay is permanently cemented and the procedure fractures the restoration. Dental inlays and onlays are restorative dentistry procedures used to strengthen and repair teeth with mild to severe decay or damage. They are frequently used when a tooth needs repair but does not require a full dental crown because the damage is too great to be fixed with a conventional dental filling.
The order of treatment changes when an inlay or onlay is required in addition to a root canal on a tooth. The root canal operation is typically performed initially to address the infection or damage within the pulp of the tooth. The tooth's structural integrity is frequently compromised once root canal therapy is finished, necessitating further support. Dental inlays or onlays are suggested in the situations as a component of the overall treatment strategy.
What Are The Procedures For Root Canal Treatment?
Listed below are the procedures for root canal treatment performed by a dentist or an endodontist.
Anaesthesia: The damaged tooth's surrounding area is made comfortable by the dentist's local anaesthesia injection. The patient is kept at ease and pain-free throughout the process due to anaesthesia.
Access Opening: The dentist uses specialised dental instruments to create a small access opening in the tooth. The pulp chamber and root canals are now accessible.
Removal of Infected Pulp: The dentist carefully removes the injured or infected dental pulp from the pulp chamber and root canals using small dental tools, known as files. The canals are completely cleaned and sculpted to prepare them for filling.
Disinfection: The dentist utilises antimicrobial solutions to cleanse the canals and remove any bacteria or debris that is present.
Filling of Root Canals: A rubber-like substance known as gutta-percha is generally used to fill root canals. The purpose of the filling is to close the canals and stop reinfection.
Permanent or Temporary Filling: The access opening in the tooth is either permanently restored with a tooth-coloured filling material or temporarily filled with a temporary filling substance.
Restoration: A dental crown is suggested in some circumstances to give the tooth that has undergone root canal therapy more strength and protection. The crown is fitted during a subsequent visit after being specially designed to match the size, shape, and colour of the natural tooth.
Recovery after a root canal treatment is typically moderate and manageable. Individuals have slight soreness or sensitivity in the treated tooth and surrounding area for a few days after the surgery. It is easy to alleviate any pain with over-the-counter painkillers. Refrain from chewing on the treated tooth until a permanent filling or dental crown has been placed on it. The long-term success of the root canal procedure depends on continuing good oral hygiene habits, which include frequent brushing, flossing, and dental checkups. Root canal recovery time recommendations are given by the dentist to guarantee a quick and successful recovery.
What Should You Expect For Root Canal Treatment?
One must expect competent and sympathetic service from the dental staff during the entire root canal treatment. The dental staff walks the patient through each step, responds to any worries or inquiries they have, and provides them with instructions for the right post-procedure care.
A dentist first does a thorough examination, which includes X-rays, to evaluate the condition of the problematic tooth and determine whether root canal therapy is required. The dentist goes over the course of the procedure during the stage, answers any questions, and considers other solutions if necessary.
The dentist recommends antibiotics before performing a root canal to manage any infection that is currently active or stop it from spreading. They give instructions on any preoperative steps that are required, such as fasting when general anaesthesia is required. A local anaesthetic is given to the area around the problematic tooth to make sure the patient remains comfortable throughout the process.
Which Type Of Dentist Performs Root Canal Treatment?
An endodontist is a type of dentist who specialises in root canal treatment. Endodontists are focused on identifying and treating problems with the dental pulp and the tissues surrounding tooth roots. They undergo advanced instruction and training in endodontic operations, including root canal therapy.
General dentists have the expertise and abilities to undertake root canal procedures. Endodontists are well-equipped to perform root canal treatment. Many general dentists have acquired endodontics training throughout their dental education and are proficient in doing root canal procedures in their offices.
Endodontists are experts at diagnosing complex root canal cases, treating challenging treatment situations, including curved or calcified canals, and having a thorough understanding of the tooth's internal anatomy. An endodontist has access to specialised equipment and technology that facilitate precise and effective root canal surgeries.
Can Root Canal Be Done In One Session?
Yes, root canal treatment can be done in one session. The complexity of the tooth's architecture, the degree of infection or destruction, and the dentist's clinical judgement all play a role in whether or not a root canal is completed in a single visit. Root canal therapy is completed in a single visit to the dentist for mild cases with a single canal and minimal infection. Patients find it more convenient because there is no need for additional visits, and the therapy is completed more quickly.
Can Root Canal Prevent Tooth Decay?
No, root canal treatment does not prevent tooth decay. Root canal treatment is used to treat an existing dental issue, specifically an infection or damage to the pulp of the tooth. The pulp that has become infected or damaged must be removed, and the root canals must be cleaned, disinfected, and sealed to stop reinfection. Root canal therapy's main objectives are to salvage the afflicted tooth and alleviate any pain or suffering.
Is Root Canal Necessary Even With No Cavities?
No, root canal treatment is not necessary if there are no cavities. Root canal treatment is advised when the dental pulp inside the tooth becomes infected or inflamed due to extensive decay, fissures, fractures, or trauma. One of the typical factors that result in the need for a root canal is cavities, areas of decay in the tooth's structure. Root canal treatment is unnecessary if no cavities or underlying problems impact the tooth pulp.
Is Root Canal Advised For Dental Crown Procedures?
Yes, root canal treatment is often advised for dental crown procedures. Dental crowns are used to restore teeth that have been severely compromised due to decay, injury, or previous restorations. The tooth has compromised or inflamed dental pulp in such circumstances.
Treating any underlying infection or inflammation in the dental pulp before applying a dental crown is essential. The pulp that is infected or damaged is removed during root canal therapy, and the root canals are properly cleaned, disinfected, and sealed to avoid reinfection. The health and durability of the tooth are maintained by having a root canal before placing a dental crown.