Born in Stuttgart, Germany in 1979, Dr. Dt. Erdem Çetin began his education in Kırşehir and completed his schooling there, from primary school through to high school. He then successfully completed his university education at the Faculty of Dentistry at 19 Mayıs University in Samsun.
Cavities are damage to teeth caused by bacteria that demineralise tooth enamel, resulting in tiny openings or holes. Understanding the cavity's symptoms, treatment, and causes helps maintain oral health, allows early detection, and prevents severe complications. Poor oral hygiene causes tooth sensitivity, pain, and visible holes due to mineral removal from tooth enamel.
Cavities, or tooth decay, cause toothaches, tooth sensitivity, discolouration, mild to sharp pain, visible holes or pits, and bad breath. The symptoms gradually deteriorate the outer enamel and dentin, causing toothaches. Tooth sensitivity is intense pain from hot or cold foods, while tooth discolouration indicates severe decay. Mild to sharp pain occurs as decay enters the tooth pulp, and cavities contribute to underlying conditions such as gum disease or gingival margin infection.
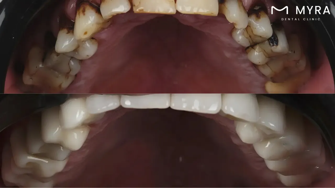
Cavities are treated using fluoride treatments, dental fillings, crowns, root canals, tooth extractions, and sealants. Fluoride prevents decay, strengthens tooth enamel, and fights bacteria. Fillings seal cavities, while crowns restore tooth structure. Root canals remove infected pulp, while tooth extractions remove decayed areas. Sealants seal occlusal surfaces, especially back teeth, and are suitable for children and teenagers due to their decay risk.
Cavities result from oral bacteria, poor dental care, a lack of fluoride, snacking on or drinking sugary foods and beverages, dry mouth, and medical conditions. Bacteria in the mouth consume sugary, starchy foods and drinks, converting carbohydrates into acids and removing minerals from tooth enamel, leading to cavities. Poor oral hygiene practices, insufficient fluoride, and prolonged exposure to sugary foods and drinks contribute to cavities. Medical conditions, including diabetes, anorexia, and cancer therapies, contribute to cavities. Proper oral hygiene and fluoride protection help prevent cavities.
Teeth cavities are permanent, sticky areas on teeth caused by bacteria, while toothaches are discomfort in or around teeth caused by cavities, infection, or trauma. Bacteria, frequent snacking, sugary drinks, and poor oral hygiene contribute to tooth decay. Toothache is caused by cavities, abscesses, cracked teeth, damaged restorations, teeth grinding, and gum disease. Preventive measures such as brushing and flossing help prevent cavities and toothaches, while professional restorative supervision is necessary to control further complications.
Research on cavities includes understanding the microbial ecology of dental caries, enamel regeneration using stem cells, and the digital revolution in dentistry. Researchers, including Nigel Pitts, Hai Zhang, and Larry Emmott, are doing research to advance dental technology. The digital revolution enables same-day care, fewer office visits, and affordable treatment options, while advancements in diagnostic tools and lasers are transforming dentistry.
What are the Types of Cavities?
The types of cavities are listed below.
Root Cavities: Root cavities are severe decay emerging on the tooth's exterior over the roots. Brushing gently and maintaining high saliva levels are required to prevent gum receding and keep the tooth healthy. A dry mouth increases the risk of cavities, so drinking plenty of water is crucial. Root cavities are exposed to erosive acids from diet, bacteria, and decay in older adults or seniors.
Smooth Surface Cavities: Smooth surface cavities are expected on the flat external surfaces of teeth on the mouth's sides. Regular eating and drinking result in smooth surface cavities, and sticky plaque causes it to emerge on the soft parts of teeth. Brushing and flossing twice daily helps prevent cavities, as avoiding every kind of food is hard. Smooth surface cavities are rare, and dental flossing and brushing help keep plaque levels low.
Pit and Fissure Cavities: Food and bacteria trapped in pits and fissures on the chewing surfaces of molars and premolars cause painful cavities. The growth of pit and fissure cavities is broken down into several stages, including initial, moderate, and advanced. Decay in the earliest stages is reversed with sealants, fluoride, or specialised resin treatment. Dentists provide therapeutic options such as fillings, crowns, root canals, or tooth extraction if the decay progresses and a cavity develops. Routine brushing and flossing are necessary to contain plaque hardening and the consequences of pit and fissure cavities.
What are the Symptoms of Tooth Cavities?
The symptoms of tooth cavities are listed below.
Toothache: Cavities, or tooth decay, are areas in the hard exterior of teeth that become small openings or holes. The decay gradually erodes the tooth's outer enamel, and dentin erodes, causing toothaches as it advances. The pulp, which houses nerves and blood vessels, is the innermost layer that is reached if the deterioration continues. The pulp becomes swollen and irritated by bacteria, causing pain. A sharp, stabbing pain indicates a cavity or crack, while a severe, throbbing pain may indicate an infection in the tooth pulp.
Tooth Sensitivity: Cavities cause tooth sensitivity, which manifests as tooth pain, temperature sensitivity, sensitivity to sweets, and pain when biting down. Signs include intense tooth pain when exposed to hot or cold foods and beverages, pain during biting or chewing, pain from alcohol-based mouth rinses, breathing through the mouth, and freezing air. Sensitive teeth develop from hard bruising, receding gums, decay, cavities, gum disease, grinding, cracked teeth, enamel erosion from acidic food and drinks, tooth bleaching, and vitamin or mineral deficiencies. Risk factors include poor oral hygiene, not seeing a dentist for regular check-ups, consuming acidic beverages, grinding teeth, and engaging in actions that wear away enamel.
Discolouration: Tooth discolouration is a symptom of cavities, causing colour changes into white, yellow, brown, or black spots. Causes include staining from food and drinks, tobacco use, medications, trauma, and certain diseases. Treatment depends on the extent of decay, with fluoride treatments in the early stages and dental fillings for advanced cases. Maintaining good oral hygiene and regular dental check-ups is crucial for preventing and managing cavities. Other causes include bacteria, sugars, poor oral hygiene, diet, dry mouth, insufficient fluoride intake, fluorosis, medication stains, and trauma.
Mild to Sharp Pain: The progression of a tooth cavity manifests in different stages. Mild discomfort or sensitivity occur early due to tooth enamel erosion, exposing the dentin layer. The pain becomes persistent and noticeable as the cavity progresses, with stinging or burning sensations. Sharp and excruciating pain happens when decay enters the tooth pulp, home to blood vessels and nerves. The discomfort becomes worse and persists for an extended period in advanced cases if the cavity develops an infection or an abscess.
Holes or Pits in the Teeth: Cavities form when bacteria in the mouth feed on sugars and starches, producing acids that remove minerals from the tooth's outer enamel, causing tiny openings or holes. Cavities grow and affect deeper layers of teeth, reaching dentin, which is softer than enamel and less acid-resistant. Cavities start as small, dark spots and become larger as decay continues. Visible holes, pits, or voids on the tooth surface indicate enamel compromise. Regular maintenance work, including flossing and dental checkups, is needed for the teeth. Visible holes make teeth sensitive to stimuli and make chewing difficult if the hole is in a high-pressure area. Failure to see a dentist leads to localised infections, gum inflammation, and bumps.
Bad Breath: Bad breath, or halitosis, is a symptom of cavities, small holes in teeth where bacteria accumulate and eat away at tooth enamel. Cavities contribute to bad breath through bacterial accumulation, plaque buildup, underlying bacteria, and poor oral hygiene. Starchy and sugary foods or drinks feed bacteria, producing acids that destroy tooth enamel. Plaque buildup forms on teeth, and underlying bacteria emit a sulphur-like smell. Persistent halitosis suggests an underlying condition like gum disease or gingival margin infection. Management involves identifying and resolving the root cause, optimising oral hygiene practices, managing gum disease or illnesses, and using antibacterial mouthwashes.
What are the Causes Tooth Cavities?
The causes of tooth cavities are listed below.
Bacteria in the mouth: Bacteria in the mouth feed on sugary, starchy foods and drinks, transforming carbohydrates into acids that remove minerals from tooth enamel and direct them to cavities. Acids erode enamel, leaving behind microscopic cracks or holes. Bacteria and acid penetrate the teeth's weaker dentin layer after the enamel has worn away. Tooth decay is stopped or reversed by using minerals from saliva and fluoride from toothpaste or applying fluoride by a dentist or dental hygienist. Bacteria cause tooth decay by feeding on sugar in foods and drinks, leaving behind dental plaque. Plaque allows germs to stay on teeth longer and produce acids that erode tooth enamel and result in cavities. Bacteria create acids in response to various meals, including carbohydrates and sugary foods.
Poor oral hygiene: Poor oral hygiene causes cavities. Plaque formation occurs when bacteria in the mouth feed on sugars and starches from food, forming a sticky film called plaque. Acid production from plaque converts sugars and starches into acids, which dissolve the enamel, creating cavities. Poor oral hygiene practices, such as not brushing or flossing, allow plaque and tartar to build up, accelerating cavity formation. Oral diseases are dominant among the poor and socially disadvantaged, affecting populations across different income levels.
Insufficient fluoride: Fluoride is a naturally occurring mineral that protects teeth from harm from oral bacteria. It replaces minerals lost from acid breakdown, making teeth weaker and susceptible to cavities. Fluoride reduces the amount of acid bacteria produce and makes it harder for them to stick to teeth. Consistent and low fluoride levels in saliva and tooth surfaces are required for protection. Fluoride helps remineralise tooth enamel, preventing cavities.
Snacking or sipping: Snacking or sipping on sugary foods and drinks contributes to cavities by producing acids, eroding enamel, and exposing teeth to prolonged exposure. Sticky foods high in sugar create an acidic environment, leading to tooth decay. Plaque and tartar contribute to cavities. Limit sugary consumption and avoid sipping or snacking on them over long periods to prevent cavities.
Medical conditions: Diabetes, HIV/AIDS, heart disease, and anaemia are medical conditions that contribute to cavities by affecting oral health. Diabetes increases salivary sugar levels, promoting tooth decay and reducing saliva production. Eating disorders such as anorexia and bulimia expose teeth to stomach acids, making them prone to cavities. Medications, cancer therapies, and immune system diseases promote tooth decay, oral bacteria imbalance, mouth infections, and invasions.
Dry Mouth: A dry mouth, or xerostomia, is a condition in which saliva production is insufficient, leading to dental problems such as cavities. Saliva helps wash away food particles and neutralises bacteria's acids, aiding digestion. Food particles stay in the mouth longer when insufficient saliva feeds germs that break down dental enamel, resulting in cavities.
What are the Treatments of Tooth Cavities?
The treatments of tooth cavities are listed below.
Flouride Treatments: Fluoride prevents dental decay, remineralises minerals, fights bacteria, and strengthens tooth enamel. Tooth enamel loses minerals due to demineralisation, while remineralisation occurs when minerals are gained from food and water. Dentists offer powerful fluoride treatments that take a few minutes to apply. The procedure stops the growth of dangerous oral germs, restores minerals to tooth surfaces where bacteria have broken down the enamel, and guards against cavities. Dental fluoride helps prevent tooth decay by making enamel resistant to acid attacks and reversing early decay.
Crowns: A dental crown is a tooth-shaped cap placed over a tooth to restore its shape, size, strength, and appearance. Dental crown protects a weak tooth from decay, restores a broken tooth, holds a dental bridge, covers discoloured teeth, a dental implant, and a tooth with a large filling, and is placed on teeth with extensive cavities or following root canal therapy.
Root Canal Treatment: A root canal treatment is a dental procedure that removes inflamed or infected pulp from a tooth's inner material and is used to treat severe cavities. The procedure involves anaesthetic numbing, decay removal, pulp cleaning, disinfection, root canal sealing, infection prevention, and sometimes medication use. The root canal treatment aims to save the natural tooth by eliminating bacteria from the infected root canal, preventing reinfection, and making the tooth healthy again. The procedure is painless and highly effective, allowing patients to return to smiling, biting, and chewing with ease.
Dental Fillings: Dental fillings are treatments for cavities that seal a tooth's hole to prevent further damage, pain, and loss of tooth structure. The dental filling procedure involves using a local anaesthetic to numb the area around the tooth and removing the decayed area using a drill, air abrasion instrument, or laser.
Tooth Extractions: A tooth extraction is a dental procedure in which a tooth is removed from its socket as a last resort when a severe cavity cannot be treated with fillings, crowns, or root canals. The dentist numbs the area around the tooth with anaesthetic and removes the decayed area and the entire tooth. Reasons for extraction include severe tooth decay, fractured teeth, impacted teeth, crowded teeth, or severe gum disease. The procedure involves carefully pulling the tooth from its socket. Aftercare and recovery include taking prescribed medications, avoiding certain foods, and maintaining oral hygiene.
Sealants: Dental sealants prevent cavities by sealing the occlusal surfaces of teeth, particularly the back teeth, which are more prone to decay. The process involves thorough cleaning, drying, and applying an absorbent material to the teeth. An etching solution is applied to roughen the chewing surfaces, forming a bond with the sealant. Sealants suit children and teenagers due to the chance of decay in the depressions and grooves of the teeth.
Can Tooth Cavities Be Treated At Home?
No, cavities cannot be treated at home. Professional dental treatment is required for an effective and lasting resolution. A person must visit a dentist for a checkup if teeth become discoloured, painful, or sensitive to cold and hot stimuli. The treatment includes proper cleaning and restoration procedures, prevention of complications, and monitoring and follow-up.
Cavities are tiny holes in the tooth's hard surface that result from bacteria and are difficult to treat at home. The hole must be filled or restored to stop further damage and get the tooth working correctly after removing the decay. Professional treatment ensures the cavity is thoroughly cleaned, reducing the risk of complications such as infection or further decay. Dentists provide preventive measures to protect the tooth from future decay, monitor the healing process, and provide guidance on oral care practices to maintain oral health and prevent recurrence. Temporary measures such as over-the-counter pain relief do not treat the underlying cause or prevent progression.
What are the Researches about Tooth Cavities?
The research about tooth cavities is regarding the microbial analysis of dental cavities, enamel regeneration, and digital dentistry. Dental cavities result from interactions between oral microorganisms, the environment, host factors, and time. Dental caries has evolved with 4D tools, the COVID-19 pandemic, and terminology shifts. The International Caries Detection and Assessment System (ICDAS) criteria improve epidemiology and clinical practice. The challenges remain in estimating prevalence and understanding care needs. Nigel Pitts, BDS, PhD, FRSE, and other researchers have explored the dynamics of caries, emphasising early detection and minimally interventive approaches.
Researchers from the University of Washington in Seattle are working on using stem cells to produce organoids that release the proteins responsible for forming dental enamel. The researchers include Hai Zhang, a professor of restorative dentistry, and Ammar Alghadeer, a graduate student in Hannele Ruohola-Baker’s laboratory. The future of enamel regeneration leads to innovative therapies for the repair and regeneration of teeth.
The digital revolution transforms dentistry and medicine, enabling same-day care, fewer office visits, and affordable treatment options using digital dentistry. Advanced diagnostic tools, such as the canary and S-ray, are being developed to analyse physical conditions precisely.
Lasers are now being used in diagnosis and treatment, with soft-tissue lasers for minor gum surgery and hard-tissue lasers replacing high-speed dental drills. A dentist and dental technology expert, Larry Emmott, asserts that the digital revolution is revolutionising dentistry through electronic record-keeping, data analysis, diagnostic tools, prevention methods, and treatment options.
What are the Differences between Teeth Cavities and Toothache?
The differences between teeth cavities and toothaches are that tooth cavities are bacterially-caused decayed areas on teeth, whereas toothaches are discomfort in or around teeth caused by cavities, infection, or trauma. Teeth cavities (tooth decay) are permanent, sticky areas on the externals of teeth. Bacteria in the mouth, frequent snacking, sugary drinks, and poor tooth cleaning are the causes of cavities, which manifest as brown or white spots or holes. Cavities appear as tiny openings or holes, an issue for dental health.
Toothache is a pain in or around the teeth and jaws caused by cavities, abscesses, cracked teeth, damaged dental restorations, teeth grinding or clenching, and gum disease. It ranges from mild discomfort to severe pain and is constant or intermittent.
Causes of tooth cavities include bacterial activity, plaque buildup, diet, poor oral hygiene, tooth fractures, infections, and tooth grinding. Fluoride treatments help restore enamel and reverse cavities in the early stages, while fillings, crowns, root canals, and extractions are performed for advanced cavities. Cavities, gum disease, tooth fractures, infections, teeth grinding, and other health issues cause toothaches. Tooth fractures reveal sensitive internal layers, while infections cause severe pain. Teeth grinding wears teeth and causes pain.
Fluoride treatments help restore enamel and reverse cavities in teeth. Dental fillings are used for advanced cavities, and crowns are needed for extensive decay or weakened teeth. Toothache management involves pain relief, dental treatment, antibiotics, and lifestyle changes. Over-the-counter pain relievers, dental treatments, antibiotics, and nightguards help manage the underlying cause.
Teeth cavities and toothaches share symptoms, such as distress and pain in the affected tooth. Preventive measures such as brushing, flossing, and dental check-ups help prevent cavities and toothaches. Untreated cavities lead to serious dental issues such as infections, abscesses, and tooth loss. Teeth cavities and toothaches require professional dental restorative supervision to address underlying issues and control further complications.