Born in Stuttgart, Germany in 1979, Dr. Dt. Erdem Çetin began his education in Kırşehir and completed his schooling there, from primary school through to high school. He then successfully completed his university education at the Faculty of Dentistry at 19 Mayıs University in Samsun.
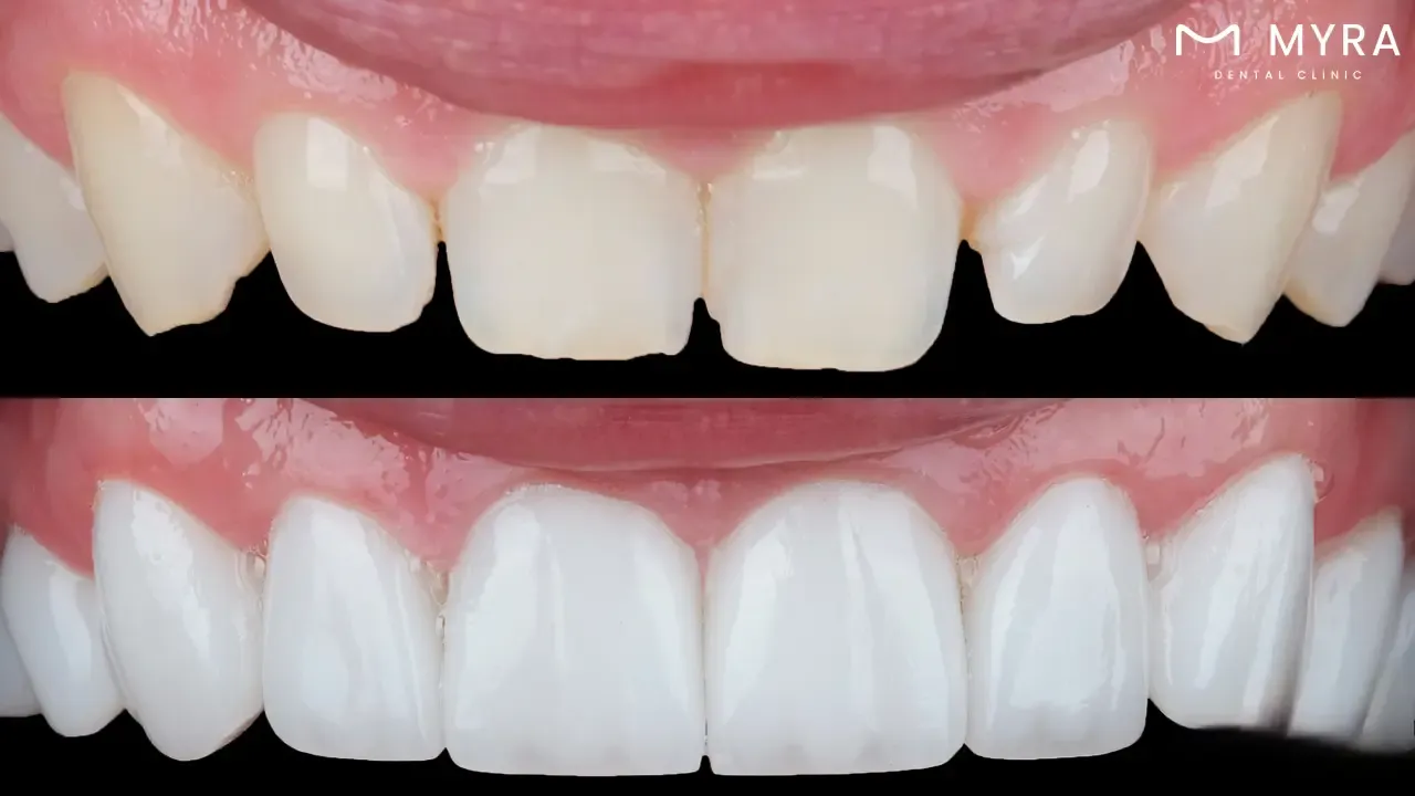
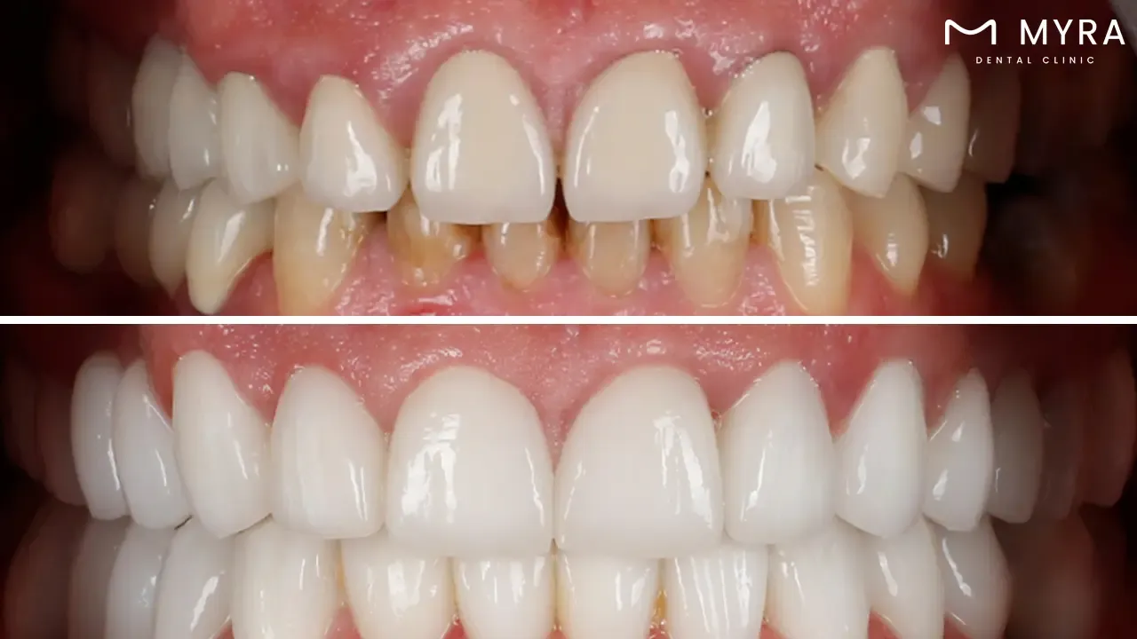
The term "smile design" refers to a multi-pronged strategy for enhancing one's grin via cosmetic dentistry. Smile design requires a thorough assessment of the patient's facial and dental features, as well as their preferences and desired outcomes, in order to develop an individualised treatment plan.
Facial esthetics, gingival esthetics, micro esthetics, and macro esthetics are all theories used to guide the design process and guarantee a natural and aesthetically acceptable result in a smile.
Porcelain veneers, dental implants, crowns and bridges, orthodontics, teeth whitening, bonding of teeth, gum contouring, and enamel shaping are just some of the cosmetic dentistry procedures that are a part of the smile design procedure. Each patient's procedures are hand-picked and tailored to their specific condition and desired outcomes.
An expert cosmetic dentist helps one to choose the best course of treatment for their unique needs and goals when it comes to smile design, which is a strong tool for developing a beautiful and confident smile.
What is a Smile Design?
Dentistry's smile design speciality aims to make teeth and gums look more attractive and natural-looking by enhancing their aesthetics. Smile design entails a variety of aesthetic dentistry procedures intended to improve the function and health of the teeth and gums while enhancing their appearance. Teeth whitening, veneers, braces, crowns, and implants are just a few of the smile design procedures that are tailored to each patient's particular requirements and preferences.
Smile design aims to produce a beautiful, functional smile that complements the patient's facial features as a whole. A person's self-esteem and confidence are raised as a result, enhancing their standard of living. Numerous people have found success with smile design, a constantly growing area of dentistry, in getting the smile of their dreams.
Evidence of dental procedures from ancient cultures suggests that the idea of smile design has been present for ages. The contemporary field of aesthetic dentistry did not start to take shape, though, until the middle of the 20th century. The introduction of novel cosmetic dental procedures, such as veneers and bonding, that enhance the appearance of teeth and gums was facilitated by advancements in dental technology and materials in the 1950s and 1960s.
Cosmetic dentistry saw a sharp increase in popularity as more people developed an interest in having attractive smiles in the 1980s and 1990s. Consequently, new methods and tools were created, like laser dentistry and computer imaging, to improve the accuracy and efficiency of smile design procedures. Nowadays, smile design is a well-established area of dentistry that is always evolving and getting better, thanks to the constant development of new tools and methods.
Generally, smile design has its roots in ancient cultures, but smile design recently developed into a sophisticated and highly specialised discipline of dentistry. Smile design is expected to continue to develop and play a significant role in dental care for years to come given the growing demand for attractive and natural-looking smiles.
The field of smile design in dentistry has developed over time with the help of numerous dental specialists.Smile design is challenging to pinpoint the field's inception to a single individual or organisation as so many diverse people have contributed to the development of smile design over the years.
Dr. Irwin Smigel, who is frequently credited with creating contemporary teeth whitening in the 1970s, was a pioneer of modern cosmetic dentistry at an early stage. Dr. Irwin Smigel created several additional cosmetic dentistry techniques, such as porcelain veneers and bonding, now typical smile design elements.
Dr. Ronald Goldstein regarded as a leading authority in aesthetic dentistry and has written numerous books on the subject, and Dr. Larry Rosenthal, well-known for his work designing natural-looking smiles for celebrities, are two other notable individuals in the development of smile design.
More recently, improvements in dental technology and materials have helped to further enhance the field of smile design, making it simpler than ever to construct personalised treatment plans and anticipate the results of surgeries thanks to computer imaging and digital design tools.
Overall, dental professionals worldwide have contributed their knowledge to form a sector dedicated to assisting individuals in achieving attractive and healthy smiles. The development of smile design has been a collective endeavour.
What is the Purpose of Smile Design?
Improved oral health and function go hand in hand with a more attractive smile, which is why smile design is performed. A person's quality of life is greatly enhanced by the gift of an attractive smile because of the positive effect it has on their self-perception and confidence.
Smile design operations not only make a person seem better, but they make their teeth and gums healthier. Orthodontic treatments make teeth healthier and less prone to cavities and gum disease by correcting misalignment. Bone loss in the jaw is avoided and tooth structure is preserved with the use of restorative procedures like dental implants.
The goal of smile design is to improve a person's health, confidence, and quality of life by improving the appearance of their smile. Smile design, which considers both the cosmetic and practical features of a person's smile, significantly improves oral health and the overall appearance of the teeth and gums.
Several different kinds of people benefit from cosmetic dentistry operations intended to enhance the smile. Smile design is an option for anyone who dislikes the look of their smile or has dental problems like discolouration, chipping, cracks, improper alignment, or missing teeth.
A smile makeover is a viable solution if they're having trouble chewing or speaking because of dental difficulties. Likewise, those who have had dental trauma or injury seeking to restore their teeth' appearance and function find smile design a viable option.
One's candidacy for smile design operations is affected by a number of circumstances. Certain operations are not appropriate for someone, for instance, if they have a particular medical condition or are using a particular medication. People with severe cavities or gum disease must have these conditions treated first before undergoing smile redesign.
Ultimately, a consultation with a cosmetic dentist is the best approach to finding out if they are a good candidate for smile design. The dentist assesses the patient's current oral health and listens to their concerns and aspirations regarding their smile during the consultation session.
Smile design techniques are used to improve a person's physical and emotional health by enhancing the appearance and function of their teeth and gums. Smile design operations create a natural-looking, aesthetically pleasing smile that increases a person's self-esteem and overall quality of life by correcting a number of dental concerns, such as discolouration, chipping, cracks, misalignment, and missing teeth.
One of the primary functions of smile design is to enhance the smile's look. Smile Design is helpful for individuals who are self-conscious about their teeth and feel embarrassed or worried when smiling in social circumstances. Smile design operations create a more symmetrical and aesthetically pleasing smile that enhances a person's natural beauty by treating aesthetic concerns like discolouration or misalignment.
Moreover, smile design techniques are performed to improve the teeth and gums' functionality. Orthodontic treatments such as braces or clear aligners improve tooth alignment, making teeth easier to clean and lowering the risk of tooth decay and gum disease. Moreover, restorative operations, like dental implants, restore the function of lost teeth, allowing the patient to chew and speak with greater comfort.
Smile design operations boost a person's emotional health in addition to improving the appearance and function of the teeth and gums. A healthy and attractive smile boosts a person's self-esteem and confidence, resulting in increased success in both personal and professional interactions.
Ultimately, the usage of smile design techniques encompasses both cosmetic and practical benefits that considerably enhance a person's quality of life. Smile design procedures give a customised solution to fit their specific needs and preferences whether a person desires to improve their smile for aesthetic or functional reasons.
How long is the process of Smile Design?
The length of the smile design process varies significantly depending on the precise treatments involved as well as the unique conditions and preferences of each patient. The time that the process takes to build a smile ranges from a few weeks to several months on average.
The complexity of the case, the particular treatments involved, the patient's general oral health, and their unique objectives and preferences are all factors that influence how long the smile design process takes. A smile design technique that requires several steps, such as veneers, orthodontic treatment, and teeth whitening, takes longer to finish than a procedure that only requires teeth whitening.
The length of the smile design procedure impacted the patient's overall oral and gum health. Patients who have underlying dental problems like decay or gum disease need to have those problems taken care of, which prolongs the procedure before having smile design operations done.
The aims and preferences of the patient have an impact on how long the smile design procedure takes. Individuals seeking a substantial change need more extensive operations and a longer course of treatment, whereas those seeking merely small changes to reach their goals with a quicker course of action.
The length of the smile design process varies enormously overall based on a number of variables. The natural-looking result that improves their appearance and well-being, patients work closely with their cosmetic dentist to create a treatment plan that suits each patient's unique needs and preferences and produces a long-lasting.
How long does Smile Design last?
The precise processes used, the quality of the materials, the patient's oral hygiene routines, and the patient's overall dental health affect how long a smile design lasts. Nonetheless, with the right maintenance, smile design treatments last for years.
Teeth whitening procedures typically last for several months to a few years depending on the precise treatment utilised and the patient's habits like food and smoking.Wear and tear over time require touch-ups or replacement although bonding and contouring procedures last many years.
Properly take care of porcelain veneers, which are thin shells affixed to the front of teeth to enhance their appearance, and last 10 to 15 years or even longer. The same is true for orthodontic procedures like braces or clear aligners, which produce long-lasting results. Many patients keep their new smiles for the rest of their lives with good oral hygiene.
Dental implants, which are artificial tooth roots inserted into the jawbone to support a new tooth deliver durable outcomes with the right maintenance. Implants are intended to be permanent and last for decades or even a lifetime with good care and routine dental exams.
Ultimately, a smile design's durability is influenced by a number of variables, such as the particular techniques used, the calibre of the materials employed, and the patient's own oral care routines and overall oral health. Smile design operations deliver long-lasting, realistic-looking results that enhance the look and feel of the teeth and gums, enhancing the patient's physical and emotional health but, with the right upkeep and care.
How much does Smile Design cost in Turkey?
The price of a smile design in Turkey differs significantly based on a number of variables, such as the particular treatments involved, the location of the dentist's office, and the unique requirements and preferences of each patient. The typical price range for a smile design is between a few thousand to tens of thousands of dollars.
In Turkey, however, dental treatments, including smile design, are far more affordable while maintaining high standards of quality. For instance:
Teeth whitening: £250 to £400
Bonding and reshaping: £50 to £250 per tooth
Porcelain veneers: £140 to £300 per tooth
Dental implants: £400 to £850 per tooth
Orthodontic treatment with clear aligners: £1200 to £2000, depending on the complexity of the case
Individual smile design techniques range in price as well. The cost of teeth whitening operations ranges from £200 to £1000, while the cost of bonding and reshaping procedures range from £200 to £1000 per tooth in UK. Porcelain veneers range in price from £800 to £2500 per tooth, while clear aligners or other orthodontic procedures, depending on the length of the treatment and the severity of the misalignment, cost anywhere from £3000 to £8000 in UK.
Cost is another major consideration for dental implants, which are artificial tooth roots inserted into the jawbone to support replacement teeth. The number of implants required, the calibre of the materials utilised, and the complexity of the case all affect the price of dental implants. Dental implants typically range in price from £3000 to £5000 per tooth in UK.
The cost differences between Turkey and Western countries like the UK or the US stem from lower operational costs, competitive pricing, and a booming medical tourism industry in Turkey. Many dental clinics in Turkey offer comprehensive packages that include treatment, accommodation, and transportation, making it an excellent option for those seeking affordable and high-quality dental care.Overall, the price of a smile makeover is high, but many patients think the advantages outweigh the costs. A person's self-esteem and confidence are significantly boosted by a stunning and healthy smile, which enhances their quality of life and helps them succeed in their personal and professional relationships.
It is crucial for patients to share their objectives and worries with their cosmetic dentist, who then creates a treatment plan and price estimate that is specific to their wants and needs. Financing solutions are available in some circumstances to help make the surgery more affordable.
The price of a smile design in Turkey varies significantly depending on the precise treatments involved as well as the unique requirements and preferences of each patient. The following are some elements that affect the price of procedures for smile design:
The price of various smile design operations varies significantly in Turkey. Dental bonding and teeth whitening procedures typically cost less than porcelain veneers or orthodontic procedures like braces or clear aligners. The number of teeth that require treatment affects how much a smile design costs. A patient who simply needs one or two teeth treated spends less than a patient who needs multiple teeth to be treated.
The cost of smile design operations varies depending on the dental practice's location in Turkey. Urban or affluent practices charge more than those in more rural or budget-friendly locales. The cost of smile design methods is impacted by the material quality. Higher-quality porcelain veneers are more expensive than alternatives of lower quality.
The cost of smile design in Turkey procedures depends on how many changes need to be made to get the results they want. A patient's ultimate cost of the operation varies depending on how many appointments and revisions they require.
The price of smile design operations varies greatly in terms of overall cost, depending on a number of variables in Turkey. The price of smile design is crucial for patients to share their objectives and worries with their cosmetic dentist, who creates a treatment plan and price estimate that is specific to their wants and needs. Financing solutions are available in some circumstances to help make the surgery more affordable.
International patients often find that smile design in Turkey offers the perfect blend of advanced dental technology, expert care, and exceptional affordability.
How do I know if I need a Smile Design?
A smile design is helpful if they are dissatisfied with the way their teeth and gums look or if they have dental problems like discolouration, chipping, cracks, misalignment, or missing teeth. Procedures for smile design assist in enhancing their general quality of life by improving the look and feel of their teeth and gums.
Teeth that are discoloured or stained and benefit from dental whitening or bonding procedures to make them look better. Teeth that have been chipped or broken are repaired cosmetically and functionally with porcelain veneers or bonding.
Teeth that are out of place: If their teeth are crooked or out of place, orthodontic treatments like braces or invisible aligners assist to straighten them out. Dental implants or other restoration operations help restore their smile and enhance their ability to chew and communicate if they are missing one or more teeth.
Gum problems: Gum contouring or other periodontal treatments help to enhance the appearance and health of the gums if they suffer from gum problems including gum recession or periodontal disease.
Overall, consulting with a cosmetic dentist is the best approach to figuring out if they require a smile design. The dentist assesses their dental health and talks with them about their smile's goals and concerns during the appointment, which helps them choose the best course of action for their particular requirements and preferences. They have a gorgeous, healthy smile that improves their general quality of life with the assistance of a cosmetic dentist.
What do dentists consider when designing their smile?
Listed below are the factors that dentists consider when designing a smile.
Facial composition: The structure and traits of a person's face as a whole are called their "facial composition". It includes where the eyes, nose, mouth, and other facial parts are placed. It means the bones and muscles beneath the skin that give the face its shape.
Dental composition: The size, shape, alignment, and colour of a person's teeth, as well as their structure, are all part of their dental makeup. It means things like fillings, crowns, and implants, which are used to fix or replace teeth. The shape and size of a person's teeth are important to their general oral health and appearance.
Facial Composition
The term "facial composition" describes how the various facial features combine to give the face a balanced and appealing appearance. The size and form of the face, the placement of the eyes, nose, and mouth, as well as the general symmetry and proportion of the features, all be considered.
Taking into account face features is crucial since the facial composition ensures that the finished product is both natural-looking and aesthetically acceptable while creating a smile. A smile appears forced or fake, which reduces the facial composition's overall effect and appearance without considering the overall facial structure.
A smile that is unnaturally wide or narrow for the face detracts from other facial characteristics like the eyes or nose. Similar to how a smile looks out of proportion or imbalanced when the facial composition is created without taking into account the form or placement of the teeth in relation to the rest of the face.
Dentists create aesthetically pleasing smiles and blend in with their patients' natural facial features by taking into account the facial composition of the patient. Facial composition results in a more appealing and natural-looking smile that improves the face's overall appearance and boosts the patient's physical and mental well-being.
Dental Composition
The arrangement and relationship of the teeth within the mouth are referred to as dental composition. Dental composition takes into account elements including the teeth's size and form, placement within the mouth, and how they fit together when the jaw is closed.
It's crucial to take dental composition into account because dental composition ensures that the end product is both visually beautiful and practical while creating a smile. A smile looks unnatural and does not work properly, which causes problems with chewing, speaking, and general oral health without considering the tooth structure.
A smile made with teeth that are disproportionately large or small for the mouth appears unbalanced and does not fit together properly when the jaw is closed. Problems with occlusion or jaw alignment result from a smile that was created without taking into account how the teeth fit together while biting or eating.
Dentists create smiles that look natural and perform properly by considering dental composition. Dental Composition results in a more appealing smile that improves dental health and function in addition to the appearance of the face as a whole. Additionally, dentists design a customised treatment plan that addresses each patient's particular needs and preferences by considering their unique dental makeup, which helps ensure that the results are beautiful and long-lasting.
What are the Smile Design Theories?
Cosmetic dentists are guided by a series of beliefs known as smile design theories when constructing beautiful, realistic-looking smiles. Listed below are the smile design theories.
Facial esthetics: Facial esthetics concept describes how the elements of the face combine to give off a pleasing and well-balanced appearance. Dentists develop a customised treatment plan that improves the overall appearance of the face and produces a natural-looking and aesthetically pleasing smile by considering facial esthetics when designing smiles.
Gingival esthetics: Gingival esthetics theory speaks of the condition and aesthetics of the gums that cover the teeth. Dentists construct a customised treatment plan that improves the smile's overall aesthetic while fostering good oral health by taking gingival esthetics into account.
Micro esthetics: A theory about the small things that make up a beautiful, natural-looking smile. Dental professionals develop a customised treatment plan that caters to the particular needs and preferences of each patient by taking micro esthetics into account when designing smiles.
Macro esthetics: In Macro esthetics theory, the smile's overall appearance is discussed, along with how it blends with the patient's individual features and the rest of the face. Dental professionals develop a unique treatment plan that improves the overall appearance of the face and produces a natural-looking and aesthetically pleasing smile by taking macro esthetics into account when designing smiles.
Ultimately, each theory on smile design offers a unique viewpoint on how to produce a beautiful and genuine-looking smile. Cosmetic dentists develop individualised treatment plans that are tailored to each patient's unique needs and preferences by taking into account these theories as well as additional elements like the patient's facial structure, dental composition, and personal preferences. The results are long-lasting and aesthetically pleasing.
1.Facial Esthetics
It is the area of dentistry that includes a range of procedures, such as teeth whitening, orthodontics, dental bonding, and facial injectables like Botox and dermal fillers. Facial esthetics help patients achieve a natural and harmonious facial balance by combining artistry with advanced dental techniques so, what is facial esthetics? The term "facial esthetics" describes how the elements of the face combine to give the face an appealing and well-balanced appearance. Facial esthetics involves elements like the face's symmetry and proportion, the placement of the eyes, nose, and mouth, as well as the overall harmony and balance of the features.
The aesthetics of the face must be taken into account while designing smiles because the smile's look is strongly related to the facial features as a whole. Cosmetic dentists construct smiles that blend in with the rest of the face and improve a patient's overall appearance by taking into account the individual facial esthetics of each patient.
A smile created without considering the placement or shape of the teeth in relation to the rest of the face appears imbalanced or disproportionate. Similar to how a smile crafted without consideration for the symmetry and proportion of the face looks forced or unnatural.
Dentists develop a customised treatment plan that improves the overall appearance of the face and produces a natural-looking and aesthetically pleasing smile by considering facial esthetics when designing smiles. Facial Esthetics result in the patient having greater self-assurance, self-esteem, and general quality of life.
2.Gingival Esthetics
The aesthetics of the gums are the main focus of the branch of dentistry because they significantly affect how a person's smile looks overall. These operations aim to enhance the gums' symmetry, size, and shape, resulting in a more appealing and well-proportioned grin so, what is gingival esthetics? The condition and aesthetics of the gums that surround teeth are referred to as gingival esthetics. Gingival esthetics involve elements including the gums' health and colour, height and structure, and how they frame the teeth.
Gingival esthetics is a crucial factor in the design of a smile since the way the gums look significantly affects how the smile looks as a whole. Cosmetic dentists construct a smile that is both attractive and natural-looking by taking into account each patient's particular gingival esthetics.
Gingival contouring or other periodontal procedures is used to realign the gum line and enhance the appearance of a patient's smile if they have a gummy smile, which is characterised by an excessive amount of gum tissue showing when they smile. Similarly, gum grafting or other restorative procedures are utilised to improve the smile's overall appearance and restore the gums' appearance and health if a patient's gums are receding.
Dentists construct a customised treatment plan that improves the smile's overall aesthetic while
fostering good oral health by taking gingival esthetics into account. The patient's sense of self-worth, confidence, and general quality of life all increase as a result.
3.Micro Esthetics
The size, shape, and placement of individual teeth, as well as the symmetry and balance of the smile as a whole, are just a few of the tiny elements of teeth and facial features addressed in the branch of dentistry. Micro esthetics is the practice of designing exact and unique treatments for each patient using cutting-edge dental methods and technology, including digital imaging and computer-assisted design. So, what is micro esthetics? Micro esthetics describes the minute components of a lovely and realistic-looking smile. Micro Esthetics include things like how each tooth is positioned and angled, its size and shape, and how the teeth fit together when the jaw is closed.
Micro esthetics is a crucial factor in smile design because even minor adjustments to the colour or positioning of the teeth significantly alter how the smile looks as a whole. Cosmetic dentists build a smile that is both attractive and natural-looking by considering each patient's particular micro esthetics.
Bonding or veneer treatments are utilised to restructure a patient's teeth and improve their appearance if they are too long or too short. Similarly, orthodontic procedures like braces or clear aligners are used to straighten teeth and provide a more aesthetically pleasing smile if a patient has gaps between their teeth, teeth that are crowded, or teeth that are misaligned.
Dental professionals develop a customised treatment plan that caters to each patient's particular needs and preferences by taking micro esthetics into account when designing smiles. Micro Esthetics result in a more appealing and natural-looking grin that increases the patient's self-confidence and self-esteem while enhancing the appearance of the face as a whole.
4.Macro Esthetics
The size, shape, and placement of individual teeth, as well as the symmetry and balance of the smile as a whole, are just a few of the tiny elements of teeth and facial features addressed in the branch of dentistry. Micro esthetics is the practice of designing exact and unique treatments for each patient using cutting-edge dental methods and technology, including digital imaging and computer-assisted design. So, what is macro esthetics? Macro esthetics describes how the smile as a whole looks and how it complements the patient's individual features as well as the rest of the face.
Macro esthetics is a crucial factor in smile design because the overall appearance of the smile is intimately related to the patient's facial characteristics and proportions. Cosmetic dentists build a smile that harmonises with the rest of the face and improves the patient's overall appearance by taking into account the distinct macro esthetics of each patient.
A smile created without taking the shape or size of the teeth in relation to the rest of the face into consideration appears imbalanced or disproportionate. Similar to how a smile crafted without consideration for the symmetry and proportion of the face looks forced or unnatural.
Dental professionals develop a unique treatment plan that improves the overall appearance of the face and produces a natural-looking and aesthetically pleasing smile by taking macro esthetics into account when designing smiles. Macro esthetics result in the patient having greater self-assurance, self-esteem, and general quality of life.
What are the Procedures used in Smile Design?
Listed below are the procedures used in Smile Design.
Porcelain veneers: Veneers are thin shells of porcelain made to fit over the front surfaces of the teeth. They are applied to fix a variety of aesthetic problems, such as malformed or discoloured teeth.
Dental implants: Implants are a common choice for dentures. They entail inserting a tiny metal post into the jawbone, which is then covered by a bespoke dental crown.
Bridges and crowns: A crown is a custom-made covering that is put over a tooth that has been chipped or decaying to restore both its function and aesthetics. Bridges are used to replace missing teeth by securing an artificial tooth to the neighbouring teeth.
Orthodontic procedures: Orthodontic procedures are employed to straighten the teeth and enhance the overall alignment of the smile, braces, clear aligners, or others.
Teeth whitening: A non-invasive technique that is used to brighten and improve the look of the teeth. There are many teeth-whitening alternatives available, including in-office procedures and kits that they use at home.
Bonding of teeth: A process in which a tooth-coloured material called composite resin is put on the teeth to fix small flaws like chips, cracks, or gaps.
Gum contouring: Gum contouring treatment involves repositioning or reshaping the gum line to enhance the look of the smile.
Enamel shaping: A process that reshapes and improves the look of the teeth by removing small amounts of enamel.
Ultimately, each patient's individual demands and goals determine which specific procedures are used in their smile design treatment plan. Patients who work closely with a cosmetic dentist design a specialised treatment plan that addresses their particular issues and yields long-lasting, realistic-looking results.
1.Porcelain veneering
Many cosmetic problems, including stains, discolouration, chipping, cracks, and uneven spacing between teeth, are fixed using the said treatment. They are a popular option for patients wishing to improve the appearance of their teeth because they are incredibly strong and long-lasting. These veneers are constructed specifically to fit over the teeth and are created to match the colour and shape of the neighbouring teeth, giving a smile a natural-looking and beautiful appearance. What is porcelain veneering? Porcelain veneering is a cosmetic dentistry surgery that covers the teeth' front surfaces with very thin porcelain shells to enhance their appearance.
A variety of cosmetic problems, like gaps between the teeth and discoloured, chipped, or irregularly shaped teeth are fixed with porcelain veneers. Two appointments are usually required for the treatment, during which the dentist prepares the teeth by removing a little bit of enamel, taking imprints of the teeth, and applying temporary veneers while the permanent ones are being made.
The dentist removes the temporary veneers after the permanent ones are prepared and use special dental cement to attach the permanent veneers to the teeth. Porcelain veneers are strong and long-lasting, and with the right upkeep and care, they provide patients with an attractive and realistic-looking smile for many years.
The durability and lasting effects of porcelain veneers are a benefit. Porcelain veneers are made of sturdy, high-quality materials that resist daily use's typical wear and tear. Porcelain veneers are an extended investment in a patient's oral health and aesthetics because they last up to 15 years or more with proper care. Furthermore, porcelain veneers are non-invasive and only slightly alter the native tooth structure, overall stronger and healthier teeth result. Overall, porcelain veneers provide a secure and efficient means of obtaining a lovely, healthy smile that endures for years. Porcelain veneering is a common and efficient cosmetic dentistry technique that assists patients in achieving a more attractive and self-assured smile. They talk to a good cosmetic dentist to find out if porcelain veneers are the right choice for their needs and goals.
2.Dental implants
It is common to practise using a long-term solution that replicates the original teeth in terms of how they seem, how they feel, and how they function in reconstructing a patient's smile after tooth loss or damage. It is custom-made to blend in with the patient's natural teeth, resulting in a sleek and aesthetically pleasing finish. They provide a solution that is extremely long-lasting and long-lasting overall, and with proper dental hygiene, they last for decades. What is a dental implant? Dental implants are artificial tooth roots that are surgically implanted into the jawbone to provide a strong foundation for replacement teeth. They are constructed out of components compatible with the human body, such as titanium, which undergoes a process known as osseointegration, in which it joins forces with the bone over time.
People who have lost teeth as a result of an accident, tooth rot, or any number of other factors frequently opt for dental implants since they are widespread and effective. They provide a solution that is both more permanent and more pleasant than the more conventional dentures or bridges because they seem and function much like real teeth.
It is essential to keep in mind that dental implants are not a treatment option for everyone who benefits from them. The patient must have sufficient bone density as well as adequate oral health for implantation to be successful. The procedure is typically broken up into several stages, and it takes the gums several months to heal before the replacement teeth are attached to the implants.
The success of dental implants is directly proportional to the quality of care and upkeep that they receive. Dental implants need patients to maintain a high level of oral cleanliness and to undergo routine dental examinations.
3.Crowns and bridges
It's crucial to keep their mouth healthy if they want to be healthy generally. Occasionally, patients require restorative dentistry procedures to replace or repair their teeth owing to a variety of factors such as tooth decay, trauma, or accident. Two common restorative dentistry procedures, crowns, and bridges, are used to replace missing or damaged teeth and restore oral health and function so, what are crowns and bridges? A dental crown is a tooth-shaped cap that is used to cover weakened or broken teeth to restore their strength, size, form, and aesthetic appeal. Crowns are created from a variety of materials, such as porcelain, metal, or a mix of the two.
The gap between two or more healthy teeth is filled by a dental bridge, which is a fixed dental treatment that replaces one or more lost teeth. Bridges are typically built of porcelain or ceramic materials and are supported by dental implants or natural teeth.
Both crowns and bridges require the dentist to remove a portion of the original tooth structure to properly fit the prosthesis. Several dental appointments are usually necessary for the operation, and interim temporary restorations are needed.
The durability of crowns and bridges depends on good oral hygiene practices, such as consistent brushing and flossing. Crowns and bridges dental prosthesis is protected from harm or degeneration by avoiding hard or sticky meals and having regular dental checkups.
4.Orthodontics
A person's self-confidence and general well-being are increased by having a smile that sparkles and straight teeth, in addition to other benefits for overall dental health. it is simpler to chew food and talk clearly after undergoing the procedure to improve the function of the teeth and bite so, what is orthodontics? A specialist area of dentistry and orthodontics is concerned with the identification, avoidance, and correction of dental and skeletal anomalies. The Greek terms "ortho," which means straight, and "odont," which means tooth, are the origin of the word "orthodontics."
Orthodontists are dentists who have completed an additional 2–3 years of specialised study after dental school to become experts in resolving dental misalignments, bite disorders, and other associated problems. Orthodontists employ a range of instruments and methods, like braces, aligners, and retainers, to straighten teeth and enhance oral health in general.
Orthodontic therapy is crucial for preserving good dental health in addition to making smiles more aesthetically pleasing. The risk of tooth decay, gum disease, and other oral health issues rises due to the difficulty of cleaning crooked teeth. Additionally, headaches, jaw pain, and other discomforts are brought on by biting issues.
Orthodontic treatment starts at any age, but most doctors prescribe it for kids between 8 and 14. Early intervention helps resolve problems before they worsen and become more difficult to cure. Adults benefit from orthodontic treatment, and several choices are meant to be unobtrusive and comfortable.
5.Teeth whitening
A healthy, radiant smile is frequently linked to good oral hygiene. The ageing process, food, smoking, and some medications are just a few of the factors that cause stains and discolouration to develop over time on the teeth. A common cosmetic dentistry procedure, teeth whitening assists to whiten and brighten teeth, enhancing their overall appearance and boosting self-confidence so, what is teeth whitening? Teeth whitening, a cosmetic dentistry operation that uses several techniques to remove stains and discolouration from the surface of the teeth, results in a brighter and more attractive smile.
Several factors, including ageing, smoking, certain foods and drinks, poor dental hygiene, and others, cause teeth to become discoloured. Treatments for teeth whitening help reverse the effects of these factors and improve the appearance of the tooth.
The two primary methods of teeth whitening are in-office and at-home procedures. A dentist uses a bleaching solution and a certain light to start the whitening process during in-office whitening. At-home teeth whitening usually involves the use of custom-made trays that are filled with whitening gel and worn for a predetermined amount of time each day.
It's important to keep in mind that not everyone is a candidate for teeth-whitening treatments, even though they are frequently safe and effective. No one bleaches their teeth if they have sensitive teeth or certain dental conditions. Too much use of teeth-whitening products damages tooth enamel and leads to other oral health problems.
It is recommended to see a dental professional before starting any teeth-whitening technique to ensure that it is secure and appropriate for their unique needs.
6.Bonding of Teeth
One of a person's most distinguishing features is frequently believed to be their smile. A smile's overall appearance is substantially impacted by even minor dental flaws like chips, cracks, or gaps. Bonding is a common cosmetic dental procedure that is used to restore and improve the appearance of teeth while producing a smooth and natural-looking outcome so, what is the bonding of teeth? A tooth-coloured resin material is placed on the surface of a tooth and hardened using a specific light to glue the material to the tooth, and then the operation is known as dental bonding. The tooth's look is enhanced, and its strength and durability are increased.
Dental bonding is used to treat a number of cosmetic dental problems, including broken or chipped teeth, spaces between teeth, and deformed or discoloured teeth. Dental bonding is occasionally used to fill cavities as well.
The bonding technique is finished in a single visit and is normally carried out in a dental clinic. The tooth is ready by the dentist roughening the surface and applying a liquid conditioner. The bonding substance is then applied and shaped into the required shape. The material is hardened using a specialised light, and the dentist then shapes and polishes the teeth to create a natural-looking outcome.
Bonding is an easy and inexpensive way to improve the look of their teeth, but it is not right for everyone. Dental bonding needs to be replaced or corrected over time because it is not as long-lasting as other dental restorations like veneers or crowns. Bonding is able to fix more serious cosmetic tooth problems.
It is crucial to speak with a dental expert to assess their unique needs, decide whether dental bonding is the best solution, and go over any risks or side effects.
7.Gum contouring
The gums are very important to how a person's smile looks overall. The gums appear uneven or cover too much of the teeth due to different factors like genetics or gum disease, compromising the overall attractiveness of the smile. A cosmetic dental procedure called gum contouring helps to reshape and define the gum line, enhancing the appearance of the smile so, what is gum contouring? Gum contouring, often referred to as gum reshaping or gum lifting, is a cosmetic dental operation that includes shaving off or sculpting extra gum tissue to enhance the appearance of the teeth and gums.
Gum contouring is frequently done for cosmetic purposes, including to treat a "gummy" smile, which is when too much gum tissue is seen when smiling. Gum contouring is applied to make teeth appear longer and more symmetrical or to balance out an uneven gum line.
Local anaesthetic is often used to numb the area during the treatment, which is typically done in a dentist's office. The extra gum tissue is taken away or reshaped by the dentist using a laser or another cutting device. The dentist additionally needs to remove a little quantity of bone tissue to obtain the desired outcomes.
Patients suffer some swelling or soreness following the surgery, which is treated with painkillers and cold compresses. It is crucial to adhere to the dentist's aftercare advice to guarantee good healing and reduce the risk of problems.
Gum contouring is generally a safe and effective surgery, although it is not right for everyone. Gum contouring is suitable for those with specific medical issues, including bleeding disorders. It is crucial to understand that not all aesthetic dental concerns are resolved by surgery and to have reasonable expectations for its outcomes.
Speaking with a dental expert is advised to speak with a dental expert to ascertain whether gum contouring is the best choice for their particular requirements and to go through any possible dangers or side effects.
8.Enamel Shaping
A person's overall facial attractiveness is greatly influenced by the state of their teeth. A person's smile is greatly impacted by even seemingly insignificant flaws like uneven or malformed teeth. A cosmetic dentistry procedure called enamel shaping involves shaving or shaping small pieces of enamel to help the teeth seem better so, what is enamel shaping? Small portions of enamel are removed from the teeth during an enamel shaping procedure, sometimes referred to as enamel contouring or tooth reshaping, to enhance the appearance of the teeth.
Numerous cosmetic dental problems, such as tiny chips, uneven surfaces, or overlapping teeth, are resolved by enamel shaping. The process entails meticulously removing tiny bits of enamel from the tooth's surface with a dental drill or laser in order to give it a more appealing shape or size.
The process is finished in a single visit and is normally done in a dentist's clinic. The dentist first examines the teeth to determine how much enamel was removed before reshaping the teeth with a dental drill or laser. The teeth are then polished and smoothed to produce a natural-looking outcome.
Enamel shaping is a fairly straightforward and painless cosmetic dental surgery, however, it is not right for everyone. The technique does not address more serious cosmetic dental problems because of the restricted amount of enamel that is safely removed.
Enamel serves as a protective coating for the tooth, thus shaping it raises the likelihood of dental sensitivity. It's crucial to discuss any worries or potential risks with a dental expert Before having enamel shaping,
Overall, enamel shaping is a successful method to enhance the look of the teeth with little discomfort or recovery time. It's critical to speak with a dental expert to assess their unique needs, decide whether enamel shaping is the best option, and go over any risks or side effects that are involved.
The list below presents the advantages and disadvantages of each procedure used in Smile Design.
1. Porcelain veneering for smile design
Advantages of porcelain veneering for smile design
Significantly enhances teeth' look, particularly those with discolouration, chipping, cracks, or misalignment.
Long-lasting results due to stain resistance.
Just a minor amount of tooth reduction is necessary.
Disadvantages of porcelain veneering for smile design
Requires the loss of some irreplaceable tooth enamel.
treatment that is expensive and whose costs vary according to the number of teeth being treated.
Veneers need to be replaced over time.
2. Dental implants for smile design
Advantages of dental implants for smile design
Give people a long-term replacement for missing teeth that resemble real teeth in appearance, feel, and functionality.
Aid in maintaining the jawbone's structural integrity.
Have a high success rate and last for many years with careful maintenance.
Disadvantages of dental implants for smile design
Pricey especially if there are several implants.
require surgery and a healing period.
Patients with specific medical issues or those with inadequate jawbone structure are not good candidates.
3. Crowns and bridges for smile design
Advantages of crowns and bridges for smile design
Make teeth that are broken or missing look and work better.
More affordable option than dental implants.
Maintained properly and last for many years.
Disadvantages of crowns and bridges for smile design
Some tooth structure is removed to place crowns and bridges.
It does not look as good as other cosmetic dental procedures.
Crowns and bridges require replacement over time.
4. Orthodontics for smile design
Advantages of orthodontics for smile design
Fix a wide range of dental problems, such as misalignment, gaps, overbites, and underbites.
Make teeth easier to clean, which benefits dental health.
Raise one's self-esteem and confidence.
Disadvantages of orthodontics for smile design
A protracted process that takes months or years to finish.
Requires ongoing upkeep, which includes going to the orthodontist on a regular basis and paying close attention to oral cleanliness.
Uncomfortable or lead to brief speech problems.
5. Teeth whitening for smile design
Advantages of teeth whitening for smile design
Teeth fast and with little discomfort improved.
Bolster one's sense of worth and confidence.
The dental aesthetic procedure that is inexpensive.
Disadvantages of teeth whitening for smile design
All sorts of discolouration, including that brought on by medicine or particular medical problems, are effectively treated with teeth whitening.
Results are not durable and need touch-ups over time.
Tooth sensitivity and other oral health problems result from excessive use of teeth-whitening products.
6. Bonding of Teeth for smile design
Advantages of bonding for smile design
Teeth that are cracked, chipped, or discoloured look better.
An affordable substitute for porcelain veneers.
Completed in a single dentist office visit.
Disadvantages of bonding for smile design
Bonding requires replacement over time because it is not as long-lasting as other dental restorations.
Bonding is not appropriate for all dental cosmetic needs.
The bonding substance is more susceptible to discolouration compared to natural tooth enamel.
7. Gum contouring for smile design
Advantages of gum contouring for smile design
The teeth and gums look better, especially if they have a gummy smile or an uneven gum line.
Completed in a single dentist office visit.
Performed using minimally invasive methods.
Disadvantages of gum contouring for smile design
Not everyone is a good candidate for gum contouring, particularly those with particular medical issues.
There is considerable discomfort associated with the treatment and recuperation time is needed.
The effects fade quickly and call for touch-ups over time.
8. Enamel Shaping for smile design
Advantages of enamel shaping for smile design
A quick and comfortable dental aesthetic surgery.
Improve the appearance of teeth with irregular surfaces, tiny chips, or malformed teeth.
A more affordable option than other cosmetic dental procedures.
Disadvantages of enamel shaping for smile design
operation raises the likelihood of dental sensitivity since the enamel acts as a tooth's protective coating.
Enamel shaping does not fix more serious cosmetic tooth problems.
Enamel shaping produces short-lived effects that eventually need touch-ups.
Is there a tool used for Smile Design?
Yes, there are tools available for designing smiles. Digital smile design (DSD) is one such method that makes use of digital imaging technologies to model the patient's grin virtually. The digital smile design model was altered to demonstrate to the patient how different cosmetic dental procedures, such as porcelain veneers, bonding, or teeth whitening, affect the appearance of their smile.
The patient and the dental expert use DSD to better picture the outcome and decide on the best course of action. Additionally, it verifies that the patient's expectations are in line with what is actually feasible to accomplish.
Physical models, mock-ups, and computer-aided design (CAD) software are other resources employed in the creation of smiles. These resources assist dental practitioners in developing a customised treatment strategy that takes into consideration each patient's particular requirements, objectives, and preferences.
Smile design tools are a significant step in the cosmetic dental procedure, assisting in making sure patients get the greatest outcomes and are happy with their new smile.
What is the difference between Smile Design to Dental Treatment Implants?
Dental implant therapy and smile design are two independent and separate cosmetic dentistry procedures.
A thorough assessment of the patient's smile and facial features is required for smile design in order to develop a unique treatment plan that includes a variety of cosmetic dentistry operations such as tooth whitening, bonding, porcelain veneers, orthodontics, and gum contouring. Smile design aims to make the patient's smile more aesthetically pleasing while enhancing the teeth's appearance and functionality.
Contrarily, dental implant treatment is a restorative dental technique that includes surgically inserting artificial tooth roots made of biocompatible materials, including titanium, into the jawbone to replace missing teeth. A dental crown or bridge is added to the implant once the implant has integrated with the jawbone to replace the missing tooth or teeth's appearance and functionality.
The main distinction between dental implant treatment and smile design is that focus. Smile design focuses on enhancing the appearance of the teeth and smiles while dental implants are used to replace lost teeth and restore function to the teeth. Dental treatment implant is a particular kind of restorative dental operation, whereas smile design comprises a variety of cosmetic dental procedures.
Smile makeovers and dental implant therapy enhance the teeth' appearance and functionality, but they are distinct processes with different aims. Patients speak with a dental expert to choose the procedure that best serves their unique needs and objectives.
Is it worth it to get a smile design?
Yes, for those who wish to enhance their smile and are dissatisfied with the way their teeth look, a smile design is a great investment. A higher quality of life results from increased self-esteem and confidence. People tend to respond favourably to those with a confident and appealing smile therefore it enhances social and professional encounters.
Smile design addresses dental abnormalities including crowding, misalignment, or bite disorders, which enhances oral health and lowers the likelihood of future dental concerns.
The choice to undergo cosmetic dental procedures is only taken after giving it great thought and consulting a dental expert because smile design is a matter of personal preference. Cost, recovery time, and individual preferences are all taken into consideration. The outcomes of smile design are unable to solve all cosmetic dental issues or have continuing maintenance, therefore it's crucial to have reasonable expectations for the outcomes.
Investing in a smile design is useful if a person is unhappy with the way their smile looks and wants to boost their self-confidence and dental health. It is crucial to thoroughly weigh all the relevant elements and speak with a dental expert to decide if smile design is the best option for a person's particular needs and goals.
Is the smile design procedure painful?
No, the smile design procedure is not painful, although it depends on the particular cosmetic dental operations incorporated into the design of the smile. Various cosmetic dentistry procedures, including tooth whitening, porcelain veneers, bonding, orthodontics, and gum contouring, are frequently used in smile design. Each of these operations carries a certain amount of discomfort or pain, although the majority of them are painless and very mildly invasive.
Teeth whitening causes some sensitivity or discomfort during the operation or hours after, but teeth whitening is usually short and is treated with painkillers or medicines that make teeth less sensitive. Anesthesia is frequently used to numb the area before porcelain veneers, bonding, and other cosmetic dentistry operations so the patient doesn't feel pain.
Orthodontic treatments, like braces or clear aligners, produce some discomfort or pressure during the initial adjustment period, but it usually goes away within a few days.
Gum irritation or sensitivity results from gum contouring or other periodontal operations, but it is handled with painkillers and good aftercare.
Overall, any transient discomfort or pain brought on by smile design is typically mild and tolerable, and the benefits of the surgery often outweigh any potential drawbacks. Patients discuss any worries or potential discomfort with their dentist to ensure a successful and comfortable process before having a smile design.