Gingival Esthetics: Definition, Different Procedures, Advantages, and Disadvantages
HomeMyra BlogGingival Esthetics: Definition, Different Procedures, Advantages, and Disadvantages
Dt. Erdem Çetin
Born in Stuttgart, Germany in 1979, Dr. Dt. Erdem Çetin began his education in Kırşehir and completed his schooling there, from primary school through to high school. He then successfully completed his university education at the Faculty of Dentistry at 19 Mayıs University in Samsun.
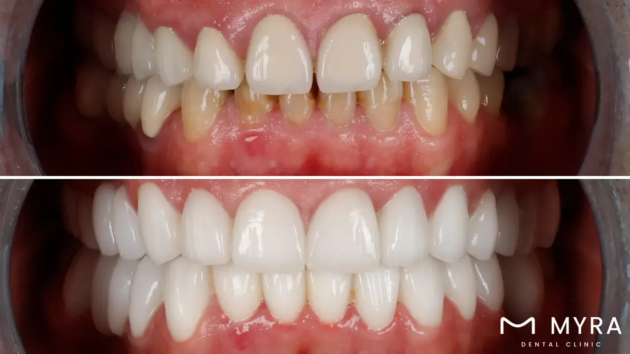
Gingival esthetics is a branch of dentistry that focuses on enhancing the look of the gums for cosmetic reasons. Gingival esthetics, known as gum esthetics, entails several operations to improve the gum tissue's symmetry, shape, colour, and general appearance.
Different procedures in gingival esthetics include gum contouring, which reshapes the gum line for a more aesthetically appealing appearance; gum grafting, which restores gum tissue in areas of recession; and gum depigmentation, which treats excessive gum pigmentation.
Gingival esthetics operations provide benefits such as better smile aesthetics, increased self-confidence, total smile makeovers, improved gum health and stability, and a customised and personalised approach to meet individual requirements.
There are certain disadvantages to consider. These include the expense of the treatments, the amount of recuperation time necessary, the possible dangers and consequences connected with the surgeries, and the constraints on reaching desired outcomes depending on individual circumstances. Contact a dental specialist to understand these aspects and make an educated choice about gingival esthetics operations.
What is Gingival Esthetics?
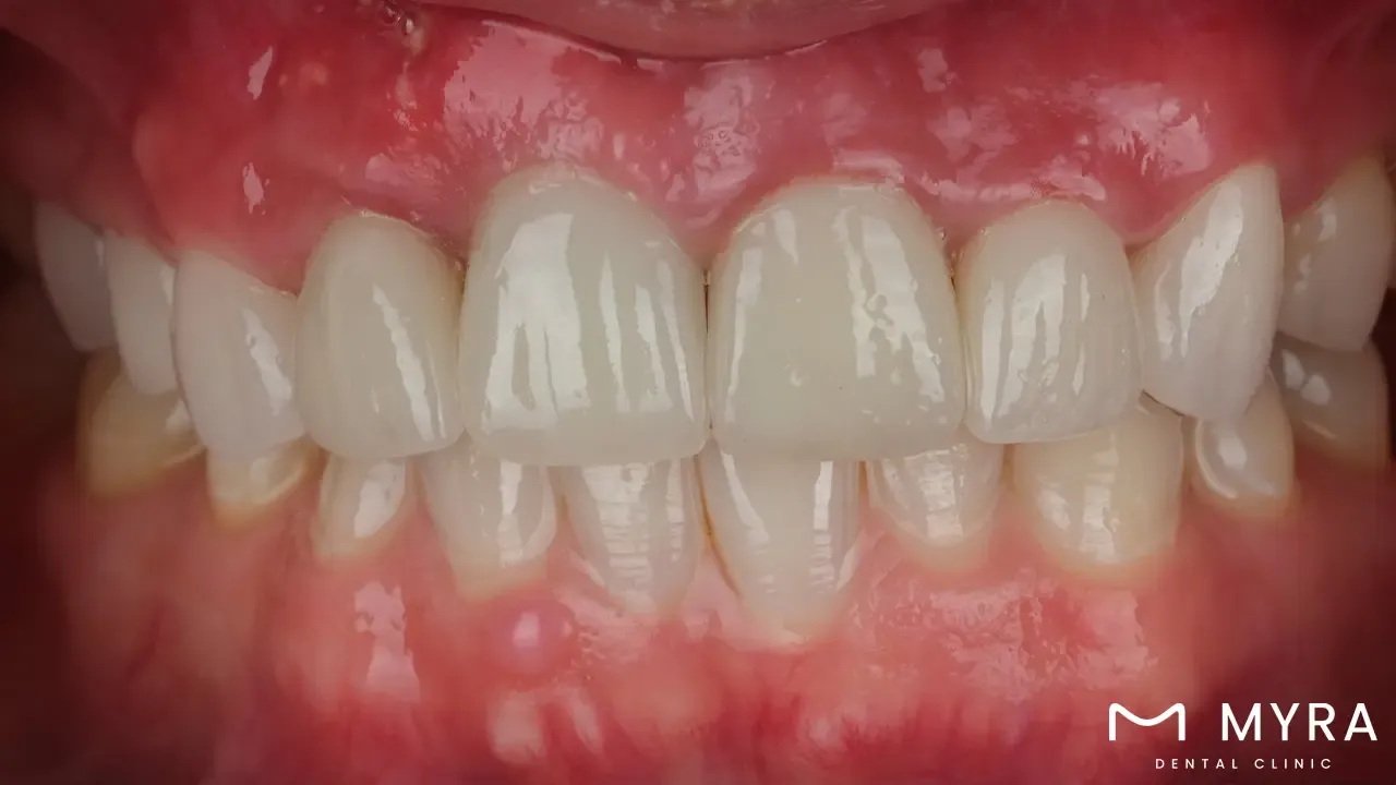
Gingival esthetics, known as gum esthetics, is the look and visual attractiveness of the gums. Gingival esthetics entails assessing and improving the gums' form, size, colour, texture, and contour to produce an aesthetically attractive smile. The goal of gingival esthetics is to enhance the gums' general balance and harmony concerning the teeth, which enhances dental esthetics as a whole. Gum contouring, gum grafting, and gum depigmentation create excellent gum esthetics. The goal is to produce healthy and natural gums, complement the teeth, and improve the smile's aesthetic value.
What are the different procedure under Gingival Esthetics?
Listed below are the different procedures under Gingival Esthetics.
Gum contouring: Gum contouring, often called gum reshaping or recontouring, is a dental operation that enhances the gum line. It removes or reshapes extra gum tissue using a scalpel or laser to achieve a more balanced and proportional gum form. It improves gummy smiles, irregular gum lines, and gum overgrowth. Gum contouring enhances smile attractiveness and dental health by promoting adequate oral hygiene.
Gum Grafting: Gum grafting is a surgical technique used in periodontal surgery to alleviate gum recession by transplanting gum tissue from one mouth region to another. It covers exposed tooth roots, restores gum volume, improves gum health, and enhances smile attractiveness. Some gum grafting procedures include connective tissue grafts, free gingival grafts, and pedicle grafts. Gum grafting reduces tooth sensitivity, treats and prevents gum recession, improves the smile, and promotes long-term periodontal health. It covers exposed tooth roots, balances the gum line, and preserves gums and bone, preventing periodontal disease.
Gum depigmentation: Gum depigmentation, often called gum bleaching or gum lightening, is a cosmetic dental operation that lightens dark gums. Laser treatment, surgical scraping, and chemical agents selectively brighten or eliminate pigmented areas. Gum depigmentation improves the smile's look and boosts confidence by making gums healthier and more consistent. It improves relationships, social interactions, and well-being.
1. Gum contouring
Gum contouring, often called gum reshaping or gum recontouring, is a dentistry treatment that aims to make the gum line look better. Gum contouring includes eliminating or contouring additional gum tissue to create a more equal and balanced gum shape. The gum tissue is typically removed using a scalpel or laser, allowing precise and controlled removal.
Gum contouring performs numerous functions in improving the appearance of a smile. Excessive gum display, or known as a “gummy smile,” is one of the most common issues that it addresses Gummy smiles reveal many gums, which detracts from the teeth's look. A more proportional and attractive smile is produced by gum contouring, which reduces the amount of exposed gum tissue and makes more of the tooth structure visible.
Uneven gum lines are another issue that gum contouring corrects. Some teeth look shorter or longer than others because of the gums' shape. Gum contouring makes the gum line more symmetrical, which improves the smile's overall harmony and balance. The dentist establishes a more consistent gum line that matches the shape and size of the teeth by restructuring the gum tissue, creating a more aesthetically attractive smile.
Gum contouring is an efficient way to treat gingival hyperplasia, commonly known as gum overgrowth. The gums overgrow due to certain drugs or medical disorders, giving them a thick and uneven look. Gum contouring eliminates extra gum tissue to show a healthier, more organic gum shape. It restores a balanced gum-to-tooth ratio and enhances the smile's overall look.
Gum contouring has advantages for dental health in addition to aesthetic ones. Excessive gum tissue makes it difficult to adequately clean the teeth because it creates regions where plaque and germs build. Gum contouring reshapes the gum line to make it easier to perform oral hygiene treatments, promoting improved oral health and lowering the risk of gum disease.
The answer to the frequently asked question "What is Gum Contouring?" is it is a cosmetic dentistry surgery that improves the gum line for a confident smile. The surgery makes the teeth look better by removing or contouring extra gum tissue. Gum contouring enhances the smile and increases dental hygiene. Talk to a dentist about gum contouring to improve the dental look and self-confidence.
2. Gum grafting
Gum grafting is a periodontal (gum) treatment surgical approach that includes extracting gum tissue from one mouth's part and repositioning it to another area with gum recession or thinning. The graft, generally from the palate or a tissue bank, is carefully fixed over the missing gum tissue. The approach restores gum volume, covers tooth roots, and improves gum health and aesthetics.
Gum grafting methods comprise connective tissue, free gingival, and pedicle. The most frequent transplant is a palate tissue graft. Free gingival grafts use a tiny quantity of palate tissue and attach it to the recipient location. Pedicle grafts fill the recession with neighbouring gum tissue that is blood-supplied.
Gum grafting is an essential dental surgery applied to transfer gum tissue to places with a recession. Its significance is in treating and preventing additional gum recession, lowering tooth sensitivity, enhancing smile aesthetics, and supporting long-term periodontal health. Gum grafting protects uncovered tooth roots from decay and sensitivity by covering them. It generates a more balanced gum line, which improves the look of the smile. Gum Grafting supports the integrity of the gums and bones, delaying the advancement of periodontal disease.
3. Gum depigmentation
Gum depigmentation, known as gum bleaching or gum lightening, is a cosmetic dentistry operation that tries to eliminate or minimise the dark pigmentation or discolouration of the gums. Excessing melanin often produces pigmentation responsible for skin and hair colour. Gum depigmentation assists in attaining a more uniform and aesthetically appealing gum appearance.
Gum depigmentation procedures include laser therapy, surgical scraping, and chemical agents. These procedures selectively remove or bleach the gums' pigmented portions, exposing a lighter hue of pink or coral. The precise procedure used is determined by the patient's preferences and the degree of pigmentation.
The significance of gum depigmentation lies in its capacity to improve the smile's appearance. Gums that are dark or discoloured make some people feel self-conscious or unsatisfied. Gum depigmentation aids in achieving a more appealing and aesthetically pleasing smile by whitening the pigmented regions.
Gum depigmentation helps people feel more confident and self-aware. Individuals feel more comfortable and eager to show their grins freely if their gums are healthier and more consistent. Individual and social relationships and general well-being benefit from the procedure.
Remember that gum depigmentation is a cosmetic technique and not a necessary medical treatment. It must be carried out by a licenced dentist with knowledge of the relevant methods and skills in gum esthetics. A comprehensive examination and consultation with a dentist or periodontist are necessary before gum depigmentation to assess the procedure's appropriateness for the individual's situation.
What is the usual gingival esthetic procedure that people get for Gummy Smile?
The usual gingival esthetic procedure to address a gummy smile is gingivectomy or crown lengthening. A gingivectomy includes the surgical removal of additional gum tissue to expose more of the tooth's surface and produce a more even and aesthetically attractive smile. Additional gum tissue is meticulously sculpted to provide the desired effect during the treatment, usually performed under local anaesthesia.
Lip repositioning is another method often used to treat a Gummy Smile. The surgical procedure modifies the position of the upper lip to limit its elevation when beaming, thereby reducing the quantity of exposed gingival tissue. Lip repositioning is typically indicated when an overactive upper lip muscle causes the extra gum to show.
Gingivectomy, lip realignment, and orthodontic therapy are required to provide the best outcomes in certain circumstances. Orthodontic treatment, such as braces or aligners, corrects any underlying dental issues and enhances the alignment of the teeth and tissues.
What is the usual gingival esthetic procedure that people get for Dental Veneers?
The usual gingival esthetic procedure that people get for Dental Veneers is gingival contouring or gum reshaping. An uneven gum line or excessive gum display impacts how the veneers look; therefore, gingival contouring is done to remedy these issues. The technique aims to achieve harmony between the gum tissue surrounding the teeth and the veneers, resulting in a natural and beautiful smile.
A dental specialist, commonly a periodontist or a cosmetic dentist, carefully assesses the patient's gum line and calculates the best location for the gum tissue about the teeth and veneers during the gingival contouring treatment. A more proportional and balanced gum line is achieved by carefully reshaping or removing any regions of excessive gum tissue.
A local anaesthetic is used to guarantee patient comfort during the procedure. The dental expert shapes the gum tissue with precise equipment, cutting off the necessary amount of extra tissue as they go. The objective is to provide a uniform, symmetrical gum line, nicely framing the dental veneers.
Gingival contouring involves periodontal tissue addition. The procedure is referred to as gingival or gum grafting. It is done when more gum tissue is required to attain the desired aesthetic result because the gum line has receded or is uneven. Gum grafting involves the removal of a tiny piece of gum tissue from the patient's mouth or a tissue bank. The afflicted region is gently covered with the graft and fixed to improve the look of the gum line.
Patients are often instructed to maintain consistent dental checkups and good oral hygiene habits after the gingival reshaping operation. It promotes the gums' general health and the dental veneers long-term success and aesthetic endurance.
What is the usual gingival esthetic procedure that people get for Dental Implant?
The usual procedure is called gingival grafting or gum grafting when it comes to gingival esthetic procedures related to dental implants. Gingival grafting is carried out to improve the gum tissue's appearance around the dental implant, resulting in a natural-looking and aesthetically acceptable outcome.
Gingival grafting is often indicated when inadequate gum tissue or the gum line surrounding the dental implant is uneven or receding. These issues result in an unbalanced or unsightly appearance and compromise the implant's long-term viability.
A dental expert, usually a periodontist or an oral surgeon, thoroughly assesses the patient's gum tissue throughout the gingival grafting operation and decides the best course of action. There are different ways to do gum grafting, but the most common way is to take a small piece of gum tissue from another part of the patient's mouth, usually the tongue, and put it around the tooth implant.
The graft is expertly positioned and then sutured into place to cover exposed implant surfaces, fill in any gum recession, and produce a more natural gum line. It makes the dental implant seem more aesthetically acceptable and harmoniously in tune with the neighbouring teeth and gums.
Gum grafting procedures sometimes use donor tissue from tissue banks, obviating the necessity to take tissue from the patient's mouth. The strategy is useful when there is a shortage of donor tissue or when many implants need to enhance their gingivae aesthetically.
Patients are often instructed to follow particular post-operative care guidelines their dental practitioner gives after the gum grafting process. It includes using recommended mouthwashes or painkillers if required and good oral hygiene techniques, including gentle brushing and flossing.
Regular follow-up visits with the dentist are essential for monitoring the healing process and ensuring the long-term success and aesthetics of the dental implant and adjacent gingival tissue.
Is it painful to have a Gingival Esthetics procedure?
No, the gingival esthetics procedure is not inherently painful. Some pain or sensitivity is felt during and after the process, but it is manageable. A person's level of pain tolerance, the particular treatment being done, and the use of anaesthesia or sedation are just a few of the variables that affect how much pain they feel.
Local anaesthesia is often used to numb the treated region during gingival esthetics procedures. It aids in reducing or eliminating discomfort during the actual operation. However, a short period of pain from the injection during anaesthesia delivery is possible.
Feeling discomfort, tightness, or sensitivity in the treated region is normal after the operation. The soreness is often mild to severe and is treatable with over-the-counter pain relievers prescribed by the dentist. Follow the dentist's post-surgery care directions to help the healing process and reduce any pain.
The degree of discomfort felt after a gingival esthetic surgery varies based on the precise treatment. For instance, more intrusive operations, such as gum grafting, need a lengthier and perhaps more uncomfortable recovery time than less invasive procedures, like gingivectomy.
Concerns or queries regarding pain management must be discussed with the dentist. They give information and suggestions unique to their patient and their case to ensure they are comfortable during the gum esthetics treatment.
When does a Gingival Esthetics procedure is recommended?
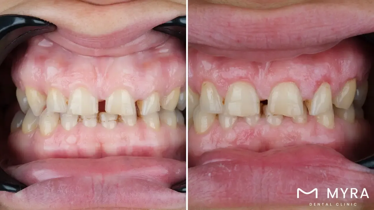
The gingival esthetics procedure is recommended in several cases to improve the look and health of the gum tissue. Common instances in which gingival esthetic is recommended include excessive gum display or a gummy smile, an uneven gum line, gum recession, crown lengthening, and implant placement.
Gummy smiles, or excessive gum display, happen when a lot of gum tissue is seen while smiling. A gingival esthetic operation is carried out to remove or restructure the extra gum tissue, resulting in a more even and harmonious smile and exposing more of the teeth.
A smile's symmetry and appearance are affected by an irregular gum line. It is solved with gingival esthetics operations that reshape the gum tissue to improve the look of the teeth by establishing a more equal and balanced gum line.
Gum recession occurs when the gum tissue deteriorates, exposing the tooth roots. It results in sensitivity, cosmetic challenges, and even oral health problems. Gum grafting is one gingival esthetic surgery that covers exposed tooth roots and restores a healthy gum line, enhancing the damaged area's look and function.
Crown lengthening is done when the tooth structure is inadequate to sustain restorations like dental crowns or veneers. The technique entails removing gum tissue and, in certain situations, a little piece of bone to expose more of the tooth structure and provide enough room for restorations.
Gingival esthetics procedures are recommended before dental implant insertion to guarantee appropriate gum tissue support and achieve ideal aesthetics. Gum grafting is a standard procedure to thicken the gum tissue around the implant site, improving the tooth's overall look and assuring the dental implant's long-term success.
Each of these situations is examined by a skilled dental practitioner, such as a periodontist or a cosmetic dentist, who then advises the most suitable gingival esthetics surgery to satisfy the patient's aesthetic objectives. A dental expert must be consulted for an accurate diagnosis and personalised treatment plan based on the individual's specific requirements.
What are the advantages of Gingival Esthetics?
Listed below are the advantages of Gingival Esthetics.
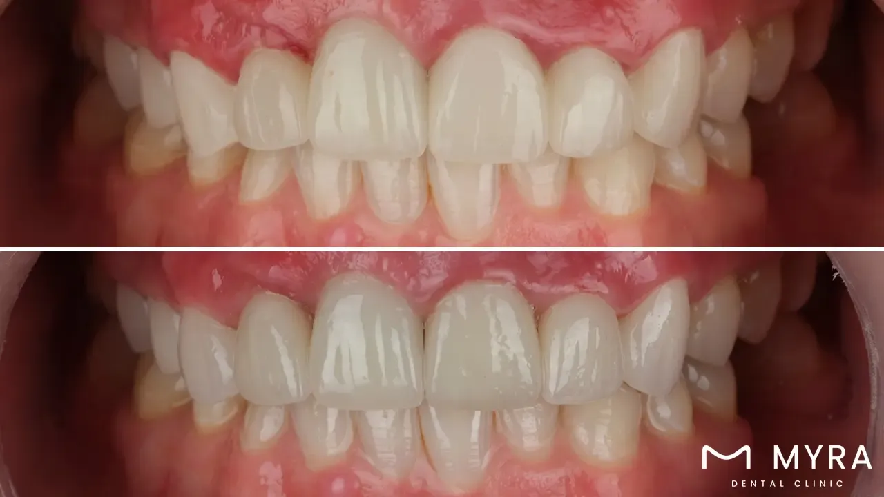
Enhanced Smile Aesthetics: Gingival esthetics procedures significantly enhance the aesthetics of one’s smile. These treatments seek to establish a balanced and harmonious gum line, which in turn improves the appearance of the smile, whether they are treating a gummy grin, an uneven gum line, or gum recession. Have a more appealing smile by optimising the gum-to-tooth ratio.
Improved Self-Confidence: Feeling self-conscious about the look of the gums or smile impacts self-confidence. Gingival esthetics give a beautiful smile that helps regain confidence. Any gum-related issues are resolved, allowing one to engage in social and professional contexts confidently.
Comprehensive Smile Makeover: Gingival esthetics procedures are often included in a total smile makeover. A comprehensive smile change is achievable by combining tooth whitening, orthodontics, dental veneers, and gingival sculpting. Its all-encompassing technique guarantees that the teeth, gums, and general smile aesthetics are harmoniously enhanced for a magnificent outcome.
Gum Health and Stability: Gingival esthetics operations make the gums seem better and help maintain gum health and stability. Grafting is used to preserve exposed dental roots, prevent additional gum recession, and lessen the risk of tooth sensitivity or cavities. The long-term stability and health of the teeth are supported by keeping healthy gum tissue.
Customised and Personalised Approach: A customised and individualised approach is used for gingival esthetics operations. A qualified dental professional evaluates the unique periodontal anatomy and considers the desired outcome to develop a customised treatment plan. Its individualised approach ensures that the procedures are performed precisely, considering the facial features, dental proportions, and smile design.
1. Enhanced Smile Aesthetics
Enhanced smile aesthetics is a crucial advantage of gingival esthetics. It refers to improving the aesthetic appeal and beauty of the smile by enhancing the gum tissue. Gum contouring, gum grafting, and crown lengthening are just a few examples of gingival esthetics operations that improve the look of the gum line.
Enhancing smile aesthetics via gingival esthetics is important for various reasons, including boosting self-confidence, improved facial harmony, enhanced personal and professional relationships, psychological and emotional well-being, and long-lasting satisfaction.
An attractive smile significantly increases one's self-confidence. People feel more at ease expressing themselves, talking with others, and participating in social and professional contexts when they have confidence in how their smiles look. People feel more confident and better perceive themselves by enhancing their smiles' aesthetics via gingival esthetics.
A balanced smile where the gums and teeth contrast improves face harmony. The overall aesthetics of the face are improved when the gum line is in proportion to the teeth and has the appropriate shape. The lips, gums, and teeth harmonise harmoniously, giving the face a more attractive and balanced look.
A smile is the first thing people notice during social encounters. Positive personal and professional connections result from an improved smile that radiates beauty and confidence. It helps people create a positive influence, leave a lasting impression, and improve communication. People content with their smiles are more inclined to interact with others and form enduring relationships.
A person's psychological and emotional well-being is greatly impacted by how they smile. Studies have shown that individuals with more aesthetically pleasing smiles often have better levels of pleasure, contentment, and general well-being. The uplifting feelings brought on by an improved grin have a domino effect, enhancing mental health and general quality of life.
Spending money on gingival esthetics operations to improve smile aesthetics brings long-lasting happiness. The aesthetic attraction of a well-designed smile enhanced by appropriate gum contouring, gum grafting, or crown lengthening last for years. Its sustained enjoyment increases people's self-assurance in their grins and adds to their general well-being.
2. Improved Self-Confidence
Improved self-confidence is a significant advantage of gingival esthetics. It has a significant effect on someone's confidence and self-esteem when they are self-conscious about the way their gums or smile look. Any anomalies or problems make someone afraid to smile widely or feel self-conscious about their look since the health of the gums is vital to the smile's aesthetics.
Procedures for improving the gum line's balance and harmony, such as gum grafting or contouring, address gum-related issues. These operations significantly increase the look of the smile by enhancing the gums' aesthetics, allowing people to express themselves freely and without embarrassment.
The quality of life as a whole and social and professional relationships improved by having a visually pleasant smile. People are more inclined to interact socially, express themselves freely, and present a favourable self-image when they are more self-assured about their smiles. An individual's ability to express their personality, socialise more easily, and leave a good impression in various personal and professional circumstances is improved with increased self-confidence.
The self-assurance of one's well-being is important. A confident smile positively affects mental and emotional health, fostering a positive self-image and increasing overall self-esteem. It leads to a greater sense of self-worth, enhanced interpersonal relationships, and an upbeat outlook.
A person's self-confidence and well-being are significantly impacted by gingival aesthetics, which improves the gums' outward look. The ability to smile boldly without being self-conscious about the look of one's gums improves one's self-perception and favourably affects other parts of life. The advantages of a stunning and self-assured smile help people restore their confidence by seeing a dental expert who specialises in gingival esthetics.
3. Comprehensive Smile Makeover
A comprehensive smile makeover refers to a coordinated combination of various dental procedures intended to achieve a total metamorphosis of the smile's appearance. It entails resolving various cosmetic issues and improving the smile's numerous components, such as the teeth, gums, and overall face harmony. Gingival esthetics is a critical component of a full smile makeover that improves outcomes. Gingival esthetics operations help create a harmonious and balanced smile by addressing the aesthetics of the gum tissue, such as gum line symmetry, shape, and balance.
The importance of a comprehensive smile makeover lies in its capacity to provide a harmonious and transforming outcome. It considers the overall face characteristics, tooth proportions, gum esthetics, and dental issues. Gingival esthetics ensures that the gums gracefully frame the teeth, resulting in a natural-looking and aesthetically attractive smile when used to smile makeovers. Gingival esthetics helps to establish a balanced and proportionate gum-to-tooth ratio, improving the aesthetics of the smile by restructuring the gum tissue or treating problems such as a gummy grin or uneven gum line.
Gingival esthetics aid in other cosmetic dental procedures' stability and long-term effectiveness. For instance, maintaining optimal gum tissue support via gingival contouring or gum grafting helps build the best foundation possible for these restorations, whether dental veneers or crowns are a component of the smile makeover. The outcome is a unified, seamless grin representing aesthetic appeal and practicality.
The most desired and natural-looking outcomes are obtained by recognising the significance of gingival esthetics in a whole smile makeover. A comprehensive examination of the smile and individualised treatment plans are allowed with the help of a dental expert with expertise in smile makeovers and gingival esthetics. It guarantees that the finished product satisfies cosmetic criteria and maintains the best possible gum health, promoting the durability and general pleasure of the total smile makeover.
4. Gum Health and Stability
"Gum Health and Stability" is one of the benefits of gingival esthetics. It means the gum tissue around the teeth stays healthy, stable, and in good shape. The teeth' lifetime and general oral health are enhanced by the gums' ability to support the teeth on a solid foundation when they are healthy and stable.
Gingival esthetics procedures, like gum grafts and gum shaping, are significant for gum health and security. For example, gum grafts fix gum recession when the gum tissue disappears and reveals the tooth roots. Gum recession makes teeth sensitive, make them more likely to get cavities, and make them look bad. Gum grafting restores the gum tissue around the exposed tooth roots, shielding them from damage and lowering sensitivity. It helps keep the teeth stable and in good health.
Gum health is essential for avoiding periodontal conditions like gingivitis and periodontitis. These diseases cause gum inflammation, recession, bone loss, and tooth movement if left untreated. Gingival esthetics operations help to ensure healthy gum tissue, which lowers the chance of acquiring certain disorders. Infection-causing germs are prevented from reaching the gum line by healthy gums, which help to maintain a tight seal around the teeth.
Stable gum tissue helps tooth treatments like dental implants, crowns, and veneers stay in place and work well. These restorations must have enough gum support surrounding them to last over time. Gingival esthetics treatments are often suggested before dental implants to ensure enough gum tissue support and to make the result look good.
5. Customized and Personalized Approach
One of the significant advantages of gingival esthetics is the customised and personalised approach it offers. Gingival esthetic procedures are tailored to suit the specific requirements and objectives of each patient.
A dental professional specialising in gingival esthetics evaluates the patient's specific periodontal anatomy, facial features, tooth proportions, and smile design. They use gum alignment, gum-to-tooth ratio, and gum shaping to make a personalised treatment plan.
Its personalised approach guarantees that the gingival esthetic operations are carried out accurately and in a manner that maintains ideal gum health while improving the look of the smile. The dental practitioner assesses the patient's intended outcome and collaborates with them to get the ideal aesthetic result.
Customised gingival esthetics is essential. Various circumstances strongly influence the aesthetics of a patient's teeth and gums. The dental expert addresses particular problems and modifies the therapy to meet the client's requirements by adopting a personalised approach.
What is the disadvantages of Gingival Esthetics?
Listed below are the disadvantages of Gingival Esthetics.
Cost: Gingival esthetic treatments are costly, based on the individual operation, the difficulty of the case, and the location. The procedure is not always covered by insurance, so it's crucial to consider the costs and talk to the dentist about how to pay for them.
Potential Discomfort: Local anaesthesia is used during gingival esthetic treatments to reduce pain, but discomfort or sensitivity occurs during and after the treatment. The degree of discomfort varies from person to person and is influenced by things like pain threshold and the precise operation done.
Healing Time: Gingival procedures require the gum tissue to recover and stabilise. The length of recovery depends on the degree of the surgery and individual healing variables. Following the post-operative care recommendations offered by the dental expert throughout the healing phase is critical to optimise healing and minimise any issues.
Potential Risks and Complications: Gingival esthetic operations, like any surgical procedure, have the potential for risks and consequences. It includes infection, bleeding, swelling, gum loss, sensitivity, and bad responses to medicines or anaesthesia. Addressing these concerns with the dentist before treatment is essential, even if they're infrequent.
Limitations on Achieving Desired Results: Gingival esthetic treatments have certain limits on what is done to get the wanted results. The final result depends on things like the gum and bone structure, how each person heals, and the limits of their anatomy. It's essential to have reasonable expectations and have in-depth conversations with the dental expert to comprehend any possible limits of the treatments in reaching the desired outcomes.
1. Cost
The cost of gingival esthetics is considered a disadvantage. Gingival esthetic operations are costly, with prices varying according to criteria such as the procedure, the case's intricacy, and the geographic location.
These operations are often deemed elective or cosmetic, meaning dental insurance programmes do not cover them. Individuals desiring gingival esthetic treatments must shoulder the financial burden on their own.
Gingival esthetics is too expensive for certain people, restricting their access to these treatments. Carefully assess the financial consequences and discuss cost estimates, payment choices, and financing programmes with the dental expert.
Measuring the cost against the potential benefits and the impact the procedures have on oral health, the aesthetics of the smile, and self-confidence is essential. Discussing the cost with the dental expert and investigating alternative cost-cutting measures help to make an educated choice about pursuing gingival esthetics treatments.
2. Potential Discomfort
Potential discomfort is one of the disadvantages of gingival esthetics treatments. Local anaesthesia reduces pain during these treatments, although some discomfort or sensitivity remains.
Individuals' levels of discomfort vary depending on variables such as pain tolerance, the precise treatment done, and individual recovery response. Pressure, tugging, or momentary pain is linked with manipulating gum tissue during the treatment.
Mild to moderate discomfort, tightness, or sensitivity in the treated region after the operation is typical while the gum tissue recovers. The discomfort is only transitory and controlled with over-the-counter pain relievers prescribed by a dentist.
Gingival esthetics procedures are typically well-tolerated, and any pain experienced is usually minimal and fades with time. Some people feel more significant pain than others; thus, sharing any concerns or pain experiences with the dental expert is essential.
The possible pain is offset by the advantages of enhanced gum esthetics and general dental health. The discomfort is generally brief and manageable with adequate pain management strategies. Dentists try to make sure their patients are comfortable during the treatment and help them recover to ensure an excellent experience.
3. Healing Time
Healing time is a disadvantage of gingival esthetic treatments. The gum tissue must repair and stabilise for a certain amount of time after these treatments before it recovers. The duration of healing time varies based on the method, the quantity of therapy, and individual healing variables.
Some soreness, oedema, and sensitivity in the treated region are typical throughout the healing process. It immediately impacts everyday activities such as eating, speaking, and dental hygiene. Some food restrictions and oral care guidelines must be observed during the period to encourage appropriate recovery.
Healing takes anywhere from a few days to several weeks, depending on the complexity of the procedure and the individual's response to treatment. Allowing enough time for the gum tissue to repair and renew is critical, as speeding the procedure or failing to follow post-operative care guidelines raises the risk of problems.
The disadvantage of the healing time is the temporary limits and discomfort it causes. Patients must be patient and willing to follow the prescribed healing routines to get the best results. Changing daily habits, taking time off from work or social events, and being attentive to the healing process.
Healing time is essential to the entire therapeutic process. It enables the gum tissue to heal, stabilise, and attain the desired outcomes. Long-term advantages of enhanced gum aesthetics and oral health are realised by following the dental practitioner's post-operative recommendations and giving adequate healing time.
4. Potential Risks and Complications
Gingival esthetic treatments have the disadvantage of possible risks and complications. It is essential to be aware of the potential adverse outcomes during or after the procedures; although these are generally uncommon,
Gingival esthetic treatments, such as gum grafting or gum contouring, entail surgical manipulation of the gum tissue. There are dangers inherent in every surgical treatment. Infection, bleeding, swelling, discomfort, gum recession, sensitivity, and bad responses to drugs or anaesthesia are all possible dangers.
Infections occur if post-operative care and oral hygiene practises are not adhered too diligently. Bleeding and oedema are frequent transitory side effects that must be monitored and controlled according to the dental professional's instructions. Gum recession, albeit uncommon, occurs if the gum tissue does not repair or attach adequately to the treated region. It causes an unsightly look or increases tooth sensitivity.
Know that the dentist takes the necessary steps to reduce these risks, such as ordering medicines, giving clear instructions for caring for oneself after the surgery and keeping a close eye on the healing process. Potential issues are discovered and handled quickly by following their advice and attending frequent follow-up sessions.
The risks and complications associated with the procedures must be weighed against their prospective benefits. The risks associated with gingival esthetic operations are reduced with a thorough assessment, planning, and a qualified dental expert, allowing for favourable results and enhanced gum esthetics. Maintain open contact with the dental expert and follow their advice to reduce the likelihood of suffering any unpleasant outcomes.
5. Limitations on Achieving Desired Results
Limitations in achieving desired results are one of the disadvantages of gingival esthetics. It refers to certain limits or limitations accomplished with gingival esthetic operations.
Several variables impact the success of gingival esthetic operations, including existing gum and bone structure, individual healing response, and anatomical restrictions. These considerations influence the amount to which the intended outcomes are obtained.
Gingival esthetic procedures, for example, improve a patient's position but not entirely restore the gums to an optimal state if the patient has extensive gum recession or a significant imbalance in the gum-to-tooth ratio. The restrictions develop as a result of the patient's condition or as a result of the techniques' inherent limitations.
Have realistic goals and talk openly with the dentist about the limits of gingival esthetic. Understanding the possible restrictions help manage expectations and minimise disappointment if the intended goal is not entirely realised.
Gingival esthetic operations significantly improve the gum tissue's look and health despite these disadvantages. Consult a qualified dental professional who evaluates the situation, discusses potential limitations, and objectively assesses what is accomplished through gingival esthetics. Make educated choices and collaborate with the dental expert to reach the best possible result for the specific scenario if the patient is completely aware of the constraints.
How much does a Gingival Esthetics cost?
The cost of Gingival Esthetics, which involves improving the appearance of the gums, depends on several factors. These include the specific treatment procedure needed, where in the mouth the operation takes place, the number of teeth involved, and the experience level of the periodontist or cosmetic dentist performing the surgery.
Gingival esthetic costs anywhere from £459.04 to £1,530.15 or more. These estimates vary depending on individual instances and geographic areas.
A periodontist typically gives a low-cost or even free consultation before performing a gingival esthetic surgery. A particular treatment plan and related expenses are addressed during the session, giving a more accurate estimate based on personal requirements.
Gingival esthetics has different procedures, such as gum contouring, which are cosmetic procedures usually not covered by dental insurance. The cost of gum contouring varies based on variables such as the quantity of gum tissue involved and if a professional performs the surgery. A single front top tooth costs from £38.26 to £267.77 or up to £2,295.22 for many front top teeth. Insurance provides some reimbursement if gum contouring is advised for reasons related to dental health.
Does Gingival Esthetics improve gum health?
No, gingival esthetics does not promote gum health directly. Gingival esthetics focuses on cosmetically improving the look of the gums rather than treating the underlying health of the gum tissue. Improving gum health is primarily accomplished by basic oral hygiene practices such as frequent brushing and flossing, professional dental cleanings, and treating gum disorders such as gingivitis and periodontitis.
Gum contouring and reshaping techniques, for example, enhance the gums' symmetry, form, or proportions, but they have no natural effect on the gum’s health. These operations are often done to improve the smile's appearance rather than treat or prevent gum disease.
Maintaining excellent gum health is critical for dental health. Untreated gum disorders cause gum recession, tooth loss, and systemic health problems. Prioritise practises that support gum health, such as frequent dental exams, expert cleanings, and good oral hygiene routines.
Improving gingival esthetics indirectly contribute to an individual's oral health by bolstering confidence and motivation to maintain good oral hygiene, but it is neither a direct treatment nor a preventative measure for gum diseases. Priority must be placed on adhering to established guidelines for maintaining periodontal health rather than relying solely on cosmetic procedures.
Gingival Esthetics: Definition, Different Procedures, Advantages, and Disadvantages