20 Principle of Smile Design: Treatment Evaluation for a Beautiful Smile
HomeMyra Blog20 Principle of Smile Design: Treatment Evaluation for a Beautiful Smile
Dt. Erdem Çetin
Born in Stuttgart, Germany in 1979, Dr. Dt. Erdem Çetin began his education in Kırşehir and completed his schooling there, from primary school through to high school. He then successfully completed his university education at the Faculty of Dentistry at 19 Mayıs University in Samsun.
The process of "smile design" in the field of cosmetic dentistry entails making changes to the way a smile looks. Dentists assess and enhance a patient's smile using a set of rules known as the 20 principles of smile design. The position of the teeth, tooth shade, and shape, as well as face symmetry, are only a few examples of the numerous considerations that principles take into account.
Listed below are 20Principles of Smile Design.
Facial Analysis: It is assessing and interpreting a patient's facial features, such as their teeth, lips, and surrounding tissues, to create a custom treatment plan that meets both their functional and cosmetic concerns.
Central Incisor Width/Height Ratio: The breadth of the two central incisor teeth length is divided to determine it. The central incisors' width/height ratio is ideally about 80%, meaning the teeth' breadth is roughly 80% of their length.
Mesial inclination: It describes the angle between the tooth's vertical axis and the direction in which the tooth's crown is inclined.
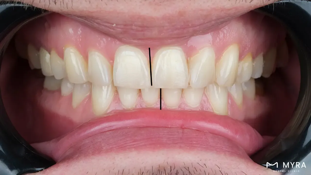
Dental midline placement: It is the position of the hypothetical line that passes through the middle of the upper and lower front teeth vertically.
Colour, Shading, Stains, and Markings of Teeth: Teeth differ in colour depending on where in the mouth they are located, with the front teeth often being lighter than the back teeth.
Amount of Teeth Showing at Rest: The size and form of the lips, the position of the jaws, and the quantity of visible gum tissue have an impact on how many teeth are visible when the mouth is at rest.
Gum Line Symmetry and Balance: The gum line looks uniform and in harmony with the rest of the face when it is symmetrical and balanced, which contributes to a grin that is appealing and aesthetically pleasant.
Gingival Margins: It is when the gum's border meets the tooth. They help keep bacteria and other hazardous elements from penetrating the bone and tissues beneath the teeth by creating a protective shield around them.
Gaps or Diastema: It is the gap between the two upper front teeth.
Gummy Smile: It is an excessive amount of gum tissue displayed when smiling.
Gingival Zenith: It contributes to the creation of a beautiful and realistic-looking smile, making it a crucial factor in cosmetic dentistry.
Nasolabial folds or Smile Line: The lines or creases that extend from the sides of the nose to the corners of the mouth.
Gum Disease and Bad Breath: Gums that are red or swollen (gingivitis), and bleeding are typical signs of poor breath.
Malocclusion or Crowded teeth: It refers to the misalignment of the teeth and/or jaws, which results in functional and aesthetic problems with biting, chewing, and speech.
Incisal Embrasure: It is a triangle-shaped area in the front of the mouth between the contact points of two neighbouring teeth.
Dental Golden Proportion: It is being used by dental practitioners to design a smile that is balanced with the patient's facial features and produces a natural-looking outcome.
Open Gingival Embrasures: They are the triangular voids between neighbouring teeth's interproximal contact points, which are seen in the cervical region of the teeth.
Vertical dimension of occlusion: It is the distance between two sites when the jaws are closed and the teeth are in contact and essential for maintaining healthy oral function, which includes speaking, chewing, and swallowing.
Dental amalgam fillings: They are the type of dental filling material that has been in use for more than 150 years.
Buccal corridor: It is the dark area between the upper back teeth and the corners of the mouth when someone grins.
1. Facial Analysis
Facial analysis is assessing and interpreting a patient's facial features, such as their teeth, lips, and surrounding tissues, to create a custom treatment plan that meets both their functional and cosmetic concerns. Dentists evaluate a patient's smile using facial analysis, which takes into account the patient's occlusion (the way their teeth fit together), facial symmetry, and tooth size, shape, and colour.
Measurements, photos, and other diagnostic tools are used during facial analysis to develop a thorough treatment strategy that takes into account the patient's needs and objectives. For instance, a dentist employs facial analysis to decide the best course of action for treating a patient's "gummy smile" (excessive display of gum tissue when smiling), such as orthodontic treatment, gum contouring, or a combination of the two.
2. Central Incisor Width/Height Ratio
A dental measurement that is used to evaluate a person's smile is the central incisor width/height ratio. The breadth of the two central incisor teeth length is divided to determine it. The central incisors' width/height ratio is ideally about 80%, meaning the teeth' breadth is roughly 80% of their length. The ratio is frequently used as a reference for cosmetic dentistry operations including veneers, crowns, and orthodontics since it is visually pleasant. The golden ratio, commonly known as the width/height ratio of the maxillary central incisors, is 1.618:1. The appropriate ratio changes depending on a person's facial anatomy and personal preferences, so it is crucial to remember.
3. Mesial inclination
The mesial inclination is the angulation or tilting of a tooth toward the front of the mouth or toward the teeth next to it in the dental arch. It describes the angle between the tooth's vertical axis and the direction in which the tooth's crown is inclined.
Teeth are typically designed to be upright or vertical, with crowns pointing in the direction of the lips or cheeks and roots buried in the jawbone. There are several circumstances where teeth become mesially inclined due to some reasons such as crowding, unusual eruption patterns, or dental trauma. Numerous dental issues, such as crowding, malocclusion (misaligned bite), and trouble maintaining adequate oral hygiene, are brought on by mesial inclination.
4. Dental midline placement
Dental midline placement describes the position of the hypothetical line that passes through the middle of the upper and lower front teeth vertically. The line serves as a benchmark for assessing how well the jaws and teeth are aligned. The midline of the face is ideally in the centre, and the upper and lower front teeth are positioned such that their centres line up with one another. <
A crooked smile, an uneven facial look, and trouble biting and chewing all result from an off-centre dental midline, among other aesthetic and practical problems The treatment for optimal dental midline placement is by using orthodontic therapy, such as braces or invisible aligners, to realign the teeth's position. Dental midline placement is a crucial factor to take into account in cosmetic dentistry since good jaw and tooth alignment significantly improve the smile and the face's overall appearance.
5. Color, Shading, Stains, and Markings of Teeth
Procedures like teeth whitening, dental bonding, veneers, and crowns are used to improve the colour, shading, and overall appearance of teeth. The best materials and techniques for achieving the desired cosmetic result are chosen by dentists using digital shade-matching technology.
Teeth differ widely in hue, shade, staining, and marks from person to person and are affected by some variables, including genetics, ageing, food, and lifestyle choices. Teeth are normally white or off-white in colour, although sometimes they are yellow, gray, or brown. Additionally, teeth differ in colour depending on where in the mouth they are located, with the front teeth often being lighter than the back teeth.
6. Amount of Teeth Showing at Rest
Approximately 1-2 millimetres of tooth structure are visible when a person is at rest, giving off a natural-looking smile and enhancing the look of the face as a whole.
The size and form of the lips, the position of the jaws, and the quantity of visible gum tissue have an impact on how many teeth are visible when the mouth is at rest. Too much or too little tooth structure which is visible when the mouth is at rest impacts how the smile looks and needs to be fixed with veneers, orthodontics, or other cosmetic dental procedures.
7. Gum Line Symmetry and Balance
Gum line consistency and symmetry refer to how even and balanced the gum line is around the teeth. The gum line looks uniform and in harmony with the rest of the face when it is symmetrical and balanced, which contributes to a grin that is appealing and aesthetically pleasant.
Numerous variables, such as heredity, gum disease, excessive gum development, orthodontic therapy, or dental restorations, result in an asymmetrical gum line or a gum line that is uneven or imbalanced. Gum contouring, which includes altering the gum line to give a more symmetrical appearance, is one of many cosmetic dentistry operations that are being used to improve gum line symmetry and balance. Sometimes it is necessary to receive orthodontic treatment to realign the teeth and gums, which enhances the overall symmetry and balance of the gum line.
8. Gingival Margins
The gingival margin is when the gum's border meets the tooth. They help keep bacteria and other hazardous elements from penetrating the bone and tissues beneath the teeth by creating a protective shield around them. Periodontal disease, trauma, and poor oral hygiene are just a few of the things that harm the gingival edge.
It causes root exposure, tooth sensitivity, and a higher risk of cavities and other dental issues when the gingival margin recedes. Gingival margin difficulties are avoided or managed by practising proper oral hygiene, getting frequent exams, and swiftly taking care of any underlying dental conditions.
9. Gaps or Diastema
A gap or diastema is a space between two teeth, most frequently found in the front teeth. Although it happens between any two teeth in the mouth, the most typical gap is between the two upper front teeth. Diastema is brought on by several things, including heredity, tooth size, and behaviours like thumb- and tongue-sucking.
Gaps or diastemas occasionally result in dental issues like trouble biting and chewing, difficulty speaking, a higher risk of tooth decay, and gum disease. Many persons who have a diastema do not have any dental problems and opt to preserve the gap as a cosmetic feature. Orthodontic procedures, such as braces or clear aligners, tooth bonding or veneers, and occasionally surgery are available as treatments for diestema . The appropriate course of action depends on the nature and extent of the gap, the patient's preferences, and objectives.
10. Gummy Smile
A "gummy smile" is an excessive amount of gum tissue displayed when smiling. The grin appears less attractive as a result of the teeth being shorter. Gummy grins are caused by a variety of things, including genetics, overactive lip muscles, a high lip line, and other things.
Gum contouring surgery, which removes extra gum tissue, clear aligners, orthodontic treatment, and botox injections, which calm overactive lip muscles, are all alternatives for treating gummy smiles. The best course of action is determined depending on the underlying reason and the severity of the condition. A qualified dental practitioner is consulted in order to assess the problem and suggest the most appropriate course of action for a gummy smile.
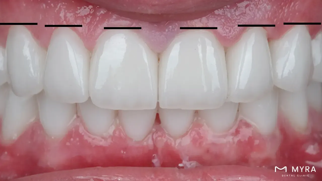
11. Gingival Zenith
The gingival zenith is the highest point of the gum line, where the gum tissue meets the tooth surface. An appropriate gingival zenith contributes to the creation of a beautiful and realistic-looking smile, making it a crucial factor in cosmetic dentistry. The bone structure and thickness have an impact on where the gingival zenith is located. To attain a more desirable gumline in cases where the gingival zenith is too high or too low, cosmetic dental procedures such as gum contouring or orthodontic treatment are suggested.
It is crucial to remember that the optimal gingival zenith is differ depending on the patient's preferences and facial features, and needs to be established after a careful inspection by a skilled dental practitioner.
12. Nasolabial folds or Smile Line
Nasolabial folds or smile lines are the lines or creases that extend from the sides of the nose to the corners of the mouth. They grow more noticeable as we age, as a result of frequent muscle activity from smiling and making facial expressions, as well as a loss of collagen and elastin in the skin.
Nasolabial folds are corrected with a variety of cosmetic procedures even though they are a normal aspect of ageing. It includes laser resurfacing, which smoothens the skin and increases collagen synthesis, as well as dermal fillers, which plump up the skin and minimize the appearance of folds. Other treatments for nasolabial folds include thread lifting or facelift surgery, which produces more notable and durable improvements. It is crucial to speak with a trained cosmetic professional in choosing the best course of action for the unique problems and objectives.
13. Gum Disease and Bad Breath
Periodontal disease, sometimes referred to as gum disease, is an infection caused by bacteria that damages the bone and gums that support the teeth. Bad breath, often known as halitosis, is one of the most typical signs of gum disease. It is due to the volatile sulfur compounds that are released by the bacteria that cause the infection and give off an unpleasant stench. It damages the bone and gums that support the teeth. Gums that are red or swollen (gingivitis), and bleeding are typical signs of poor breath.
Gum disease increases the risk of various health issues, such as heart disease and diabetes, and if left untreated, it results in more severe dental issues, such as tooth loss. Good oral hygiene practices, such as brushing and flossing twice a day, as well as routine dental checkups and cleanings, are crucial to preventing gum disease and bad breath. All methods of treating gum disease and foul breath are scaling and root planing to remove bacteria and plaque from the teeth and gums, antibiotic medication, and in more serious situations, surgery to repair or regenerate the damaged tissue. It helps when an individual is increasing nutrition and exercise, stopping smoking, and adopting proper dental hygiene, to minimize bad breath and improve gum health.
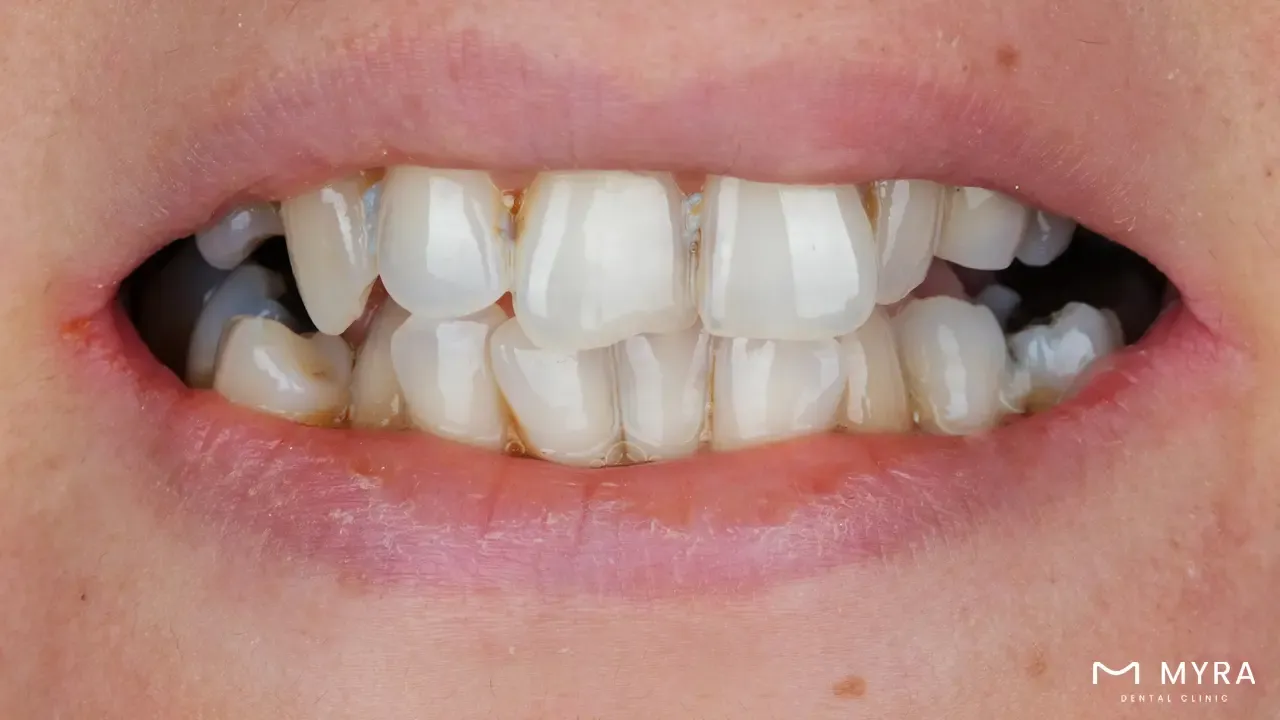
14. Malocclusion or Crowded teeth
The term "malocclusion" refers to the misalignment of the teeth and/or jaws, which results in functional and aesthetic problems with biting, chewing, and speech. Numerous variables, like heredity, thumbsucking, and mouth breathing, result in crowded teeth.
They raise the possibility of dental issues like tooth decay, gum disease, and jaw pain. Crowded teeth, a common form of malocclusion, happen when there is not enough room in the mouth for all of the teeth to properly align.
Orthodontic treatment, such as braces or clear aligners, is gradually repositioning the teeth into the proper position as a treatment option for crowded teeth. Oral surgery or extractions are required to make enough room for the teeth to align properly. It is important to seek treatment for malocclusion of the teeth, as they lead to more severe dental problems if left untreated. A qualified orthodontist or dentist evaluates the situation and recommends the best course of action based on the patient's specific needs and goals.
15. Incisal Embrasure
An incisal embrasure is a triangle-shaped area in the front of the mouth between the contact points of two neighbouring teeth. It usually lies close to the teeth's biting edges, or incisal edges. The position, size, and shape of the teeth affect the size and shape of the incisal embrasure.
The incisal embrasure permits correct food and liquid movement during chewing and swallowing. Too little embrasure results in food impaction, gum disease, and tooth decay. Too much embarrassment impair speech and appearance. Dental experts utilize a variety of procedures to change the incisal embrasure's size and shape to enhance oral health and appearance. For instance, tiny embrasures are filled with dental bonding or veneers, whereas extensive embrasures are fixed with orthodontic treatment.
16. Dental Golden Proportion
The ratio known as the dental golden ratio has been investigated and seen in the teeth of many persons who have naturally lovely smiles. It is a mathematical notion that the optimal proportion of the central incisors, which make up the two front teeth, in terms of both height and width in relation to the other teeth in the grin. The ideal width-to-height ratio of the central incisors is roughly 1.618:1, or the golden ratio, according to the golden proportion. The said ratio is to produce a balanced, aesthetically beautiful smile that is harmonious.
The golden proportion is a helpful rule of thumb for cosmetic dentists and orthodontists when creating treatment programs for their patients, even though it is not a necessity for a beautiful smile. The golden ratio is being used by dental practitioners to design a smile that is balanced with the patient's facial features and produces a natural-looking outcome. A specific and individualized approach to treatment that takes into account the individual's particular facial features and dental requirements is necessary to achieve the dental golden proportion.
17. Open Gingival Embrasures
The gingival embrasures are the triangular voids between neighbouring teeth's interproximal contact points, which are seen in the cervical region of the teeth. The spaces are often noticeable when someone grins. They are brought on by many things, such as heredity, dental alignment, and periodontal disease.
Open gingival embrasures are capable of an adverse effect on both oral health and the appearance of a smile. Too many gaps trap food between teeth, fostering the growth of dangerous bacteria and raising the possibility of gum disease. Open gingival embrasures increase the risk of tooth decay and sensitivity.
There are various treatment options for open gingival embrasure depending on what caused the issue. Orthodontic therapy is required to fill gaps and correctly align the teeth in some circumstances. Cosmetic treatments like dental bonding or porcelain veneers are performed to enhance the smile's appearance. Frequent brushing and flossing help to aid in preventing the emergence of open gingival embrasures brought on by periodontal disease.
18. Vertical dimension of occlusion
The vertical dimension of occlusion (VDO) is the distance between two sites when the jaws are closed and the teeth are in contact. The height of the face as a whole and the space between the nose and chin are both determined by the vertical dimension.
VDO is essential for maintaining the healthy oral function, which includes speaking, chewing, and swallowing. Having compromised VDO results in some dental and oral health issues. For instance, excessive tooth wear and tear, muscle exhaustion, and jaw joint pain all result from a high VDO. On the other hand, if the VDO is too low, it results in facial alterations, difficulties speaking and chewing, and temporomandibular joint dysfunction.
Dentists and prosthodontists take the VDO into careful consideration when designing dental restorations or procedures like dentures, dental crowns, or dental implants. They take into account things like the patient's facial anatomy, jaw position, and occlusal plane to choose the best VDO for each person. Regular dental exams aid in detecting any changes in VDO and enable quick management to stop additional issues.
19. Dental amalgam fillings
Dental amalgam fillings are the type of dental filling material that has been in use for more than 150 years. Silver, copper, tin, mercury, and other metals are used to make amalgam fillings. The amalgam's mercury fuses the other metals together to create a solid, long-lasting filling substance. Amalgam fillings are a common option for replacing back teeth that are susceptible to strong chewing forces because of their endurance and resistance to wear and tear. They are very reasonably priced in comparison to alternative filler materials like composite resin or ceramic.
The potential health dangers linked to mercury exposure from dental amalgam fillings have raised some concerns, though. A few people are more sensitive to mercury and experience symptoms including headaches, exhaustion, or neurological issues even though the quantity of mercury produced from amalgam fillings is normally regarded as safe. Many dental offices have switched to employing alternate filling materials, like composite resin or ceramic, in response to being worried. Amalgam fillings are still regarded as a secure and reliable alternative for restoring teeth, and they are still utilized in some circumstances where the advantages exceed the hazards. It's crucial to talk with your dentist about your options and consider the advantages and disadvantages of each material.
20. Buccal corridor
The buccal corridor is the dark area between the upper back teeth and the corners of the mouth when someone grins. It is shaped by the way the dental arches curve and how the teeth are positioned in relation to the lips and cheeks. The overall aesthetics of a person's smile is significantly influenced by how the buccal corridor looks. A thin buccal corridor is typically seen as more aesthetically pleasing since it provides the impression of a larger, more appealing grin. On the other hand, a wide buccal corridor gives the grin a smaller, less appealing appearance.
The size and position of the teeth, the shape, and placement of the lips and cheeks, as well as the general face structure, all have an impact on the size and form of the buccal corridor. Enhancing the overall aesthetics of the smile, using cosmetic dentistry procedures like braces, dental veneers, or dental bonding, if the size and appearance of the buccal corridor are altered.
Dental specialists take several things into account when assessing the appearance of a smile, such as the size and form of the teeth, how the teeth are positioned in relation to the lips and cheeks, and the size and shape of the buccal corridor. Dental experts assist patients to obtain a healthier smile by addressing the said factors.
What is a Smile Design?
A smile design is a cosmetic dentistry operation that uses a variety of methods and tools to improve a person's smile's attractiveness. A person's facial characteristics, tooth alignment, colour, form, and overall smiling looks are all taken into account while designing a smile. The aim of a smile design is a balanced, appealing, and harmonious grin that improves a person's overall facial features and boosts their self-esteem. The first step in the smile design process is typically a thorough examination of the patient's teeth and facial features, which is followed by the development of a unique treatment strategy that takes into account the individual’s unique needs and goals.
Many treatments have been done in creating a smile, including teeth bleaching, veneers, dental crowns, dental bonding, orthodontic therapy, or a combination, depending on the individual's demands and objectives. A mockup of the new smile is frequently created using digital smile design technology, enabling the patient to see the prospective outcome before any treatments. People who wish to enhance their smiles and feel more confident frequently turn to the smile design. Patients acquire a smile that is both attractive and practical by working with an expert cosmetic dentist, enhancing their quality of life.
What are the things to consider in smile design?
Listed below are things to consider in smile design.
Facial features: The optimum grin design is highly influenced by the patient's facial features, particularly their face, lips, and gums. The dentist considers the patient's general facial features and proportions when creating a smile that improves their appearance.
Tooth size and shape: The teeth's size and shape need to be proportionate to the rest of the face. For instance, larger teeth are more appropriate if the patient has a large face. The dentist considers the teeth's shape, including any anomalies and whether they are square or rounded.
Teeth colour: The patient's teeth need to complement their skin tone and blend in with the rest of their facial features. The best tooth shade is chosen by the dentist based on parameters including skin tone, eye colour, and hair colour.
Tooth alignment: It is important when designing a smile, and tooth alignment. Veneers or orthodontic procedures straighten out crooked, overlapping, or spaced teeth to give them a more symmetrical and consistent appearance.
Gum line: The gum line's contour and shape significantly affect how the smile looks as a whole. The dentist assesses the gums to ensure that the gums are healthy and to create a smile that is both proportionate and balanced.
Bite and function: The bite and function of the teeth are crucial to the design of a smile because they have an impact on the patient's comfort while eating, speaking, and smiling. The dentist assesses the patient's bite to make sure the patient's teeth are properly aligned and their jaw joints are working properly,
Creating an appealing and natural-looking grin that harmonizes with the patient's facial features and improves their overall appearance is a complex process that calls for careful consideration of numerous elements.
What are the benefits of Smile Design?
A smile design has some advantages, both aesthetic and practical. A Smile Design has a positive impact on a person's confidence, attractiveness, and dental health. It is a thorough and personalized method of dental treatment that have long-lasting effects and raise the general quality of life.
Enhanced Appearance: Dental treatments help improve the appearance of the smile by addressing issues such as gaps, tooth discoloration, and misaligned teeth. Orthodontic treatments like braces or Invisalign can straighten teeth and correct bite alignment, resulting in a more aesthetically pleasing smile.
Orthodontic treatments, such as braces or Invisalign, are used to address gaps, tooth discoloration, and misaligned teeth.
Improved Oral Health: Dental procedures contribute to improved oral health, which in turn promotes better overall health. Orthodontic treatments and dental implants can address concerns such as tooth decay, gum disease, and jaw problems, reducing the risk of related health issues.
Dental procedures like orthodontic treatments or dental implants help treat tooth decay, gum disease, and jaw problems, contributing to better overall oral health.
Improved Functionality: Dental treatments improve the functionality of the teeth, making it easier to eat, speak, and perform daily activities. Orthodontic treatments can correct misaligned teeth or a misaligned bite, improving chewing and speech abilities.
Orthodontic treatments can correct misaligned teeth or bite issues, improving chewing and speech abilities.
Personalized Treatment: Dental procedures involve personalized treatment plans tailored to the specific needs and goals of each individual. Whether it's braces, Invisalign, porcelain veneers, or dental implants, the treatment is customized to address unique concerns and desired outcomes.
Treatment options like braces, Invisalign, porcelain veneers, or dental implants are tailored to the specific needs and goals of each individual.
Long-Lasting Results: Dental treatments provide long-lasting results when proper care and maintenance are observed. Procedures like porcelain veneers or dental implants can deliver a beautiful and healthy smile that can endure for many years, enhancing both appearance and functionality.
Procedures like porcelain veneers or dental implants provide a lasting and beautiful smile with proper care and maintenance.
Smile design helps improve a person's teeth's appearance and functionality as well as oral health, which boosts self-esteem and improves the quality of life.
What are the risks of Smile Design?
There are some risks involved with smile design, just like there are with any dental operation. It's important to discuss any potential risks or complications with the dentist before undergoing smile design. The dentist helps patients understand the risks associated with different treatments and take steps to minimize the risk of complications.
Tooth Sensitivity: Tooth sensitivity is a common risk that may occur after dental procedures. It can cause discomfort when consuming hot, cold, sweet, or sour foods and drinks, or when pressure is applied to the teeth. Over-the-counter pain medications or specialized toothpaste can help manage this sensitivity.
Gum Irritation: Certain cosmetic dental procedures, such as braces or aligners, can irritate or inflame the gums. Good oral hygiene practices and temporary modifications to the treatment plan can help manage gum redness, swelling, and bleeding.
Infection: There is always a risk of infection with any dental procedure, especially if proper hygiene procedures are not followed. Dentists take measures to reduce the risk of infection by using sterile tools and following appropriate infection control procedures. Infection can manifest as an infection of the pulp within the tooth, requiring additional treatment.
Nerve Damage: In rare cases, procedures aimed at improving the smile, such as dental implants or orthodontic therapy, can result in nerve damage. This can lead to tingling or numbness in the lips, mouth, or cheeks that may be permanent. Although uncommon, it is important to be aware of this potential risk.
Unsatisfactory Results: It is crucial to communicate detailed goals and expectations to the dentist and discuss any concerns or issues that arise during treatment. Occasionally, dental procedures may not deliver the desired outcome, resulting in discomfort or dissatisfaction. Open communication with the dentist can help address such issues and explore potential solutions.
It is crucial to talk over the potential advantages and disadvantages of any smile design process with a licensed cosmetic dentist. Many of the dangers connected with smile design are reduced or completely avoided with careful planning, communication, and attention.
How does a Smile Design Treatment work?
A Smile Design Treatment is a cosmetic dentistry procedure designed to make a person's smile more appealing. The course of treatment entails a few steps that are tailored to the needs and objectives of the patient. Talking to a cosmetic dentist or having a consultation is the initial step. The dentist assesses the patient's oral health during the appointment and goes over their treatment objectives and expectations. The dentist creates a plan to treat patients based on their goals and oral health. The treatment planning involves different cosmetic dentistry procedures like tooth bleaching, veneers, composite bonding, and orthodontics.
The dentist needs to prepare the teeth or gums for the operations ahead of real treatment. Old fillings need to be taken out, the teeth need to be cleaned, and any underlying dental problems like cavities or gum disease need to be treated. The dentist starts doing them when the teeth and gums have been cleaned and prepped. The use of veneers or composite bonding materials, tooth bleaching, or tooth alignment using braces or transparent aligners are all included in the procedures.
The dentist makes any necessary modifications following the completion of the cosmetic operations to guarantee the desired outcomes. It entails lightly modifying the veneers or bonding materials, contouring or polishing the teeth, or both. The dentist arranges follow-up appointments to check on the individual’s oral health and make sure that the Smile Design Treatment was a success.
A Smile Design Treatment is a thorough and unique procedure that tries to enhance a person's smile while simultaneously taking care of any underlying dental caries. An attractive, healthy, and natural-looking grin is the result.
What is the purpose of smile design?
Smile Design aims to improve how someone looks when they smile by enhancing the size, shape, shade, and alignment of the teeth, and to create a smile that looks natural, healthy, and beautiful. The smile design combines several oral operations, as well as gum contouring, porcelain veneers, dental bonding, and tooth bleaching, to get the desired outcome. Smile design increases a person's self-esteem and morale while having a favourable impact on their general quality of life by making the smile look well.
Smile Designs is a thorough operation in cosmetic dentistry that deals with a variety of dental caries, such as discoloured/stained teeth, crooked/misaligned teeth, chipped/broken teeth, gaps/spaces between teeth, uneven gum lines, gummy smile, missing teeth. The treatment is specialized to every individual’s special requirements and goals and includes a combination of cosmetic dental operations.
How much does a Smile Design Treatment cost inTurkey?
The cost of Smile Design Treatment varies depending on a number of variables, together with the precise treatments needed, the difficulty of the treatment plan, and the dental office's location. For instance, the price of teeth whitening is range from £80 to £400, and the price of dental bonding is around £400 to £600 per tooth in UK. For each tooth, porcelain veneers cost between £600 and £2000, while Invisalign orthodontic treatment costs between £2,000 and £6,000in UK. The dental implants are approximately £2000 to £4000 per tooth in UK. A full smile makeover that involves multiple procedures costs anywhere from £8,000 to £40,000 or morein UK.
It is important to remember that the prices are only estimated and they differ significantly from instance to situation. A grin needs to be both aesthetically beautiful and practical while taking into account the individual's distinctive facial traits and personality. The long-term worth of Smile Design needs to be taken into account because it significantly improves someone's oral health, attractiveness, and confidence. Many dental offices provide financing options, like payment plans or financing through third parties, to make Smile Design more accessible. It is essential to speak with a dentist who specializes in Smile Design in order to find out the precise price and available treatments for an individual’s unique situation.
In addition, it’s worth noting that in Turkey, Smile Design treatments are typically at least 30% more affordable compared to the UK, while maintaining the same high standards of quality. Dental clinics in Turkey offer top-tier services at a more accessible cost, providing patients with the opportunity to achieve a beautiful smile without the higher price tag. Many clinics in Turkey also offer payment plans or financing options through third parties, making Smile Design more accessible.
The cost of Smile Design treatments in Turkey is generally at least 30% more affordable compared to the UK, while maintaining the same high standards of quality. Here's a breakdown of how prices compare:
Teeth Whitening:
UK: £80 to £400
Turkey: £50 to £250 (approximately 30-40% lower)
Dental Bonding:
UK: £400 to £600 per tooth
Turkey: £70 to £200 per tooth (approximately 30-35% lower)
Porcelain Veneers:
UK: £600 to £2,000 per tooth
Turkey: £140 to £300 per tooth (approximately 30-40% lower)
Invisalign Treatment:
UK: £2,000 to £6,000
Turkey: £1,400 to £2,200 (approximately 30-35% lower)
Dental Implants:
UK: £2,000 to £4,000 per tooth
Turkey: £400 to £900 per tooth (approximately 30-40% lower)
Full Smile Makeover (Multiple Procedures):
UK: £8,000 to £40,000+
Turkey: £1600 to £6,000+ (approximately 30-35% lower)
Is Digital Smile Design Used for Smile Design Treatment?
Yes, Digital Smile Design (DSD) is frequently employed. Dentists and patients view and plan the final result of a smile makeover using a computer-assisted smile design (DSD) procedure in preparation for any treatment. Digital photography and video of the patient's teeth and gums are taken, the photos are analyzed to find any problems or improvement areas, and finally, a 3D digital model of the patient's teeth and gums is created. It is used in simulating the results of numerous cosmetic oral surgeries, giving the patient and dentist a preview of the final look.
The Digital Smile Design (DSD) enables dentists to mimic the results of different cosmetic oral operations, such as tooth bleaching, veneers, and orthodontics, using digital pictures, films, and 3D imaging software. Patients offer feedback on the results they hope to achieve, which helps guarantee that the outcome lives up to their expectations. It is a useful tool for Smile Design Treatment because Digital Smile Design allows patients and dentists to collaborate to develop a customized treatment strategy that yields the best outcomes.
Is Smile Design Treatment the Same as Dental Treatment Implant?
No, the treatment for oral implants and smile design are not interchangeable. A smile design treatment is used in cosmetic dentistry, it aims to boost someone's smile. It involves processes like orthodontics, teeth bleaching, as well as veneers. The aesthetic appeal of our teeth and gums is enhanced by creating a more attractive as well as confident smile
A dental implant (known as an endosseous implant or fixture) is a restorative oral method that replaces a missing tooth with the denture root placed inside the jawbone (maxilla). A dental implant or oral implant is a popular solution since they support one or more artificial teeth in place of dentures or bridges. The primary step of the oral implant procedure is consulting a dentist. The fixtures do not apply to everyone as they need sufficient maxilla density to support the implant. Smile design and fixture treatments improve the overall looks of a person's smile but are different in dental treatments and purposes.
Is the procedure of Smile Design painful?
No, the majority of Smile Design procedures are not painful because a local anaesthetic is frequently used to numb the area being treated. Some discomfort or sensitivity is felt during or after treatment, depending on the exact operation, but it is typically short and controlled with painkillers or other medications as needed. For instance, operations like bonding or tooth whitening are often painless and do not call for an anaesthetic. The discomfort or soreness that follow more invasive operations, such as dental implants or gum contouring, are controlled with painkillers or other drugs.
It is important to discuss any worries the patients have about pain or discomfort with the dentist or oral health practitioners before undergoing a Smile Design procedure. It aids patients by letting them know what to anticipate both before and after treatment and, if necessary, by recommending adequate pain management alternatives.