Malocclusion of The Teeth: Definition, Causes, and Types
HomeMyra BlogMalocclusion of The Teeth: Definition, Causes, and Types
Loading...
Dt. Erdem Çetin
Born in Stuttgart, Germany in 1979, Dr. Dt. Erdem Çetin began his education in Kırşehir and completed his schooling there, from primary school through to high school. He then successfully completed his university education at the Faculty of Dentistry at 19 Mayıs University in Samsun.
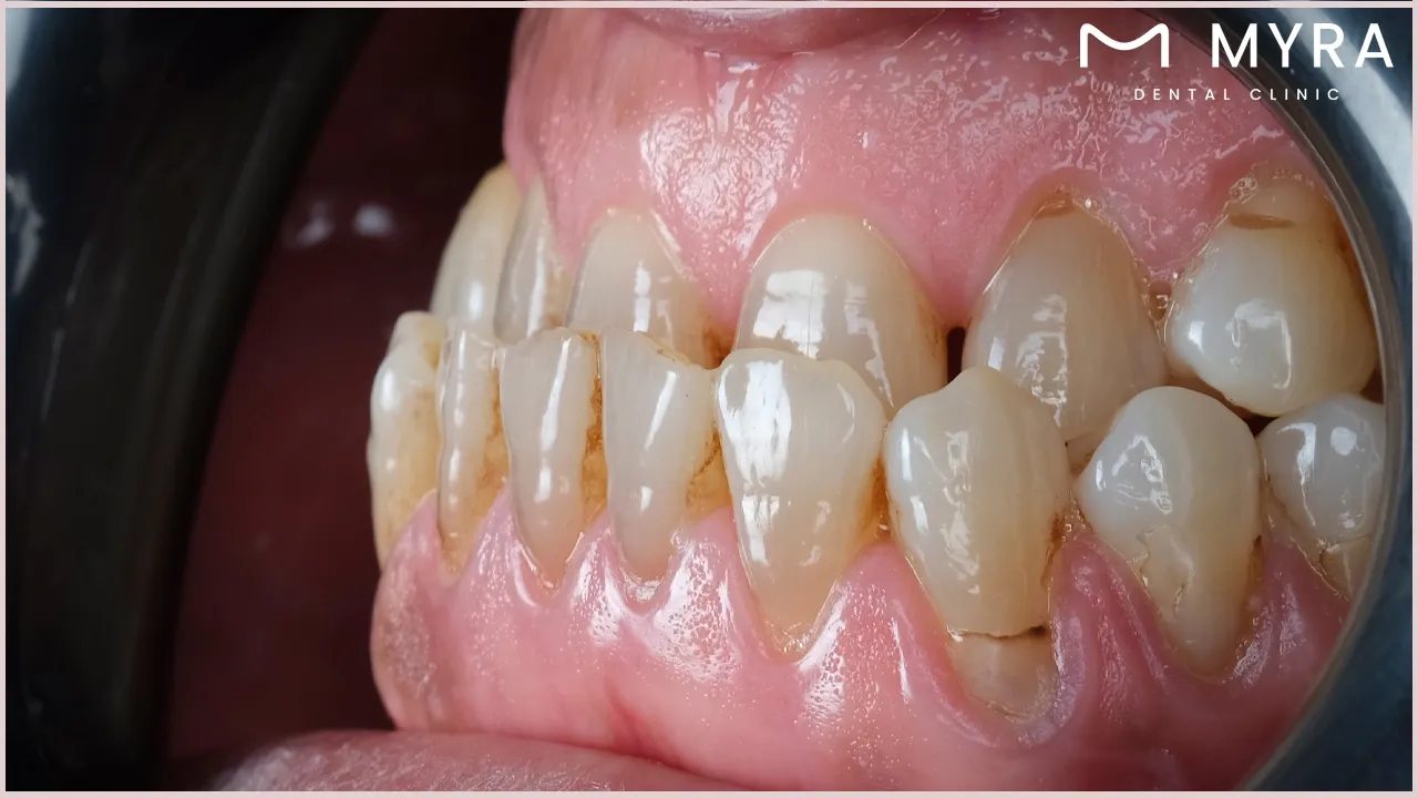
Malocclusion of the teeth describes how the upper and lower teeth line up incorrectly when the jaws are closed. Malocclusion is simply defined as an improper alignment of teeth and has several types that involve overbite, underbite, crossbite, and crowded teeth. It affects oral health and the ability to bite, chew, and communicate. Most of the “TMJ symptoms” in the malocclusion of the teeth have multiple origins. “TMJ disorder” describes issues with the temporomandibular joints, which control jaw movement.
Crowded teeth are caused by insufficient space in the jaw for teeth to fit properly, resulting in overlapping or rotated teeth. Other factors that contribute to malocclusion include heredity, dental trauma or injury, and oral habits. The top and lower teeth in an open bite have a space between them when the jaws are closed. Numerous types of malocclusion influence general dental health and appearance and cause issues with biting, chewing, and speaking. Seek professional dental evaluation to identify the precise type of “malocclusion” and create an appropriate treatment strategy.
What is Malocclusion of the teeth?
Malocclusion is one of the dental issues where the misalignment of the upper and lower teeth results in an irregular bite. Malocclusion is one of the common reasons patients visit an orthodontist to treat their teeth. It pertains to a dental misalignment, which triggers several oral health concerns. Malocclusion gets caused by variations in tooth growth, differences in jaw size, or hereditary and environmental causes. Malocclusion affects biting, chewing, talking, and smiling. Orthodontic therapy is commonly used in fixing malocclusion to enhance function and aesthetics, including braces or Invisalign.
Accurate dental evaluations are required for accurate diagnosis and treatment. The relationship between the buccal groove of the mandibular first molar and the mesiobuccal cusp of the maxillary first molar determines the kind of malocclusion. The teeth align into normal occlusion if the molar connection exists. Angle defines malocclusion as any variation from the ideal of occlusion, but assessments for it must consider aesthetics and the effect on functionality. The treatment isn't necessarily required if the patient is satisfied with the qualities and meets the required diagnosis.
What are the Symptoms of Malocclusion?
The existence of crooked or misaligned teeth is one of the symptoms of malocclusion. An uneven bite pattern emerges from teeth that appear to be rotated and positioned at odd angles. Malocclusion causes tooth misalignment, which makes biting and chewing difficult. The incorrect alignment interferes with the jaw's ability to function normally, which is painful or uncomfortable when trying to break down food. Malocclusion leads to problems with speech. The placement of the tongue and the airflow required for clear pronunciation are impacted by improper dental alignment. Another typical sign of malocclusion is jaw pain or discomfort. The temporomandibular joints or TMJs, that attach the jaw to the skull are put under stress, causing jaw discomfort, stiffness, or pain and worsening temporomandibular joint dysfunction or TMD.
People with malocclusion frequently complain of headaches. Tension headaches or migraines result from the strain the misalignment places on the jaw joints and related muscles. Certain types of malocclusion are linked to breathing issues. The airway becomes blocked by structural flaws in the jaw or face, which cause issues including snoring, sleep apnea, or persistent mouth breathing. The respiratory issues are harmful to health and the ability to sleep. The teeth suffer from excessive wear or injury as a result of malocclusion.
A misaligned set of teeth results in an uneven distribution of the forces applied during chewing and biting, placing more pressure on some teeth than others. Malocclusion impacts a person's mental health. Visible tooth misalignment harms one's self-esteem and confidence, which makes them self-conscious about how they look and reluctant to smile in public.
How Is Malocclusion Diagnosed?
There are things to consider in how to diagnose malocclusion. An orthodontist or a qualified dentist must do a thorough evaluation in analysing the presence of malocclusion. An extensive examination of the teeth, jaws, and facial structure usually marks the start of the procedure. The bite relationship and any obvious irregularities are evaluated by the orthodontist. The orthodontist utilises a range of diagnostic instruments and techniques throughout the examination to acquire X-rays, photos, and dental moulds. The orthodontist evaluates the alignment of the teeth and the underlying bone structure using complete images of the teeth, roots, and jawbone that X-rays show.
Photos offer a visual record of the teeth, bite, and facial profile, which helps with diagnosis and planning of the appropriate course of action. Dental imprints or moulds are obtained to construct tooth models, which are examined to discover the particular type of malocclusion. The orthodontist takes the patient's medical and dental history, physical examination, and diagnostic tests. The malocclusion is impacted or contributed to any past dental procedures, surgeries, or pertinent health issues. The orthodontist evaluates the findings after collecting all the required data to identify the kind and degree of malocclusion. They tend to recognise any particular abnormalities in jaw position, dental alignment, or bite relation. The orthodontist develops a diagnosis and suggests a suitable treatment strategy based on the study.
What are the causes of Malocclusion of the Teeth?
Listed below are the causes of malocclusion of the teeth.
Genetic Factors: Hereditary elements influence the size, shape, alignment of teeth, and the structure and location of the jaws. There is a higher chance of a person developing malocclusion if one or both parents have a misaligned bite.
Dental Development: Early tooth loss triggers malocclusion by interfering with the permanent teeth's regular eruption pattern. The space necessary for permanent teeth to erupt is limited when primary teeth fall out earlier than usual due to decay, injury, or extraction that leads to misalignment.
Thumb Sucking or Pacifier Use: The alignment of teeth is impacted by certain habits and activities that lead to malocclusion. Other instances which put force on growing teeth and jaws, causing them to move or get out of alignment, are long-term pacifier use, tongue thrusting, or thumb-sucking.
Abnormal Jaw Growth: Malocclusion results from developmental difficulties. The correct alignment of teeth and jaws is impacted by jaw and facial anomalies, such as a tiny or underdeveloped jaw, a significant overbite or underbite, or an asymmetrical face structure. Malocclusion is occasionally caused by disorders like cleft lip and palate.
Oral Health Practices: Malocclusion arises from dental and oral health disorders. The alignment of the remaining teeth is affected by gum disease, tooth decay, and tooth loss. For example, the nearby teeth move into the space and become misaligned if a tooth is lost and not replaced.
Trauma or Injury: Malocclusion is occasionally brought on by oral trauma or injury. Trauma to the face or jaw breaks teeth, injures jawbones, or harms supporting tissues, which causes misalignment.
Dental Restorations or Procedures: Malocclusion results from dental restorations if there is insufficient preparation for the procedure, the wrong materials are used, a tooth is lost, and the replacement teeth are unsuitable. Poor treatment planning has an impact on the occlusion and alignment of the teeth, whereas tooth loss causes the teeth next to it to move or tilt into space.
Oral Myofunctional Disorders: Malocclusion results from oral myofunctional disorders (OMDs). The muscles and tissues in and around the mouth, tongue, lips, and facial muscles are not functioning properly as a result of such illness.
1. Genetic Factors
Genetic or hereditary factors influence several aspects of dental development, including tooth size, form, alignment, and the general structure and location of the jaws. The DNA that parents pass on to their children through inheritance patterns makes up their offspring. There is a higher risk that a kid has some kind of malocclusion if one or both parents have a misaligned bite or one. Particular genetic variants affect how teeth, jawbones, and supporting tissues grow and develop.
Malocclusion is sometimes influenced by particular genes involved in dental and craniofacial development. Genes regulate the growth and development of the jaws, the eruption and production of teeth, and the coordination of the muscles used for chewing and speech. Some genes' variations or mutations result in anomalies in tooth size, shape, or location and poor jaw alignment. Genes involved in jaw growth and development affect the jaws' size and shape. Asymmetrical growth or differences in jaw size result from altered gene expression within the region, which worsen malocclusion. Remember that the final form of malocclusion is influenced by a combination of hereditary and environmental variables, such as oral habits and developmental circumstances. The development and severity of malocclusion are affected by things such as thumb-sucking, tongue-protruding, or facial trauma which lays the groundwork.
2. Dental Development
Dental development is critical in the incidence of malocclusion. The method of dental development includes the growth, eruption, and positioning of teeth and the development of the surrounding jawbone and soft tissues. Dental development interruptions or anomalies result in malocclusion. The disturbances are caused by several things that impact the issue. The eruption pattern of permanent teeth is impacted by the early loss of primary teeth from decay, trauma, or extraction. The space that has to be maintained for the adult teeth is limited when primary teeth are lost earlier than is typical.
Insufficient space for adequate alignment arises from it, causing teeth to erupt in the wrong places and resulting in malocclusion. Malocclusion happens if teeth grow in overcrowded or misaligned positions if there is a size difference in the upper and lower jaws or between the size of the teeth and the available space. It results from irregularities in the eruption process. Other teeth shift or go out of alignment if teeth don't emerge fully or in the proper order. It leads to crowded or misaligned teeth that contribute to malocclusion. The intricate procedure of dental development is controlled by genetic and environmental factors.
The blueprint for dental growth is determined by genetics, but environmental factors, including oral hygiene practices, diet, and general health, have an impact. Nutritional deficiencies affect the growth and structure of teeth and jaws during crucial dental development phases, resulting in malocclusion. Malocclusion is properly diagnosed and treated by recognising the role that dental development plays in the disorder. Dentists and orthodontists assess the developmental history and consider any particular variables that have contributed to malocclusion when creating treatment plans. Amending tooth misalignment and achieving a healthier and more functional bite are both capable of addressing the underlying problems with dental development.
3. Thumb Sucking or Pacifier Use
Thumb sucking or the use of a pacifier for an extended period leads to the development of malocclusion, which is the misalignment of the teeth and jaws. The teeth and jaws that are growing are subjected to constant pressure from the behaviours, which disrupt their alignment and lead to malocclusion. The sucking motion created by a youngster sucking their thumb or sucking on a pacifier affects dental and bone development. The use of pacifiers or thumb sucking for extended periods change a child's jaw's normal growth pattern and tooth eruption.
Constant pressure from the thumb or pacifier on the upper part of the mouth or palate leads the palate to narrow and rise higher, resulting in a high, narrow arch. It results in crowding of the teeth as they try to fit into the limited area.
The force used to suck affects how the teeth are placed or positioned, resulting in protrusion or misalignment. The posture of the upper and lower jaws is impacted by thumb sucking and pacifier use. An open bite or an overbite occurs from the jaws' constant pressure, causing an imbalance in their growth. The degree and length of thumb sucking or pacifier use greatly influence the risk of malocclusion forming. Malocclusion rises if the habit is continued throughout the eruption of permanent teeth. Remember that not every kid who enjoys thumb-sucking or pacifier use develops malocclusion.
Each person is different in how susceptible they are to developing certain behaviours. The chances of malocclusion arising are influenced by factors such as genetics, the length and severity of the habit, and other environmental factors. The influence on dental and skeletal development is avoided or reduced with early intervention and the cessation of thumb or pacifier use. Paediatric dentists and orthodontists offer direction and support in regulating the tendencies and treating any malocclusion that emerges if it does.
4. Abnormal Jaw Growth
Abnormal jaw growth contributes to the development of malocclusion, which is the misalignment of teeth and jaws. A harmonic bite and appropriate dental alignment depend heavily on the growth and development of the jaws. There are a variety of circumstances that result in aberrant jaw growth, including developmental issues, environmental influences, and genetic predispositions. The elements interfere with the harmony and balance of jaw development, leading to malocclusion.
The alignment of the teeth is impacted if either the upper or lower jaw fails to develop proportionally or displays asymmetrical growth. For example, a small or undeveloped jaw has not enough space for all the teeth, which results in crowding or overlapping. A large jaw results in extra space between the teeth. Inconsistencies in the relationship between the upper and lower jaws result from abnormal jaw growth. An open bite or an overbite or underbite results from excessive vertical or horizontal growth of either jaw.
An open bite is when the upper and lower teeth do not touch when the jaws are closed, whereas an overbite or underbite is when there is an imbalance in the front tooth's vertical overlap. Anomalies of craniofacial development, such as syndromes, cause malocclusion and aberrant jaw growth. The underlying tissues that support jaw development or the growth centres of the jaws are impacted by certain diseases that cause misalignment.
A thorough strategy is frequently needed to address malocclusion brought on by irregular jaw growth. The alignment of the teeth within the jaws is improved by orthodontic treatment that involves braces, aligners, or other orthodontic tools. Orthognathic surgery is required to realign the jaws and achieve appropriate alignment. Orthodontists and oral and maxillofacial surgeons collaborate to assess the malocclusion brought on by abnormal jaw growth and plan the appropriate course of treatment. The alignment of the teeth and jaws is improved, boosting both the functional bite and the appearance by addressing the underlying jaw growth abnormalities.
5. Oral Health Practices
Malocclusion is a condition that is often brought on by oral health practices, particularly certain habits or behaviours. Some habits put a strain on teeth over time or produce imbalances that interfere with how they must be aligned. Prolonged thumb sucking is a typical oral hygiene habit that causes malocclusion. The teeth and jaws develop and experience constant pressure from thumb sucking, which affects how they align. The teeth get pushed forward or moved from their natural locations due to the force the thumb applies.
The extended use of pacifiers or bottles is another practice that causes malocclusion. The repeated sucking motion associated with using a pacifier or bottle affects how the teeth and jaws are positioned, similar to thumb sucking. Teeth alignment is impacted by tongue pushing or improper tongue posture. Normal dental alignment is hampered by the tongue being positioned inappropriately, such as when it pushes or rests against the teeth while swallowing. An open bite or front teeth protrusion develops as a result of it over time.
Malocclusion is indirectly caused by poor oral health habits, such as putting aside dental treatment or having dental issues that go untreated. The alignment of teeth is commonly disturbed by dental problems such as tooth decay, gum disease, or early tooth loss. For example, a tooth is lost and not replaced. The adjacent teeth shift into the space, resulting in misalignment and malocclusion. It must be done to encourage and maintain excellent oral health practices to reduce the risk of malocclusion. It is avoided by encouraging kids to stop sucking their thumbs or using pacifiers at a suitable age.
Maintaining dental alignment and preventing malocclusion brought on by oral health difficulties requires regular dental checkups, good oral hygiene, and prompt treatment of dental issues. Orthodontists and dentists guide oral health habits and detect indicators of malocclusion. Dental alignment and oral health are improved by early intervention and the proper treatment for malocclusion brought on by poor oral hygiene habits.
6. Trauma or Injury
Malocclusion develops primarily as a result of trauma to the face or jaw. Malocclusion occurs when the oral and facial structures are subjected to a considerable force that causes fractures, damage, or displacement of the teeth, jawbones, or surrounding tissues. Jawbone fractures or dislocations result from direct impact or facial trauma. Trauma-induced jaw misalignment affects the natural bite, leading to malocclusion. Damaged or broken teeth influence the adjoining teeth's position, which is causing the misalignment.
The trauma occasionally results in tooth loss. Adjacent teeth shift or migrate into the gap left by a knocked out or avulsed tooth, altering the alignment and leading to malocclusion. Malocclusion is frequently caused by surgical procedures or medical therapies for facial or mouth problems. Procedures to treat jaw or facial malformations alter the bite, leading to malocclusion and misalignment. The degree of malocclusion varies depending on the intensity of the trauma or injury and the precise place or type of impact. Minor tooth movement to major jaw discrepancies are signs of misalignment.
Taking care of malocclusion brought on by trauma or damage calls for an encompassing strategy. Treatment includes a combination of restorative dentistry, orthodontics, and oral and maxillofacial surgery. Missing teeth are replaced, and adequate alignment is achievable by restorative operations, including dental implants, bridges, or orthodontic devices. Orthodontic treatment realigns the jaws and teeth to address misalignment. Oral and maxillofacial surgery is sometimes required in more severe situations to treat structural problems, straighten the jawbones, and repair fractures. Restore dental alignment, usability, and beauty by addressing the underlying problems brought on by trauma.
7. Dental Restorations or Procedures
Dental restorations or operations are occasionally one of the reasons for malocclusion, a misalignment, or inappropriate positioning of the teeth while the jaws are closed. Dental procedures strive to restore teeth's functionality and promote oral health, but sometimes they unintentionally cause malocclusion. One frequent dental restoration that contributes to malocclusion is the installation of dental crowns or bridges. The procedures involve capping or replacing broken teeth with prosthetics. An altered biting occurs if the crowns or bridges are not exactly fitted or if there is a mistake in their placement. The freshly restored tooth or teeth do not fit appropriately with the opposing teeth, creating malocclusion.
Dental fillings affect the alignment of adjacent teeth, particularly those involving a considerable amount of material. A filling is commonly used to rebuild the structure of a tooth when a large amount of it is decaying or damaged. It causes a biting imbalance if the filling material is not appropriately shaped or if the filling is too large. Orthodontic treatments occasionally contribute to the condition. The final result does not exactly fit with the patient's natural bite pattern in some situations when teeth are shifted or repositioned using braces or aligners. There are cases where the result falls short, while orthodontic treatments seek to attain a perfect alignment, resulting in malocclusion.
8. Oral Myofunctional Disorders
Oral Myofunctional Disorders (OMDs) are a part of the causes of malocclusion. OMDs are functional disorders that impair the muscles and functions of the mouth, such as the tongue, lips, and jaw. Malocclusion occurs when the forces acting on the teeth are unbalanced because the mouth muscles are not working properly. Tongue thrusting is a typical OMD that causes malocclusion. Tongue thrusting happens when the tongue pushes against or between the teeth during swallowing, talking, or sitting.
The tongue position and incorrect swallowing habit put pressure on the teeth, causing them to shift forward or get out of alignment. The constant pressure over time results in malocclusions such as an open bite or an overjet, where the upper front teeth protrude forward. Improper mouth posture is another OMD that causes malocclusion. The position of the muscles in the tongue, lips, and jaw alter how the teeth line up when they are relaxed. It happens when the tongue exerts a force that pushes the front teeth forward or results in an open bite if it lies low in the mouth or presses on them. Similar to how improper lip closure or an unbalanced jaw exacerbates malocclusion. Improper mouth posture is another OMD that causes malocclusion.
The position of the muscles in the tongue, lips, and jaw alter how the teeth line up when they are relaxed. It happens when the tongue exerts a force that pushes the front teeth forward or results in an open bite if it lies low in the mouth or presses on them. Similar to how improper lip closure or an unbalanced jaw exacerbates malocclusion. OMDs affect the growth of the jaw and facial bones and the normal balance of the oropharyngeal muscles. The muscles aren't always capable of supporting the teeth's growth and alignment properly if they are weak or unbalanced.
Addressing OMDs to prevent or reduce the development of malocclusion is needed. Exercises and therapy are frequently used as part of OMD treatment to retrain the mouth muscles, encourage appropriate swallowing and resting postures, and enhance muscle strength and coordination. Orthodontic treatment is required to fix the malocclusion brought on by OMDs.
Is malocclusion hereditary?
Yes, malocclusion is frequently hereditary. Malocclusion indicates that it is inherited within families, and it is brought on by a disparity in jaw size, either between the upper and lower jaws or between them. It results in improper biting patterns or teeth crowding. Malocclusion results from jaw shape or congenital abnormalities, such as cleft lip and palate. Genetic influences on malocclusion development are important, especially in treatment procedures.
Parental genetics determine the size, form, and location of the teeth and the growth and development of the jaws and facial bones. The hereditary nature of them is frequently demonstrated by family history and patterns of it across generations. There is a higher chance that a child experiences dental alignment issues if a parent or close relative has malocclusion.
How Common Is Malocclusion?
Malocclusion is a common dental problem that affects a large proportion of the population. The kind and severity of malocclusion impact how common it is and geographic and demographic considerations. Malocclusion has more cases in some communities and age groups, according to studies. Children and teenagers have a higher prevalence than adults. Malocclusion frequently appears when the teeth and jaws are growing and aligning.
One of the most common types of malocclusion is overcrowding. It happens when there is not enough room in the dental arch for the teeth to line up properly, causing them to overlap or spin. The prevalence of overbites and underbites varies based on hereditary and environmental factors, but both are common.
Malocclusion occurs more or less frequently in certain areas and among particular ethnic groups. Certain ethnic groups have a greater incidence of various types of malocclusion because of hereditary features or cultural habits. Regular dental checkups or appointments, and orthodontic assessments are advised for early detection and effective management of malocclusion, given the severity and potential effects. Dental specialists evaluate the alignment of teeth and jaws, identify any present malocclusions, and offer appropriate cures to improve oral health and general quality of life.
Can malocclusion be prevented?
No, there is no way to prevent malocclusion. Most cases of malocclusion are inherited, and prevention is difficult. Treatments are done by orthodontics and are required to be assessed by dentists. Preventing the severity of malocclusion cases is done by utilising braces, retainers, and Invisalign. The devices aid in correcting the structures of the teeth. Treatment using the devices takes up to three years depending on the patient’s case. Some cases are treated within months, for minor issues. Following the advice of the dentist and orthodontist is a must for a better outcome.
What are the Different Types of Malocclusion?
Listed below are different types of Malocclusion.
Overbite (Deep Bite): An overbite happens when the lower front teeth overlap to some extent but when the upper front teeth bite directly into the gums. An increased overbite results and allows the lower front teeth to bite into the roof of the mouth.
Underbite: An underbite arises when the lower front teeth are positioned much further forward than the higher front teeth. It is treated by using dental devices.
Crossbite: A crossbite is when the higher front teeth bite right inside the lower teeth on either or both sides of the jaw. The front or back teeth are affected by the illness.
Open Bite: A gap that leads directly into the mouth is created when the upper and lower front teeth do not overlap one another. The issue of an open bite develops on the mouth's sides.
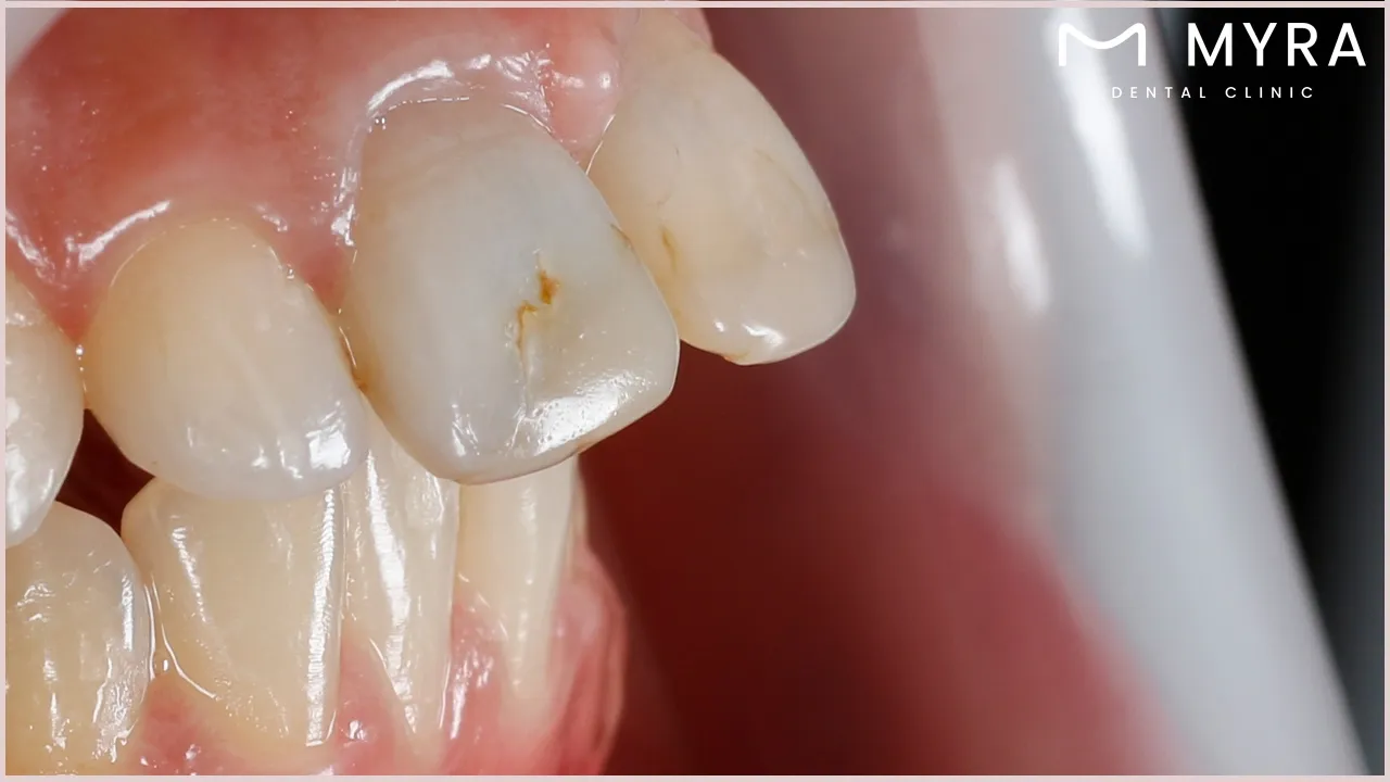
Crowding: Overcrowding is a common issue that is often brought on by a lack of room owing to overlapping or misaligned teeth.
Spacing: Crowding occurs when there is either too much or not enough room for the teeth, and it hurts the emergence of permanent teeth.
Midline Misalignment: A dental problem called midline misalignment happens when the face's midline and the middle lines of the upper and lower teeth are not properly aligned. The midline of the face must be in harmony with the centre lines of the upper and lower dental arches, evenly divided for normal occlusion.
Dental Asymmetry: Dental asymmetry is the term used to describe an imbalance or irregularity between the teeth on the left and right sides of the mouth. It impacts the upper and lower teeth and takes different shapes.
1. Overbite (Deep Bite)
Overbite is referred to as a deep bite. Overbite happens when the upper front teeth overlap the lower front teeth excessively when the jaws are closed. The top teeth barely overlap the lower teeth in a healthy occlusion. It causes the overlap to be exacerbated, resulting in the upper teeth covering a sizable section of the lower teeth. An extreme vertical overlap is often seen when smiling or biting down. Genetics or incorrect jaw development, prolonged thumb-sucking or pacifier use, or irregular chewing habits that contribute to an overbite.
Dental elements have an impact, including the position, size, or shape of the teeth. An overbite occasionally results in functional problems, such as difficulty in biting, chewing, or speaking. It raises the chances of developing dental concerns, such as tooth wear, gum sensitivity, and temporomandibular joint (TMJ) disorders. The severity and underlying reasons for an overbite determine how it must be fixed.
Overbites are frequently treated with orthodontic procedures, including braces or Invisalign, which occasionally move the position of the teeth and align the upper and lower dental arches. The underlying jaw difference needs to be corrected through orthognathic surgery in more extreme cases. The best time to treat overbites is typically during childhood or adolescence because the jaws are developing and more amenable to therapy. It is detected as early as 6 years old. Overbite repair is attainable in adults but with a bit trickier therapeutic strategies.
2. Underbite
Underbite is a form of dental misalignment where the lower front teeth extend beyond the higher front teeth when the jaws are closed. Underbite is referred to as prognathism or Class III malocclusion. The upper front teeth have to overlap the lower front teeth in a typical occlusion. The lower jaw is positioned further forward than the upper jaw in situations of an underbite, causing the lower teeth to protrude beyond the top teeth. It results in an unbalanced facial profile and a pronounced lower jaw prominence.
Underbites are frequently caused by a variety of things, including genetics, abnormal jaw growth, or certain developmental problems. Underbites are influenced by behaviours that lead to jaw and tooth misalignment, such as thumb sucking, prolonged pacifier use, or tongue thrusting. An underbite causes functional difficulties, such as biting, chewing, speaking, and temporomandibular joint (TMJ) impairments in some cases. The aesthetics of the face and smile are impacted.
The severity and underlying causes must be considered while treating an underbite. The goal of orthodontic therapy for underbites is to realign the upper and lower dental arches and move the position of the teeth. Orthognathic surgery is required in some circumstances to realign the jaws and rectify the bone imbalance. Early intervention during childhood or adolescence is normally preferred to maximise the capabilities early as 6 years old, but treatment is undertaken in maturity with suitable orthodontic and surgical techniques.
3. Crossbite
Crossbite is a type of dental misalignment in which the upper teeth sit on the inner of the lower teeth when the jaws are closed. Crossbite happens if one or more upper teeth are not outside and in front of the matching lower teeth as they are meant to be in a normal bite, but rather within or behind them. It includes one or more teeth and happens unilaterally or on one side of the mouth and bilaterally or on both sides. Crossbites are produced by a variety of circumstances, such as genetics, jaw differences, or uneven tooth eruption patterns. Crossbites occur as a result of bad habits, including thumb sucking, tongue pushing, or mouth breathing.
Concerns about function and appearance result from the disorder that influences the front teeth and the back teeth. Functional problems brought on by a crossbite include difficulty biting and eating, uneven tooth wear, TMJ problems, and asymmetrical jaw growth. Crossbites affect facial symmetry and the appearance of the smile from an aesthetic standpoint. Untreated crossbites result in other dental problems and consequences. Orthodontic treatment is required to fix it. The treatment process involves using braces, clear aligners, or other orthodontic tools to gradually realign the teeth into their proper locations.
The upper jaw is made wider and given enough room for appropriate alignment in some situations by using a palatal expander. Crossbites are detected from 6 years old. The management of crossbites requires early detection and intervention because prompt intervention promotes healthy jaw and dental growth.
4. Open Bite
Another type of malocclusion is known as an open bite. All teeth must come together in a perfect occlusion when the jaws are in the right alignment. Open-biting happens when the upper and lower teeth do not come into contact with one another, creating a gap between them. The front teeth or anterior open bite, the back teeth or posterior open bite, and both teeth have a gap. Numerous factors lead to open bites. It was influenced by tongue thrusting, prolonged thumb- or pacifier-sucking, and some oral habits. An open bite is the result of skeletal anomalies where the jaws are not properly aligned. The malocclusion is due to genetic causes, unfavourable tooth eruption patterns, or uneven jaw growth.
Functional and cosmetic problems result from open bites. People with an open bite struggle to bite and chew some foods, have trouble speaking and wear out some teeth excessively. An open bite makes the grin and facial profile look unattractive. The severity and origins must be considered while treating an open bite. It is detected as early as 6 years old. Close the gap and properly align the upper and lower teeth frequently require orthodontic treatment. The teeth are gradually moved into their proper places using braces, clear aligners, or other orthodontic tools. Orthognathic surgery is necessary to realign the jaws if skeletal irregularities cause an open bite.
5. Crowding
Crowding is a dental issue in which there is inadequate space within the dental arch to properly fit all the teeth. Crowding is one of the most prevalent types of malocclusion that results from an imbalance between the size of the teeth and the jaw's available space. The teeth strive to fit within the constrained space by overlapping, twisting, or becoming crooked. Several situations cause dental crowding. Genetic factors are important since the size and shape of the jaws and teeth are hereditary features. Crowding happens if a person inherits teeth that are larger than the available space; it is visible at the age of 6 years old.
Environmental variables, including early tooth loss in children, an irregular eruption pattern for adult teeth, or oral behaviours such as thumb-sucking that impair jaw growth, have an impact on dental crowding. Numerous issues result from overcrowding. It makes maintaining good oral hygiene more difficult since it is difficult to clean efficiently between crowded teeth, which raises the risk of tooth decay, gum disease, and other oral health problems. The aesthetic appeal of the smile is negatively impacted by crooked teeth or overlapping teeth, which cause self-consciousness and dissatisfaction with one's appearance. Orthodontic intervention is often used to treat dental crowding.
Orthodontic procedures are used to gradually realign and reposition the teeth, such as braces or clear aligners. Crowding is cured by making room and moving the teeth into the right position. Tooth extraction is required to create more space and assist in appropriate alignment.
6. Spacing
A dental case known as “spacing” is defined by gaps or spaces between the teeth that make up the dental arch. Spacing refers to an excessive or uneven amount of space between teeth. The spaces exist anywhere in the mouth, such as between the central incisors in the front teeth and the molars and premolars in the back teeth. Some variables influence dental spacing. Inconsistency between tooth and jaw size is one frequent cause. Gaps are developed if the teeth aren't the proper size for the available space. The location of teeth is frequently impacted by developmental disorders or behaviours, such as tongue thrusting, that leads to gaps.
Dental spacing has a variety of effects, and it is visible at the age of 6 years old. Spacing occasionally does not harm dental health or produce functional issues. Dental spacing has an aesthetic effect on the smile, causing one to feel self-conscious or unsatisfied with the way their teeth look. The gaps between teeth trap food particles and raise the risk of gum disease and tooth decay, making it easier to maintain good oral hygiene. The severity and specific demands of each patient determine the best course of treatment for dental spacing. The gaps between the teeth are filled in, and the teeth are correctly aligned with orthodontic treatment, such as braces or clear aligners. Dental bonding or veneers are suggested in some cases to fix the gaps and produce a more aesthetically pleasing smile.
7. Midline Misalignment
A problem known as midline misalignment occurs if the face's midline and the centrelines of the upper and lower teeth are not properly aligned. The midline of the dental arches and the midline of the face must be aligned in an ideal occlusion to divide the face proportionately. It happens when the upper and lower teeth's centre lines are not in line and give the mouth an asymmetrical appearance. The teeth's alignment relative to the midline of the face is seen to be out of alignment. Several reasons are prone to midline misalignment. Dental problems, such as crooked or missing teeth cause midline deviation. The midline is changed if a tooth is positioned farther to one side of the dental arch.
A lost tooth causes the teeth next to it to move in the opposite direction and misalign the midline. Midline deviation results from skeletal irregularities where the jaws are not adequately aligned. The central incisors in the front teeth and the molars and premolars in the back teeth are affected by midline misalignment. The effects of the smile's appeal and the symmetry of the face. It interferes with the way the bite works and makes it difficult to speak or eat. The degree of the midline misalignment and its underlying cause determine how it needs to be treated. Midline abnormalities are frequently treated with orthodontic procedures such as braces or clear aligners. It is detected at the age of 6 years old.
The procedures work to restore symmetry by progressively moving the teeth's positions and aligning the upper and lower dental arches. Orthognathic surgery is required to realign the jaws in situations when bone differences are a factor in the misalignment.
8. Dental Asymmetry
Dental asymmetry is an imbalance or abnormality in the size, shape, or location of teeth within the mouth. Dental asymmetry takes place when teeth on one side of the mouth do not match or correspond to teeth on the other side. Asymmetry in the teeth between the left and right sides of the mouth takes many forms, such as differences in tooth size, shape, or placement. The problem affects the upper and lower dental arches. There are numerous reasons for dental asymmetries.
The development and alignment of teeth are influenced by inherited features, hence genetic considerations are important. Dental asymmetry is caused by variations in the jaws' size, shape, or dental arches. It is commonly caused by dental oddities, including missing teeth, additional teeth or supernumerary teeth, or teeth with irregular shapes. The impact of dental asymmetry varies depending on the intensity and location of the asymmetry. Dental asymmetries occasionally are minor and do not create a functional or aesthetic risk. It is visible as young as 6 years old. Excessive dental asymmetry impacts one's confidence, facial symmetry, and smiling attractiveness.
The treatment of dental asymmetry is determined by the underlying reasons and the intended outcome. The teeth must be realigned and moved to create a more harmonious and balanced dental arch using orthodontic interventions, such as braces or clear aligners. A more symmetrical smile is achieved by using restorative alternatives, including dental bonding, veneers, or crowns to reshape or modify the appearance of certain teeth.
What type of Malocclusion can be treated?
The types of malocclusion which are curable include overbite, underbite, crossbite, open bite, crowding, spacing, midline misalignment, and dental asymmetry. A wide variety of cases occur under the type of malocclusions that must be dealt with orthodontic intervention.
They are efficiently addressed by utilising dental treatments. Each type of malocclusion needs proper and accurate evaluation before getting any orthodontic treatments or devices. The dental or orthodontic devices include braces, clear aligners, or other orthodontic tools. Consultation with a dental specialist or an orthodontist is essential for an accurate diagnosis. Individual treatment plans are necessary for obtaining a functional bite, improving oral health, and increasing aesthetics. Treatment procedures last from a few months to years.
What are the Treatment Options for Malocclusion?
The treatment alternatives for malocclusion are braces, retainers or headgear, and Invisalign. One of the most effective and reliable malocclusion treatments is braces. Certain teeth in children and teenagers need to be extracted before braces therapy begins. The teeth and jaw are straightened by braces, improving a smile and incorrect bite. Orthodontists recommend lingual, ceramic, or metal braces. It depends on how severe the malocclusion of teeth is.
Removing orthodontic devices is a common practice for treating malocclusions due to convenience. They are usually made to order. Retainers and headgear are a couple of examples of detachable devices. The alignment of teeth straightened by orthodontic procedures is maintained by retainer trays. The length of therapy for a misaligned bite varies depending on the severity of the malocclusion and the patient's compliance with wearing their custom-made detachable devices.
Aligner is a set of aligner trays made of clear plastic and invisible to others. Patients must wear Invisalign for 20 and 22 hours every day, and they are removable. Aligners apply pressure to the jaw and teeth throughout that period to align them properly. Patients enhance their smile with Invisalign while staying unobtrusive. Orthodontic therapy lasts up to two years, but it takes longer for adults. Consider getting a second opinion if an orthodontist recommends jaw surgery, and as an adult, make sure they make the best choice attainable. Other forms of treatment include surgery to shorten or reshape the jaw, bonding or capping of teeth, and removing teeth to relieve crowding.
How Much Does Malocclusion Treatment Cost?
The price of metal braces is approximately £1300 to £2,600, clear braces are roughly between £1,300 and £4,700, self-ligating braces are from £1,700 to £5,100, and the cost of lingual orthodontics is around £2,600 to £8,600 in UK. Treatment costs for malocclusions differ widely based on several variables, including the degree of malocclusion, the particular kind of treatment required, the patient's location, and the orthodontist or dentist's office. Braces and clear aligners are two examples of orthodontic treatments for malocclusion that come in a variety of price ranges. Traditional metal braces are typically cheaper than options such as ceramic or lingual braces.
The complexity of the case and the number of aligners needed to affect the pricing for clear aligners known as Invisalign. The price of Invisalign ranges from £1,700 to £4,700. The price of malocclusion orthodontic treatment ranges from a few thousand Euros to several thousand Euros. The cost usually covers the initial consultation, diagnostic documents, such as X-rays and dental imprints, the orthodontic devices, periodic modifications, and the last retention stage. Book an appointment with an orthodontist to establish the precise cost of malocclusion treatment. They assess each situation individually, go over the available treatments, and offer a tailored price quote based on the unique requirements and circumstances.
What Are the Potential Complications of Untreated Malocclusion?
The potential complications of untreated malocclusion are TMJ, speech and articulation problems, self-esteem and psychological impact, facial asymmetry, and tooth damage or loss. The temporomandibular joints (TMJ) experience additional stress of malocclusion. TMJ issues resulting from it are causing the symptoms such as jaw pain, headaches, trouble opening or closing the mouth, popping or clicking noises in the jaw, and restricted jaw movement. Pronunciation and speech habits are impacted by malocclusion. An incorrect bite or misaligned teeth prevent the appropriate creation of sounds, resulting in lisping, difficulty speaking, or other speech impairments.
Malocclusion has an undesirable effect on the smile and facial aesthetics that causes self-consciousness and lower self-esteem. Malocclusion leads to fewer social interactions, decreased confidence, and psychological anguish. Uneven pressure distribution on the teeth during biting and chewing results from malocclusion. It compromises the structural integrity of some teeth and causes excessive wear, chipping, or fractures, necessitating restorative dental procedures.
How Long Does Malocclusion Treatment Usually Take?
Malocclusion treatments normally take 12 to 36 months. The length of malocclusion treatment varies according to some variables, such as the degree of the malocclusion, the kind of treatment used, the patient's age, and how patients respond to the treatment. Malocclusion orthodontic therapy often lasts a few months to a few years. Treatment for cases of mild to moderate malocclusion frequently finishes in 12 to 24 months. It involves gradually realigning and repositioning the teeth into their proper locations using braces, clear aligners, or other orthodontic tools. Regular adjustment appointments are scheduled during the treatment term to guarantee consistent improvement.
Treatment times that frequently go beyond 2 years are necessary for severe malocclusions or complex cases. The situations are suitable for more extensive orthodontic treatments, such as more complex tooth motions, jaw realignments, or a combination of orthodontic and surgical techniques. The treatment plan for each patient is different, and the orthodontist gives an approximate estimate of how long treatment is required after a comprehensive examination and assessment. It is critical to know that the expected length of therapy needs to be adjusted due to unique situations and advancements made along the way.
Does malocclusion affect teeth whitening?
No, malocclusion does not affect teeth whitening. Malocclusion has no direct impact on teeth-whitening. Malocclusion is the misalignment or inappropriate positioning of the jaws and teeth. Teeth whitening is an aesthetic issue and not primarily a structural issue. Malocclusion has no direct effect on the efficacy or outcome of the teeth whitening processes. The goal of teeth whitening is to enhance the brightness and general appearance of teeth by removing stains from their surfaces. The treatments usually use bleaching elements or some whitening techniques to target the tooth enamel and brighten the shade of the teeth.
How Orthodontic Treatment Helps With Malocclusion?
Orthodontic treatment helps to cure some malocclusions by gradually realigning the misaligned teeth. The teeth gradually move into the desired positions as a result of a series of adjustments made over a certain time. Orthodontic treatment is important in repairing malocclusion by addressing the underlying structural abnormalities and establishing adequate tooth and jaw alignment. The purpose of orthodontic treatments is to guide the teeth into the ideal positions by applying mild, regulated forces.
The pressure that orthodontic devices apply to the teeth encourages bone remodelling and tooth movement. The type of appliance utilised varies on the patient's case and the orthodontist's advice. Braces are made up of brackets that are cemented to the teeth and joined by archwires. Clear aligners are transparent and removable trays that use mild forces to encourage tooth movement. Orthodontic treatment improves the practical and aesthetic elements of malocclusion. Achieving adequate bite alignment aids in evenly distributing the forces of chewing and lowering the possibility of excessive tooth wear or injury. It relieves jaw strain and TMJ-related symptoms by enhancing the general balance and function of the oral structures.
The appropriate alignment of the teeth during orthodontic treatment makes them easier to clean and improves oral hygiene. Long-term oral health benefits from preventing dental problems, such as tooth decay, gum disease, and plaque buildup. Successful orthodontic treatment needs careful planning, regular adjustments, and close communication between the patient and the orthodontist. Keeping up with dental hygiene routines, dietary restrictions, and presence at planned checkups are vital for getting optimal results.
Can Malocclusion cause a gummy smile?
Yes, malocclusion causes gummy smiles in most cases. A malocclusion is sometimes referred to as a “poor bite.” More gum is shown when someone smiles and has an overbite that occurs. The gummy smile results from malocclusion in different ways. Excess vertical growth of the top jaw or maxilla is an example where the upper teeth and gum tissue are more visible when smiling. The upper lip appears higher as a result of an overbite, where the upper front teeth excessively overlap the lower front teeth and expose more gum tissues.
The teeth's pattern of eruption changes in malocclusion situations. A gummy smile is caused by improper tooth eruption, which upsets the harmony between the teeth and gums. There are instances that it leads to extraction. A protruding or extended upper jaw is an example of one skeletal anomaly linked to malocclusion that gives the appearance of a gummy smile.
Can Malocclusion Cause Pain?
Yes, malocclusion causes pain. Malocclusion produces uneven forces when a person bites, chews, or moves their jaw. The misalignment puts excessive pressure on certain teeth, jaw joints, and surrounding muscles. Temporomandibular joint (TMJ) discomfort is a typical symptom of malocclusion in some people. It triggers headaches, jaw pain, discomfort in opening or closing the mouth, and popping or clicking sounds in the jaw. Tooth discomfort or sensitivity is brought on by teeth that are misaligned. Orthodontic therapy for malocclusion helps ease the discomfort brought on by misalignment.
Teeth that do not fit together properly carry greater pain when chewing and biting, as it increases pressure in some places. Malocclusion leads to tooth pain when eating hard or chewy foods. Jaw and face muscles are prone to becoming tight and worn out as a result of malocclusion. Muscular tension results in discomfort, migraines, and face pain over time. The degree of pain brought on by malocclusion from person to person. Some people feel discomfort, while others have severe pain and functional difficulties. The degree of pain brought on by malocclusion differs from person to person. Orthodontic procedures attempt to establish a more balanced bite, lessen stress on the jaw joints and muscles, and relieve related pain symptoms by realigning the teeth and jaws.
What should malocclusion patients consider when getting dental implants?
Several things to consider for malocclusion patients in getting dental implants. Get a full orthodontic examination before proceeding with dental implants. Malocclusion influences the teeth and jaw's line up, which has an impact on the placement and stability of dental implants. Orthodontic treatment provides the optimum foundation for successful implant integration by realigning the teeth and achieving a healthy occlusion before implant installation.
The placing of implants and orthodontic treatment must be done in the correct order. Orthodontic therapy needs to be finished before dental implants are properly considered in some cases. It guarantees that the teeth are in their perfect alignment and locations, enabling accurate implant implantation. A sufficient amount and quality of bone are necessary for a successful implant procedure. Patients with malocclusions have their bone density and gum health evaluated to see if they have enough bone for implants. Bone grafting or other preparation treatments are required in circumstances where there are bone deficiencies to improve the implant site's conditions.
The alignment of the teeth and bite must be assessed to identify the effect of placing implants on the occlusion. Correct bite alignment is essential for the implants and natural teeth to work in harmony. The design and location of the final implant-supported prosthetic repair has to be meticulously designed. The orthodontist must work closely with the oral surgeon or dental implant dentist. A complete treatment plan that takes into consideration is guaranteed through effective communication and cooperation between the experts. The cooperation aids in final product optimisation and long-term functionality and stability assurance.
What is the difference between Malocclusion and TMJ?
TMJ problems and malocclusion are two different conditions, although they coexist. Malocclusion and temporomandibular joint disorder (TMJ) are two separate disorders that have an impact on the jaw and oral health. Malocclusion occurs in people who don't have TMJ and vice versa. Misaligned teeth and jaws are referred to as malocclusion. TMJ disorders particularly refer to discomfort and dysfunction in the jaw joint and related muscles. The improper interaction between the teeth and jaws is a result of misalignment or incorrect positioning of the jaws and teeth.
Malocclusion is frequently treated with orthodontic interventions. TMJ issues need a variety of therapies, including dietary changes, mouth devices, physical therapy, or in extreme situations, surgery. The proper management of such disorders is guided by knowledge of their differences, which enhances dental health and general well-being. Malocclusion has the ability to cause dental problems, such as tooth decay, gum disease, damage to oral function, and the appearance of the smile.
TMJ is a condition affecting the temporomandibular joints, which connect the jawbone or mandible to the skull. Various issues that cause pain, discomfort, and abnormality in the jaw joint and the surrounding muscles are included in the category of TMJ disorders. Symptoms include jaw pain, clicking or popping sounds, limited jaw movement, headaches, or facial pain. TMJ issues are brought on by many things, including jaw misalignment, stress, bruxism, or trauma.