A Complete Understanding Of All-on-4 Dental Implant
HomeMyra BlogA Complete Understanding Of All-on-4 Dental Implant
Loading...
Dt. Erdem Çetin
Born in Stuttgart, Germany in 1979, Dr. Dt. Erdem Çetin began his education in Kırşehir and completed his schooling there, from primary school through to high school. He then successfully completed his university education at the Faculty of Dentistry at 19 Mayıs University in Samsun.
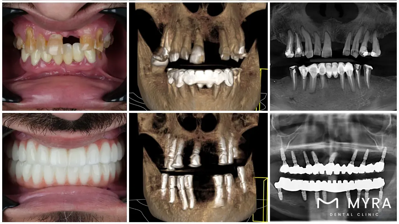
Four dental implants that act as anchors for an entire arch of replacement teeth are placed in the jawbone during the course of the procedure of all-on-4 dental implants. The all-on-4 procedure aims to offer patients a less invasive, secure, and long-lasting replacement for lost teeth than conventional implants and dentures. All-on-4 dental implants are a well-liked and modern choice for those missing a whole arch of teeth.
For All-on-4, a thorough evaluation, planning, and preparation stage is necessary before the implants are positioned and the replacement teeth are attached. It's crucial to be aware of any dangers and side effects that exist, including discomfort, edoema, and even implant failure, while the all-on-4 procedure has numerous advantages. The length of the healing process is influenced by the particular conditions that each person faces. People who fully comprehend all-on-4 dental implants, including the description, methodology, recovery, risks, and side effects, decide for themselves whether the procedure is suitable for them.
Patients needing whole arch dental repair are increasingly choosing All-on-4 dental implants. The cutting-edge method offers patients who have lost teeth as a result of trauma, illness, or other dental problems a durable and realistic replacement.
They are frequently used for implants because metals like titanium are biocompatible and well-tolerated by the body. A process known as osseointegration causes them to join with the jawbone and create a solid foundation for the new teeth as soon as the implants are in place.
The fact that the All-on-4 system is frequently finished in a single day and enables patients to leave the dentist's office with a new set of teeth in a matter of hours is one of its key benefits. The reason is the implants are placed to enhance bone contact and stability, obviating the need for bone transplants or other involved operations that extend the duration of the therapy or increase the expense.
All-on-4 technology has the benefit of being less costly than conventional dental implant methods. It's because the All-on-4 system uses fewer implants and hardware parts, which lowers the overall cost of the treatment.
The All-on-4 system does have certain risks and potential adverse effects like any dental operation. The adverse effects frequently go away a few days after receiving therapy, although swelling, bruising, or soreness are experienced by patients. The issues are extremely uncommon, although infection or implant failure are possibilities.
Most patients anticipate recovering sufficiently to resume work and other regular activities a few days after therapy. It is crucial to carefully adhere to the dentist's post-operative recommendations to guarantee adequate healing and reduce the risk of problems.
If one wants to repair a whole dental arch, the All-on-4 dental implant system is a common and often very effective treatment option. It offers a permanent and natural-looking option, significantly enhancing quality of life and regaining confidence in patients who have lost teeth due to dental problems.
What is an All-on-4 Dental Implant?
Patients who are missing teeth or are on the verge of losing their teeth have their dental function restored with just four dental implants by utilizing the all-on-4 dental implant treatment. The technology was developed by Nobel Biocare. People who have already lost teeth or are on the verge of losing teeth are candidates for the procedure. The company known as Nobel Biocare was the one that developed the method. Four dental implants are placed in the jawbone at key locations in accordance with the procedure as part of the All-on-4 dental implant treatment, in which a full dental arch is supported. The procedure is frequently referred to as "teeth in a day" by its patients. The strategy is the one that is helpful to the situation.
The All-on-4 dental implant procedure comprises the placement of a total of four implants into the jaw in order to provide support for a whole arch of teeth. The technique was developed by Nobel Biocare. The procedure is carried out by a dentist. It is possible to get excellent bone contact and stability with implants by angling them in the bone. The replacement teeth are constructed on a sturdy and long-lasting foundation as a consequence, which enables them to last for an exceptionally extended amount of time.
Osseointegration is the process that takes place after the dental implants have been surgically placed into the jawbone. The implants are allowed the time necessary to heal and integrate with the jawbone during the course of the procedure. The replacement teeth are affixed to the implants following completion of the procedure, which takes up to a few months on average. It necessitates a number of visits to the dentist. People who have lost teeth as a result of oral health difficulties such as an accident, tooth decay, or periodontal disease benefit from the All-on-4 dental implant techniques.
The procedure is intended to give an option for replacing lost teeth that are supposed to last a long time and seem as natural as possible. All-on-4 implants have the potential to improve not only a patient's overall quality of life but additionally their aesthetic appeal, dental function, and the general quality of their smile.
Creating dental implants using the all-on-4 method involves placing four dental implants into the jawbone at varying angles. It is done in order to create the implant. The framework of the dental implant is seen as the end product of the process. Titanium is the material that is used to manufacture the implants the vast majority of the time. It is due to the fact that titanium is both biocompatible and well-accepted by the body. They need to recover and become fully integrated with the jawbone after they have been placed in the mouth before the implants function as a solid basis for the replacement teeth. The procedure takes quite some time.
The term "All-on-4" refers to the use of four dental implants to support an entire arch of a patient's teeth within the patient's mouth when referring to a technique for dental restoration. Its support is provided by the implants. The company known as Nobel Biocare was the one that developed the method. People who have dental difficulties that have resulted in the loss of teeth have an alternative that is not only long-lasting but seems to be natural when they use the therapy. The treatment has a sizable and beneficial effect on the patient's oral function as well as their look and their quality of life in general.
When is an All-on-4 Dental Implant required?
Individuals who have lost or injured the majority of their teeth in a dental arch, experienced loss of jawbone, have gum disease, or have suffered from oral trauma or injury to the jaw muscles are candidates for an All-on-4 dental implant. Candidates for an All-on-4 dental implant include individuals who have lost or injured the majority of their teeth in a dental arch. Patients need to have gums that are in good shape.
All-on-4 implants are a good treatment option for individuals who are looking for full arch dental restoration because they offer a permanent solution that resembles the appearance of natural teeth to replace lost teeth. It makes them an appealing choice for those who are looking for full arch dental repair. Those who are seeking complete arch dental restoration consider going with them an appealing option, because of it. They are a possible choice for those who are interested in having total arch dental repair done to their teeth.
Candidates are likely to require All-on-4 implants because they have lost a substantial number of teeth; it is one of the primary reasons why they require them in the first place. It is possible for a person's ability to eat, speak, and smile with confidence to be considerably reduced when a substantial number of teeth are missing or broken. Such a situation is true when it comes to a person’s appearance. It is due to the fact that chewing food, speaking, and smiling all need the use of teeth. A person is able to improve not only their beauty but the function of their teeth as well as their overall quality of life with the help of all-on-4 implants.
It is conceivable that the jawbone degenerates to the point that the patient needs the All-on-4 implant system in order to have their smile restored. Their jawbone continues to degrade over time, which leads to an increased risk of more tooth loss as well as other dental disorders when a person is missing teeth. It causes additional problems with their teeth. The patient's jawbone is maintained in its natural state with the assistance of all-on-4 implants. The implants provide the patient with a foundation that is both sturdy and long-lasting for their new teeth.
The presence of gum disease is yet another typical circumstance that commonly necessitates the implantation of all-on-4 implants within the mouth of a patient. It is difficult to get ordinary implants after suffering from the illness because gum disease causes the loss of teeth in addition to the loss of bone. It is due to the fact that gum disease promotes tooth decay. Patients who suffer from gum disease frequently discover that the All-on-4 implant treatment plan is an effective option for the treatment of their ailment. The method requires a lower level of bone density and is overall less intrusive, in comparison to other approaches to dental implant therapy.
Tooth replacement with all-on-4 implants is an absolute need when there has been oral damage or there is an impairment to the jaw muscles. They run the risk of losing the ability to chew food, talk, and smile if a person has had damage to their teeth or an injury to the muscles in their jaw. It is especially true if the damage was caused by an accident. It occurs because of a traumatic experience. All-on-4 implants are a process that are used to offer a replacement for missing teeth that is not only permanent but looks entirely natural. The replacement for missing teeth is provided by a procedure that is known as "all-on-4." The teeth's function and their aesthetics are dramatically improved as a result of the treatment.
Candidates for the All-on-4 dental implant procedure include patients who have lost or injured the majority of their teeth in a dental arch, patients who have had jawbone loss, patients who have gum disease, patients who have suffered from oral trauma, and patients who have incurred damage to their jaw muscles.
Additionally, patients who have had the majority of their teeth in a dental arch extracted or injured are candidates. The all-on-4 implant procedure provides a solution that is long-lasting and seems to be completely natural in its look. Restoring dental function, improving looks, and elevating general quality of life are all things that are accomplished with the aid of the technique, which provides a solution that seems to be natural.
Why choose All-on-4 Dental Implant?
A patient is more likely to select the All-on-4 dental implant option than any of the other alternatives to dental implants that are now available for a variety of reasons. Dental implants are quickly becoming the treatment of choice for patients who require restoration of the whole arch of their teeth as a consequence of the various benefits that they provide.
Patients prefer All-on-4 implants for a variety of reasons, one of the most significant of which is that they give a treatment alternative that is both more expeditious and less invasive than typical dental implant treatments. Patients select All-on-4 implants for a variety of reasons, including the fact that they provide a treatment choice that is both more expedient and less invasive. Patients are able to leave the dentist's office with a brand-new set of teeth in just a few short hours since the implants are often done in a single session, which reduces the amount of time that is necessary for the procedure.
It allows patients to leave the office with new teeth with immediate loading dental implants in a shorter amount of time. Traditional implant treatments, on the other hand, have to be carried out over the course of many months and involve a number of different sessions as well as surgeries.
Another advantage of All-on-4 implants is that, in comparison to standard implant procedures, they only require a lower number of implants and a smaller quantity of hardware. It reduces the overall cost of the treatment. Dental implants are an option that is considered more cost- effective for restoring an entire dental arch because of its lower total cost. Implants, in addition to offering a long-lasting and natural-looking repair, have a longer lifespan than other restoration options.
Patients also appreciate that the cost of all on 4 dental implants is generally lower compared to traditional full-mouth implant procedures. This affordability, coupled with fewer implants and reduced surgical requirements, makes All-on-4 a highly attractive choice.
It provides an advantage that is not found anywhere else because of their forward-thinking approach to design. The implants are placed in the jawbone at a variety of different angles in order to maximize the amount of bone contact and stability achieved. Individuals who have lost jawbone or have a reduced bone density are still candidates for them because they need a lower bone density than typical implant procedures. It is owing to the fact that the minimum bone density requirement for them is lower.
Candidates for the alternative treatment procedure include those who are unable to receive traditional implants owing to gum disease or other oral concerns. It is a fantastic alternative to the traditional implants that are already available. Patients who suffer from gum disease find it beneficial to investigate the option of conventional implant treatments due to the fact that all-on-4 implants require less gum tissue than typical implant techniques.
All-on-4 dental implants are increasingly becoming the treatment of choice for those who wish to replace a whole dental arch's worth of teeth because of the various benefits they provide. It is due to the fact that the implants only require a total of four surgical procedures. The treatment time periods are shorter, there are fewer pieces of hardware, better bone contact and stability are achieved, and the procedure is compatible with patients who have gum disease or who have lost jawbone. Such are only some of the positives.
What are the procedures for All-on-4 Dental Implants?
The All-on-4 dental implant procedure comprises several stages, the first of which is a preliminary consultation with a dental professional. The dentist evaluates the patient's dental health during the appointment, takes x-rays and scans of the mouth, and goes through the available treatment options.
The patient is frequently given a local anesthetic to numb the mouth and decrease pain and suffering prior to the implant procedure. The dentist uses anesthetic if necessary to help the patient feel more at ease and relaxed throughout the procedure.
The All-on-4 implant process begins with the installation of the dental implants. The dentist carefully angles four dental implants into the jawbone using a surgical guide to ensure accuracy and precision.
The dental professional attaches a temporary bridge to the implants once they have been placed so that it supports and works while the patient heals. The temporary bridge, which is frequently made of acrylic or other materials, aims to resemble natural teeth in both appearance and feel.
The patient returns to the dental office to have the final bridge placed after the first healing phase, which often lasts several months . In order to provide a durable and appealing choice for full-arch dental repair, the completed bridge is made precisely for the patient's mouth.
The patient receives extensive instructions on how to maintain their temporary bridge and dental implants during the procedure. It includes instructions on how to properly brush and floss the teeth and how to properly maintain oral hygiene to prevent infection and other dental issues.
The All-on-4 dental implant procedure is divided into several stages, beginning with the first consultation and evaluation of the patient's oral health. Four dental implants are placed into the jawbone during the procedure; a temporary bridge is then attached during the first healing stage. The final bridge is installed to provide a durable and natural-looking treatment for full arch dental repair following the healing period. The patient receives comprehensive instructions on how to take care of their dental implants and maintain good oral hygiene during the procedure.
What Kind of Dentist Should I Seek for an All-on-4 Dental Implant?
One search for a prosthodontist or oral surgeon who is familiar with the All-on-4 method of placing dental implants if everything went according to plan. It is essential to select a competent and experienced dentist who has previous expertise doing the All-on-4 dental implant process whenever one is thinking about getting dental implants.
A prosthodontist is a type of dentist that specializes in the restoration and replacement of teeth that have been damaged or destroyed. They are the most qualified individuals to carry out an All-on-4 implant procedure because of their considerable experience in dental implants, dental bridges, and several other dental restorations according to dentist types. Oral surgeons are a suitable option for All-on-4 implants since they have substantial knowledge of surgical procedures and are able to do the appropriate bone grafts or other surgeries as needed. It makes them a strong candidate for the procedure.
Check that the dentist one is considering for All-on-4 implants has the following attributes before committing to working with them. The dentist has to have a wealth of experience with dental implants and the All-on-4 procedure, in addition to a proven track record of successful treatment outcomes. They have access to the latest dental instruments and technology, like 3D imaging and computer-guided surgery, to obtain the most accurate and precise placement of the implants. It allows them to produce the best possible results.
The dentist needs to be able to provide customized care and attention, taking the time to evaluate the state of the patient’s dental health and recommending the most effective treatment choices depending on the specific needs that one has. They must be able to answer any questions one has regarding the procedure and offer one detailed instructions on how to care for dental implants after the operation has been completed.
It is important to choose a skilled and experienced expert who possesses the necessary knowledge and equipment to provide the best possible result when searching for a dentist to do All-on-4 dental implants.
Is the All-on-4 Dental Implant procedure painful?
Yes, it is possible that the All-on-4 dental implant surgery includes some discomfort or pain; however, the amount of discomfort experienced by each patient is unique to them and is based on their capacity to tolerate pain. The treatment is carried out under local anesthetic in most cases, which numbs the mouth and reduces the amount of discomfort felt throughout the process.
Patients experience some discomfort or pain following the treatment as the mouth heals and adjusts to the new dental implants. It is normal and expected. It manifests as pain, bruising, and swelling in the areas surrounding the implant sites. The soreness, on the other hand, is normally treatable with over-the-counter pain drugs and ought to disappear within a few days.
It is essential to keep in mind that the outcomes of the All-on-4 operation for individual patients vary widely depending on factors such as the patient's oral health, their capacity to tolerate discomfort, and the level of expertise possessed by the dentist who is executing the process. Dentists, however, take measures to alleviate any discomfort or pain that is experienced during the process and teach patients how to deal with any discomfort that is experienced following the surgery.
The All-on-4 dental implant process includes some discomfort or pain; however, the degree of discomfort varies based on the particular patient and how well they tolerate pain. Patients feel some discomfort or pain after the surgery, but it must be manageable with over-the-counter pain drugs and go away within a few days at the most.
What are the Advantages and Disadvantages of having All-on-4 Dental Implants?
Fewer Implants Are Required: All-on-4 dental implants only require four fixtures compared to alternative methods, which require more dental implants. This results in a lower overall cost and a shorter overall treatment period. For example, a patient gets a brand new set of teeth in only one day, which cuts down on the total amount of time needed for treatment and makes it possible for them to get back to their daily routine more quickly.
Faster Treatment Time: The all-on-4 implant procedure can often be completed in only one day, unlike other methods, which can take from several weeks to several months to complete.
Increases Bone Contact While Maintaining Stability: The replacement teeth in All-on-4 implants are supported by a foundation that is sturdy and long-lasting. The implants are strategically positioned to enhance bone contact and stability, making this a good option for patients with low bone density or jawbone loss who are not eligible for other implant procedures
Appropriate for Patients Suffering from Gum Disease: Patients who suffer from gum disease may find All-on-4 implants to be a more suitable option than traditional implant procedures since they require less gum tissue. Patients suffering from gum disease who are not candidates for other implant procedures can still benefit from the permanent and natural-looking solution that All-on-4 implants offer.
Patients require fewer implants, benefit from quicker treatment, and gain stable, lasting results even with bone loss or gum disease. These advantages make choosing all on 4 dental implants in Turkeyan appealing option for full-mouth restorations.
What are the Disadvantages of having All-on-4 Dental Implants?
Post-operative Complications: With All-on-4 implants, there is a possibility of experiencing postoperative problems such as infection and implant failure. This could lead to symptoms such as swelling, bruising, or soreness after the operation. There's also the possibility of the implant failing or the patient developing an infection.
Requires Surgery: All-on-4 implants need to be surgically inserted to properly place the dental implants. This can be a cause of concern for individuals who are apprehensive about undergoing surgery or who have underlying health problems. For instance, a patient might be worried about the necessity of a surgical procedure, especially if they have additional health conditions.
Not Suitable for All Patients: Not every patient is a good candidate for All-on-4 implants. This is particularly true for those with specific medical disorders or those who have issues with their jawbone density. In such cases, a dentist might determine that a patient is not a suitable candidate for All-on-4 implants, especially if the patient has experienced significant jawbone loss, and suggest other treatment options.
How much is the average cost of All-on-4 Dental Implants?
A typical All-on-4 implant treatment cost between $20000 and $50000 per arch in US and in the UK, the cost for All-on-4 dental implants typically ranges between £13,000 and £18,000 per arch. The materials utilized, the intricacy of the process, and the dental office's location are just a few of the variables that affect the typical cost of All-on-4 dental implants.
The kind of material utilized is one of the variables that impact the price of All-on-4 implants. Examples include All-on-4 implants made of acrylic or other synthetic materials, which is less expensive than implants made of ceramic or other high-end materials. The implants are sometimes offered by some dental practices. The stability and duration of the implant are impacted by the material utilized, which is a factor for some people.
The intricacy of the surgery has an impact on the price of All-on-4 implants. The cost of the therapy rises if a patient needs additional treatments like bone transplants or extractions. It is influenced by the dentist doing the operation and their degree of experience and skill. The cost of dental implants vary depending on where the dental clinic is located. For instance, dental facilities in metropolitan locations or those with greater costs of living bill patients more than those in rural areas for the same service. Patients take the dental office's location into account when assessing the price of All-on-4 implants.
A number of variables, like the materials used, the difficulty of the process, and the location of the dentist practice, affect the typical cost of All-on-4 dental implants in Turkey. Patients commonly find that dental implants price in Turkey is significantly lower compared to many other countries, making it an appealing option for affordable dental care. The price of the operation must be discussed with a trained dental practitioner depending on each patient's unique demands and circumstances.
How long does it take to recover from an All-on-4 Dental Implant?
The amount of time it takes for an All-on-4 dental implant to recover varies depending on the procedure's intricacy, the patient's capacity to heal, and how closely they adhere to their dentist's aftercare recommendations. Patients typically wait several days to a few weeks to recuperate completely after the treatment.
Patients have some soreness, edema, and bruising at the implant sites right after the procedure. The dentist suggests over-the-counter painkillers or writes a prescription for painkillers to treat any discomfort. Patients refrain from consuming anything tough or crunchy and stick to a soft or liquid diet for the first few days of dental implant recovery. The patient's general health, any underlying medical disorders, and how well they adhere to the dentist's aftercare recommendations are all variables that impact how quickly they recover. Patients maintain stringent oral hygiene practices, such as regular brushing, flossing, and mouthwash use, to avoid infection or other problems.
Patients receive plenty of rest and refrain from heavy exercise or physical activity for the first several days after the treatment to shorten the healing period. Ice packs placed on the face help lessen pain and swelling.
It's critical for patients to get help right away if they have any odd symptoms, such as significant bleeding, excruciating pain, or indications of an infection. Patients schedule routine dental checkups to track the status of their healing and make sure the implants are healing appropriately.
The amount of time it takes for an All-on-4 dental implant to heal depends on a number of variables, including the patient's natural capacity to heal and how closely they adhere to the dentist's aftercare recommendations. Patients anticipate taking several days to a few weeks to fully recuperate, after the surgery. Patients maintain rigorous oral hygiene practices, refrain from intense exercise, and get medical help if they notice any odd symptoms.
How frequently should an All-on-4 dental implant be cleaned?
An All-on-4 dental implant must be maintained properly to ensure its longevity and to avoid infection and other dental problems. Similar to how they do with their original teeth, patients with All-on-4 implants clean and floss their replacement teeth at least twice daily.
Patients must use a toothbrush with soft bristles and toothpaste without any abrasives to properly clean their teeth after receiving All-on-4 implants. Cleaning must be done gently, in a circular motion, paying special attention to the region immediately surrounding the implant sites. Flossing is an extra crucial part of good dental hygiene for those with All-on-4 implants. Patients must clean the region around their implants and remove any plaque or food particles that have been lodged there using floss made particularly for dental implants.
Patients must make it a point to visit their dentist on a regular basis for expert cleanings and exams in addition to the usual cleanings that are carried out. The majority of dental experts advise patients to visit their dentist at least twice a year for examinations and cleanings, although the frequency of dental consultations varies from patient to patient based on their specific needs and circumstances.
The dentist examines the patient's dental health, cleans the patient's teeth and implants, and looks for any indications of infection or other problems during the appointments. Cleaning dental implants necessitates frequent examinations at the dentist's office to maintain good oral health and prevent dental issues. Patients who had the All-on-4 implant technique are significantly affected.
All-on-4 dental implant patients floss their teeth once a day and use a toothbrush with soft bristles to keep their implants clean. They continue their regular dental checkups and professional cleanings, which typically take place every six months. All-on-4 implants must continue to operate properly and survive as long as possible, which requires maintaining good oral hygiene and visiting the dentist on a regular basis.
Do All-on-4 Dental Implants require special cleaning?
Yes, particular cleaning is indeed required to preserve the lifespan of All-on-4 dental implants and prevent dental issues. All-on-4 implants offer the same appearance and functioning as genuine teeth, unlike traditional dentures, which require different cleaning to preserve their integrity.
Patients with All-on-4 implants clean their implants twice a day with a soft-bristled toothbrush and non-abrasive toothpaste. Gently scrub in a circular manner, giving close attention to the area near the implant sites. Flossing is another essential component of proper oral hygiene for All-on-4 implants. Patients clean the area around dental implants and remove any food or plaque that have become trapped there using special floss designed for dental implants.
Patients with All-on-4 implants regularly brush their teeth, floss, and schedule professional cleanings in addition to maintaining good oral hygiene. The dentist thoroughly cleans the implants in comparison to the patient at home, in addition to assessing the patient's dental health and searching for any signs of infection or other issues.
It's important to keep in mind that, even though All-on-4 implants require special cleaning, they are frequently easier to maintain than regular dentures. Patients who wear dentures regularly have to remove them for cleaning and require specialised adhesives or procedures to keep them in place. All-on-4 implants, on the other hand, are fixed in place and cared for the same way as natural teeth.
All-on-4 dental implants do require special care to ensure their life and prevent oral health issues. Patients clean their implants twice a day with a soft-bristled toothbrush and special floss designed for dental implants. They make appointments with their dentist for regular cleanings and exams of their teeth.
Is All-on-4 a wise choice for my dental health?
No, one must discuss the matter with a knowledgeable dental practitioner who is able to assess the unique requirements and conditions and provide guidance regarding the most appropriate treatment choices in order to determine whether or not All-on-4 implants are right for an individual.
Patients who have had considerable tooth loss or injury, gum disease, or jawbone loss find that all-on-4 implants are an option that works for them. They provide a number of benefits, such as requiring fewer implants, reducing the amount of time needed for treatment, increasing the amount of bone contact and stability, and being appropriate for patients who have gum disease. However, they come with a number of potential drawbacks, such as the possibility of postoperative problems, the requirement of surgery, and the fact that they are not appropriate for all people.
Patients who are healthy overall and have sufficient density in their jawbone suitable candidates for all-on-4 implants. On the other hand, people who suffer from specific medical disorders or have concerns with the density of their jawbones are not candidates for the operation. It is essential to have a discussion with an experienced dental practitioner in order to establish whether or not All-on-4 implants are the appropriate method of treatment for specific requirements.
One must discuss the matter with an experienced dental specialist who is able to assess the unique requirements and conditions and provide guidance about the most appropriate treatment choices, prior to settling on the decision to have all-on-four dental implants. Patients who have suffered considerable tooth loss or damage, gum disease, or jawbone loss are candidates for the All-on-4 implant treatment; however, the candidacy of each patient is unique and must be evaluated to determine whether or not the operation is appropriate.
Is All-on-4 Dental Implant removable?
No, all-on-4 dental implants are a permanent alternative for replacing lost teeth, in contrast to dentures, which the patient removes for cleaning or maintenance purposes. Dentures are a removable option. The replacement teeth are supported by a foundation that is both robust and solid thanks to the implants, which are fastened directly into the jawbone.
The patient is not able to remove either the implant or the prosthetic teeth without the aid of a trained dental practitioner, after the implants have been positioned and the prosthetic teeth have been secured. It is due to the fact that the implant has been incorporated into the jawbone, and so its removal does necessitate medical intervention.
The All-on-4 dental implant procedure is intended to be a long-term, non-removable method for the replacement of lost teeth. They have a more natural appearance, better chewing efficiency, and have a longer lifespan than regular dentures, which are some of the advantages they provide over traditional dentures. However, one must carefully evaluate both the potential downsides and upsides of the treatment, as well as discuss the options with a skilled dental practitioner who helps choose the treatment that is most suited to such specific requirements, before undergoing any dental operation.