Immediate Load Dental Implant: Definition, Benefits, and Cost
HomeMyra BlogImmediate Load Dental Implant: Definition, Benefits, and Cost
Loading...
Dt. Erdem Çetin
Born in Stuttgart, Germany in 1979, Dr. Dt. Erdem Çetin began his education in Kırşehir and completed his schooling there, from primary school through to high school. He then successfully completed his university education at the Faculty of Dentistry at 19 Mayıs University in Samsun.
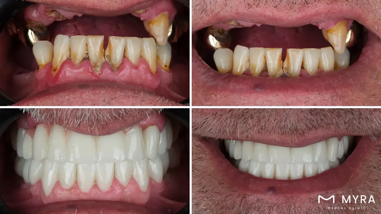
The Immediate Load Dental Implant is a kind of oral device which is viable to be inserted in either the upper or lower jawline or both, in just a short span of time. It is primarily implanted through a process called immediate loading which is normally completed within 48 hours. Immediate loading is a procedure for implant placement which involves placing the prosthesis on top of the loaded implant, restoring a person’s ability to properly chew food, smile, and speak. The prosthesis is most often fitted from a patient’s tooth within the day the implant is placed, which makes the process absolutely swift.
One of the best benefits of an immediate load dental implant is its capability to provide rapid results. Patients are able to utilize and cherish their newly restored teeth without having to endure several months of waiting for the procedure to be finished. Some of the other benefits which the procedure is able to usher includes providing a more effective technique for creating soft-tissue at the single-tooth repair site, promoting effective final restoration fabrication, and reducing early crestal bone loss achieved through countersinking the implant beneath the crestal bone.
The cost of acquiring an immediate implant placement, otherwise known as “teeth in a day” normally amounts from £10,000 to £40,000, for a full teeth set. Price varies with respect to a number of factors that are able to influence it such as, type of teeth the client prefers to attach to the implant, the expertise of the physician doing the procedure, and the number of implants inserted. Additionally, the location where the procedure is done as well as the laboratories involved in the process all affect the overall cost of the implantation.
Type of Immediate Load Implant
Description
Price Range (£)
Single Immediate Load Implant
Cost of replacing one missing tooth with immediate load technology.
£2,000+ per tooth
Full Arch (All-on-Four)
A full arch solution using 4-6 implants per jaw.
£600 - £14,000 per jaw
Traditional Full Mouth Implant
Cost of replacing all teeth with standard implants.
£28,000+
What is an Immediate Load Implant?
Immediate Load Dental Implant, from the word itself, simply implies a quick placement of oral devices. The process involved in immediate load dental implantation, called immediate loading is known for its swift outcome. Immediate loading takes up to 48 hours or less to be completed, unlike other esthetic dental procedures which takes several months to finish. Immediate load dental implants are sometimes called “same day smile” or “teeth in a day” since it is able to provide teeth restoration in just a single session.
The origin of immediate load dental implant first emerged in the year 1976 from the study of two odontologists surnamed Schulte and Heimke whose discovery was initially coined as “immediate implant”. The procedure reported inserting dental implants into recently created extraction sockets, which were then left to naturally heal.
Their research demonstrated that rapid implant insertion was a practical method able to produce positive results given that several requirements were satisfied, such as sufficient bone volume and density, correct implant location, and stabilization. The idea of immediate dental implant placement was further developed since then which enabled the insertion of a permanent tooth restoration on the same day as implant surgery.
There are a few materials used in the immediate loading for dental implants. One of these materials is a screw-like post representing the dental implant which is mostly made up of titanium. The titanium post serves as the foundation of the false tooth. Another material needed for the procedure is the abutment which is often made up of zirconia or titanium. The abutment is the fastener which joins the prosthesis to the post.
The prosthesis is a necessary element among all dental restoration procedures as well. Dental prostheses, including bridges and crowns, are made up of what are known as prosthetic components. They are composed of porcelain, metal, composite resin, or other materials. Furthermore, bone grafts are potentially necessary in some circumstances. Bone grafts are utilized to give the implant more support, which are either made up of human tissue or synthetic materials.
The immediate load dental implant is suitable for patients who have lost a single or most number of teeth. However, the patients need to meet a number of conditions to qualify for the procedure. These requirements comprise of the following; having neighboring teeth with satisfactory gingival and periodontal health, having sufficient amount and quality of bone, and having a regular periodontal cleaning.
The term “immediate” in Immediate loading dental Implant, is commonly defined as “within 48 hours”, which relates to its capability to provide swift dental effects on one’s oral health and image in just one to two days. The immediate load dental implant is a Dental Implant Technique otherwise coined “immediate function” which provides adequate primary stability. It is developed in response to patients' increasing need for expedited tooth restoration and shorter time to stabilize tooth growth.
How do I know if I'm a candidate for Immediate Load Implant?
There are a number of factors worth noting when considering an immediate load implant. Patients who have lost one to several teeth and are noticing signs of dental deterioration are suitable to undergo the immediate load implant. However, there are specific requirements that a patient needs to meet in order to qualify for the procedure. Qualifications for load implants are similar to traditional dental implants which include overall dental health, lack of tobacco use, and sufficient bone quality. Additionally, patients need to ensure that nearby teeth are in good gingival and periodontal health and that they are receiving periodontal cleaning on a regular basis.
Patients must have general good oral health, including robust gums and teeth, as well as sufficient bone quality to support the implant. They must be non-smokers or be willing to quit tobacco use prior to actually having an implant placed. It is because tobacco use harms dental health and contributes to the likelihood of implant failure. Additionally, the gums and periodontal condition of the neighboring teeth must be healthy for the implant to be successful. Patients need to adhere to routine periodontal cleaning as well, in order to maintain good oral health and avoid implant failure. Ultimately, the patient's dedication to keeping good dental health and compliance with their dentist's care recommendations are key factors in the success of load implants.
What are the Dental Assessments Before an Immediate Load Implant?
Listed below are some of the assessment procedures that a patient needs to undergo before an immediate load implant.
Condition of the patient: One of the foremost evaluations that must be done prior to immediate load implant is to assess the overall condition of the patient. The patient's health must be carefully considered prior to undertaking an instantaneous load implant operation. Dental evaluations are carried to ascertain whether the patient's overall oral health is suitable for the therapy or otherwise. Having poor dental hygiene, and smoking are things that negate early loading. Some other tests that must be conducted to complete the clinical examination include radiographic imaging, occlusion assessment, and diagnostic wax-up to mimic the final restoration. Additionally, the dentist looks at the patient's dental and medical history as well. These evaluations aid in locating any underlying issues, including periodontal disease, reduced bone, or an unstable bite, which are able to compromise the effectiveness of the implant treatment. The dentist creates a custom treatment strategy and decides whether an instant load implant is the right alternative for the patient by assessing the patient's general health.
Occlusion and Dental Wear of the teeth: Immediate load dental implants are growing in popularity because they offer patients an immediate and practical replacement for lost teeth. Therefore, it is crucial to carry out a full dental examination to examine the patient's occlusion and dental wear before inserting an instant load implant. The manner a person's teeth join together when they bite down is referred to as their occlusion. Any differences in the occlusion results in excessive stresses being placed on the implant, potentially leading to its failure. Evaluating the occlusion and finding any problems that need to be fixed is essential before inserting an implant. Dental wear is the term used to describe the gradual loss of tooth structure caused by a variety of factors, including aging, eating habits, and teeth grinding. The efficacy of the implant's installation and integration is impacted with the patient's substantial dental wear. It is essential to assess the level of dental wear and decide whether any pre-existing harm or abnormalities need to be fixed before implant installation, for such reasons. An accurate evaluation of dental wear and occlusion assists in the prevention of implant failure and guarantees the patient's satisfaction.
Condition of the dental bones: A sufficient amount of bone is necessary because insufficient bone is potential to compromise implant stability which result in recession, loss of papilla, and improper alignment. Dentists opt to use regenerative treatments, such as guided bone regeneration, orthodontics, and/or grafting, during the first stage of treatment when the quality and quantity of the bone are insufficient. Dental exams are crucial to determining the health of the dental bones prior to placing an instantaneous load implant. These evaluations provide dentists the chance to spot any existing oral issues that are potential to lower the success percentage of the implant. It must be examined to make sure the dental bone's framework is able to withstand a sudden load implant. The evaluation normally consists of a thorough dental examination, which often involves X-rays, 3D scans, and models of the patient's teeth and jaws. The dental bone structure plays the most role in whether or not an instant load implant is going to be successful. The quantity and quality of the bone must be assessed in order to decide whether the implant is successfully implanted. The implant has the potential to malfunction if the bone is not dense enough to handle the strain of chewing. A bone transplant sometimes requires fortification of the bone prior to implant placement in some circumstances. The dentist assesses the patient's overall dental health, medical history, and lifestyle choices before determining whether a bone graft is required. Dental examinations prior to an instant load implant are essential for assuring a successful and long-lasting implant, in general. Dentists create a customized treatment plan that caters to the patient's specific needs and assures the optimum outcome by diagnosing any pre-existing dental issues and assessing the dental bone structure.
Condition of supporting tissues: It is crucial to evaluate the wellness of other tissues affected by the implant. The dentist is authorized to demand for additional operations in order to enhance the patient's oral health if the examination reveals any problems with the supporting tissues. A bone graft, for instance, is potentially required to fortify the jawbone and provide a solid base for the implant. Treatment for gum disease is necessary to stop future bone and gum loss as well. Insufficient soft tissue leads to subpar aesthetic outcomes which is why a thorough analysis must be conducted before considering quick installation and loading. It is critical that repairs be made by reconstruction of soft tissue, bone, and tooth location if the presenting parameters are judged to be undesirable. Furthermore, surface implant treatments are sometimes necessary for the installation of immediate load implants. Acid etching, sandblasting, and the application of coatings like hydroxyapatite or titanium plasma spray are a few of the frequently utilized surface treatments for immediate load dental implants. These procedures increase the implant's stability and enable quicker bone fusion, allowing it to tolerate the forces of immediate loading.
What type of dentist is responsible for an Immediate Load Implant?
The type of dentist responsible for an immediate load implant are typically oral surgeons or periodontists. Dental professionals are sometimes categorized as to their level of competence and to the area of expertise in dentistry from which they practice.
Dental implant installations, including immediate load implants are most likely to be facilitated in the safest way by an oral surgeon due to their expertise in the field of oral surgery. Anyone who is concerned about the procedure is able to rest from panic attacks knowing that they are in good hands by having an oral surgeon to do the job. Periodontists, who focus on the structures that support teeth, are typically quite skilled at placing dental implants without any issues as well, given that periodontists often have more specialized training with regard to placing dental implants.
It is worth noting the dental professionals need to be genuinely competent when handling dental implant procedures such as the installation of immediate load implants. There are a number of characteristics that they need to have in order to be suitable for handling immediate load implant procedures. Among these characteristics include possessing competence and specialized training in implant dentistry which showcases their understanding of the concepts and procedures underlying the insertion of immediate load implants. Dentists need to have sufficient experience when it comes to handling immediate load operations to verify their skills in placing and restoring implants successfully. They need to have acquired access to tools like 3D imaging, guided implant placement, and CAD/CAM technology for building individualized restorations to facilitate immediate load implant treatments.
Furthermore, dentists must be skillful in paying particular attention to the patient's unique anatomical and cosmetic factors. They must be meticulous and detail-oriented, taking the time to make sure that the implant and restoration are appropriately positioned and aligned.
Additionally, dentists need to deliver patient-focused treatment throughout the implant placement and restoration procedure. Taking the time to understand the patient's requirements and concerns and provide individualized care and support must be a standard for all Dentist Types.
What is the process of an Immediate Load Implant?
The process of an immediate load dental implant installation takes a few steps. Immediate load dental implants are a particular kind of implant treatment in which a dental prosthesis is attached to the implant right away after it has been placed. Immediate loaded implants are usually inserted into the hard bone layer that lies above the porous bone. The layer of hard bone offers an instant, secure platform for the crowns and bridges while the implants progressively bond with the spongy bone.
The surgical procedure is typically performed in just a matter of hours. Patients are able to achieve tooth restoration within 48 hours at most, after implant placement. However, the whole procedure requires thorough planning and preparation beforehand. The planning itself, unlike the actual surgical procedure, takes several phases which includes initial consultation and data gathering, analysis of the bones and hard-tissues, analysis of the connection between the bone and surrounding soft tissues, presentation of patient care, and creation of a surgical guide.
The preparation begins when the patient speaks with the dentist through a consultation. The patient’s pertinent details are collected from there, which normally includes their personal data, medical and dental history, laboratory findings and other diagnostic casts. The dentist gathers other important details regarding the patient's personal preferences for the implants to be used in a way that is consistent with clinical and surgical realities. Subsequently, the dentist needs to assess the quality and availability of bone which is called the hard-tissue evaluation. Whether or not augmentation is required depends on the quantity of bone that is already present.
The dentist then evaluates the soft tissue or bone interaction between the implant site and the neighboring teeth, the alveolar crest, and the smile line. It is additionally in such a stage that the dentist determines the patient's gingival biotype as to thickness and shape. The next step is for the dentist to communicate the results to the patient in an comprehensible way. Any informed consent must start with such conversations as its foundation. Using the gathered data, a surgical guide is crafted where an impression of the patient's current dentition is taken as the basis. The procedure entails designing surgical and restorative procedures for the approved treatment strategy.
The actual surgery is conducted once the consultation, examination, and planning is completed. The placement for immediate loaded implants, for a single tooth often includes the removal of any defective teeth present in the arch and the installation of any necessary bone grafts.
The jawbone is made ready to accommodate the fixture of the dental implant. The implant is drilled through the jawbone, into the porous bone, and down into the lowest layer where the hard bone is situated. The hard bone provides a quick and strong foundation for the prosthesis, while the implants gradually integrate with the porous bone at the same time.
The period of time necessary for the implant to integrate or bind with the jawbone called osseointegration is then specified. The implant dentist uses optical scans or molds of the patient's mouth to create custom replacement teeth for them. The comfort of new teeth is experienced in a few quick appointments.
Patients who opt for a "teeth in a day" procedure for their complete arch must expect to have all of their unhealthy teeth removed first and go home with a temporary set of their new teeth. They are able to have the permanent ones installed once they return for the subsequent session.
What are the Benefits of an Immediate Load Implant?
Firstly, quick load implants stand out for their reduced treatment periods. They make it possible to attach the prosthetic teeth to the implant immediately, eliminating the waiting period that could last for several months with traditional implant methods. This implies that patients can walk out of the dental clinic on the same day as the implant operation with fully functional teeth. For instance, a patient needing to replace a tooth can have the replacement immediately, significantly shortening the overall treatment process compared to conventional implant procedures.
The high predictability of immediate load implants is another significant advantage. As the improvised teeth are attached right after implantation, it provides significant stability and support during the osseointegration process, reducing the chances of implant failure and improving the success rate. Consider a patient requiring a front tooth replacement; with quick load implants, the prosthetic tooth can be affixed as soon as the implant is in place, providing an immediate aesthetic improvement and relieving patient anxiety.
Moreover, immediate load implants offer a streamlined surgical process. Unlike conventional methods, which might necessitate multiple surgeries and an extended recovery period, immediate load implants make the procedure less complicated and invasive. The need for a second procedure to attach the teeth to the jawbone is potentially avoided, thus reducing the total number of surgeries required, along with their associated costs and recovery times. For example, a patient needing a replacement for a missing rear tooth, typically requiring multiple surgeries including a bone grafting procedure, can benefit from immediate load implants as they simplify the treatment and attach the artificial tooth immediately after the implant is set.
Lastly, immediate load implants contribute to enhanced patient satisfaction. The possibility of immediately replacing missing or failing teeth and avoiding prolonged healing periods is a compelling reason why patients opt for this method. The quicker restoration process leads to increased patient satisfaction. The treatment causes less pain, eliminates the need for interim dentures, and results in more aesthetically pleasing tooth restorations. In a scenario where a patient needs a front tooth replaced, the entire implant procedure can be completed in just a day or two, instantly improving their appearance and reducing the inconvenience of multiple appointments and recovery periods.
What are the Risks and Drawbacks of an Immediate Load Implant?
Immediate or quick load dental implants, while offering numerous advantages, also come with potential risks such as implant failure, oral infection, compromised aesthetics, increasing costs, and discomfort.
First and foremost, implant failure is a risk associated with quick load implants. This occurs when the implant becomes loose or stops working due to disintegration or inadequate bone support. For instance, dental implants might loosen or even fall out, necessitating further surgery and restoration.
Another risk is oral infection, which occurs when bacteria enter the pulp cavity and spread to the neighboring tissues in the mouth, resulting in gingivitis or other periodontal diseases. This could happen during the implant placement operation if the dental team does not follow the correct aseptic technique, leading to pain, swelling, and even a detrimental impact on the patient's overall health.
Compromised aesthetics is another potential downside of immediate load implants. This refers to the improper placement of dental implants that do not blend well with the surrounding teeth, often experienced by patients with certain types of bone loss or other aesthetic issues. Failure to consider unique anatomical and cosmetic concerns of a patient, such as the positioning of adjacent teeth or the shape of the gums, could result in an unnatural-looking smile.
Additionally, quick load implants might lead to increasing costs. The potential of needing additional treatments if the implant fails to integrate with the jawbone can add to the initial cost of the procedure. Supplementary procedures like removal of the loose implant, bone grafting to strengthen the bone, and placement of a new implant can significantly increase the overall expenditure.
Lastly, discomfort is a noted side effect of dental implants. Patients with quick load implants might experience pain or discomfort during the initial healing stage, especially if there's an infection. For instance, a patient may suffer discomfort, bruising, and swelling at the implant site after it has been inserted into the jawbone. These side effects can last from a few days to a week. A crown or bridge placed immediately after surgery can also be sensitive or uncomfortable, particularly if the restoration is not fitted properly to the patient's bite or if the implant is under too much pressure.
How Much is the Average Cost of Immediate Load Dental Implants?
The average cost of immediate load dental implants typically amounts from £600 to £14,000 for every jaw. Immediate load dental implants is otherwise coined as “All-on-four” because it typically employs four implants in one jaw to support the entire arch. Dentists employ five to six posts in place to supply insufficient bone density and foster teeth strength on other instances when the dental bone is weak.
The “All -on-four” dental implant, otherwise known as “same day teeth” or “teeth in a day” is anticipated to cost less than traditional dental implants which normally amounts to £2,000 per tooth or £28,000 per jaw. The cost of immediate load dental implants covers the payment for the implants themselves, the abutments and the prosthesis fitted to them.
Some of the factors affecting the price of immediate load dental implants consist of; the quantity of implants to be installed, the materials utilized, the location where the installation takes place, the practitioner’s expertise, and other additional procedures. The number of implants needed is one of the key elements which influence the cost of immediate load dental implants.
The price increases as additional implants are placed. The cost is additionally impacted by the type and quality of the materials utilized. Zirconia or ceramic implants, for instance, cost more than conventional titanium implants since they are more rare and recently discovered than the former.
Furthermore, the location of the treatment is another element that impacts the price of immediate load implants. The price of dental implants has the potential to change depending on the area's cost of living and operating expenses. The cost varies depending on the practitioner's level of experience as well.
Those who are more skilled and experienced in dental implant installations are expected to charge more for their services in comparison to less experienced practitioners. Supplemental treatments like bone grafting or sinus lift surgeries are sometimes necessary before or after the implant installation. These extra procedures increase the Cost of Dental Implant as a result.
There are several variables that are capable of affecting how much quick load dental implants cost. It is worthwhile to go through all the alternatives and expenses with a licensed dentist before beginning any treatment plan. It is to assure getting the greatest treatment available for an affordable price.
Is there any risk of complications after a successful Immediate Dental Implant?
Yes, risk of complications are potential to occur after a successful immediate dental implant. There are still some potential dangers and issues even though instant dental implants are typically regarded as a secure and reliable tooth replacement solution. Implant failure, infection, nerve injury, bone loss, and implant displacement are a few of these risks that are anticipated to occur. Implant failure typically results from incorrectly merging of the implant to the jawbone. It occurs for a variety of reasons, including insufficient bone density, infection, or damage during implant implantation.
Additionally, an infection at the implant site or in the surrounding gum tissue is a risk factor for implant failure and other issues. Nerve damage is expected to be a problem with immediate dental implants when the implant is positioned too close to a nerve or if the nerve is harmed during the implantation process.
Numbness, tingling, or a loss of sensation in the affected area are potential signs of nerve injury. Furthermore, bone loss is expected to take place as well if the implant is not adequately positioned or if there is insufficient bone to support the implant. The implant has the potential to make a shift if it is positioned too closely to nearby teeth or if the supporting bone is insufficient.
The majority of patients who receive rapid dental implants have positive results and recovered chewing capacity with the right treatment and subsequent follow-up visits. Patients need to talk with their dentist about the potential dangers and advantages of the operation before receiving treatment. However, while these Dental Implants Risks and Complications are potential to occur, they are rather uncommon.
Is an Immediate Dental Implant a long-term solution?
No, even while rapid dental implants are able to replace missing teeth quickly, they are not always successful in the long run. Patients who are in search of a swift and practical technique for replacing lost teeth are increasingly turning to rapid dental implants. Quick dental implants, as the name implies, involve drilling a dental post right away following tooth removal. There is no need for a recovery time, and the patient receives a replacement tooth right away as a result.
Nevertheless, the stability of the implant itself is one of the most important elements. An instant dental implant needs to properly integrate with the jawbone and develop adequate stability to sustain a permanent dental restoration and be successful over the long run.
Quick implants are potential to occasionally fail to integrate adequately, leading to a failed implant and the requirement for further treatment. The patient's oral hygiene practices are an additional important aspect in the long-term effectiveness of an instant dental implant.
Patients must practice proper oral hygiene for the implant to last a long time and to be free from infection. Additionally, routine dental exams and cleanings are necessary to monitor the stability of the implant and identify any potential problems early on.
There are instances when immediate load implants are able to serve long-term tooth replacement results, provided that the instant dental implant integrates correctly and the patient practices appropriate oral hygiene. Nevertheless, it is essential to speak with a skilled dental expert to ascertain whether an instant dental implant is the best option for one’s particular circumstance.
Is there an alternative to an Immediate Dental Implant?
Yes, there are other alternatives to an immediate dental implant. Some of the other options include; conventional dental implants, removable dentures, fixed bridges, resin-bonded bridges, and many more.
Conventional dental implants are typical dental implants which are put into the jawbone during a single operation. A dental prosthesis such as a crown is affixed to the top of the implant after many months of healing and integration. Such a technique has a great success record even though it is expected to take more time. It is frequently chosen by patients who have suffered considerable jawbone loss but are not suitable candidates for rapid dental implants.
Another alternative is the removable Dentures. These are intended for people who have had the majority or all of their teeth removed. Detachable dentures are a cheaper alternative than dental implants. They are simple to take out for cleaning and maintenance since they are custom-made to suit the patient's mouth. Nevertheless, removable dentures have the potential to not offer the same level of stability as dental implants due to the fact that it is occasionally painful and needs revisions over time.
Moreover, fixed Bridges are dental crowns used to secure a false tooth to nearby healthy teeth. Patients who have healthy teeth next to the missing tooth are viable to find such a solution to be a good alternative. However, it sometimes necessitates removing healthy dental structure from those teeth in order to bolster the bridge.
Resin-Bonded Bridges, on the other hand, entail employing a metal or porcelain wing to secure a prosthetic tooth to nearby natural teeth. Such an alternative is a good one for patients who have healthy adjacent teeth although it is sometimes not appropriate for wider gaps or regions where there are strong bite pressures. Resin-bonded bridges are otherwise called "Maryland bridges."
Patient's specific circumstances, such as the number of missing teeth, the condition of their jawbone and nearby teeth, and their general oral health, determines the optimal tooth replacement option. Finding the best Alternatives of Dental Implants is normally aided by consulting with a skilled dental expert.
Is it possible to have an Immediate Dental Implant with two or more teeth?
Yes, it is viable to have an immediate dental implant with two or more teeth. Immediate dental implants, in some situations, are utilized to replace one or more lost teeth. The location, quantity of dental posts, and the patient’s overall oral wellness are all important considerations. These things help in determining whether urgent dental posts are an efficient choice for many missing teeth or not.
It is feasible to replace two or more teeth with instant dental implants. However, it requires more preparation and thought than substituting a single tooth. The quantity and quality of the jawbone in the region where the missing teeth are placed is one of the most important aspects to take into account. Additional bone grafting procedures are sometimes required if there is no sufficient bone to sustain several implants.
The placement of the lost teeth must be taken into account as well. A single implant-supported repair such as a bridge is viable to be used in substituting several individual implants, provided that the missing teeth are all in the identical location of the mouth. It lessens the challenge and price of the process while still offering a reliable, long-term tooth replacement alternative.
Additionally, it is vital to keep in mind that instant dental implants for numerous missing teeth sometimes necessitate a lengthier healing time than those for singular teeth. It is because several implant sites require longer time for the bone and soft tissues to mend and incorporate.
There are numerous missing teeth that are viable to be replaced with instant dental implants in some circumstances. Nevertheless, it relies on the patient's particular circumstances and often requires thorough planning and consideration by a skilled dental practitioner. A thorough assessment and consultation assists in making determination if urgent dental implants are a suitable course of treatment.
What is the difference Between an Immediate Load Dental Implant and a Traditional Implant?
The difference between an immediate load dental implant and a traditional implant is evident in several aspects. These aspects specifically include the healing process and duration they require, the procedure used in each treatment, the costs involved, and their success rates.
Conventional dental implants normally require a lengthy healing process. It usually takes about three to six months before they are able to successfully support a replacement tooth. The installation of conventional dental implants is attainable through a phenomenon called Osseointegration. Osseointegration causes the implant to bond with the jawbone.
On the other hand, immediate load implants are able to sustain a restoration either right away or a few days following implant insertion. The utilization of unique implant designs and materials that enable instant stability and integration with the jawbone paves the way to making immediate load implants successful.
The installation of an instant load dental implant is quite similar to that of a conventional implant. The primary distinction is that the restoration or prosthesis in immediate load implants is affixed to the implant itself immediately or just a short while. Traditional implants on the contrary, need to be placed surgically, which requires a second appointment to place the restoration or prosthesis. Immediate load implants need fewer visits which are typically finished in just one to two days.
Immediate load dental implants and conventional dental implants differ in terms of cost. Immediate load dental implants are normally more expensive than conventional implants. The average price for immediate load implants, otherwise called “teeth in a day” ranges from £10,000 to £40,000 for a full teeth set. Traditional dental implants, on the other hand, normally cost from £1500 and £2,500 for a single tooth.
The great difference in price is due to the specific designs and materials required in instant load implants. Additionally, the swift turnaround time that instant load implants provides is potential to necessitate more frequent follow-up dental appointments in the long run, which is capable of raising the overall cost.
However, when it comes to success rate, traditional dental implants provide a more advantage.
Immediate load dental implants have the potential to offer a lesser success rate than conventional implants. It is due to the increased stresses that immediate load implants are exposed to throughout the healing phase, which results in implant failure. Traditional implants are more successful because they permit better osseointegration and a longer healing time.
Immediate load implants are indeed advantageous for patients who urgently want a tooth replacement or prefer to bypass a protracted healing process. On the contrary, traditional implants are an option for those who are prepared to endure a longer healing time and have a higher likelihood of implant success.
It is worth noting that a patient's personal needs and preferences must be accounted for to determine which Dental Treatment Implant is more suitable for them. It is essential to explore these chances with a dentist or oral surgeon in order to choose the best course of action for each patient.