Born in Stuttgart, Germany in 1979, Dr. Dt. Erdem Çetin began his education in Kırşehir and completed his schooling there, from primary school through to high school. He then successfully completed his university education at the Faculty of Dentistry at 19 Mayıs University in Samsun.
Modern dental implant techniques and technology have transformed the industry by providing patients with a durable and dependable replacement for lost teeth. Dental implants are a common choice for those who have lost one or more teeth as a result of trauma, illness, or aging. Implants provide patients with a secure and at-ease grin with their resemblance to natural teeth in appearance, feel, and functionality.
Dental implant technology has greatly developed over time, giving dentists a variety of alternatives to select from. Today's dental implants are available in a variety of forms, sizes, and materials, enabling a personalized approach that is adjusted to meet the individual demands of every patient. The implant procedure is now more accurate and effective because of cutting-edge methods including guided implant placement, computer-aided design and manufacture (CAD/CAM), and 3D imaging.
Patients benefit from greater aesthetics, a higher success rate, and quicker recovery times because of cutting-edge dental implant methods and technology. The most recent developments in dental implant technology have made it simpler than ever before to repair a smile and reclaim confidence, regardless of whether it requires a single tooth implant, several teeth implants, or full-arch implants.
What are the Advanced Dental Implant Procedures that exist today?
Modern dental implant processes and technology.
Listed below are the Advanced Dental Implant Procedures that exist today.
Advanced Soft Tissue Grafting: The operation is frequently required when a patient has experienced gum recession, which leaves the gum line surrounding the implant looking unnatural. A little quantity of tissue is taken from the body's roof of the mouth or another location during soft tissue grafting and transplanted into the gums around the implant. It improves the appearance of the gum line and stops additional gum recession. Growth factors are used in advanced soft tissue grafting procedures to hasten the healing process.
Advanced Bone Grafting: The jawbone is not sufficient to support an implant, given that a patient has lost bone as a result of illness or trauma. Advanced bone grafting procedures entail constructing the patient's jawbone from donor bone material or bone taken from another region of the patient's body, such as the hip or tibia. The procedure is normally carried out in phases and takes many months to complete. Growth factors are used in more sophisticated bone grafting procedures to hasten the healing process.
Advanced Sinus Lift: An implant is not able to be placed if the sinuses, which are above the top teeth, are too near the jawbone. A sinus lift is required when there is not enough bone in the upper jaw. The sinus membrane is raised during the treatment, and bone graft material is added to make more room for the implant. Advanced sinus lift procedures require the use of specialized tools and equipment in order to reduce pain and hasten recovery.
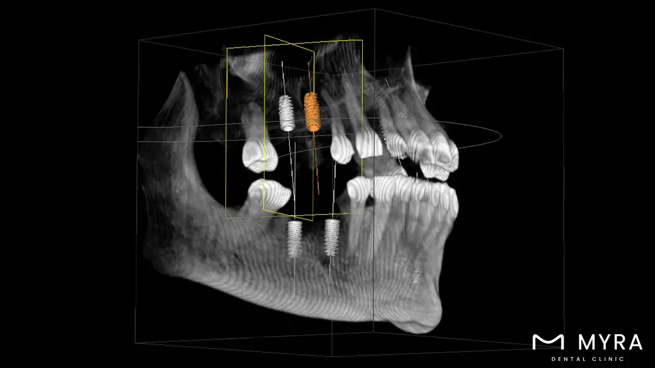
Digital implant planning: The method makes use of 3D software and imagery to more precisely plan the location of the implant. Dental professionals employ sophisticated computerized implant planning to take into consideration a patient's particular mouth and jaw features, including bone density and nerve location. Dental professionals reduce the chance of implant failure and other problems by using digital implant planning to identify possible issues before the operation.
Antibacterial Coating: Modern implant technology uses antibacterial coatings to lower the risk of infection and implant failure. The implant and the abutment, which joins the implant to the crown, get coatings. Antibacterial coatings decrease the risk of inflammation, stop the growth of dangerous germs, and lengthen the lifespan of implants.
Computer Aided: Dental implant surgery with computer guidance improves accuracy and precision by using a computer to guide the placement of the implant. Less pain, a quicker recovery, and smaller incisions are all benefits of computer-guided implant surgery. Additionally, the computer assists dentists in steering clear of delicate oral structures like blood vessels and nerves, which lowers the likelihood of difficulties.
Zygomatic Implants: There is not enough bone to sustain an implant in the usual implant position under some circumstances. Zygomatic implants are utilized in such situations. Zygomatic implants are used to stabilize the upper jaw and are inserted into the cheekbone (zygoma). Patients who have had considerable bone loss in the upper jaw frequently employ the method.
Dental implants are now easier to get, more effective, and more pleasant for patients because of advances in dental implant treatments and technology. Additionally, the developments have increased success rates, sped up recovery periods, and enhanced aesthetics. The dental implant process improved by using additional cutting-edge methods and tools, including laser dentistry, platelet-rich plasma (PRP) therapy, and bespoke abutments, in addition to the above-mentioned processes. Patients have a relaxed and assured smile that seems and feels natural thanks to cutting-edge technology and techniques.
1. Advanced Soft Tissue Grafting
Advanced soft tissue grafting is frequently essential, when a patient has undergone gum recession. Gum recession is brought on by periodontal disease, excessive brushing, or simply aging naturally. The tooth root becomes visible and an unnatural-looking gum line develops around the implant, when the gums recede. It gives rise to an unpleasant appearance and even more problems, such as tooth loss.
A little quantity of tissue is taken from the body's roof of the mouth or another location during the soft tissue grafting surgery and transplanted into the gums around the implant. The implant is meticulously wrapped in tissue before being sewn shut. The gum line seems more natural, and additional gum recession is less likely to occur once the graft has had time to integrate with the surrounding tissue.
Connective tissue grafts and free gingival grafts are two of the many cutting-edge soft tissue grafting methods that are accessible. Connective tissue grafts take tissue from beneath the surface of the palate, while free gingival grafts take tissue straight from the palate. Growth factors are used in advanced soft tissue grafting procedures to hasten the healing process.
Laser technology is one of the cutting-edge techniques utilized in soft tissue grafting. The tissue from the donor site is removed more precisely, causing less discomfort and hastening the healing process with the use of laser technology. The soft tissue grafting process is planned using digital imaging technologies. It makes it possible for dentists to see the intended result and make necessary modifications, leading to a more exact and accurate process.
Modern soft tissue grafting methods enhance the implant's look and avoid subsequent issues. A soft tissue grafting technique provides a patient with a more realistic-looking smile and better dental health. It's crucial to remember that not every patient requires a soft tissue graft. The extent of the gum recession and other considerations, such as the patient's general oral health, determine if a graft is necessary.
Modern dental implant surgeries must use advanced soft tissue grafting techniques. The patient's whole experience is enhanced by the use of cutting-edge equipment and procedures, which lead to a surgery that is more accurate and comfortable. Soft tissue grafting assists to enhance the implant's appearance and stop subsequent issues, resulting in a more realistic-looking smile and better dental health.
Connective tissue grafts, free gingival grafts, and pedicle grafts are just a few of the several kinds of soft tissue grafts that are employed throughout the dental implant procedure. The most typical kind of soft tissue transplants, known as connective tissue grafts, include removing tissue from under the palate's surface. The tissue is sewn into the gums around the implant site, after that. Free gingival grafts include applying tissue to the gums around the implant straight from the palate. Tissue from a neighboring tooth is rotated to cover the exposed implant region with pedicle grafts.
Modern techniques are applied in addition to laser technology and digital imaging during soft tissue grafting operations. Some dentists employ platelet-rich plasma (PRP), a growth factor, to hasten the healing process, for instance. High concentrations of growth factors found in PRP, which is made from the patient's own blood, encourage tissue regeneration and repair.
Soft tissue grafting for dental implants has several advantages, one of which is that it enhances the implant's overall appearance. The gum line around the implant seems unnatural when the gums recede, which is unsightly. Dentists build a gum line that looks more natural and mimics the patient's natural gum tissue by employing soft tissue grafting. It makes one grin more attractive and makes one feel more confident.
It is crucial to know, not all patients require soft tissue grafting throughout the dental implant process. The extent of the gum recession and other considerations, such as the patient's general oral health, determine if a graft is necessary. Modern methods and equipment make the process more efficient and pleasant, leading to a shorter recovery period and a better overall result.
Modern dental implant treatments need sophisticated soft tissue grafting, which is crucial. The precision and accuracy of the process are increased by the use of cutting-edge technology and procedures, making the patient's experience more pleasant and effective. Soft tissue grafting enhances the implant's overall appearance, which leads to a more appealing smile and more self-assurance.
2. Advanced Bone Grafting
Advanced bone grafting is frequently required when a patient has suffered from jaw bone loss. Injuries, aging naturally, or periodontal disease all lead to bone loss. Advanced bone grafting procedures are performed to build up the bone and establish a solid foundation for the implant when there is not enough bone in the jaw to sustain one.
Advanced bone grafting is the process of transferring bone from one area of the patient's body to another or from a donor source to an area where bone loss has occurred. The graft material is fixed in place and given time to heal for a while after that. The environment for the implant is made more solid and supportive when the graft merges with the existing bone.
Bone grafts of various kinds, including autografts, allografts, and xenografts, are utilized during the dental implant procedure. The patient's hip or tibia are used as sources of bone, when doing an autograft. Allografts use bone from a donor source in contrast to xenografts, which use bone from an animal source.
Computer-guided surgery is one of the cutting-edge methods utilized for bone grafting. The grafting operation is planned using 3D imagery and software to guarantee that the graft material is placed in the right position during computer-guided surgery. It lessens the possibility of problems and enhances the procedure's final result.
The use of growth factors during bone grafting is another cutting-edge approach. Growth factors are organic compounds that support tissue repair and regeneration. Growth factors are employed during the bone grafting surgery to speed up the healing process and encourage the integration of the graft material with the existing bone.
Using cutting-edge technology and techniques makes it quicker and more comfortable for the patient, although bone grafting is a difficult and drawn-out operation. The most cutting-edge treatment is being provided to patients who need bone grafting as part of their dental implant process, ensuring that their implant has a sturdy and supportive base.
Modern dental implant techniques involve advanced bone grafting, which is crucial. The precision and accuracy of the process are increased by the use of cutting-edge technology and procedures, making the patient's experience more pleasant and effective. What is bone grafting? increases the stability and durability of the implant by providing the patient with a solid and supportive foundation for their new teeth. Dentists provide their patients with the greatest results and assist them in achieving a healthy and attractive smile by employing the most recent advancements in bone grafting technology.
Synthetic bone graft materials are applied during the bone grafting procedure in addition to autografts, allografts, and xenografts. Materials like calcium phosphate are used to make the implant itself or its coating. Dental implants are artificial tooth roots that are placed in the jawbone to provide a stable base for a replacement tooth or bridge. The materials used in dental implants must be biocompatible, meaning they are not harmful to the body and do not cause an immune response or rejection which replicate the structure and content of real bone, and are used to make synthetic bone transplant materials. Traditional bone grafts are not as successful as synthetic bone graft materials, but they have a quicker recovery period.
Bone morphogenetic proteins are potentially used in more sophisticated bone grafting procedures. (BMPs). BMPs are administered to hasten the healing process during bone grafting which are naturally occurring proteins that encourage bone development. BMPs are either injected into the bone or directly administered to the graft material to encourage bone formation.
The appropriate integration of the graft material with the existing bone is one of the difficulties of bone grafting for dental implants. Dentists employ a method called directed bone regeneration to solve the issue. (GBR). GBR entails covering the graft material with a barrier membrane in order to promote the formation of new bone and stop the migration of soft tissue into the graft site.
Modern bone grafting methods have transformed the field of dental implants and increased the number of patients who effectively get dental implants. Using cutting-edge technology and techniques makes it quicker and more comfortable for the patient, although bone grafting is a difficult and drawn-out operation. Dentists provide their patients with the greatest results and assist them in achieving a healthy and attractive smile by employing the most recent advancements in bone grafting technology.
3. Advanced Sinus Lift
An advanced sinus lift operation is frequently required when a patient has undergone bone loss in the upper jaw and there is insufficient bone to support a dental implant. The sinus membrane is lifted during the process to make more room for bone grafting and implant implantation.
The sinus membrane is lifted away from the underlying bone by the dentist after making an incision in the gums during the treatment. The area left by the raised membrane is subsequently filled with a bone transplant material. The graft material is allowed to cure, allowing the new bone to meld with the preexisting bone for many months. The implant is inserted into the new bone once the graft has fully integrated.
The lateral window sinus lift and the crestal sinus lift are two examples of sophisticated sinus lift methods. A tiny incision must be made on the side of the jawbone in order to create a window through which the sinus membrane is elevated. The procedure is known as a lateral window sinus lift. A tiny hole must be drilled in the bone close to the implant site for the crestal sinus lift procedure, which includes lifting the sinus membrane using a specific tool.
The accuracy and precision of the graft is increased during the sinus lift treatment by utilizing advanced technologies. A form of imaging technology called cone-beam computed tomography (CBCT) produces three-dimensional pictures of the sinuses and the surrounding bone. Dentists more precisely arrange the sinus lift surgery and view the structure of the sinuses with the use of CBCT. Piezoelectric technology improves the procedure's accuracy and efficiency, minimizing the patient's suffering.
Autografts, allografts, and xenografts are just a few of the bone graft materials that are employed during the sinus lift surgery. The patient's hip or tibia are used as sources of bone, when doing an autograft. Allografts use bone from a donor source in contrast to xenografts, which use bone from an animal source.
Patients who have undergone bone loss in the upper jaw benefit from advanced sinus lift methods to effectively receive dental implants. Dental professionals make sure that the process is exact, effective, and comfortable for the patient by using cutting-edge equipment and procedures. Advanced sinus lift procedures allow patients to maintain a healthy, attractive smile for years to come.
It's crucial to keep in mind that not every patient who has dental implants needs to have a sinus lift operation. The extent of the bone loss, as well as other aspects including the patient's general dental health, determine if a sinus lift is necessary. Modern methods and equipment make the operation more effective and pleasant, leading to a shorter recovery period and a better overall result for patients who do need a sinus lift, though.
Modern dental implant surgeries must use advanced sinus lift methods. The treatment is carried out with more precision and accuracy thanks to the use of state-of-the-art tools and techniques, which improves the patient's experience and results. Patients with bone loss in the upper jaw benefit from sinus lift operations to guarantee that they effectively obtain dental implants, therefore enhancing their general oral health and quality of life.
Getting the graft material to effectively integrate with the existing bone is one of the difficulties of the sinus lift technique. Dentists employ a method called directed bone regeneration to solve the issue. (GBR). GBR entails covering the graft material with a barrier membrane in order to promote the formation of new bone and stop the migration of soft tissue into the graft site.
Growth factors are used in more advanced sinus lift procedures. Growth factors are organic compounds that support tissue repair and regeneration. Growth factors are used during the sinus lift treatment to hasten the healing process and encourage the integration of the bone graft material.
Advanced sinus lift techniques lessen the need for numerous treatments, which is one of its advantages. Patients have needed several operations to develop enough bone for a dental implant in the past. However, dentists frequently complete both the sinus lift treatment and implant insertion in a single visit thanks to modern technology and methods.
It is significant to remember that there is still a possibility of problems even if sophisticated sinus lift procedures enhance the procedure's overall result. Patients endure discomfort, edema, and bleeding, after the surgery. Implant failure or infection happen in rare instances. Patients adhere to their dentist's recommendations for post-operative care and attend follow-up consultations to make sure the implant is healing properly.
Modern dental implant surgeries must use advanced sinus lift methods. The precision and accuracy of the process are increased by the use of cutting-edge technology and procedures, making the patient's experience more pleasant and effective. Dentists give their patients the finest potential results and assist them in achieving a healthy and attractive smile by employing the most recent advancements in sinus lift technology.
4. Digital Implant Planning
Dental implants are placed with better accuracy and precision thanks to digital implant planning with the help of modern technology. Dentists see the patient's jawbone and surrounding components using three-dimensional imaging software with digital implant planning. It enables them to prepare the ideal spot and angle for the dental implant prior to the procedure.
A CT scan or cone-beam computed tomography (CBCT) scan is utilized to obtain a three-dimensional picture of the patient's jawbone during the digital implant design phase. The dentist then edits the picture and simulates the implantation of the dental implant by loading it into specialised software.
Digital implant planning offers a number of advantages, compared to conventional implant placement methods. One of the main advantages is that it lessens the need for invasive treatments and aids in implant surgery success. The risk of implant failure is decreased if the dentist places the implant precisely to prevent harming nearby nerves or blood vessels.
The ability to put the implant with greater accuracy is a further advantage of digital implant planning. The dentist decides on the right size, shape, and angle for the implant to get the best functionality and cosmetic outcomes. Additionally, precision implant placement made possible by computer-guided implant surgery lowers the chance of problems and enhances the procedure's overall success.
Other components of the implant surgery, such as bone grafting or sinus lift operations, are planned using digital implant planning. The dentist detects possible dangers or impediments and determines the best surgical strategy by seeing the patient's anatomy in three dimensions.
Digital implant planning has several benefits, one of which is that it enables a more individualized approach to care. Digital implant planning software accounts for the patient's particular anatomy and offers a personalized treatment plan that is catered to their individual requirements.
An essential component of contemporary dental implant treatments is digital implant planning. The precision and accuracy of the process are increased by the use of cutting-edge technology and procedures, making the patient's experience more pleasant and effective. Dentists provide their patients with the greatest results and assist them in achieving a healthy and attractive smile by leveraging the most recent developments in digital implant planning technology.
Problems are still a possibility despite the fact that computerized implant planning enhances the procedure's ultimate result. Patients endure discomfort, edema, and bleeding after surgery. Implant failure or infection happen in rare instances. Patients adhere to their dentist's recommendations for post-operative care and attend follow-up consultations to make sure the implant is healing properly.
Digital implant planning is an essential tool for contemporary dental implant operations. The precision and accuracy of the process increased by the use of cutting-edge technology and procedures, making the patient's experience more pleasant and effective. Dentists provide their patients with the greatest results and assist them in achieving a healthy and attractive smile by leveraging the most recent developments in digital implant planning technology.
Dental professionals build personalized surgical guides using computer-aided design (CAD) and computer-aided manufacture (CAM) techniques thanks to digital implant planning. The guidelines are made using the computerized implant plan in order to guarantee that the implant is placed precisely throughout the procedure. Using surgical guides that are created to order lowers the chance of mistake and improves operation precision.
A more simplified and effective implant technique is another advantage of computerized implant planning. The dentist needs to take many impressions of the patient's teeth and jawbone when using conventional implant placement methods. Digital implant planning eliminates the need for several impressions by using the CT or CBCT scan to produce an accurate 3D representation of the jawbone. It decreases the amount of appointments needed for the implant operation and saves time.
Virtual reality technology is potentially used in digital implant planning. A virtual model of the patient's mouth is created using virtual reality technology, and the implant operation is practiced there. It enables the dentist to simulate the surgery in a virtual setting and see any potential difficulties or barriers before the actual surgery.
Digital implant planning is being used more often during dental implant surgeries. Digital implant planning is anticipated to become the industry standard of care for dental implant operations as technology advances.
An essential component of contemporary dental implant treatments is digital implant planning. Modern techniques and technology are used to improve the process' precision and accuracy, which improves the patient's experience and increases its effectiveness. Dentists are able to deliver the best outcomes to their patients and help them achieve a beautiful, healthy smile by utilising the most recent advancements in digital implant planning technology.
5. Antibacterial Coating
Modern dental implants utilize an antibacterial covering to lower the risk of infection and raise the success rate of the treatment. The coating, which is put on the implant's surface, aids in limiting the development of dangerous microorganisms. It is crucial since postoperative infections and implant failure are still major concerns in dental implant surgery.
Antibacterial coatings on dental implants help lower the risk of infection and increase the procedure's long-term success. Bacterial development around implants is a common reason for implant failure since it induces inflammation and bone loss. Dentists prevent the formation of germs and enhance the integration of the implant with the surrounding bone tissue by employing antibacterial coatings.
Dental implants are treated with a variety of antimicrobial coatings, including chlorhexidine, titanium dioxide, and silver nanoparticles. Antimicrobial compounds are released by the coatings into the surrounding tissue, where they help kill bacteria and lower the risk of illness. Silver nanoparticles have been demonstrated to be extremely efficient at inhibiting bacterial growth, while titanium dioxide has been demonstrated to have a dual impact of inhibiting bacterial growth and encouraging bone development. It has been demonstrated that chlorhexidine, a substance frequently found in oral hygiene products, is beneficial in decreasing bacterial development on dental implants.
Antibacterial coatings lessen the requirement for antibiotics following implant surgery, which is one of their advantages. Antibiotics are frequently administered; however, excessive use of the drugs results in the emergence of bacteria that are resistant to them in order to avoid infection following dental implant surgery. Dentists lessen the need for antibiotics and contribute to the development of antibiotic-resistant bacteria by applying antibacterial coatings.
Numerous methods, including electrospinning, chemical vapor deposition, and plasma spraying, are used to apply advanced antibacterial coatings. The coating is applied precisely and spread uniformly throughout the implant's surface with the use of such methods. Dentists further increase the success rate of the implant process and lower the risk of problems by using cutting-edge methods.
An essential component of contemporary dental implant techniques is antibacterial coating. The success rate of the surgery is increased, and the chance of problems is decreased, by using cutting-edge technology and procedures. Dentists provide their patients with the greatest results and assist them in achieving a healthy and attractive smile by leveraging the most recent developments in antibacterial coating technology.
It is crucial to remember that there is still a danger of problems even if antibacterial coatings enhance the procedure's final result. Patients endure discomfort, edema, and bleeding, after the surgery. Implant failure or infection happen in rare instances. Patients adhere to their dentist's recommendations for post-operative care and attend follow-up consultations to make sure the implant is healing properly.
An essential component of contemporary dental implant techniques is antibacterial coating. The precision and accuracy of the process are increased by the use of cutting-edge technology and procedures, making the patient's experience more pleasant and effective. Dentists use cutting-edge antimicrobial coating technology to provide patients the best possible outcomes and help them get the healthy, beautiful smiles they deserve.
There are several ways to apply antibacterial coatings to the implant surface, including physical vapor deposition, electrochemical deposition, and sol-gel coating. The techniques provide exact control over the coating's thickness and homogeneity, producing a coating that is both highly efficient and long-lasting.
Some antimicrobial coatings encourage bone resorption surrounding the implant. It is significant because the dental implant must fuse with the surrounding bone tissue for the treatment to be successful. The antimicrobial coating contributes to the development of a favorable environment for bone formation, enhancing the implant procedure's long-term success.
The ability to apply antibacterial coatings to lower the risk of peri-implantitis, a disease in which the soft tissue around the implant becomes inflamed and infected, is another advantage of the coatings. Peri-implantitis is a serious risk in dental implant surgery since it leads to implant failure. Antibacterial coatings help reduce peri-implantitis and increase the overall success of the implant operation by slowing the growth of germs surrounding the implant.
The fact that antibacterial coatings are expensive is one possible drawback. The long-term advantages of lowering the likelihood of implant failure and postoperative infections exceed it, although the initial expense is higher.
It is crucial to remember that there is still a danger of problems even if antibacterial coatings enhance the procedure's final result. Patients endure discomfort, edema, and bleeding, after the surgery. Implant failure or infection happen in rare instances. Patients adhere to their dentist's recommendations for post-operative care and attend follow-up consultations to make sure the implant is healing properly.
An essential component of contemporary dental implant techniques is antibacterial coating. The precision and accuracy of the process are increased by the use of cutting-edge technology and procedures, making the patient's experience more pleasant and effective. Dentists provide their patients the greatest results and assist them in achieving a healthy and attractive smile by leveraging the most recent developments in antibacterial coating technology.
6. Computer-guided Dental Implant Surgery
The discipline of dental implant surgery has been completely changed by the development of computer-guided dental implant surgery. It enables dentists to more accurately and precisely plan and carry out dental implant surgeries, leading to better results and fewer issues. The procedure makes use of computer-aided design (CAD) and manufacturing (CAM) to produce a surgical guide that aids the dentist in positioning the implant in the best possible way.
The dentist utilizes 3D imaging software to generate a digital model of the patient's mouth during computer-guided dental implant surgery. The dentist uses the program to plan the ideal implant site, angle, and depth. The surgical guide, a specially constructed template that fits over the patient's teeth and aids in positioning the implant, is then produced using the digital model. The surgical guide aids the dentist in placing the implant with better accuracy and precision, making the patient's experience more pleasant and effective.
Computer-guided dental implant surgery has a number of benefits, compared to conventional implant placement methods. One of the main advantages is that it lessens the need for invasive treatments and aids in implant surgery success. The risk of implant failure is decreased if the dentist places the implant precisely to prevent harming nearby nerves or blood vessels.
The ability to achieve more accurate implant placement is another benefit of computer-guided dental implant surgery. The use of a surgical guide guarantees that the implant is positioned exactly where and at the angle intended, which enhances the procedure's overall success. It is crucial because it allows the implant to be positioned perfectly without causing any damage to the nearby bone tissue in individuals with low jawbone density.
Furthermore, additional components of the implant operation, including bone grafting or sinus lift procedures, are planned using sophisticated computer-guided dental implant surgery. The dentist detects possible dangers or impediments and determines the best surgical strategy by seeing the patient's anatomy in three dimensions. It lowers the possibility of issues and increases the implant procedure's overall success.
Modern dental implant techniques include computer-guided dental implant surgery, which is crucial. The precision and accuracy of the process are increased by the use of cutting-edge technology and procedures, making the patient's experience more pleasant and effective. Dentists provide their patients the greatest results and assist them in achieving a healthy and attractive smile by leveraging the most recent developments in computer-guided dental implant surgery technology.
Modern dental implant procedures sometimes use computer-guided dental implant surgery. The precision and accuracy of the process are increased by the use of cutting-edge technology and procedures, making the patient's experience more pleasant and effective. Dentists provide their patients the greatest results and assist them in achieving a healthy and attractive smile by leveraging the most recent developments in computer-guided dental implant surgery technology.
Computer-guided dental implant surgery has several benefits, compared to conventional implant placement methods. One of its biggest benefits is that it makes for a more exact and effective process. The dentist must rely on their expertise and experience in order to put the implant in the best possible site using conventional implant placement methods. However, with computer-guided dental implant surgery, the implant location is preplanned, leading to a more exact and precise implantation.
The patient's entire treatment time is shortened via computer-guided dental implant surgery, which is another benefit. The dentist cuts down on the number of appointments necessary and the amount of time the patient has to spend in the dental chair by correctly anticipating where the implant is placed. Patients with demanding schedules or those who have dental anxiety benefit most from it.
Multiple implants are placed using sophisticated computer-guided dental implant surgery, enabling the repair of several teeth simultaneously. One shortens the length of the therapy and the number of appointments the patient has to keep by doing it.
The ability to lower the risk of problems and increase the success rate of the process are two of the main advantages of computer-guided dental implant surgery. The dentist prevents injury to surrounding tissue and lowers the chance of implant failure by precisely anticipating where the implant is placed. It increases the treatment's long-term success in addition to making the implant operation more effective and comfortable for the patient.
Modern dental implant surgeries benefit greatly from the technology of computer-guided surgery. The precision and accuracy of the process are increased by the use of cutting-edge technology and procedures, making the patient's experience more pleasant and effective. Dentists provide their patients the greatest results and assist them in achieving a healthy and attractive smile by leveraging the most recent developments in computer-guided dental implant surgery technology.
It is crucial to remember that there is still a chance of difficulties even though computer-guided dental implant surgery enhances the procedure's ultimate result. Patients experience pain, swelling, and bleeding after surgery. Implant failure or infection happen in rare instances. Patients adhere to their dentist's recommendations for post-operative care and attend follow-up consultations to make sure the implant is healing properly.
7. Zygomatic Implants
Zygomatic implants, an advanced dental implant treatment, are employed, when there is not enough bone in the upper jaw to support conventional implants. The implants are fixed in the zygomatic bone, or cheekbone, and are lengthier than conventional implants. It makes it possible to install implants more securely and steadily, even in situations of severe bone loss. The use of zygomatic implants is a challenging technique that necessitates a dentist with specific knowledge and skill.
The dentist thoroughly assesses the patient's dental health and anatomy prior to doing the zygomatic implant operation to decide whether it is the best course of action for the patient. The dentist delicately drills a hole in the cheekbone and creates a cut in the gum tissue, when it is decided to move forward. A specific screw is used to fix the implant to the cheekbone and keep it there, after that. The dentist then secures the dental prosthesis to the implant in order to restore the patient's ability to eat and talk.
The development of zygomatic implants has been significantly influenced by cutting-edge technology. Dental professionals precisely assess a patient's bone structure using CT scans and other imaging methods, then determine the ideal spot and angle for implant placement. Additionally, computer-guided surgery is utilized to assist guarantee that the implant is placed precisely and lower the chance of problems.
Zygomatic implants provide a feasible therapeutic alternative for patients who have previously been advised that they are not ideal candidates for conventional implants owing to bone loss, which is one of its key advantages. Zygomatic implants aid in regaining a patient's confidence in their ability to eat, speak, and smile. They are a flexible and powerful treatment option since they are utilized to replace several teeth.
Zygomatic implants have certain hazards and restrictions, though. The process involves specific knowledge and training and is more difficult than placing implants the conventional way. Complications including nerve injury or sinusitis occasionally happen. Patients carefully weigh the advantages and disadvantages of zygomatic implants and talk with their dentist about their alternatives.
A significant development in dental implant technology is the use of zygomatic implants. They provide a potential therapy alternative for patients who have been previously advised that they are not good candidates for conventional implants owing to bone loss. The development of zygomatic implants has been greatly aided by modern technology and methods, which enable dentists to precisely assess a patient's bone structure and choose the best location for the implant. Zygomatic implants have the potential to dramatically enhance the quality of life for many patients, despite the procedure's dangers and restrictions.
A group of Swedish dentists originally created zygomatic implants in the 1990s in order to address the issue of significant bone loss in the upper jaw. Individuals with considerable bone loss did not have standard dental implants because there was insufficient bone to support the implant, at the time. Zygomatic implants were created in order to solve the issue and give patients with low bone density an effective therapeutic choice.
Zygomatic implants have seen substantial technological and procedural developments since their creation. The accuracy and precision of implant placement have increased thanks to CT scans and other imaging technologies, enabling dentists to design a unique implant strategy for every patient. Additionally, computer-guided surgery has increased the procedure's efficiency and accuracy, lowering the risk of complications and enhancing the procedure's final result.
The fact that zygomatic implants need a dentist with advanced training and knowledge is one of their difficulties. The process is more difficult than placing implants traditionally and necessitates a good knowledge of the patient's anatomy and bone structure. Zygomatic implants are a technique that requires a dentist with substantial training and expertise to perform.
Zygomatic implants have the potential to dramatically enhance many patients' quality of life, despite the difficulties. They help patients regain their confidence in their ability to chew, speak, and smile while providing a realistic therapeutic option for those with low bone density. They are a flexible and powerful treatment option since they are utilized to replace several teeth.
It is essential to remember that zygomatic implants include dangers, just like any dental operation. Patients have discomfort, edema, and bleeding, after the treatment. Problems including nerve injury or sinusitis develop, in rare circumstances. Patients carefully weigh the advantages and disadvantages of zygomatic implants and talk with their dentist about their alternatives.
A significant development in dental implant technology is the use of zygomatic implants. They dramatically raise the quality of life for many patients and provide a feasible therapy option for those with low bone density. The process is now more exact and effective because of modern technology and procedures, which lower the risk of problems and enhance the surgery's final result. People who carefully weigh their alternatives and cooperate with a skilled dentist benefit from cutting-edge dental implant surgery, despite certain potential hazards.
Is technological advancement beneficial to dental implants?
Yes, dental implants have benefited greatly from technical developments. Many of the cutting-edge dental implant treatments and methods mentioned earlier in the discussion are only feasible because of technological advances in reality. The developments have increased implant insertion precision and accuracy, decreased the likelihood of problems, and given patients additional alternatives for therapy.
Digital implant planning, for instance, enables dentists to design a precise treatment plan using 3D imaging technologies before the actual operation. The success rate of the treatment is increased thanks to the use of the technology, which helps to guarantee that the implant is put at the ideal location and angle. Implant placement precision and efficiency have both increased thanks to computer-guided surgery, necessitating fewer sessions and lessening patient pain.
Another example of how cutting-edge technology has enhanced dental implant processes is antibacterial coating. Dentists lower the possibility of infection and increase the likelihood that the treatment is successful by covering the implant with an antimicrobial substance. Similarly, the utilization of cutting-edge soft tissue and bone grafting procedures has enabled dentists to handle more difficult cases of bone loss, giving patients who were previously informed they weren't good candidates for dental implants a viable treatment choice.
The data points to a significant improvement in the efficiency and success rate of dental implant treatments due to technical developments. The developments have increased patient comfort both during and after the treatment along with lowering the possibility of problems. It is conceivable that as technology develops, people witness increasingly more sophisticated dental implant operations and techniques that raise the standard of care given to patients.
What are the Technological Advancements in Dental Implants?
Following are some instances of three different technological developments in dental implants.
Dental equipment and materials: High-resolution 3D pictures of a patient's teeth and gums are produced using digital intraoral scanners (such the iTero and 3Shape Trios) for more precise implant placement. CAD/CAM technology, which eliminates the need for several appointments by enabling the production of bespoke implant abutments and crowns in a single visit (e.g., CEREC, Planmeca). Modern implant materials provide better strength, durability, and biocompatibility, such zirconia and titanium alloys.
Dental Procedures: Computer-guided implant surgery that develops a thorough surgical plan and directs the placement of the implant using 3D imagery and software. A barrier membrane is used in guided tissue regeneration to encourage the development of new bone and tissue around the implant. The success rate of implant placement is increased by using cutting-edge bone grafting procedures that stimulate bone development using growth hormones and stem cells.
Digital Smile Design: A virtual smile makeover is created using digital smile design (DSD), a cosmetic dental technique that is software-based. DSD develops a personalized treatment plan that takes the patient's face characteristics and overall aesthetic objectives into account using digital imagery and software. DSD is used to design the placement of dental implants, veneers, and other aesthetic treatments to build a gorgeous and realistic-looking smile.
The success rate and effectiveness of dental implant surgeries have increased significantly as a result of the technical improvements. It is conceivable that as technology develops, individuals witness increasingly more sophisticated dental implant operations and techniques that raise the standard of care given to patients.
1. Dental Equipment & Materials
The precision and effectiveness of dental implant treatments have been enhanced by recent considerable breakthroughs in dental tools and materials. Here are a few instances of technical developments in dental tools and supplies.
Digital intraoral scanners produce detailed 3D models of a patient's teeth and gums that are utilized in the development of personalized dental implants. The implant method takes less time because digital intraoral scanners are quicker and more precise than conventional impressions. Examples are 3Shape Trios and iTero.
CAD/CAM Technology using computer-aided design and computer-aided manufacturing (CAD/CAM) technology. It is now possible to design and fabricate bespoke implant abutments and crowns in just one consultation, requiring fewer visits. The accuracy and precision of implant placement are improved by CAD/CAM technology, lowering the possibility of problems. Planmeca and CEREC are two examples.
Advanced implant materials like zirconia and titanium alloys offer strength, durability, and biocompatibility when compared to conventional implant materials. High biocompatibility makes zirconia, a white ceramic substance, less likely to cause infection and implant failure. Titanium alloys are perfect for sustaining dental implants due to their strength and durability.
Guided tissue regeneration (GTR) encourages the creation of new bone and tissue surrounding the implant using a barrier membrane. GTR decreases the requirement for bone grafting by increasing the success rate of implant placement in patients with inadequate bone density. Barrier membranes include things like Bio-Gide and CollaGuide.
Development hormones and stem cells are employed in sophisticated bone grafting procedures to promote bone development and raise implant placement success rates. Stem cells have the ability to develop into a variety of cell types, including bone cells, whereas growth factors are naturally occurring proteins that encourage cell growth and division. Platelet-rich plasma (PRP) and bone morphogenetic proteins are two examples. (BMPs).
The success rate and effectiveness of dental implant surgeries have increased significantly as a result of the technical improvements.
2. Dental Procedures
The precision and effectiveness of dental implant operations have increased as a result of recent substantial breakthroughs in dental procedures. Here are some instances of how technology has improved dental procedures.
Implant surgery that is computer-guided makes use of 3D software and imagery to produce a thorough surgical plan and direct the placement of the implants. The use of a computer throughout the procedure increases implant placement's accuracy and precision while lowering the chance of problems. SimPlant and NobelClinician are two examples.
The dental technique encourages the creation of new bone and tissue surrounding the implant by utilizing a barrier membrane. Guided tissue regeneration increases implant placement success rates and minimizes the need for bone grafting in patients with inadequate bone density. Barrier membranes include things like Bio-Gide and CollaGuide.
The dentistry surgery involves adding bone material to the jawbone to support dental implants. The success rate of implant placement in patients with inadequate bone density has increased because of cutting-edge bone grafting procedures such as autologous bone grafts, allografts, and xenografts.
Adding tissue to the gum line is a dentistry technique known as soft tissue grafting. Connective tissue grafts and acellular dermal matrix grafts are two modern soft tissue grafting procedures that have increased the procedure's effectiveness and success rate.
A sinus lift is a dental operation that includes elevating the sinus membrane and inserting bone graft material to treat situations of inadequate bone in the upper jaw. The success rate of the treatment has increased because of new sinus lift methods including the crestal sinus lift and lateral window sinus lift.
Zygomatic implants are utilized when there has been a significant loss of bone in the upper jaw. The zygomatic bone, or cheekbone, serves as the anchor for the implants, which are longer than conventional implants. It makes it possible to install implants more securely and steadily, even in situations of severe bone loss. Examples are Zygomaticus and NobelZygoma.
The success rate and effectiveness of dental implant surgeries have increased significantly as a result of the technical improvements. Dentists provide their patients more specialized and effective treatment choices by employing the most recent developments in imaging, surgery planning, and materials science.
3. Digital Smile Design
Dental professionals see and design a unique treatment plan for their patients' dental restorations, including dental implants, using the computerized technique known as "Digital Smile Design" (DSD). Here are some illustrations of DSD's elements and advantages.
Digital imaging, or the use of 3D imaging technology to take pictures of the patient's face, teeth, and gums, is known as digital imaging. It enables a detailed examination of the patient's smile and facial characteristics in order to design a unique treatment strategy.
Treatment Planning, a personalized treatment strategy is created for the patient's dental restorations, using the digital photos. The plan specifies the quantity and location of dental implants as well as the final restorations' appearance and color.
A virtual mockup is a replica of the patient's dental restorations that was created by a computer. The patient sees their ultimate outcome before the surgery by using the virtual mockup. It enables any required modifications to be made prior to implant installation.
Dental implants are one option for dental restorations that DSD enables dentists to explain to patients. Patients view the possible results of their therapy and decide on their oral health with knowledge.
DSD lessens the number of appointments and the length of time needed for therapy, which enhances the patient experience overall. The computerized approach lowers the possibility of mistakes and difficulties, making the surgery more successful and comfortable.
Software for designing digital smiles includes the Digital Smile System, Smile Designer Pro, and DSDApp. The software applications enable dentists to design a personalized treatment plan for each of their patients with the use of sophisticated imaging technologies and computer software. DSD has transformed the area of aesthetic dentistry by giving dentists a precise and effective approach to designing and inserting dental implants and other dental restorations.
What are the benefits of Dental Implants Advancements?
Modern dental implant techniques come with numerous benefits, such as enhanced precision, reduced treatment time, increased stability, aesthetic improvements, and a lower probability of adverse effects.
Firstly, modern dental implants can now be placed with unprecedented precision and accuracy, significantly reducing the likelihood of complications and significantly increasing success rates. For instance, surgeons now utilize 3D imaging and computer tools for precise planning and execution of the implant surgery.
Another benefit lies in the time spent in treatment. Thanks to the advancements in technology and materials, modern implant procedures are faster and more efficient, shortening the overall treatment time. As an example, implant abutments and crowns can now be manufactured in a single session, thanks to computer-aided design and manufacturing technologies.
Moreover, the stability of implants has been significantly enhanced due to modern materials. These implants are stronger, last longer, and are more biocompatible compared to those made from older technologies. The use of zirconia, for instance, reduces the likelihood of implant failure and inflammation due to its excellent biocompatibility.
In terms of aesthetics, modern techniques provide individualized care considering the unique facial structure and desired aesthetic outcomes of patients, thanks to digital smile design (DSD). DSD uses digital imagery and software to plan the placement of dental implants, veneers, and other aesthetic treatments, ensuring a beautiful and natural-looking smile.
Finally, the possibility of adverse effects has been substantially reduced with advancements in implant technology. Modern bone grafting procedures and guided tissue regeneration have increased the success rate of implant placements while decreasing the likelihood of complications. Sophisticated bone grafting procedures use growth factors and stem cells, while guided tissue regeneration uses a barrier membrane to encourage the growth of new bone and tissue around the implant. In conclusion, ongoing innovation in dental implant technology, including hardware, software, materials, and methods, has brought substantial improvements in dental care. These developments have led to reduced complications, enhanced longevity and cosmetic appeal of dental implants, and shorter treatment durations, all contributing to an improved quality of patient care.
What is today's Advanced Dental Technology?
Modern dental implant treatments are more accurate and less time-consuming than ever before, making them more appealing to patients. New tools and methods have made dental implant surgery less risky and more reliable, not to mention less intrusive. Here are three instances of cutting-edge implant dentistry technology.
The use of cone-beam computed tomography (CBCT) has revolutionized dental implant surgery planning and execution. The cone beam computed tomography (CBCT) method is a 3D imaging technology used to get clear pictures of the patient's jaw and teeth. Dental practitioners evaluate the patient's bone density, nerve location, and the position of neighboring teeth with greater precision using CBCT pictures than with conventional dental X-rays. The implantation process is aided by virtual surgical guidance made with CBCT.
A digital impression of the patient's teeth and gums is taken with the use of a wand-like equipment with intra-oral STL scanning. A digital replica of the patient's teeth is produced from the photograph. Dental implants and other dental restorations are now developed and manufactured with such cutting-edge technology. Dental restorations made using intra-oral STL scanning are more accurate, fit better, and are more pleasant than those made using standard dental impressions.
CBCT images and software are used to generate a comprehensive procedure plan for the insertion of dental implants in 3D Navigation Implant Surgery (X-Nav). The X-Nav system provides the dentist with continuous feedback to help them place implants more precisely and safely. The X-Nav system is invaluable for more involved procedures like sinus lifts, bone grafting, or numerous implant placements.
The quality of dental implant treatments has been greatly enhanced by such cutting-edge dental technology. Dentists give their patients better clinical outcomes and higher levels of patient satisfaction thanks to the use of the technologies, which allow for more precise and reliable implant placement. Treatment time has decreased due to the fact that digital technology allows for the design and manufacture of restorations in-house.
People anticipate even more advanced dental technologies that significantly enhance the precision and efficiency of dental implant treatments. Dentists are able to deliver even more individualized care with the help of cutting-edge tools.
Is Advanced Dental Implant Safe?
Yes, dental implant operations are usually considered safe when carried out by suitably trained and competent dentists. Dental implant surgery, however, is not risk-free, just like any other type of medical operation.
The Journal of Clinical Periodontology reports that dental implants have a success rate of more than 95%. The research confirmed that replacing lost teeth with dental implants is a successful and low-risk treatment. The study indicated that technological and methodological developments have contributed to a rise in the implant success rate over time.
Dental implant surgery has a high success rate, but it is not without its hazards, including infection, implant failure, nerve injury, and bone loss. One lessens the chances of adverse effects by selecting a competent dentist, paying close attention to their post-op instructions, and keeping up with a regular routine of good oral hygiene.
Computer-guided implant surgery and cone beam computed tomography (CBCT) imaging are two examples of cutting-edge technologies that have increased the precision and predictability of implant placement and thereby decreased the likelihood of problems. Dental implant implantation is planned and carried out with higher accuracy because of the advancements in technology, leading to more positive clinical outcomes and happier patients.
Lastly, modern dental implant operations are typically safe and successful when conducted by skilled and experienced dental experts, while there are dangers connected with any medical surgery. The use of cutting-edge equipment and methods has helped dentists reduce the potential for complications during implant surgery and make the entire process more comfortable and reassuring for their patients.
Is Advanced Dental Implant costly?
Yes, advanced dental implants are costly. The final price tag for a dental implant treatment ranges from several thousand dollars to tens of thousands of dollars, depending on a number of factors. Therefore, the cost of more sophisticated dental implant operations varies greatly.
The utilization of cutting-edge technology and materials typically drives up the cost of dental implant operations. Computer-guided implant surgery, for instance, costs more than conventional implant surgery because it employs 3D imagery and software to direct implant placement. Zirconia implants, which are both more biocompatible and visually beautiful than titanium ones, are more costly.
Advanced dental implant operations have a higher out-of-pocket cost, but they save money in the long run by eliminating the need for future repairs or replacements. Implants made from modern materials like zirconia, for instance, are more durable than those made from more conventional materials, thereby lowering replacement costs.
Advanced dental implant treatments are costly, however, some dentists provide financing or payment plans to assist patients cover the costs. Talk to the dentist about the procedure's price and look into financing alternatives before making a final call.
The utilization of cutting-edge technology and materials drives up the price of dental implant treatments. There are funding solutions to help make the treatments more accessible to patients, and the long-term advantages are worth it.
Is Advanced Dental Implant a long process?
Yes, advanced dental implants are a long process. However, the duration of a process including an advanced dental implant varies based on the particular operation, the patient's particular requirements, and the dental expert executing the surgery.
Sophisticated dental implant operations generally take longer than conventional implant procedures due to the utilization of cutting-edge technology and materials. For instance, the time needed for 3D imaging and software preparation result in computer-guided implant surgery being longer than conventional implant surgery. Customizing and manufacturing take more time, similar to the usage of zirconia implants.
Using cutting-edge technology speeds up the implant process and shortens the duration of the entire procedure. The necessity for several sessions and the length of the treatment is reduced, for instance, by using CAD/CAM technology to manufacture bespoke implant abutments and crowns in a single visit.
The recovery period following implant implantation potentially affects how long the surgery takes in total. The implant's placement, and other considerations, the healing process takes a different amount of time for every patient depending on the patient's overall health.
The length of the process varies based on the particular technique and the demands of the patient, even though more complex dental implant operations need more time than simpler implant procedures. The duration of the procedure is affected by the patient's healing process as well as the usage of new technologies, which both increase and decrease the overall treatment period. It's crucial to go over the procedure's timeframe with the dentist before starting treatment.
Is Advanced Dental Implant still using Traditional Dental Implant Techniques?
Yes, conventional dental implant techniques are still used during advanced dental implant treatments. Conventional methods are still commonly utilized and are blended into cutting-edge operations, although implant dentistry has been transformed by modern technologies.
Conventional methods are still used for implant placement, even though computer-guided implant surgery is a sophisticated procedure that employs 3D imaging and software to design and carry out dental treatment implant placement. Similar to zirconia implants, which are an innovative implant material with enhanced biocompatibility and aesthetics, classic implant procedures are still used to put them in.
Dental practitioners occasionally decide to combine traditional and cutting-edge methods to provide their patients with the finest results possible. For instance, a dentist designs a thorough implant placement treatment plan using CBCT imaging, but then installs the implants using conventional methods.
Traditional dental implant techniques are still employed in some situations, despite the fact that sophisticated dental implant treatments frequently involve cutting-edge technology and materials. The procedure's technique is decided upon based on the patient's particular needs and the dentist executing it.