5 Risks and Considerations of Teeth Whitening: What You Should Know
HomeMyra Blog5 Risks and Considerations of Teeth Whitening: What You Should Know
Dt. Erdem Çetin
Born in Stuttgart, Germany in 1979, Dr. Dt. Erdem Çetin began his education in Kırşehir and completed his schooling there, from primary school through to high school. He then successfully completed his university education at the Faculty of Dentistry at 19 Mayıs University in Samsun.
Teeth whitening is a prevalent procedure to enhance one’s smile and appearance. Teeth whitening carries have several risks, such as tooth sensitivity and uneven results. The risks and benefits are best weighed prior to a teeth whitening procedure.
Individuals who undergo teeth whitening have heightened teeth sensitivity postprocedure. The sensitivity is present because the enamel is broken down exposing the dentin later. Enamel is the protective layer of the teeth and dentin is underneath it, which is more sensitive.
The sensitivity causes discomfort even on regular tasks, such as drinking. The longevity of tooth sensitivity post-whitening varies among individuals, depending on their teeth's natural sensitivity and the applied whitener’s strength. It fades over time.
Gum irritation is caused by the gum tissue coming into contact with the whitening solution, which leads to discomfort, inflammation, or blistering. Understanding how to whiten teeth correctly is crucial in avoiding irritation when opting for a home kit. Following the instructions provided by the manufacturer minimises the risk.
Tooth damage is another risk. Treatments often utilise chemicals that cause damage to the teeth. Overuse or incorrect use of whiteners damages the tooth, as they erode tooth enamel over time. Following the manufacturer's instructions or seeking professional guidance is ideal to avoid damage.
Teeth whiteners produce uneven results when choosing to self-apply. Factors, such as tooth decay, medications, or restorations, lead to uneven results. Teeth affected by such factors cause them to respond differently than natural tooth enamel, leading to lighter or darker spots or patches that make the teeth's colour look uneven.
Soft tissue irritation occurs if the whitening solution touches the soft tissues in the mouth, like the tongue, cheeks, or lips. The whiteners cause irritation or discomfort. Professional whitening treatments use specific measures to prevent contact, but soft tissue irritation is a risk in using home whitening kits.
The answer to the search query “How long does teeth whitening last?” is that results last from a few months to a few years, depending on various factors. Factors include the individual’s diet, oral hygiene habits, and whether they smoke or not.
Listed below are the risks and considerations of teeth whitening.
Tooth Sensitivity: Tooth sensitivity is a temporary side effect of teeth whitening, occurring due to the exposure of the teeth’s dentin layer. The intensity and length of the sensitivity vary based on the individual's sensitivity, the method used, and the whitener’s chemical concentration. Using toothpaste for sensitive teeth pre- and post-treatment helps alleviate the discomfort.
Gum Irritation: Gum irritation occurs if the whitener touches the gums, resulting in inflammation or soreness. Professionals avoid irritation by applying a protective barrier to the gums before application of the whitener. Applying the product carefully and according to instructions is essential to prevent contact with the gums when using DIY kits.
Tooth Damage: Excessive use or improper use of whiteners harms the enamel, leading to damage. The whiteners are abrasive and wear down the enamel if overused. Excessive wear on the enamel causes increased susceptibility to cavities and decay. Following the product instructions prevents damage. Manufacturer recommendations on how often to apply whiteners are best followed.
1. Tooth Sensitivity
Tooth sensitivity occurs when the enamel becomes thinner after teeth whitening treatments. The potency of the chemicals used in whiteners breaks down the enamel, revealing the dentin beneath and lightening the teeth’s colour. The dentin layer’s exposure leads to a heightened vulnerability to food and drinks.
The sensitivity ranges from barely noticeable unease to sharp pain. Factors, such as the individual’s sensitivity and the whitener’s strength, affect the occurrence of tooth sensitivity post-whitening.
The side effect affects a broad range of individuals, from as low as 15% to as high as 78% statistically. The variation in these numbers points to the subjective nature of discomfort, and diverse reactions to the whiteners. Tooth sensitivity posttreatment is impermanent despite such factors, and it subsides gradually over time.
Using products designed for sensitive teeth pre- and postprocedure reduces the intense sensations. Strictly adhering to included product guidance ensures minimal tooth sensitivity.
2. Gum Irritation
Gum irritation or gingival irritation occurs when whiteners touch the gums. The whitener’s contact with the gums results in symptoms, such as redness, swelling, or a burning sensation in the gum tissue. Severe cases even lead to blisters or sores on the gums.
The incidence of gum irritation varies, with 30% to 50% of individuals being affected when using at-home whiteners. The variation is attributed to factors such as individual sensitivity, the type of whitener, and how it’s applied.
Gum irritation is preventable by ensuring the careful spreading of the whitener product. Avoiding or minimising contact of the whitener with the gums reduces the risk. Dental professionals apply a barrier to the gums to stop whiteners to touch them. Using a well-fitted whitening tray assists in stopping the whitener from spilling over onto the gums.
3. Tooth Damage
Tooth damage is caused by misuse of teeth whiteners. Most whitening agents contain chemicals, like hydrogen peroxide, which are abrasive, eroding the protective layer of the teeth. Increased erosion occurs with excessive use.
Excessive use of whiteners causes teeth to be susceptible to cavities and other issues, undermining their health. It leads to discoloured or translucent teeth, which compromises the results of the whitening procedure. Tooth damage from whiteners is less common, only affecting 2-7% of people, but the risk is higher in individuals who use whiteners in excess of what’s required or recommended.
Using whiteners according to manufacturer or dentist guidance is ideal, as excessive use causes permanent damage to the teeth. A dental check and consultation are ideal and recommended prior to the usage of whiteners.
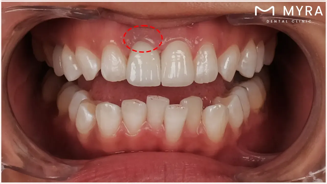
4. Uneven Results
Uneven results from teeth whitening procedures occur when some teeth respond differently to the whitener than others, leading to inconsistent colour. Factors influencing inconsistency are tooth decay, certain medications, or restorations like crowns or fillings. These impact the way the whitening agent interacts with the teeth, which leads to the teeth having inconsistent shade, with lighter and darker patches all throughout.
The risk of uneven colour varies per individual and depends on the teeth’s state before the whitener’s application. It is uncommon, but a risk worth considering before teeth whitening procedures. Seeking professional opinion before starting a regimen is encouraged. Dentists evaluate oral health and provide recommendations prior to the usage of whiteners.
5. Soft Tissue Irritation
Soft tissue irritation is a side effect of teeth whitening that occurs when the whitening product comes into contact with the soft tissues in the mouth. Soft tissues in the mouth include the lips, cheeks, or tongue. The whitening product’s contact with these software tissues leads to symptoms like irritation, a burning sensation, or blisters in severe cases.
The risk is uncommon but occurs more with individuals using at-home whitening kits. At-home kits lack the protective measures to prevent the whitening agent from coming into contact with the soft tissues. Included protective measures are not as rigorous as in professional settings.
Preventing soft tissue irritation primarily involves careful application of the whitening product to ensure it only comes into contact with the teeth. It's advisable to stop using the product immediately if discomfort is experienced during the whitening process. Individuals are encouraged to seek advice from a dental professional when issues arise, such as soft tissue irritation. At-home whitening kits offer convenience, but these risks are only minimised if used carefully and responsibly.
What is Teeth Whitening?
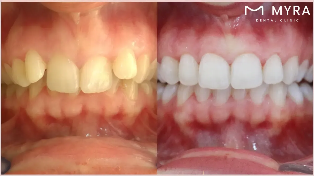
Teeth whitening is a popular dental procedure that aims to brighten and enhance the natural colour of the teeth. Teeth become stained or discoloured over time due to factors like ageing, tobacco use, and the consumption of certain foods and drinks like coffee, tea, and red wine.
The process of teeth whitening involves the use of bleaching agents to lighten these stains or discolouration. The most common agents are hydrogen peroxide or carbamide peroxide. The procedure is performed professionally in a dental office or at home using over-the-counter products. Professional whitening usually involves a stronger concentration of bleaching agents, and the application is carefully monitored to protect the gums and soft tissues.
At-home products include whitening toothpaste, gels, strips, and trays which generally contain a lower concentration of bleach. The results of teeth whitening are not permanent. The Teeth Whitening effect typically lasts from a few months to up to three years.
The duration depends on an individual's lifestyle and oral hygiene practices. Maintaining the whitening effect necessitates repeated and regular undergoing of the procedure or treatment. Teeth whitening is mainly safe for most people, but it is not recommended for everyone. Individuals with sensitive teeth, gum disease, or worn enamel are advised to consult with a dental professional before undergoing a whitening procedure.
Teeth whitening is not recommended for children under 16, pregnant or lactating women, and people with allergies to peroxide.
What Are the Risks of Using Over the Counter Whitening Products?
Over-the-counter teeth whitening products are mostly safe but have risks such as misuse or overuse, less effectiveness, and incompatibility with certain teeth discolourations. Over-the-counter teeth whitening products have grown in popularity due to their accessibility and relative affordability.
Over-the-counter teeth whitening products usually include whitening strips, toothpaste, gels, and mouth rinses. These contain lower concentrations of bleaching agents compared to professional whitening treatments. An individual’s misuse or overuse is one of the key risks with over-the-counter whitening products.
Individuals are susceptible to excessive usage outside the manufacturer’s recommendation, especially without professional guidance. Excessive use leads to tooth sensitivity, gum irritation, and even permanent enamel damage. Incorrect application of these products causes uneven whitening or exacerbates pre-existing dental issues.
The products’ effectiveness is another significant concern. Over-the-counter products have lower concentrations of bleaching agents, resulting in less noticeable and shorter-lasting results. Over-the-counter products are designed to be one-size-fits-all and do not fit every user well, leading to uneven whitening and potential gum irritation for some.
Not all types of discolouration are treatable by over-the-counter whitening products. Certain types of stains, such as the ones caused by medications or injury to the tooth, are more resistant to whitening and require professional treatment. Consulting with a dental professional is recommended to understand the potential risks and benefits of these products before their use.
Are There Risks to Using High Concentration Teeth Whitening Products?
Yes, there are risks associated with using high-concentration teeth whitening products. Using whitening products with a higher concentration of bleach provides faster and more dramatic results, but greater risks of side effects are included, such as tooth sensitivity, gum irritation, uneven whitening, and enamel damage.
High-concentration bleaching agents cause an increased risk for tooth sensitivity, especially to hot and cold food and drinks. The sensitivity is a short-term side effect, but uncomfortable, especially for individuals with sensitive teeth. Tooth sensitivity in severe cases is intense enough to interfere with daily activities like eating and drinking.
High-concentration products increase gum irritation. The powerful bleaching agents harm the gum’s soft tissue if they come into contact. The contact leads to discomfort, redness, and inflammation or blisters in extreme cases.
Using high-concentration teeth whitening products increase the risk of uneven whitening, especially without professional supervision. Over-the-counter whitening kits are especially susceptible to inconsistent results due to less precise application, which is not a problem in professional procedures.
Enamel damage risk is increased when high-concentration whitening products are misused or overused. The strong bleaching agents wear down the enamel over time, which makes the teeth less protected against cavities and decay. Using these products according to the manufacturer’s recommendation or seeking professional guidance is ideal for avoiding these risks.
Is It Better to Have a Professional Teeth Whitening Procedure than Using Teeth Whitening Products?
Yes, it is better to have a teeth whitening procedure done professionally than using teeth whitening products at home. Professional whitening has several advantages, such as the expert handling of the procedure, the use of high-concentration bleaching agents, and the protection of parts surrounding the teeth.
A dental professional’s expert handling ensures that the whitening procedure is tailored to the individual’s specific needs. The dental professional closely monitors the health of the teeth and gums throughout the process, ensuring success with better results. Professional teeth whitening treatments often use higher concentrations of bleaching agents, which provide more noticeable and long-lasting results than over-the-counter products.
Procedures performed by professionals are quicker in providing results, only needing one or two visits. Dental professionals take measures to protect the gums and soft tissues from the bleaching agents, reducing the risk of gum and soft tissue irritation. These measures ensure that the whitening agent is applied evenly, which minimises the risk of uneven whitening.
Professional teeth whitening is more expensive than at-home products, but the benefits outweigh the cost. It provides a safer, more effective, and quicker way to whiten the teeth. Maintenance of good oral hygiene practices post-treatment is recommended to ensure the results last as long as possible.
Does Teeth Whitening Damage Tooth Enamel?
Yes, teeth whitening does damage tooth enamel. Enamel damage is rare and is primarily due to misuse of teeth whiteners. The bleaching agents in whiteners, like hydrogen peroxide, are abrasive, wearing down the teeth’s enamel.
Enamel erosion leads to various issues, such as heightened sensitivity, tooth discolouration, and increased susceptibility to cavities and decay. Lost enamel is permanent as it does not regenerate, which necessitates responsible and correct use of whiteners. Teeth whiteners are generally safe and pose minimal risk to the enamel when used correctly.
Professional whitening treatments involve careful application and monitoring to ensure the bleaching agents do not harm the enamel. Consult with a dental professional regarding concerns regarding enamel damage during teeth whitening procedures. They guide safe whitening practices and suggest alternatives if necessary.
Does Teeth Whitening Affect Dental Veneers?
No, teeth whitening does not affect dental veneers. Veneers are made using porcelain or composite resin, which are resistant to the bleaching agents used in teeth whiteners. Veneers’ resistance to bleaching agents allows them to keep their colour even when the surrounding natural teeth are subjected to whiteners..
Mismatch in colour between natural teeth and veneers occurs when using whiteners since veneers do not change colours. Individuals with veneers are recommended against using DIY treatments to avoid uneven whitening, and are advised to discuss alternatives with their dentists.
Dentist-recommended alternatives include teeth whitening before getting veneers. Whitening before veneer installation allows dentists to match the veneers to be installed to the lighter shade of the natural teeth. Veneers become discoloured and stained over time and need replacing when severe. New Dental Veneers have to match the newly whitened teeth.
The added veneer replacement is more expensive than teeth whitening alone. Teeth whitening products do not affect veneers, but abrasive whitening toothpaste cause wear and tear on the veneers over time. Non-abrasive toothpaste is recommended for individuals with veneers.
Does Teeth Whitening Affect Composite Fillings?
No, teeth whitening has no effect on composite fillings. Composite fillings are made using a material resistant to the bleaching agents used in whiteners. Bleach resistance allows the fillings to keep their colour even when whiteners are used.
The natural teeth surrounding the filler become lighter, while the fillings themselves are unchanged. Visible fillings having a darker shade than surrounding teeth leads to a non-aesthetically pleasing result. Individuals with fillings are advised to talk with a dental professional when planning to undergo a teeth whitening procedure.
Dentists provide advice on the best course of action, such as replacing the fillings after the whitening treatment to ensure consistent colour across the teeth. Teeth whitening treatments do not affect the colour of fillers, but it’s important to note that it causes temporary sensitivity around the filled areas. The sensitivity is generally short-lived and goes away on its own.
Can Teeth Whitening Cause Allergic Reactions?
Yes, teeth whitening causes allergic reactions, but the occurrence is rare. The bleaching agents used in most whitening products are capable of causing an allergic reaction in some individuals. Agents include hydrogen peroxide or carbamide peroxide.
Allergy symptoms include gum irritation, blisters, rashes on the skin around the mouth, and difficulty breathing in severe cases. Allergic reactions such as teeth whitening treatments are considered a medical emergency. Immediate attention is required when experiencing such reactions.
Stop using the product right away and seek medical help at the first signs or symptoms of allergic reactions. Individuals are advised to discuss with their dentists if they have known allergies to peroxide or if they want to go through testing before a whitening treatment. Safer alternative treatments are suggested by dentists if found to be allergic to chemicals used in the products.
A way to self-test allergic reactions is to apply a small amount of whitening product to a small area first to gauge and observe. Discontinue use immediately when symptoms arise and check with a doctor right away.
What Precautions Should Pregnant or Breastfeeding Individuals Take Before Teeth Whitening?
Pregnant or breastfeeding individuals are advised to avoid teeth whitening altogether. Postponement of teeth whitening until after pregnancy and breastfeeding is recommended by numerous health organisations, such as the American Dental Association. The recommendation to postpone whitening treatments is because the full effects of whitening agents on fetuses and breastfed babies are currently unknown.
The risk of ingesting whitening treatment is small, but even small ingested amounts are capable of being absorbed into the mother’s bloodstream and transferred to the fetus or the breastfed baby. Pregnancy leads to changes in a mother’s oral health, and these changes increase the risk of discomfort and side effects during whitening treatments. Oral health changes include increased sensitivity and gum inflammation.
Pregnant or breastfeeding mothers are encouraged to discuss the pros and cons with their dentists before proceeding with a whitening procedure or treatment. Dental professionals recommend skipping whitening treatments altogether. Dentists suggest safer alternatives for expectant mothers and guide them if whitening is desired.
How Can You Reduce the Risks and Complications of Teeth Whitening and Gingival Esthetic Procedures?
Reducing the risks and complications of teeth whitening and gingival esthetic procedures starts with a thorough oral examination and consultation with a dental professional. They evaluate an individual’s oral health, identify any potential concerns, and recommend the most appropriate treatment options. It's crucial in teeth whitening procedures to follow the instructions provided with the product or those given by the dentist.
Misuse or overuse of whitening products leads to increased sensitivity, gum irritation, and enamel damage in severe cases. Whitening products are not recommended for individuals with existing tooth sensitivity, gum disease, or worn enamel. Individuals with allergies to substances such as peroxide are advised to avoid using whitening products.
Protecting the gums during whitening is important. Professional whitening treatments often involve using a protective gel or shield to prevent the bleaching agents from coming into contact with the gums. It's important for individuals using at-home treatments to apply the whitening product carefully and meticulously to avoid getting it on the gums.
Maintaining good oral hygiene is important before and after a gingival esthetic procedure. Good oral hygiene reduces the risk of infection and promotes faster healing. Maintenance of good oral hygiene before and after the procedure helps reduce the risk of infection and promotes healing.
Regular dental check-ups following the Gingival Esthetic procedure help identify and address any potential complications early. Constant communication with a dental professional before undergoing any dental whitening or esthetic procedures is recommended. They provide personalised advice and guidance based on individual needs and circumstances.