What is the Difference Between Dental Veneers and Laminates?
HomeMyra BlogWhat is the Difference Between Dental Veneers and Laminates?
Dt. Erdem Çetin
Born in Stuttgart, Germany in 1979, Dr. Dt. Erdem Çetin began his education in Kırşehir and completed his schooling there, from primary school through to high school. He then successfully completed his university education at the Faculty of Dentistry at 19 Mayıs University in Samsun.
When comparing veneers vs laminates, it’s important to consider differences in durability, aesthetics, cost, application process, and suitability for individual cases. Porcelain veneers offer superior durability and a stain-resistant, lifelike appearance – often lasting well over a decade with proper care– but they typically require more tooth preparation (slight enamel removal and multiple dental visits) and come at a higher cost. Laminate veneers, often made from ultra-thin porcelain or composite resin, involve minimal to no enamel removal and can usually be completed in a single visit, making them less invasive and generally more affordable. However, this conservative option may not last as long and is slightly more prone to chipping or wear over time. Ultimately, the choice between them depends on the patient’s needs and dental condition: a patient seeking a long-term, dramatic smile makeover may benefit more from durable porcelain veneers, whereas someone looking to fix minor cosmetic issues or preserve more of the natural tooth structure might opt for laminates as a conservative cosmetic dentistry solution.
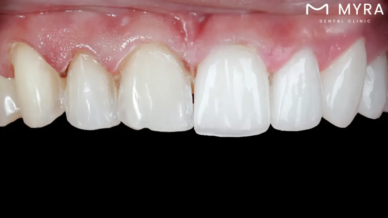
Dental veneers are thin covers frequently created from composite resin or porcelain. Dental veneers are made specifically to match the patient's natural teeth in terms of colour, size, and shape. Veneers correct several cosmetic issues, including tooth discolouration, chipped or broken teeth, gaps between teeth, and minor misalignments, as they are made to cover the front surface of teeth.
Dental laminates are a form of veneer that requires little to no tooth preparation, commonly referred to as no-prep veneers or ultra-thin veneers. They are frequently composed of porcelain and are even thinner than conventional veneers. Dental laminates are frequently employed for modest cosmetic alterations, including enhancing the appearance of teeth that are slightly out of alignment or discoloured. They require less removal of native tooth structures since they are thinner.
Dental veneers and laminates improve the appearance of teeth by improving their colour, shape, and symmetry. They are both made to have a natural appearance, imitating the look of real teeth for a plausible and appealing result. Dental veneers and laminates are exceptionally stain-resistant, assuring long-lasting brilliance. They both offer long-lasting results with appropriate care and maintenance due to their strength and durability.
Dental veneers and laminates require multiple steps in the process, beginning with a consultation where the dentist assesses one's oral health and goes through their objectives. Dental laminates typically require little to no tooth preparation compared to traditional veneers, which call for the removal of a small layer of enamel. An impression of one's teeth is obtained to manufacture personalised veneers or laminates, and interim restorations are inserted if necessary. Dental adhesive and light curing bond personalised veneers or laminates to their teeth for a tight fit.
The price per tooth ranges from £140 to £300 in Turkey. Dental veneers and laminates cost more or less based on the intricacy of the case, the number of teeth being treated, the type of material utilised, and the location. Veneers are typically more expensive than laminates due to the additional laboratory work required if talked about dental laminates vs veneers.
What are Dental Veneers?
Dental veneers are small, individualised covers that are glued to the front of teeth to enhance their appearance. Dental veneers are frequently composed of porcelain or composite resin. They are made to remedy several cosmetic issues, including tooth discolouration, minor misalignments, gaps between teeth, and chipped or broken teeth. They are expertly made to precisely match the colour, size, and shape of the patient's original teeth, resulting in a natural and aesthetically acceptable result.
Dental glue attaches the personalised veneers to the teeth, forming a solid and long-lasting attachment. Dental veneers are a good choice for people who want to improve their smile and project a more assured demeanour. They offer versatility in addressing dental flaws while retaining the natural look and feel of the teeth. The treatment for dental veneers requires tooth preparation, where a thin piece of enamel is often removed to guarantee a correct fit. They are carefully positioned and cemented to the teeth to provide a new smile once the veneers are prepared. The answer to the frequently asked question “What are dental veneers' goals?” is “to produce long-lasting and beautiful smiles.”
What are the Materials Used in Dental Veneers?
Listed below are the materials used in Dental Veneers.
Porcelain: Porcelain veneers are the most common and commonly utilised type. Porcelain veneers have a thin, transparent ceramic construction that closely resembles the look of natural teeth. Porcelain veneers are renowned for their sturdiness, stain resistance, and capacity to reflect light, similar to tooth enamel. They offer a natural and realistic result and are highly customisable.
Composite Resin: Composite resin veneers are constructed of a tooth-coloured composite material placed and moulded directly onto the teeth. Composite resin veneers are directly applied to the teeth in layers, in contrast to porcelain veneers. They provide a more conservative technique because minimum tooth preparation is necessary. Composite veneers are typically less resistant to wear and discolouration than porcelain veneers.
Where to get Dental Veneers?
There are numerous options to get dental veneers, such as a dental office or clinic that provides cosmetic dentistry services. One option is to examine regional dental practices that provide cosmetic dentistry services in one's area. Experienced dentists who focus on veneer treatments are frequently found at specialised clinics. One evaluates the reputation and standards of the clinics by conducting online research, looking at their websites, and reading client reviews.
There are reputable dental practices that offer cosmetic dentistry services if they are specifically interested in getting dental veneers in Turkey. Myra Dental Centre is a good choice for get veneers or laminates in Turkey. Istanbul, Ankara, and Antalya are just a few of Turkey's many facilities for the renowned dental clinic DentGroup. They specialise in aesthetic dentistry and provide various dental services, such as dental veneers. Another well-known clinic in Istanbul focusing on aesthetic dentistry, such as dental veneers, is EsteWorld Dental. Istanbul-based Dentram Dental Clinic, which offers dental veneer treatments, focuses on offering individualised and superior dental care.
Search keywords such as "dental veneers near me" helps people identify regional dental offices that provide such procedures if they're looking for dental veneers close to where they live. It is wise to speak with their primary dentist, who refers them to reputable cosmetic dentists with experience in dental veneer procedures. Finding suitable offices is facilitated by asking friends, relatives, or acquaintances with positive dental veneer experiences for suggestions.
Enhanced Aesthetics: Enhanced aesthetics is one of the dental veneers' benefits. Dental veneers dramatically improve aesthetics by fixing cosmetic issues, including stains, chipping, cracks, gaps, and misalignments. They offer a uniform, attractive, and natural-looking smile.
Durability: Another benefit is durability. Veneers provide long-lasting results because they are constructed of solid materials, including porcelain or composite resin. Veneers last for many years if they are properly maintained and cared for.
Stain Resistance: Next benefit is stain resistance. Porcelain veneers are very stain resistant, providing for a brighter and more brilliant smile even when staining substances such as coffee, tea, and tobacco are consumed.
Conservative Approach: Conservative approach is a benefit of dental veneers. Veneers require less tooth preparation than other cosmetic dentistry procedures. Most native tooth structure is preserved, while a thin enamel layer is removed to guarantee a suitable fit.
Versatility: Dental veneers' benefit is versatility. A wide range of cosmetic difficulties, including shape, size, colour, and alignment problems, are addressed by dental veneers. They provide a flexible means of getting the desired smile makeover.
What are the Downsides of Dental Veneers?
Listed below are the downsides of Dental Veneers.
Irreversibility: The main downside of dental veneers is their irreversibility. Placing dental veneers includes the irreversible removal of a small piece of enamel. The teeth always need some restoration after having veneers applied for protection.
Sensitivity: Next downside is sensitivity. Patients feel brief dental sensitivity due to the removal of enamel during the veneering process. The sensitivity typically goes away within a few days.
Cost: Another downside is the cost of dental veneers. The price of dental veneers is high because it depends on the number of teeth treated, the type of material used, and the location of the dentist's office. They frequently cost more than other aesthetic dental procedures.
Maintenance: Maintenance is one of the downsides of dental veneers. They need regular dental appointments and good oral hygiene habits even though veneers are stain-resistant. Dental veneers that have been damaged or chipped in some situations need to be replaced or repaired.
Not Suitable for Severe Misalignment or Decay: One of the downsides of dental veneers is that they are generally intended to address cosmetic concerns rather than functional issues. They are inappropriate for severe misalignment or substantial tooth decay, which calls for alternative treatments such as orthodontics or dental crowns.
What are Dental Laminates?
Dental laminates are a form of veneer that requires little to no tooth preparation, commonly referred to as no-prep veneers or ultra-thin veneers. Dental laminates are thin, individualised shells, similar to conventional dental veneers, and are often constructed of porcelain or composite resin. Dental laminates are made to make teeth look better by enhancing their general aesthetics, colour, and shape.
The thinness of dental laminates is one of their important features. Laminates are significantly thinner than conventional veneers. Their normal thickness ranges from 0.2 to 0.5 millimetres. It implies that dental enamel removal is unnecessary to retain the native tooth structure. The procedure for receiving dental laminates is less invasive and more conservative.
Dental laminates are frequently employed for modest cosmetic alterations, such as increasing the shape of teeth, covering small gaps, and improving the appearance of teeth that are slightly out of place or discoloured. Dental laminates give patients a more rapid and pleasant course of treatment than traditional veneers while producing a natural-looking and aesthetically acceptable result.
What are the Materials Used in Dental Laminates?
Listed below are the materials used in dental laminates.
Porcelain: Porcelain is a preferred substance for dental laminates. It has excellent aesthetics and closely resembles how teeth typically seem. Laminates made of porcelain are strong, stain-resistant, and produce realistic-looking results.
Composite resin: Composite resin is another substance utilised in dental laminates. It is a dental substance that is tooth-coloured and moulded directly onto the teeth. Laminates made of composite resin are more conservative since they need less tooth preparation. They are not held up to wear, and stains over time as porcelain laminates and are less durable.
Where to get Dental Laminates?
Visit a dental office or clinic that provides cosmetic dentistry services to get dental laminates. The clinics frequently employ skilled dentists focusing on cosmetic procedures involving dental laminates. Start by researching neighbourhood dental offices that offer cosmetic dentistry services. Visit their websites, check through client testimonials, and research their knowledge of dental laminates. It is crucial to pick a trustworthy clinic with a history of productive outcomes and contented patients. One thinks about asking friends, relatives, or acquaintances who have used dental laminates successfully for recommendations.
One uncovers suitable solutions nearby by using online directories or search engines with particular phrases such as "dental laminates near me" or "cosmetic dentistry clinics" throughout the search. One asks the usual dentist for suggestions or referrals to reputable practices that provide dental laminates. Look for dental offices that specialise in veneer treatments and have cosmetic dentistry focus while evaluating the options. Making an informed choice requires careful consideration of the clinic's reputation, the dentists' training, experience, level of expertise, and other factors.
What are the Benefits of Dental Laminates?
Listed below are the benefits of Dental Laminates.
Minimal Tooth Preparation: Dental laminates require minimal or no tooth preparation compared to traditional veneers. It results in a more conservative approach because less of the native tooth structure is removed during the procedure.
Preservation of native Teeth: More of the native tooth structure is preserved because dental laminates require little tooth preparation. Patients who want a less invasive treatment option benefit from it.
Aesthetically Appealing: Dental laminates significantly enhance the colour, form, and general aesthetics of teeth to make them appear better. They provide a natural-looking outcome that improves the smile while barely changing the existing teeth.
Versatility: Dental laminates address various cosmetic issues, such as discolouration, small misalignments, chips, and gaps. They provide a flexible course of treatment for developing a more harmonious and balanced smile.
Time-Efficient: Getting dental laminates is usually done faster than getting standard veneers. It is because fewer visits and a shorter treatment period are necessary due to the less tooth preparation needed.
What are the Downsides of Dental Laminates?
Listed below are the downsides of Dental Laminates.
Limitations on Correcting Serious Problems: Dental laminates are inappropriate for treating serious misalignment, wide gaps, or severe tooth damage. Alternative procedures, including braces or dental crowns, are more suitable in such circumstances.
Potential for Chipping or Fracture: Laminates are tough, but they are more prone to damage than regular veneers, particularly if the patient has certain behaviours, such as grinding their teeth or biting on hard things.
Irreversibility: The placement of dental laminates, including standard veneers, requires removing a little bit of enamel, which is a permanent treatment. It implies that some restoration is always necessary to protect the teeth.
Sensitivity: Patients have brief tooth sensitivity following the insertion of dental laminates, particularly if little enamel is removed. The sensitivity usually goes away on its own and is very temporary.
Cost: The price of dental laminates change based on the number of teeth being treated, the type of material being used, and the location of the dental office. They require a financial commitment even though they are frequently more affordable than conventional veneers.
Which is More Durable, Veneers or Laminates?
Veneers are typically considered more durable than laminates in terms of longevity. The different types of materials used are the main cause of instability. Dental veneers made of porcelain, particularly, are noted for their durability and tenacity. A material that bears biting pressure and resists wear and tear over time is porcelain. Porcelain veneers are made in a dental laboratory, allowing for precise customisation and guaranteeing the best quality and longevity of the finished product. Porcelain veneers last for many years and deliver long-lasting results with the proper upkeep and care.
One must understand that things such as oral hygiene routines, nutrition, and oral habits all affect how long dental restorations, such as veneers and laminates, last. Dental veneers and laminates last long if oral hygiene is practised, excessive biting pressure is avoided, and frequent checkups and cleanings are scheduled with the dentist.
Listed below are the reasons why dental veneers are more durable.
Material Strength: Porcelain dental veneers are renowned for their outstanding strength and durability. The biting forces and stresses of daily use are withstood by porcelain because of its great degree of durability. It makes dental veneers significantly more resistant to chipping, cracking, and fracturing than laminates.
Custom Fabrication: Dental veneers are custom-fabricated in a dental laboratory, allowing for precise customisation and ensuring the finest quality of the final product. High-quality materials and cutting-edge fabrication methods are used to create durable and longevity dental veneers.
Thickness and Structural Integrity: Dental veneers are often thicker than laminates, offering extra strength and structural integrity. The increased thickness makes dental veneers more durable by enabling them to withstand the stresses generated during biting and chewing.
Resistance to Staining and Wear: Porcelain veneers offer exceptional stain resistance qualities, allowing them to retain their colour and appearance over time. They are not prone to getting stained or torn due to eating and drinking or regular wear and tear.
Longevity: Dental veneers last for many years, frequently between 10 and 15 years, or even longer, with the right maintenance and care. Veneers' capacity to offer long-lasting cosmetic improvements is influenced by their durability.
How Long Do Veneers and Laminates Typically Last?
Dental veneers and laminates typically last around 5 to 15 years. Dental veneers, especially porcelain ones, usually endure an average of 10 to 15 years, or even longer, with the proper care and maintenance. Their durability is influenced by things including the type of material used, oral hygiene practices, and frequent dental exams. Dental laminates, called no-prep or ultra-thin veneers, typically last less time than conventional veneers. Laminates are more prone to chipping or breaking since they are thinner, especially if the patient grinds their teeth or frequently bites into hard items. Laminates typically have a lifespan of 5 to 10 years, though it varies depending on the individual and the situation.
Listed below are the factors influencing the longevity of veneers and laminates.
Material Selection: The durability of veneers and laminates, such as porcelain or composite resin, is affected by the material choice. Porcelain veneers are noted for their resilience and stain resistance, delivering a longer-lasting result than composite resin laminates.
Oral Hygiene Practises: Maintaining proper oral hygiene is critical for the lifespan of dental restorations. Veneers' and laminate longevity are impacted by decay, gum disease, and other oral health problems, which are avoided with regular brushing, flossing, and dental checkups.
Oral Habits: Certain habits, such as tooth grinding or bruxism, impose excessive stresses on dental restorations, contributing to premature wear or damage. Veneers and laminates are safeguarded by using a nightguard or managing bruxism.
Dental Maintenance: Veneers and laminates are monitored for damage during routine cleanings and examinations by dentists, who take immediate action to fix any problems that arise. Their lives are extended by such a proactive strategy.
Are There Any Differences in Aesthetics Between Veneers and Laminates?
Yes, veneers and laminates have different aesthetic qualities. Veneers and laminates seek to make teeth look better, but there are a few variables that influence how the teeth look. The thickness of the restorations is one consideration. Traditional veneers are frequently thicker than laminates, which impacts how light interacts with the restoration and the surrounding tooth. A more opaque appearance is provided with thicker veneers, which cover up the colour or transparency of the underlying tooth more completely.
The type of material utilised is another aspect. Veneers made of porcelain, which are frequently used for laminates and veneers, offer outstanding aesthetics and closely resemble the way teeth naturally seem. The specific porcelain or composite resin used in laminates varies, which leads to very subtle aesthetic changes. The level of personalisation has an impact on appearance. Veneers and laminates are produced specifically to match the patient's natural teeth's colour, shape, and size. The degree of customisation changes based on the unique circumstances and the patient's objectives.
Is Tooth Preparation Different for Veneers and Laminates?
Yes, the tooth preparation for laminates and veneers is different. Tooth preparation for veneers entails removing a thin layer of enamel from the front surface of the teeth. Treatment is carried out to make room for the veneers to guarantee a good fit and avoid the teeth looking bulky or unnatural once the veneers have been applied. The amount of enamel removed varies depending on the circumstance, although it often falls between 0.3 and 0.5 millimetres.
Dental laminates frequently require little to no dental preparation. Laminates are applied directly to the natural tooth surface with little to no enamel loss because they are thinner than conventional veneers. Patients who choose a less intrusive treatment option benefit from dental laminates since it helps retain the natural tooth structure.
Do Veneers and Laminates Provide a Natural-Looking Smile?
Yes, veneers and laminates provide a smile that looks natural. Veneers and laminates are carefully made to match the colour, size, and form of the patient's natural teeth, resulting in a seamless and harmonious smile. Veneers and laminates are designed specifically to match the neighbouring teeth in every way, giving them a natural appearance. Veneers are made of porcelain or composite resin materials intended to resemble tooth enamel's texture, gloss, and transparency. Veneers allow them to reflect light similarly to natural teeth, improving overall aesthetics.
Dental specialists consult with patients closely to identify the desired result and ensure the veneers or laminates reflect the patient's preferences and the characteristics of their natural teeth. They consider things such as tooth colour, shape, and alignment while making restorations to blend in with the patient's smile. The final result differs based on the dentist's talent and expertise, as well as the calibre of the materials utilised. The natural-looking effects of veneers or laminates are enhanced by selecting a skilled dentist specialising in cosmetic dentistry and utilising high-quality materials. Veneers and laminates provide a natural-looking smile.
Is it more suitable to choose veneers or laminates for specific cases?
Yes, it is more suitable to choose either veneers or laminates based on specific cases and individual factors. The choice between veneers and laminates depends on several variables, including the patient's dental health, cosmetic objectives, financial constraints, and the dentist's expert opinion. Every choice has advantages and factors to be considered that must be weighed.
Veneers are frequently suggested when more evident cosmetic enhancements, such as severe discolouration, numerous chips or cracks, and obvious gaps or alignment issues, are required. Veneers completely cover and change the teeth, simultaneously treating various cosmetic issues. They are appropriate in situations where longevity and toughness are key considerations.
Dental laminates, sometimes called no-prep or ultra-thin veneers, are frequently considered for patients requiring more cautious treatment modalities. Laminates are appropriate when the natural tooth structure is sound and undamaged because they are thinner and typically require little to no tooth preparation. They are an excellent alternative for minor cosmetic modifications, such as enhancing the appearance of slightly misaligned or discoloured teeth or filling small gaps.
How do Dental Veneers and Laminates differ in cost?
The cost of dental veneers and laminates differ based on various variables, including the location, the number of teeth being treated, the materials employed, and the dentist's or dental clinic's level of experience. Dental veneers cost less than dental laminates.
Dental veneers that use porcelain are frequently regarded as a high-end cosmetic dental procedure. Veneers are made by handcrafting each restoration in a dental laboratory, raising the procedure's price. The preparation of teeth for veneers, which involves removing a small layer of enamel, adds to the overall cost of the procedure.
The fabrication process for dental laminates, called no-prep or ultra-thin veneers, is often less involved and requires little to no tooth preparation. The process results in a higher cost as compared to regular veneers. The precise cost of laminates differs depending on the materials used, the difficulty of the case, and the pricing policies of each dental clinic.
Who should use Dental Veneers and Dental Laminates?
Dental veneers are suitable for adults, while dental laminates are suitable for teenagers and adults. Dental veneers are mostly suggested for adults whose permanent teeth are fully grown in. Dental veneers are appropriate for people with various cosmetic issues, including tooth discolouration, damaged or chipped teeth, gaps between teeth, and minor misalignments. Adults who want to enhance their smile's aesthetics and improve their teeth' appearance frequently choose veneers.
Dental veneers are not usually suggested for children because their teeth and jaws are still growing. Children do not experience the same cosmetic issues that call for veneer treatment. Children's dental problems are better handled with orthodontic options or other dental treatments.
Dental laminates, commonly called ultra-thin or no-prep veneers, are used on adults and older teenagers who have finished their dental growth. Laminates are frequently suggested for minor cosmetic alterations, including enhancing the appearance of slightly misaligned or discoloured teeth or filling in tiny gaps. They present a more conservative treatment alternative as they require little to no tooth preparation. Laminates are appropriate for older teenagers with fully developed permanent teeth and specific cosmetic concerns that are addressed with such therapy.