HomeMyra BlogAre Dental Crowns Or Dental Veneers Better?
Dt. Erdem Çetin
Born in Stuttgart, Germany in 1979, Dr. Dt. Erdem Çetin began his education in Kırşehir and completed his schooling there, from primary school through to high school. He then successfully completed his university education at the Faculty of Dentistry at 19 Mayıs University in Samsun.
Individuals desiring to improve their smiles and restore the health and beauty of their teeth frequently must choose between dental crowns and veneers in modern dentistry. It depends on various factors, including the condition of one's dentition and the desired aesthetic result. The two dental methods enhance one’s smile and oral health.
A dental crown, commonly referred to as a tooth crown or cap, is a type of dental treatment that covers the entire visible area of a broken or weakened tooth above the gumline. It is painstakingly created to provide structural support, protection, and aesthetic improvement for a tooth that has suffered substantial decay, fracture, or root canal therapy. Dental crowns are made of long-lasting materials such as porcelain, metal, or a mix of the two, and they play an essential role in preserving a tooth's integrity while restoring its function and aesthetics.
Veneers for teeth, on the other hand, are custom-made porcelain shells that are only a few millimetres thick and designed to cover the tooth's front surface. People who want to improve their smile's appearance but are unhappy with flaws like discolouration, minor misalignment, gaps, or chipped enamel often use these cosmetic procedures. Veneers are well-known for their ability to improve one's appearance by covering flaws in one's teeth and making them appear whiter and healthier.
There are several considerations when choosing between veneers and dental crowns for cosmetic dentistry. These factors include the overall health and condition of the teeth, the severity of any damage or flaws, the cosmetic result that is wanted, the cost of each option, and its capacity to last for an extended period. Take into account the treating dentist's level of experience as well as the patient's specific goals because the combination of these factors determines which treatment approach is best suited for the person's unique dental needs and goals.
What factors should you consider when choosing dental crowns or veneers?
The factors to consider when choosing dental crowns or veneers are listed below.
Budget: Prices for porcelain veneers per tooth are £140 and £210 for zirconium. Laminate veneer costs £265.
Maintenance: Proper care extends the life of these dental adjustments and provides a healthy, beautiful smile that works well over time.
Longevity: A well-maintained veneer lasts 10 to 15 years, occasionally longer. Dental crowns endure 5 to 20 years or longer.
Consultation: The cost of a dental consultation is approximately £55, and the fee covers computer imaging and X-rays.
Tooth sensitivity: Having veneers or crowns placed on sensitive teeth delays treatment for more severe conditions, including decay, gum recession, or enamel erosion.
Oral Health: Dental crowns and veneers rely on the patient's oral health as a basis for a positive and long-lasting outcome.
Durability: The structural integrity of the underlying tooth is helped along by the restoration's longevity, so any potential problems or discomfort are avoided.
Aesthetic impact: The aesthetic impact of dental veneers and crowns is of the utmost importance, going far beyond the scope of simple cosmetic augmentation to significantly affect an individual's sense of self-confidence as well as their quality of life in general.
Treatment time: The length of treatment is significantly influenced by a number of different factors, including a patient's health, their reaction to treatment, and their level of compliance with prescribed protocols.
Tooth preparation: The term "tooth preparation" refers to any number of dental procedures in which the natural structure of a tooth is altered to make room for fillings, crowns, or other restorations.
Treatment purpose: Restoration of a broken tooth's form and function, alleviation of pain or discomfort, and cosmetic enhancement of the smile are all possible outcomes of dental treatment.
Tooth condition: The absence of cavities or dental caries, healthy gums, the integrity of tooth structure, and the absence of dental problems or concerns such as gum disease, tooth decay, fractures, misalignment, discolouration, or sensitivity are all examples of tooth condition.
1. Budget
The budget plays a critical factor in the decision-making process when deciding between dental crowns and veneers. The two options offer transformative advantages for enhancing the appearance of teeth, but their prices vary. Dental veneers are typically more costly than crowns because they consist of custom-made, ultra-thin porcelain casings that cover the front surface of teeth to create a dazzling, natural-looking smile. Porcelain veneers per tooth range between £140 and £160. Laminate veneers cost between £265 in Turkey.
Crowns, on the other hand, encompass the entire tooth and are fabricated from a variety of materials, including metal alloys and ceramics that are less expensive. The significance of a budget becomes apparent when individuals must balance their desire for cosmetic enhancements with their financial resources. A porcelain crown costs £140. The cost of a crown made of zirconia is £210 in Turkey.
Consult with a dentist who evaluates the patient's specific dental requirements and aesthetic goals and provides options that align with the desired result and the available funds, thereby ensuring a decision that satisfies both functional and financial concerns.
2. Maintenance
Dental crowns and veneers require regular maintenance to ensure their durability and effectiveness. Brushing, flossing, and rinsing with an antiseptic mouthwash are all crucial for preventing plaque and bacteria buildup on the crown or veneer surfaces, as well as the nearby natural teeth.
Avoid eating foods that contribute to discolouring the teeth. Coffee, wine, soda, and tea all ultimately discolour the veneers and porcelain crowns. Brush the teeth immediately after eating them to avoid lasting stains if one enjoys eating certain meals. Keep mouthwash on hand to rinse the teeth if cleaning them is impossible at the moment.
Dental check-ups regularly allow dentists to monitor the status of these restorations, spotting any signs of wear, corrosion, or potential concerns with the underlying tooth structure. Patients must avoid activities such as teeth grinding, nail-biting, and using their teeth as tools, as they jeopardise the stability of both crowns and veneers. Proper maintenance not only extends the life of these dental modifications but additionally promotes a healthy, aesthetically beautiful smile that functions effectively over time.
3. Longevity
A dental crown's longevity is determined by several factors, including the materials used, the individual's oral hygiene practises, and overall dental health. Dental crowns often last 5 to 20 years, or even longer. Crowns composed of long-lasting materials such as porcelain, ceramic, or metal alloys have a longer lifespan. However, good maintenance is the key to extending the life of a dental crown.
Brushing and flossing on a regular basis to prevent plaque buildup, routine dental check-ups to detect and address abnormalities early, and preventing habits such as teeth grinding or using teeth as tools are all essential. The condition of the underlying tooth is important; if decay or gum disease develops, it compromises the crown's durability. A well-placed dental crown fulfils its function for many years with adequate care and attention, providing functional and aesthetic benefits.
The durability of veneers varies based on a number of factors, including the veneer material, veneer implantation quality, and the individual's oral hygiene practises. Veneers that are appropriately maintained last between 10 and 15 years, on average, and sometimes even longer. They are a popular option for long-term aesthetics because porcelain veneers are typically more resilient and stain-resistant than composite resin veneers. It requires diligent oral hygiene to maintain their appearance and functionality.
Regular brushing, flossing, and professional dental cleanings are required to prevent plaque accumulation and preserve the veneers' integrity. Patients must avoid teeth grinding, biting on complex objects, and using their teeth as instruments, as these behaviours cause veneer damage or detachment. The durability of dental veneers ultimately depends on appropriate maintenance, the dentist's skill, and the quality of the materials used in their fabrication.
4. Consultation
A consultation is a preliminary appointment between a patient and a dentist to discuss and evaluate potential aesthetic or restorative dental operations. The dentist assesses the patient's oral health, listens to their aesthetic goals and concerns, and informs them about possible treatment options during the consultation. The dentist examines the teeth, gums, and surrounding oral tissues takes X-rays or imprints, and explains the benefits and drawbacks of veneers or dental crowns. A dental consultation, which includes computer imaging and X-rays costs around £55.
Such consultation is necessary to ensure that the technique chosen is appropriate for the patient's needs, that any underlying dental disorders are addressed before treatment, and that a personalised treatment plan that corresponds with the patient's goals and budget is established. It allows the patient to ask questions and acquire a thorough idea of what to expect during and after the treatment.
A comprehensive examination additionally shows any underlying dental disorders that must be addressed prior to veneer application, such as gum disease or tooth decay. The consultation allows dentists to develop a personalised treatment plan that aligns with the patient's cosmetic preferences and general oral health, enabling a successful and long-lasting veneer application. The preliminary conversation is critical for establishing realistic expectations, addressing any questions or concerns, and assuring the greatest possible outcome in terms of both appearance and dental health.
5. Tooth sensitivity
A typical dental condition known as tooth sensitivity manifests as brief, severe discomfort or pain in one or more teeth when exposed to certain stimuli. It's crucial to take tooth sensitivity into account when contemplating veneers or crowns. These dental procedures involve the removal of a portion of the natural tooth enamel to make space for the restoration. Address it before proceeding with veneers or crowns if a person has tooth sensitivity.
Tooth sensitivity is a sign of underlying dental issues such as enamel erosion, gum recession, or tooth decay, which must be addressed before veneers or crowns are placed. Individuals with sensitive teeth experience more discomfort during and after the surgery, particularly if the tooth structure is further weakened. Dentists diagnose the source of the sensitivity and offer suitable treatments or desensitising methods to enable a more comfortable and successful veneer or crown procedure. Preventing issues and ensuring the best possible outcome for the cosmetic or restorative procedure begins with addressing sensitivity.
6. Oral health
The entire condition and well-being of the mouth, teeth, gums, and related components within the oral cavity are referred to as oral health. It includes the absence of oral disorders such as cavities (dental caries) and gum diseases (periodontal diseases), as well as adequate oral hygiene and the functional and aesthetic features of the mouth.
Oral health is crucial before considering procedures like dental crowns or veneers. These restorative or cosmetic procedures typically entail alterations to the natural tooth structure. Dental crowns necessitate the removal of a portion of the tooth's enamel to accommodate the crown, whereas veneers necessitate the removal of a thin layer of enamel. These procedures exacerbate the condition if a person's oral health is compromised due to untreated dental decay, gum disease, or underlying infections. Resolve these dental issues beforehand with the appropriate treatment to ensure that the foundation for the crown or veneer is healthy and stable.
Oral health is crucial to the success and longevity of dental crowns and veneers over the long term. Untreated cavities or periodontal disease result in complications such as infections, which compromise the restoration's integrity. Brushing, flossing, and regular dental checkups are necessary to prevent plaque accumulation, tooth decay, and gum disease, compromising the efficacy of crowns and veneers. Neglecting oral health results in expensive and unnecessary complications in the future, possibly necessitating the replacement or repair of restorations.
Excellent oral health enhances the overall appearance and functionality of dental crowns and veneers. A healthy base ensures that restorations fit appropriately and appear natural in the mouth. Dental issues such as misalignment, irregular gums, and tooth discolouration must ideally be addressed to achieve the desired cosmetic results and avoid complications before considering veneers.
Oral health is the foundation of a successful and long-lasting outcome for dental crowns and veneers. A consultation with a dentist, a comprehensive assessment of one's oral health, and any necessary treatment are required to ensure optimal results, minimise risks, and maintain oral health while achieving the desired cosmetic or restorative objectives before these procedures.
7. Durability
Durability is of the utmost importance for dental veneers and crowns, as these restorative treatments play a vital role in preserving and augmenting the functionality and appearance of a patient's smile. Chewing, biting, and speaking place daily stress on dental veneers and crowns, making their resistance to wear and strain essential.
A durable dental restoration not only ensures long-lasting results but additionally reduces the frequency of replacements, saving patients time and money. Durability contributes to preserving the underlying tooth's structural integrity, preventing potential complications and discomfort. Ultimately, it is crucial to provide patients with confidence in their oral health and the enduring attractiveness of their smiles by placing a premium on the durability of dental veneers and crowns.
Porcelain veneers' composition is what makes them so robust. Each veneer is made of high-quality porcelain. Its stability has been demonstrated, although the material is constructed in a glass-like manner. Wear, fractures, and temperature variations are not problems for veneers. Durable laminate veneers cost between £265.
Metal and ceramic dental crowns are two of the most durable types available. Metal crowns last for many years with little risk of chipping or breaking. Ceramic crowns are among the most durable options available today. They resist wear and tear and last up to 15 years or more. A porcelain crown typically costs £140, while a zirconium crown costs £210 per tooth.
8. Aesthetic impact
The phrase "aesthetic impact" refers to something's visual or artistic effect on one's opinion of beauty, attractiveness, or overall look. The aesthetic impact of dental veneers and crowns refers to how these restoration treatments improve the appearance of a person's smile.
The cosmetic impact of veneers and dental crowns must be emphasised, as they are critical to improving individuals' smiles, self-esteem, and overall confidence. These restorative treatments are more than just practical; they are creative creations that improve the appearance of teeth by masking flaws such as discolouration, misalignment, or breakage. Aesthetic considerations extend beyond simply creating a lovely smile. They influence how people view themselves and interact with the world.
A charming smile increases self-confidence and encourages people to participate more openly and positively in social and professional contexts. It's not just about vanity, it's about giving people the confidence to put their best foot forward, emphasising the significant relevance of veneers and dental crowns in improving oral health and general well-being.
9. Treatment time
The term "treatment time" refers to the length of time required to execute a particular medical, dental, therapeutic, or healthcare procedure. It represents the time required for a patient to undergo a specific treatment or intervention, from initiation to conclusion. Variables such as a patient's condition, response to treatment, and adherence to prescribed protocols have a substantial impact on the duration of treatment.
A dentist produces an impression of the teeth using a mouth mould if a patient gets porcelain veneers. The veneers are expertly made when dentists submit the impression to a dental laboratory. A local anaesthetic is given to make tooth preparation and veneer insertion painless. A bur is used to reshape the natural tooth to achieve the optimum fit minimally. Burs come in various sizes and form teeth precisely and minimally before installation.
The dentist applies the right composite shade to the teeth, shapes it, and hardens it with a high-intensity light if a patient gets direct composite resin veneers. Additional composite layers shape, lengthen, and mould the veneer to each individual's specifications. The veneers are then completed and polished with burs and polishers to create a vivid and lifelike smile following the placement of the composite.
The treatment duration for dental veneers and dental crowns has advantages and disadvantages. The two procedures typically yield relatively rapid outcomes compared to more extensive dental treatments. Individuals pursuing a better smile often receive veneers in just a few visits, resulting in a rapid improvement in their smile's appearance. Dental crowns are necessary for restoring the structural integrity of damaged teeth, although they are slightly more time-consuming. The relatively longer treatment duration, however, allows for more extensive tooth restoration.
10. Tooth preparation
Tooth preparation is a dental process that entails modifying or adjusting a tooth's existing structure to facilitate different dental treatments or restorations. The procedure is commonly carried out by a dentist and plays a vital role in the effective placement of dental crowns, veneers, bridges, or other restorative devices.
Tooth preparation includes removing damaged or decayed tooth material, contouring the tooth to make room for restoration, and ensuring that the final replacement fits securely and comfortably. The extent and manner of tooth preparation vary depending on the specific dental treatment and the condition of the patient's teeth.
Tooth preparation for dental crowns is an essential and fundamental step in assuring the success and durability of the restorative dental procedure. The procedure entails the reduction of the natural tooth structure with care and precision to make room for the crown. Achieving a suitable fit and alignment of the crown is crucial for functionality and aesthetics.
A tooth that has been properly prepared enables the crown to cover and protect the damaged or weakened tooth below, restoring its strength and function. Tooth preparation ensures the crown is aligned with the patient's bite, preventing misalignment and chewing discomfort. It serves a vital role in maintaining the oral cavity's overall health. It is imperative that as much healthy tooth structure as possible be preserved while tooth preparation necessitates the removal of some enamel. The success of dental crowns depends on the accuracy of the preparation, highlighting the significance of a skilled and knowledgeable dentist in the procedure.
11. Treatment purpose
The precise goal or objective of a medical, dental, therapeutic, or healthcare intervention is referred to as the treatment purpose. It explains why a specific therapy or operation is recommended or conducted in the first place. The treatment goal varies greatly based on the patient's condition and the judgement of the healthcare professional.
The goal of dental treatment is to repair the form and function of a tooth that has been damaged, to relieve pain or discomfort, or to improve the patient's smile aesthetically. It is critical for the healthcare professional and the patient to have a shared understanding of the treatment's goals to make an informed decision about an intervention that improves the patient's health and well-being.
The therapeutic purpose of dental veneers and crowns is fundamental in the field of dentistry since it has a direct impact on the outcome and patient satisfaction. Dental veneers are used for functional and cosmetic reasons. They strengthen weakened or damaged teeth, preventing further deterioration and discomfort. They have the ability to transform a patient's smile by disguising stains, misalignments, gaps, or other flaws.
The therapeutic purpose, however, is not one-size-fits-all; it must be tailored to the patient's requirements and expectations. Clear communication between the patient and the dentist about the desired outcome is critical because it guarantees that the veneers attain the ideal appearance and function. A well-defined treatment goal improves not just the appearance of a smile but even an individual's self-esteem and overall oral health, emphasising the need for precision and personalisation in installing dental veneers.
12. Tooth condition
The general health, state, and well-being of a single tooth or a group of teeth within the oral cavity is called a tooth condition. Tooth conditions include the absence of cavities or dental caries, healthy gums, the integrity of tooth structure, and dental disorders or concerns such as gum disease, tooth decay, fractures, misalignment, discolouration, or sensitivity. Dental experts use the phrase to examine and describe a patient's oral health state and to decide the proper treatments or interventions required to correct any abnormalities or maintain optimal tooth condition.
The condition of the underlying teeth is critical when considering dental veneers. Dental veneers are a cosmetic dental treatment used to improve the appearance of teeth. The underlying teeth must be in good condition for a natural and appealing appearance. Existing problems, such as deterioration, fractures, or misalignment, impact the bonding and endurance of the veneers. The amount of enamel that must be removed during the veneer preparation procedure is directly related to the tooth's condition.
Maintaining as much healthy enamel as possible is critical for long-term dental health, and a dentist needs to thoroughly analyse the condition to determine whether veneers are a viable option. Underlying dental health issues must be addressed before choosing veneers to ensure the treatment's endurance.
The condition of the tooth is crucial when contemplating a dental crown, as it has a significant impact on the success and longevity of such a restorative procedure. The underlying tooth provides the crown with essential support and stability. The tooth compromises the efficacy and durability of the crown if decay, fractures, or structural weaknesses compromise it. A robust, healthy tooth ensures that the crown withstands the forces of chewing and biting, thereby preventing complications and pain. Address any existing dental issues before crown placement to maintain overall oral health, as unaddressed issues worsen over time.
What is a dental crown?
A dental crown, sometimes called a "crown," is a prosthetic treatment used to conceal or enclose a damaged or weakened tooth. A dental crown is custom-made to cover the entire visible portion of the tooth, going down to the gumline. Crowns are often built of long-lasting materials such as porcelain, ceramic, metal alloys, or a combination based on unique dental demands and patient preferences.
Dental crowns are essential because they restore a tooth's strength and functionality after extensive decay, fractures, or damage due to various factors like trauma or everyday wear and tear. They shield the tooth against potential harm or infection, acting as a protective barrier. Dental crowns enhance the overall appearance of the tooth, resulting in a more visually appealing and aesthetically pleasing smile.
Dental crowns have a wide range of applications in dentistry. They are frequently used to simulate the appearance and performance of natural teeth following root canal surgery. A dental crown is an essential part of dental bridges, which are used to replace lost teeth. Dental crowns play an essential role in the fields of restorative dentistry and cosmetic dentistry because of their adaptability. They are essential in supporting individuals in regaining their oral health and restoring their trust in their dental well-being, which are both essential steps in the recovery process.
Who should get a dental crown?
Dental crowns are a common solution for addressing teeth that have suffered extensive damage or deterioration, surpassing the effectiveness of dental fillings or alternative restorative methods. They provide essential strength, support, and protection to these compromised teeth, effectively preserving their functionality. Dental crowns represent a versatile dental treatment applicable to a broad spectrum of situations and tailored to the specific dental needs of individuals. A crown is positioned over the tooth to envelop and safeguard it against further harm once the infected or damaged pulp has been removed following root canal treatment.
Individuals whose teeth are crooked or discoloured have the option of having crowns placed on them to improve the appearance of their smile. Crowns have many applications in cosmetic dentistry, including creating a more uniform and aesthetically pleasing appearance. Children with severely decayed primary (baby) teeth require crowns, in some cases, to preserve the teeth until they naturally fall out.
A dental bridge or an implant-supported restoration replaces it when a tooth is missing. Crowns are often an integral part of these restorations. The choice of whether or not to have a dental crown is determined by the individual's particular dental condition, which is discussed with the individual's dentist. The dentist evaluates the individual's oral health and offers the most appropriate treatment option.
Can dental crowns stain?
Yes, dental crowns stain over time. Teeth crowns discolour with time. However, they have a lesser tendency to become discoloured compared to natural teeth. Crowns are typically made of porcelain or ceramic, highly resistant to discolouration from everyday food and drink. Discolouration still occurs due to other circumstances.
Damage to the restoration's protective glaze or exposure of the porcelain's edge in the mouth are two common causes of porcelain crown discolouration. Using extremely abrasive toothpaste daily damages crowns by removing the porcelain's protective coating. Citrus fruits, tomatoes, vinegar, and soda are just some examples of acidic meals and drinks that break down the anti-stain compound.
Consuming red wine, coffee, tea, or cigarettes progressively develops surface stains on crowns because of their high pigment content. Plaque and tartar development due to improper oral hygiene causes discolouration along the crown's edges. Dental crowns are kept looking their best, and any staining difficulties are prevented or treated with regular dental checkups and professional cleanings, as well as limiting the ingestion of staining chemicals.
What are dental veneers?
Dental veneers, which are thin, custom-designed shells, are used to improve the appearance of teeth by covering their front surfaces. Such a cosmetic dentistry solution is highly sought for its versatility in addressing an array of dental imperfections. Veneers are meticulously fashioned from either porcelain or composite resin, to conceal issues like discolouration, stains, chips, cracks, irregular spacing, and minor misalignment. A key advantage lies in the precise craftsmanship of veneers, as they are tailored to replicate the natural tooth's colour, shape, and size, resulting in a harmonious and aesthetically pleasing smile. Veneers are less invasive compared to crowns, preserving a greater portion of the original tooth structure during the preparation process.
Obtaining dental veneers typically involves a series of steps. A consultation is conducted with a dentist or cosmetic dentist to evaluate the patient's oral health and discuss their aesthetic objectives. A small amount of enamel is extracted from the tooth's front surface to establish room for the veneer during the preparation phase. Impressions of the teeth are used to construct veneers that fit perfectly. Temporary veneers are installed while the permanent veneers are being fabricated. The veneers are adhered to the teeth with a strong adhesive once completed.
Dental veneers are a game-changing option for improving the look, strength, and stain resistance of the teeth. They are utilised in various situations by people who want a whiter, straighter smile without undergoing significant orthodontic or restorative procedures. Dental veneers are a popular option for those who want to improve their smile because they last a long time with proper aftercare.
Who should get dental veneers?
Individuals who want to improve the appearance of their teeth and obtain a more self-assured grin benefit from using dental veneers, which are versatile cosmetic dentistry options that are beneficial. Veneers are especially suitable for people who have specific cosmetic issues that tooth whitening, braces, or any other currently available procedures still need to address successfully.
Dental veneers become a compelling option for individuals facing various dental issues. Those with teeth displaying stubborn discolouration, intrinsic stains resistant to traditional whitening methods, or general staining often turn to veneers for a transformative solution. Individuals grappling with chipped, cracked, or irregularly shaped teeth, along with those experiencing minor alignment discrepancies or small gaps between their teeth, discover that veneers offer an excellent remedy for these concerns.
Dental veneers are a beneficial alternative for those who have enamel that has worn down or teeth that have been damaged as a result of natural wear and tear, teeth grinding (bruxism), or any number of other problems. They provide a treatment that is used to restore the size, shape, and overall appearance of teeth, resulting in a smile that is more consistent and aesthetically acceptable. Patients select the shade, shape, and size of their veneers to obtain the appearance that is ideal for them, thanks to the fact that veneers are a customised therapy.
However, it is essential to remember that only some people are good candidates for dental veneers because they require a certain level of oral health and aesthetics. People who have substantial tooth decay, or gum disease, or who need significant orthodontic work are not ideal candidates for orthodontic treatment. It is necessary to undergo a comprehensive dental examination and talk with a general or cosmetic dentist to assess whether or not veneers are the best solution for a particular person. Dental veneers are a revolutionary option for people who want to improve the appearance of their teeth and obtain a smile that is more self-assured and bright.
Can dental veneers stain?
Yes, dental veneers can experience staining over time, despite their overall resistance to stains compared to natural teeth.Veneers, whether made of porcelain or composite resin, are designed to resist stains from foods, drinks, and tobacco products. However, it must be emphasised that veneers are not completely stain-proof, especially when subjected to prolonged contact with certain staining agents.
Porcelain veneers are stain-resistant, just like natural tooth enamel. It is due to the fact that porcelain is not porous like genuine tooth enamel. It suggests that common household beverages won't leave any stains. Many patients wonder, "Can veneers stain?" The answer is that while veneers are generally stain-resistant, they still become discoloured over time if proper oral hygiene is not practised.
Composite veneers, on the other hand, gradually discolour over time, much like real teeth. The reason is that they are made out of resin, which is far more porous than porcelain. Composite veneers need to be changed between the ages of five and seven years in most cases.
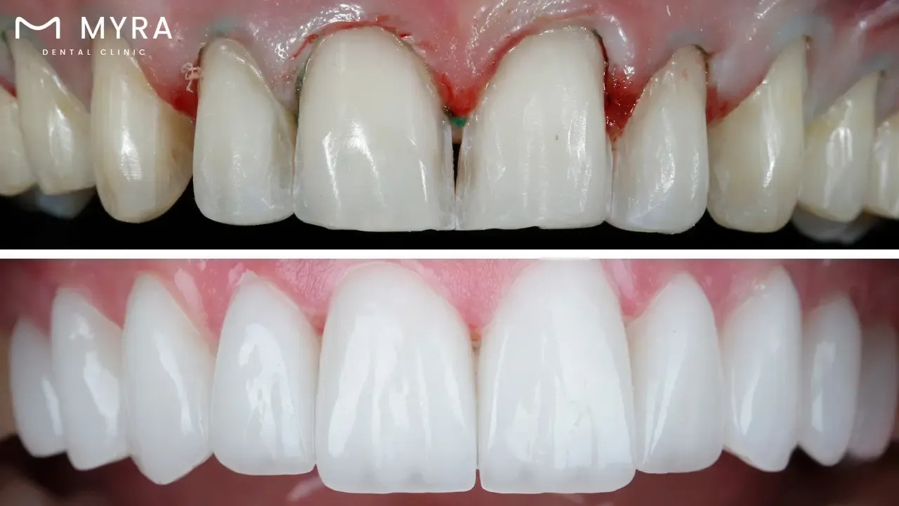
Do dental veneers have more aesthetic impact than dental crowns?
Yes, dental veneers have a more aesthetic impact than dental crowns. Veneers are generally used cosmetically, to improve the appearance of teeth by treating concerns, including discolouration, chipping, gaps, and minor misalignment. They are thin porcelain shells that are custom-made and bonded to the front surface of the teeth to create a natural-looking, consistent, and visually pleasing smile. Veneers dramatically improve the colour, shape, size, and overall symmetry of teeth, resulting in a more attractive and harmonious appearance.
Dental crowns are frequently used for cosmetic and therapeutic purposes. Their primary function is to restore the strength, integrity, and functionality of teeth that have sustained extensive damage, decay, or root canal therapy. However, they improve the aesthetics of a tooth. Crowns cover the entire visible portion of the tooth and, due to their extensive coverage, sometimes appear bulkier, making them unsuitable for solely cosmetic enhancements, particularly in the front teeth.
Are dental crowns much better than dental veneers when it comes to longevity?
Yes, dental crowns are much better than veneers in terms of longevity. Dental crowns are typically regarded as having a longer lifespan than their counterparts, compared to dental veneers. Crowns are dental restorations that completely cover and encase a whole tooth. It allows them to offer enhanced support and protection to teeth with substantial decay, extensive damage, or a compromised structure. They are an excellent option for molars or other teeth subjected to greater chewing forces because of their extensive coverage, which offers better longevity.
Dental veneers, on the other hand, are wafer-thin shells made of porcelain that are placed over the front surfaces of teeth to improve their appearance and treat a variety of minor cosmetic flaws. Crowns often have a longer lifespan than veneers because of the additional structural strength that they provide, particularly in parts of the mouth that have higher levels of functional demand. Veneers survive for many years with the right kind of maintenance. However, the unique dental demands and aesthetic goals of the patient determine if crowns or veneers are the better option for them.
Are dental veneers easier to maintain than dental crowns?
Yes, dental veneers are often easier to maintain than dental crowns. Veneers are thin porcelain shells that are implanted on the front surface of teeth, requiring minimal preparation of the natural tooth structure. They are particularly resistant to stains from coffee, tea, or other coloured substances, resulting in a longer-lasting aesthetic because of their smooth surface. Cleaning veneers is simple because they just cover the front area of the teeth, allowing for routine brushing and flossing.
Dental crowns, on the other hand, cover the entire tooth and involve more significant tooth reduction, which complicates oral care. Veneers' cautious approach and stain-resistant qualities make them more durable in the long run, although both restorations necessitate follow-up visits and care.
What is the difference between dental veneers and dental crowns?
A dental veneer is a slender, meticulously bonded shell applied to the anterior surface of a tooth with the primary objective of enhancing its visual attributes. A dental crown, on the other hand, is a multifunctional treatment that gives practical and aesthetic benefits.
The differences between dental veneers and dental crowns are listed below.
Dental Veneers
Veneers are thin casings made of porcelain or composite resin that are bonded to the front surfaces of teeth. They are used mainly to enhance the appearance of teeth by addressing issues such as discolouration, chipping, and minor misalignment.
A tiny portion of enamel is routinely extracted from the front surface of the tooth to guarantee the proper fit and placement of veneers.
Veneers are generally composed of porcelain or composite resin, the two of which closely resemble real teeth in appearance.
Dental Veneers consist of slender porcelain layers primarily employed for cosmetic purposes. Their primary role is to improve beauty while enhancing strength.
Veneers solely cover the front surface of the tooth, treating cosmetic issues in the visible region of the smile.
Dental Veneers typically require two visits, one for tooth preparation and impressions, and another for bonding the veneers.
Veneers are most frequently utilised for cosmetic goals, including the enhancement of tooth colour, form, and alignment.
Dental Crowns
Crowns, commonly referred to as caps, are hollow restorations that cover the whole tooth. They provide structural support and are used to heal severely damaged, decaying, or weakening teeth.
Dental Crowns necessitate more severe tooth reduction because they cover the entire tooth, including the sides and chewing surface.
Crowns comprise various materials, including porcelain-fused-to-metal, all-ceramic, or metal alloys. Location, purpose, and aesthetic preferences all influence material selection.
Dental Crowns provide increased strength and longevity because they completely cover the tooth. They are appropriate for healing severely damaged or weakened teeth.
Crowns encase the entire tooth, offering functional and cosmetic restoration.
Crowns require two visits: one for tooth preparation and impression and another for crown implantation.
The fundamental goal of a dental crown is to restore function and strength while improving beauty.