Born in Stuttgart, Germany in 1979, Dr. Dt. Erdem Çetin began his education in Kırşehir and completed his schooling there, from primary school through to high school. He then successfully completed his university education at the Faculty of Dentistry at 19 Mayıs University in Samsun.
Impacted teeth are dental issues when a tooth fails to emerge correctly through the gum line. The condition is seen with wisdom teeth, the last molars to develop. Impacted teeth lead to various complications, including pain, infection, and misalignment of other teeth. Understanding the symptoms, treatment options, causes, and similar conditions and researching impacted teeth is essential for effective management and prevention.
The symptoms of impacted teeth vary depending on the severity and position of the impacted tooth. Common symptoms include pain or tenderness in the gums or jaw bone, redness and swelling around the affected area, bad breath, and difficulty opening the mouth as known Trismus.
Potential symptoms include prolonged headaches or jaw aches, swollen lymph nodes in the neck, and an unpleasant taste when biting down near the impacted tooth. A visible gap where a tooth has not emerged indicates an impacted tooth.
Treating impacted teeth involves a dental intervention to prevent further complications. Common treatments include extraction of the impacted tooth if it is causing pain or infection. Oral surgeons and dentists are qualified to do it. The tooth must be monitored regularly if it is not causing any immediate problems. Pain management and antibiotics are prescribed to address infections and discomfort. Surgical options, such as removing bone or gum tissue blocking the tooth, must be considered.
Impacted teeth result from several factors, including overcrowding in the jaw, which leaves no room for the teeth to emerge properly. A smaller jaw size contributes to the condition of wisdom teeth. Teeth become twisted, tilted, or displaced as they attempt to emerge, leading to impaction. Retained baby teeth block the path of permanent teeth, and genetic factors play a significant role.
Pericoronitis, an inflammation of the soft tissue surrounding an erupted tooth, contributes to the problem.
Improperly emerging teeth are known as impacted teeth, but similar dental conditions involve anomalies in tooth development. For example, ectodermal dysplasia affects the development of teeth, hair, and other structures, leading to missing or malformed teeth. Amelogenesis imperfecta affects enamel formation, resulting in discoloured and brittle teeth. Hypohidrotic ectodermal dysplasia and trichodentoosseous syndrome are other genetic disorders that cause significant dental anomalies similar to impacted teeth.
Several studies have investigated the various aspects of impacted teeth. The study "A Retrospective Study: Do All Impacted Teeth Cause Pathology?" involved researchers from Ataturk University Faculty of Dentistry, aiming to detect impacted teeth, determine associated pathologies, and evaluate their relationship with adjacent anatomical structures using CBCT imaging. Another significant study, "Impacted Mandibular Third Molars: Review of Literature and a Proposal of a Combined Clinical and Radiological Classification," conducted by P. Santosh at Al Jouf University, reviewed the literature on impacted mandibular third molars and proposed a new classification system.
The study "Prevalence and Pattern of Third Molars Impaction: A Retrospective Radiographic Study" by Ramizu Bin Shaari and colleagues analysed the prevalence and patterns of third molar impaction in the Karbala/Iraqi population.
The research "Awareness of Patients with Impacted Teeth About Impacted Teeth in Turkey: A Questionnaire Study" by Furkan Ozbey and team evaluated the knowledge and awareness levels of patients with impacted teeth in Turkey.
What are the Types of Impacted Teeth?
The types of Impacted Teeth are listed below.
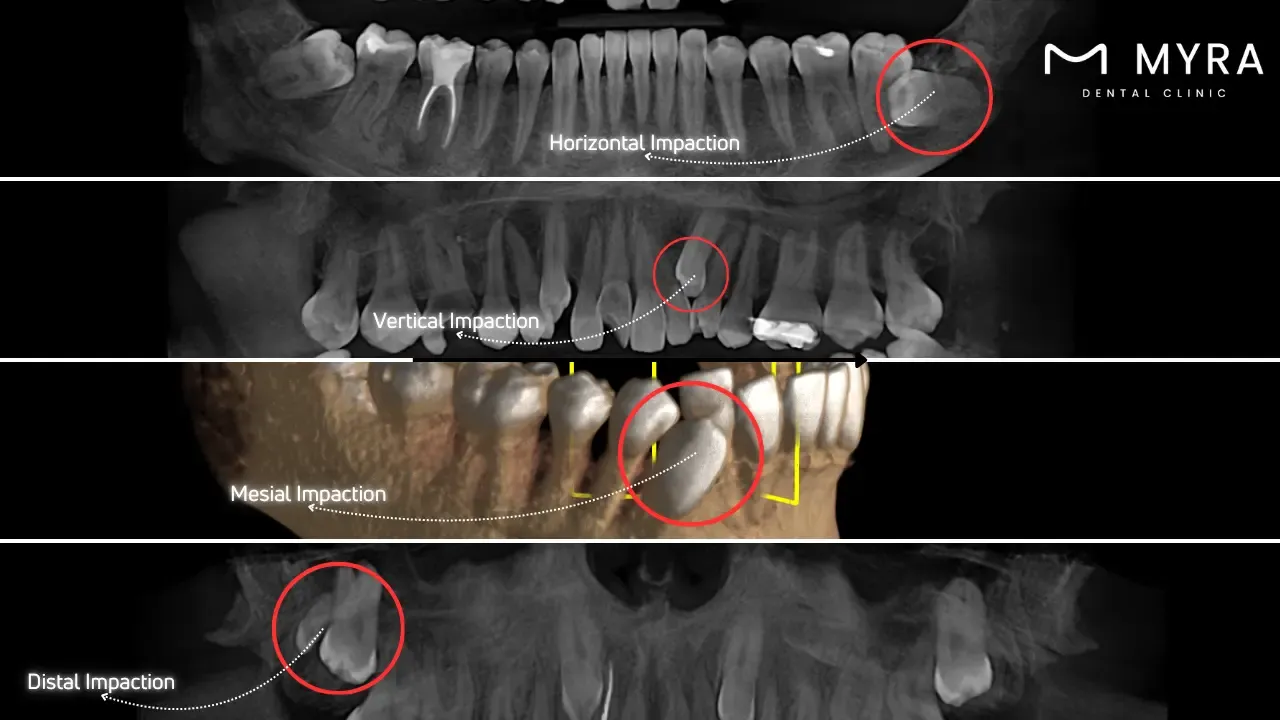
Horizontal Impactions: Horizontal impactions arise if a tooth is positioned sideways within the jaw and lies horizontally instead of vertically. Horizontal impaction causes pressure on the adjacent teeth and leads to pain and misalignment.
Vertical Impactions: Vertical impactions happen when the tooth is correctly oriented but fails to erupt fully through the gum line. The tooth remains submerged in the gum tissue or bone, causing no immediate symptoms but leading to future complications.
Mesial Impactions: Mesial impactions are when the tooth is angled forward, towards the front of the mouth. Mesial impaction pushes against the neighbouring tooth, leading to crowding and discomfort.
Distal Impactions: Distal impactions arise if the tooth is angled reversibly towards the rear of the mouth. The positioning puts pressure on the jaw and surrounding teeth, causing pain and alignment issues.
What are the Symptoms of Impacted Teeth?
The symptoms of Impacted Tooth are listed below.
Lousy Breath: Chronic bad breath develops when food and bacteria build-up near an impacted tooth.
Difficulty Opening the Mouth (Occasionally): Patients experience difficulty or discomfort when opening their mouth wide, which is sporadic or constant.
Pain or Tenderness of the Gums or Jaw Bone: Impacted teeth cause pain or tenderness in the surrounding gums or jaw bone, which ranges from mild to severe.
Prolonged Headache or Jaw Ache: Chronic headaches or jaw aches result from the pressure and inflammation caused by an impacted tooth.
Redness and Swelling of the Gums: The gums around the impacted tooth become red and swollen due to infection or irritation.
Swollen Lymph Nodes of the Neck (Occasionally): The lymph nodes in the neck become swollen as the body reacts to the infection or inflammation caused by the impacted tooth.
Unpleasant Taste: An unpleasant taste in the mouth when biting down near the impacted tooth indicates infection or trapped food particles.
Visible Gap: A visible gap in the gum line where a tooth has failed to erupt is a sign of an impacted tooth.
What are the Causes of Impacted Teeth?
The causes of Impacted Teeth are listed below.
Overcrowding: Overcrowding occurs when the jaw has insufficient space for all the teeth to emerge properly. The room shortage keeps teeth, particularly wisdom teeth, from fully emerging.
Jaw Size: A smaller jaw size leads to impacted teeth because there is not enough room for the teeth to emerge. It is frequent with wisdom teeth, which are the last to erupt.
Twisted or Tilted Teeth: Teeth that become twisted, tilted, or displaced as they try to emerge become impacted. These positional issues prevent the teeth from breaking through the gum line correctly.
Late Eruption: Teeth that are the last to emerge, such as wisdom teeth, are more likely to become impacted. They erupt between 17 and 21 when the jaw is crowded with other teeth.
Pericoronitis: An emergent tooth traps food, plaque, and other debris in the soft tissue around it, leading to inflammation, tenderness, and unpleasant mouth odour.
Misaligned Bite: An impacted tooth pushes on the neighbouring teeth, causing a chain reaction that leads to a misaligned bite. The misalignment affects oral health and function.
Retained Baby Teeth: Impaction results if infant teeth are not removed promptly. They obstruct the path of permanent teeth, which become lodged in the bone or gingival tissue.
Genetic Factors: Genetic predisposition plays a role in impacted teeth. Dental impactions occur in other family members if family members have a history of them.
What are the Treatments for Impacted Teeth?
The treatments for Impacted Teeth are listed below.
Extraction: The most common treatment for impacted wisdom teeth is extraction. The impacted tooth was surgically removed to prevent the condition from worsening and relieve discomfort or dental issues.
Surgery: The extraction of an impacted wisdom tooth is necessary if it produces discomfort, infection, gum disease, cysts, tumours, or harm to adjacent teeth. The surgical procedure includes incision in the gums, eliminating bone obstructing the tooth, and closing the wound after extraction.
Anaesthesia: Patients undergoing extractions choose from various anaesthetic options, including local, sedation, or general anaesthesia, to ensure they are comfortable and in no pain.
Post-Extraction Care: Post-operative care is essential after the extraction. The surgery involves managing pain, bleeding, and swelling using prescribed medications, cold compresses, and specific instructions provided by the dentist or oral surgeon.
Evaluation and Diagnosis: An orthodontic surgeon takes dental X-rays of the affected teeth and evaluates the patient's general oral health to determine what to do next.
Seek Expert Advice: An oral surgeon must be consulted to review treatment options when dealing with intractable impacted teeth or when the patient has preexisting medical issues.
Long-Term Management: Asymptomatic impacted teeth sometimes need treatment, but it all depends on the specifics. Professionals advise removing asymptomatic impacted wisdom teeth to avoid problems, while others suggest a more conservative approach.
Can Impacted Teeth Be Treated At Home?
No, impacted teeth cannot be treated at home. Impacted teeth occur when a tooth fails to fully emerge through the gum line due to overcrowding, improper alignment, or insufficient space in the jaw. House remedies for impaction briefly alleviate swelling and pain but do not permanently fix the problem.
Impacted teeth require extraction or surgical intervention, which must be performed by a dentist or oral surgeon. The procedures involve removing the tooth and sometimes surrounding bone or gum tissue to prevent complications. Removing impacted teeth is complex and requires specialised tools and expertise to avoid damage to adjacent teeth and structures. Impacted teeth lead to infections such as pericoronitis, which involves inflammation of the gum tissue around the partially erupted tooth. Antibiotics and proper cleaning by a dental professional are necessary to treat these infections effectively. Impacted teeth damage neighbouring teeth and throw off bites without professional help.
Home remedies temporarily relieve symptoms but are not a substitute for professional care. Over-the-counter painkillers like ibuprofen or acetaminophen help manage pain temporarily, and cold compresses reduce swelling. Rinsing with salt water or using antiseptic mouthwash helps reduce bacteria and soothe inflamed gums, but these methods do not resolve the impaction.
What are the Researches about Impacted Teeth?
The research about impacted teeth contributes to a deeper understanding of impacted teeth, their prevalence, associated pathologies, and the importance of patient awareness. They underscore the need for continued research and education to improve the management and outcomes of impacted teeth.
The study “A Retrospective Study: Do All Impacted Teeth Cause Pathology?” involved three observers with at least three years of experience with CBCT (Cone Beam Computed Tomography) for conducting the examinations, a master with ten years of experience with CBCT for conflict resolution in reviews, and a team of researchers at Ataturk University Faculty of Dentistry. The study aimed to retrospectively scan and detect impacted teeth, determine the pathologies and frequencies associated with impacted teeth, and evaluate the relationship of impacted teeth with adjacent anatomical structures using CBCT imaging for precise assessment. The evidence gathered from the study provided a comprehensive understanding of the pathologies related to impacted teeth and their interaction with surrounding structures.
The “Impacted Mandibular Third Molars: Review of Literature and a Proposal of a Combined Clinical and Radiological Classification” research was conducted by P. Santosh from the Department of Oral Medicine and Radiology, College of Dentistry, Al Jouf University, Sakakah, Al Jouf, Kingdom of Saudi Arabia. The research aimed to review existing literature on impacted mandibular third molars and propose a new combined clinical and radiological classification system. The proposed classification is intended to help dental practitioners and researchers better assess and categorise impacted mandibular third molars, leading to improved management of the condition. The study sought to provide a common lexicon for reference among practitioners, researchers, and patients, facilitating continued research to enhance the understanding of the pathophysiology associated with impacted teeth.
“Prevalence and Pattern of Third Molars Impaction: A Retrospective Radiographic” research was conducted by Ramizu Bin Shaari, Mohamad Arif Awang Nawi, Ameera Kamal Khaleel, and Ali Sultan AlRifai. The research investigated the prevalence and pattern of third molar impaction in the Karbala/Iraqi population. The focus was on analysing the prevalence of impacted third molars, their angulation, impaction depth, and correlation with the ramus using orthopantomograms. The outcomes indicated a prevalence of 34.71% for impacted third molars, highlighting the significance of specific angulations associated with these impactions. The study provided valuable data on the epidemiology of third molar impactions in the studied population.
The “Awareness of Patients with Impacted Teeth About Impacted Teeth in Turkey: A Questionnaire” involves Furkan Ozbey, Dilek Coban, Busra Nur Gokkurt, Tunahan Tuna, Yasin Yasa, Zerrin Unal Erzurumlu, and Elif Sadik. The research aimed to evaluate the knowledge and awareness levels of patients who have at least one impacted tooth and have previously visited a dentist. The research assessed patients' awareness of their existing impacted teeth, the information provided by dentists about impacted teeth, and the effect of gender and education status on their awareness. The findings were intended to improve patient education and awareness regarding impacted teeth, enhancing dental health outcomes. The study highlighted the need for better communication and education strategies to inform patients about their dental conditions and treatment options.
What is the Differences between Impacted Teeth and Chipped Tooth?
The difference between impacted teeth and chipped tooth lies in their nature, causes, and implications. Impacted teeth did not correctly come out through the gums. An impacted tooth is trapped in the jawbone or gums, leading to pain, swelling, and infection. A chipped tooth occurs when a piece of the tooth enamel breaks off due to trauma, such as biting on complex objects or sustaining a blow to the face. Impacted teeth are a problem during development, while chipped teeth are caused by damage to the outside of the tooth.
The causes and treatments for impacted teeth and chipped teeth vary significantly. A lack of space in the jaw for the teeth to emerge correctly is a common cause of impacted teeth. Treatments involve a dentist's monitoring. Surgical removal is recommended to prevent complications such as infection or damage to adjacent teeth. A chipped tooth occurs from accidents, sports injuries, or biting hard foods. Treatments for a chipped tooth include glueing the fragment back on if available, applying a filling or crown to cover the damaged area, or performing a root canal if the damage exposes the tooth's nerves. Prompt dental intervention is crucial to prevent further issues.
Impacted and chipped teeth differ in some ways but need professional dental care and cause pain and discomfort. Impacted and chipped teeth lead to complications if left untreated. Impacted teeth cause swelling and infection, while chipped teeth lead to sensitivity and further breakage. The two conditions emphasise the importance of timely dental visits. Seeking dental care right away is vital for minor and major dental problems.